扫码关注公众号           扫码咨询技术支持           扫码咨询技术服务
  
客服热线:400-901-9800  客服QQ:4009019800  技术答疑  技术支持  质量反馈  关于我们  联系我们
产品中心-北京博奥森生物技术有限公司
首页 > 产品中心 > 一抗 > 产品信息
phospho-YB1 (Ser102) Rabbit pAb (bs-3477R)  
订购热线:400-901-9800
订购邮箱:sales@bioss.com.cn
订购QQ:  400-901-9800
技术支持:techsupport@bioss.com.cn
50ul/1180.00元
100ul/1980.00元
200ul/2800.00元
大包装/询价

产品编号 bs-3477R
英文名称 phospho-YB1 (Ser102) Rabbit pAb
中文名称 磷酸化核酸酶敏感元件结合蛋白1抗体
别    名 Y box-binding protein1; nuclease sensitive element binding protein 1; YB1; BP-8; CSDB; DBPB; YB-1; CSDA2; NSEP1; NSEP-1; MDR-NF1; MGC104858; MGC110976; MGC117250; YBX1; CCAAT binding transcription factor I subunit A; DNA binding protein B; major histocompatibility complex, class II, Y box-binding protein I; CBF-A; EFI-A; Enhancer factor I subunit A; EFI-A; p50; Q15905; YBOX1_HUMAN.  DNA结合蛋白B; y-盒结合蛋白1;
产品类型 磷酸化抗体 
研究领域 肿瘤  细胞生物  免疫学  信号转导  转录调节因子  
抗体来源 Rabbit
克隆类型 Polyclonal
克 隆 号
交叉反应 Human,Mouse,Rat,Rabbit (predicted: Pig,Cow,Chicken,Dog,GuineaPig,Horse)
产品应用 WB=1:500-2000,IHC-P=1:100-500,IHC-F=1:100-500,IF=1:100-500,ICC/IF=1:100-500,ELISA=1:5000-10000
not yet tested in other applications.
optimal dilutions/concentrations should be determined by the end user.
理论分子量 36 kDa
检测分子量
细胞定位 细胞核 细胞浆 分泌型蛋白 
性    状 Liquid
浓    度 1mg/ml
免 疫 原 KLH conjugated Synthesised phosphopeptide derived from human YB1 around the phosphorylation site of Ser102: LR(p-S)VG 
亚    型 IgG
纯化方法 affinity purified by Protein A
缓 冲 液 0.01M TBS (pH7.4) with 1% BSA, 0.02% Proclin300 and 50% Glycerol.
保存条件 Shipped at 4℃. Store at -20℃ for one year. Avoid repeated freeze/thaw cycles.
注意事项 This product as supplied is intended for research use only, not for use in human, therapeutic or diagnostic applications.
PubMed PubMed
产品介绍 The Y-box binding protein 1(YB1)is a pluripotent DNA/RNA-binding factor which regulates gene expression through transcription and translation. YB1 has been shown to be a marker of tumour aggressiveness and belongs to the cold-shock domain family.

Function:
Mediates pre-mRNA alternative splicing regulation. Binds to splice sites in pre-mRNA and regulates splice site selection. Binds and stabilizes cytoplasmic mRNA. Contributes to the regulation of translation by modulating the interaction between the mRNA and eukaryotic initiation factors (By similarity). Regulates the transcription of numerous genes. Its transcriptional activity on the multidrug resistance gene MDR1 is enhanced in presence of the APEX1 acetylated form at 'Lys-6' and 'Lys-7'. Binds to promoters that contain a Y-box (5'-CTGATTGGCCAA-3'), such as MDR1 and HLA class II genes. Promotes separation of DNA strands that contain mismatches or are modified by cisplatin. Has endonucleolytic activity and can introduce nicks or breaks into double-stranded DNA (in vitro). May play a role in DNA repair. Component of the CRD-mediated complex that promotes MYC mRNA stability. Binds preferentially to the 5'-[CU]CUGCG-3' motif in vitro.
The secreted form acts as an extracellular mitogen and stimulates cell migration and proliferation.

