扫码关注公众号           扫码咨询技术支持           扫码咨询技术服务
  
客服热线:400-901-9800  客服QQ:4009019800  技术答疑  技术支持  质量反馈  关于我们  联系我们
产品中心-北京博奥森生物技术有限公司
首页 > 产品中心 > 一抗 > 产品信息
phospho-mTOR (Ser2448) Rabbit pAb (bs-3494R)  
订购热线:400-901-9800
订购邮箱:sales@bioss.com.cn
订购QQ:  400-901-9800
技术支持:techsupport@bioss.com.cn
50ul/1180.00元
100ul/1980.00元
200ul/2800.00元
大包装/询价

产品编号 bs-3494R
英文名称 phospho-mTOR (Ser2448) Rabbit pAb
中文名称 磷酸化雷帕霉素靶蛋白抗体
别    名 mTOR(phospho S2448); p-mTOR(phospho S2448); phospho-FRAP1/mTOR(Ser2448); P-FRAP1/mTOR(Ser2448); phospho-mTOR(Ser2448); P-mTOR(Ser2448); dJ576K7.1(FK506 binding protein 12 rapamycin associated protein 1); FK506 binding protein 12 rapamycin associated protein 1; FK506 binding protein 12 rapamycin associated protein 2; FK506 binding protein 12 rapamycin complex associated protein 1; FK506 binding protein12-rapamycin associated protein 1; FK506 binding protein12-rapamycin associated protein 2; FK506-binding protein 12-rapamycin complex-associated protein 1; FKBP rapamycin associated protein; FKBP12 rapamycin complex associated protein; FKBP12-rapamycin complex-associated protein; FLJ44809; FRAP; FRAP1; FRAP2; Mammalian target of rapamycin; Mechanistic target of rapamycin; mTOR; MTOR_HUMAN; OTTHUMP00000001983; RAFT1; Rapamycin and FKBP12 target 1; Rapamycin associated protein FRAP2; Rapamycin target protein 1; Rapamycin target protein; RAPT1; Serine/threonine-protein kinase mTOR.  
Specific References  (19)     |     bs-3494R has been referenced in 19 publications.
[IF=6.792] Yu Wang. et al. Environmentally relevant concentration of sulfamethoxazole-induced oxidative stress-cascaded damages in the intestine of grass carp and the therapeutic application of exogenous lycopene. Environ Pollut. 2021 Apr;274:116597  WB ;  Fish.  
[IF=5.919] Qi H et al. MSTN attenuates cardiac hypertrophy through inhibition of excessive cardiac autophagy by blocking AMPK/mTOR and miR-128/PPARγ/NF-κB signaling pathways. Mol Ther Nucleic Acids. 2019 Dec 14;19:507-522.  WB ;  Rat.  
[IF=5.715]   WB ;  fish.  
[IF=5.714] Zhao H et al. The cardiotoxicity of the common carp (Cyprinus carpio) exposed to environmentally relevant concentrations of arsenic and subsequently relieved by zinc supplementation. Environmental Pollution.2019 Oct; 253:741-748.  WB ;  Carp.  
[IF=4.374] Bai Baoxin. et al. Prognostic and functional roles of EIF4G1 in lung squamous cell carcinoma. HUM CELL. 2023 Mar;:1-9  WB ;  Human.  
[IF=4.2] Li Li. et al. Regulation of TREM2 on BV2 inflammation through PI3K/AKT/mTOR pathway. BIOTECHNOL GENET ENG. 2023 Apr 26  WB ;  Mouse.  
[IF=3.989] Beina Hui. et al. Silencing UHRF1 Enhances Radiosensitivity of Esophageal Squamous Cell Carcinoma by Inhibiting the PI3K/Akt/mTOR Signaling Pathway. Cancer Manag Res. 2021; 13: 4841–4852  IHC ;  Mouse.  
[IF=3.895] Yin H et al. T-2 Toxin Induces Oxidative Stress, Apoptosis and Cytoprotective Autophagy in Chicken Hepatocytes. Toxins (Basel). 2020 Jan 29;12(2).  WB ;  Chicken.  
[IF=3.895] Shen X et al.Retinoic Acid-Induced Protein 14 (RAI14) Promotes mTOR-Mediated Inflammation Under Inflammatory Stress and Chemical Hypoxia in a U87 Glioblastoma Cell Line.(2018) Cell Mol Neurobiol.  ICF ;  Human.  
[IF=3.738] Zong, Jinxin. et al. Lithium Chloride Promotes Milk Protein and Fat Synthesis in Bovine Mammary Epithelial Cells via HIF-1α and β-Catenin Signaling Pathways. Biol Trace Elem Res. 2022 Jan;:1-16  WB ;  Bovine.  
[IF=3.718] Qi Hao. et al. Taurine stimulates protein synthesis and proliferation of C2C12 myoblast cells through the PI3K-ARID4B-mTOR pathway. Brit J Nutr. 2021 Dec;:1-27  WB ;  Mouse.  
[IF=3.282] Qiu J et al. Distinct subgroup of the Ras family member 3 (DIRAS3) expression impairs metastasis and induces autophagy of gastric cancer cells in mice.J Cancer Res Clin Oncol. 2018 Oct;144(10):1869-1886.  WB ;  Human.  
[IF=3.17] Xue W et al. Caveolin-1 alleviates lipid accumulation in NAFLD associated with promoting autophagy by inhibiting the Akt/mTOR pathway. Eur J Pharmacol. 2020 Mar 15;871:172910.  WB ;  Mouse.  
[IF=2.81] Yang, Wei‐Rong, et al. "mTOR is involved in 17β‐estradiol‐induced, cultured immature boar Sertoli cell proliferation via regulating the expression of SKP2, CCND1, and CCNE1." Molecular Reproduction and Development (2015).  WB ;  Pig.  
[IF=2.784] Mei H et al. Pterostilbene inhibits nutrient metabolism and induces apoptosis through AMPK activation in multiple myeloma cells.(2018)Int. J. Mol. Med.Nov;42(5):2676-2688.  IHC ;  Mouse.  
[IF=2.276] Wang Ji-sheng. et al. A Bioinformatic Investigation of the Mechanism Underlying Migraine-Induced Erectile Dysfunction. Biomed Res Int. 2021;2021:6674643  WB ;  Rat.  
[IF=2.19] Lin, Yuan-xiang, et al. "Similar PDK1-AKT-mTOR pathway activation in balloon cells and dysmorphic neurons of typeII focal cortical dysplasia with refractory epilepsy." Epilepsy Research (2015).  IHC-P ;  Human.  
[IF=1.747] Zhong et al. Camellia (Camellia oleifera Abel.) seed oil promotes milk fat and protein synthesis‐related gene expression in bovine mammary epithelial cells. Food Science & Nutrition. 2019.  WB ;  Bovine.  
[IF=1.227] Liao XD et al. Effect of all-trans retinoic acid on casein and fatty acid synthesis in MAC-T cells. Asian-Australas J Anim Sci. 2019 Aug 23.  WB ;  bovine.  
产品类型 磷酸化抗体 
研究领域 肿瘤  心血管  细胞生物  免疫学  染色质和核信号  细胞周期蛋白  转录调节因子  表观遗传学  
抗体来源 Rabbit
克隆类型 Polyclonal
克 隆 号
交叉反应 Human,Mouse,Rat (predicted: Rabbit,Sheep,Cow,Dog,Horse)
产品应用 IHC-P=1:100-500,IHC-F=1:100-500,IF=1:100-500,Flow-Cyt=1μg /test
not yet tested in other applications.
optimal dilutions/concentrations should be determined by the end user.
理论分子量 289 kDa
检测分子量
细胞定位 细胞核 细胞浆 细胞膜 
性    状 Liquid
浓    度 1mg/ml
免 疫 原 KLH conjugated Synthesised phosphopeptide derived from human mTOR around the phosphorylation site of Ser2448: TD(p-S)YS 
亚    型 IgG
纯化方法 affinity purified by Protein A
缓 冲 液 0.01M TBS (pH7.4) with 1% BSA, 0.02% Proclin300 and 50% Glycerol.
保存条件 Shipped at 4℃. Store at -20℃ for one year. Avoid repeated freeze/thaw cycles.
注意事项 This product as supplied is intended for research use only, not for use in human, therapeutic or diagnostic applications.
PubMed PubMed
产品介绍 mTOR is one of a family of proteins involved in cell cycle progression, DNA recombination, and DNA damage detection. In rat, it is a 289-kDa protein (symbolized RAFT1) with significant homology to the Saccharomyces cerevisiae protein TOR1 and has been shown to associate with the immunophilin FKBP12 in a rapamycin dependent fashion. The FKBP12-rapamycin complex is known to inhibit progression through the G1 cell cycle stage by interfering with mitogenic signaling pathways involved in G1 progression in several cell types, as well as in yeast. The binding of FRAP to FKBP12-rapamycin correlated with the ability of these ligands to inhibit cell cycle progression.