Subunit:
Identified in a histone pre-mRNA complex, at least composed of ERI1, LSM11, SLBP, SNRPB, SYNCRIP and YBX1 (By similarity). Component of the coding region determinant (CRD)-mediated complex, composed of DHX9, HNRNPU, IGF2BP1, SYNCRIP and YBX1. Identified in a mRNP complex, at least composed of DHX9, DDX3X, ELAVL1, HNRNPU, IGF2BP1, ILF3, PABPC1, PCBP2, PTBP2, STAU1, STAU2, SYNCRIP and YBX1. Identified in a mRNP granule complex, at least composed of ACTB, ACTN4, DHX9, ERG, HNRNPA1, HNRNPA2B1, HNRNPAB, HNRNPD, HNRNPL, HNRNPR, HNRNPU, HSPA1, HSPA8, IGF2BP1, ILF2, ILF3, NCBP1, NCL, PABPC1, PABPC4, PABPN1, RPLP0, RPS3, RPS3A, RPS4X, RPS8, RPS9, SYNCRIP, TROVE2, YBX1 and untranslated mRNAs. Component of the U11/U12 snRNPs that are part of the U12-type spliceosome. Interacts with IGF2BP1 and RBBP6. Component of cytoplasmic messenger ribonucleoprotein particles (mRNPs). Interacts with AKT1, MBNL1, SFRS9, ALYREF/THOC4, MSH2, XRCC5, WRN and NCL. Can bind to DNA as a homomeric form, (EFI-A)n or as a heteromeric form in association with EFI-B. Homodimer in the presence of ATP. Interacts (via C-terminus) with APEX1 (via N-terminus); the interaction is increased with APEX1 acetylated at 'Lys-6' and 'Lys-7'. Interacts with EIF2C1 and EIF2C2.

Subcellular Location:
Cytoplasm. Nucleus. Cytoplasmic granule. Secreted. Note=Localized in cytoplasmic mRNP granules containing untranslated mRNAs. Shuttles between nucleus and cytoplasm. Predominantly cytoplasmic in proliferating cells. Cytotoxic stress and DNA damage enhance translocation to the nucleus. Localized with DDX1, MBNL1 and TIAL1 in stress granules upon stress. Secreted by mesangial and monocytic cells after inflammatory challenges. Translocates from the cytoplasm to the nucleus after and colocalizes with APEX1 in nuclear speckles after genotoxic stress.

Post-translational modifications:
Ubiquitinated by RBBP6; leading to a decrease of YBX1 transcactivational ability.
In the absence of phosphorylation the protein is retained in the cytoplasm.br
Similarity:
Contains 1 CSD (cold-shock) domain.

SWISS:
P67809

Gene ID:
4904

Database links:

Entrez Gene: 4904 Human

Entrez Gene: 22608 Mouse

Entrez Gene: 500538 Rat

Omim: 154030 Human

SwissProt: P67809 Human

SwissProt: P62960 Mouse

SwissProt: P62961 Rat

Unigene: 473583 Human

Unigene: 258204 Mouse

Unigene: 110976 Rat

Unigene: 194909 Rat



产品图片
Sample: 293T(Human) Cell Lysate at 30 ug Primary: Anti-Phospho-YB1(Ser102) (bs-3477R) at 1/1000 dilution Secondary: IRDye800CW Goat Anti-Rabbit IgG at 1/20000 dilution Predicted band size: 36 kD Observed band size: 36 kD
Sample: Hela(human) Cell Lysate at30 ug Primary: Anti-Phospho-YB1(Ser102) (bs-3477R) at 1/300 dilution Secondary: IRDye800CW Goat Anti-Rabbit IgG at 1/20000 dilution Predicted band size: 36 kD Observed band size: 36 kD
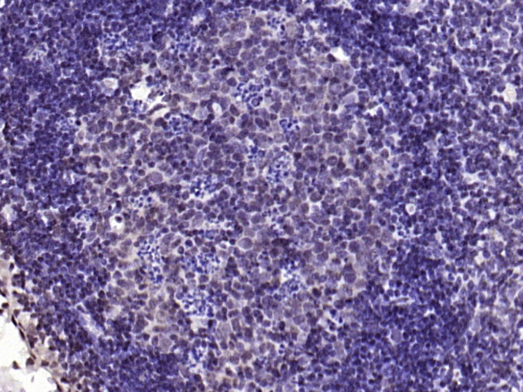
Paraformaldehyde-fixed, paraffin embedded (mouse lymphoid); Antigen retrieval by boiling in sodium citrate buffer (pH6.0) for 15min; Block endogenous peroxidase by 3% hydrogen peroxide for 20 minutes; Blocking buffer (normal goat serum) at 37°C for 30min; Antibody incubation with (Phospho-YB1 (Ser102)) Polyclonal Antibody, Unconjugated (bs-3477R) at 1:200 overnight at 4°C, followed by operating according to SP Kit(Rabbit) (sp-0023) instructionsand DAB staining.
Paraformaldehyde-fixed, paraffin embedded (rat lung); Antigen retrieval by boiling in sodium citrate buffer (pH6.0) for 15min; Block endogenous peroxidase by 3% hydrogen peroxide for 20 minutes; Blocking buffer (normal goat serum) at 37°C for 30min; Antibody incubation with (Phospho-YB1 (Ser102)) Polyclonal Antibody, Unconjugated (bs-3477R) at 1:200 overnight at 4°C, followed by operating according to SP Kit(Rabbit) (sp-0023) instructionsand DAB staining.
Paraformaldehyde-fixed, paraffin embedded (rat lymphoid); Antigen retrieval by boiling in sodium citrate buffer (pH6.0) for 15min; Block endogenous peroxidase by 3% hydrogen peroxide for 20 minutes; Blocking buffer (normal goat serum) at 37°C for 30min; Antibody incubation with (Phospho-YB1 (Ser102)) Polyclonal Antibody, Unconjugated (bs-3477R) at 1:200 overnight at 4°C, followed by operating according to SP Kit(Rabbit) (sp-0023) instructionsand DAB staining.
Paraformaldehyde-fixed, paraffin embedded (Rat stomach); Antigen retrieval by boiling in sodium citrate buffer (pH6.0) for 15min; Block endogenous peroxidase by 3% hydrogen peroxide for 20 minutes; Blocking buffer (normal goat serum) at 37°C for 30min; Antibody incubation with (Phospho-YB1(Ser102)) Polyclonal Antibody, Unconjugated (bs-3477R) at 1:400 overnight at 4°C, followed by operating according to SP Kit(Rabbit) (sp-0023) instructionsand DAB staining.
U251 cell; 4% Paraformaldehyde-fixed; Triton X-100 at room temperature for 20 min; Blocking buffer (normal goat serum, C-0005) at 37°C for 20 min; Antibody incubation with (Phospho-YB1 (Ser102)) polyclonal Antibody, Unconjugated (bs-3477R) 1:100, 90 minutes at 37°C; followed by a conjugated Goat Anti-Rabbit IgG antibody at 37°C for 90 minutes, DAPI (blue, C02-04002) was used to stain the cell nuclei.
phosphopeptide non phosphopeptide
版权所有 2004-2026 www.bioss.com.cn 北京博奥森生物技术有限公司
通过国际质量管理体系ISO 9001:2015 GB/T 19001-2016    证书编号: 00124Q34771R2M/1100
通过国际医疗器械-质量管理体系ISO 13485:2016 GB/T 42061-2022     证书编号: CQC24QY20047R0M/1100
京ICP备05066980号-1         京公网安备110107000727号