Function:
Serine/threonine protein kinase which is a central regulator of cellular metabolism, growth and survival in response to hormones, growth factors, nutrients, energy and stress signals. Functions as part of 2 structurally and functionally distinct signaling complexes mTORC1 and mTORC2 (mTOR complex 1 and 2). Activated mTORC1 up-regulates protein synthesis by phosphorylating key regulators of mRNA translation and ribosome synthesis. This includes phosphorylation of EIF4EBP1 and release of its inhibition toward the elongation initiation factor 4E (eiF4E). Moreover, phosphorylates and activates RPS6KB1 and RPS6KB2 that promote protein synthesis by modulating the activity of their downstream targets including ribosomal protein S6, eukaryotic translation initiation factor EIF4B and the inhibitor of translation initiation PDCD4. Regulates ribosome synthesis by activating RNA polymerase III-dependent transcription through phosphorylation and inhibition of MAF1 a RNA polymerase III-repressor. In parallel to protein synthesis, also regulates lipid synthesis through SREBF1/SREBP1 and LPIN1. To maintain energy homeostasis mTORC1 may also regulate mitochondrial biogenesis through regulation of PPARGC1A. mTORC1 also negatively regulates autophagy through phosphorylation of ULK1. Under nutrient sufficiency, phosphorylates ULK1 at 'Ser-758', disrupting the interaction with AMPK and preventing activation of ULK1. Also prevents autophagy through phosphorylation of the autophagy inhibitor DAP. mTORC1 exerts a feedback control on upstream growth factor signaling that includes phosphorylation and activation of GRB10 a INSR-dependent signaling suppressor. Among other potential targets mTORC1 may phosphorylate CLIP1 and regulate microtubules. As part of the mTORC2 complex MTOR may regulate other cellular processes including survival and organization of the cytoskeleton. Plays a critical role in the phosphorylation at 'Ser-473' of AKT1, a pro-survival effector of phosphoinositide 3-kinase, facilitating its activation by PDK1. mTORC2 may regulate the actin cytoskeleton, through phosphorylation of PRKCA, PXN and activation of the Rho-type guanine nucleotide exchange factors RHOA and RAC1A or RAC1B. mTORC2 also regulates the phosphorylation of SGK1 at 'Ser-422'.

Subunit:
Part of the mammalian target of rapamycin complex 1 (mTORC1) which contains MTOR, MLST8, RPTOR, AKT1S1/PRAS40 and DEPTOR. Part of the mammalian target of rapamycin complex 2 (mTORC2) which contains MTOR, MLST8, PRR5, RICTOR, MAPKAP1 and DEPTOR. Interacts with PPAPDC3 and PML (By similarity). Interacts with PRR5 and RICTOR; the interaction is direct within the mTORC2 complex (By similarity). Interacts with UBQLN1 (By similarity). Interacts with TTI1 and TELO2 (By similarity). Interacts with CLIP1; phosphorylates and regulates CLIP1 (By similarity).

Subcellular Location:
Endoplasmic reticulum membrane; Peripheral membrane protein; Cytoplasmic side. Golgi apparatus membrane; Peripheral membrane protein; Cytoplasmic side. Mitochondrion outer membrane; Peripheral membrane protein; Cytoplasmic side. Lysosome. Cytoplasm (By similarity). Nucleus, PML body (By similarity). Note=Shuttles between cytoplasm and nucleus. Accumulates in the nucleus in response to hypoxia (By similarity). Targeting to lysosomes depends on amino acid availability and RRAGA and RRAGB.

Tissue Specificity:
Expressed in numerous tissues, with highest levels in testis.

Post-translational modifications:
Phosphorylated. Autophosphorylates when part of mTORC1 or mTORC2. Phosphorylation at Ser-1261 promotes autophosphorylation.

Similarity:
Belongs to the PI3/PI4-kinase family.
Contains 1 FAT domain.
Contains 1 FATC domain.
Contains 7 HEAT repeats.
Contains 1 PI3K/PI4K domain.

SWISS:
P42345

Gene ID:
2475

Database links:

Entrez Gene: 2475 Human

Entrez Gene: 56717 Mouse

Entrez Gene: 56718 Rat

Omim: 601231 Human

SwissProt: P42345 Human

SwissProt: Q9JLN9 Mouse

SwissProt: P42346 Rat

Unigene: 338207 Human

Unigene: 21158 Mouse

Unigene: 11008 Rat



mTOR蛋白是一种丝氨酸/苏氨酸蛋白激酶(Ser/Thr),是调节细胞生长和增殖的重要信号转导分子,在细胞的生长、分化、增殖、迁移和存活上扮演了重要的角色。由于mTOR信号通路在细胞周期进程中发挥了重要作用,细胞周期进程调节异常与许多疾病尤其是癌症的发生、发展有关,mTOR信号通路的失调可引起多种肿瘤的发生。
产品图片
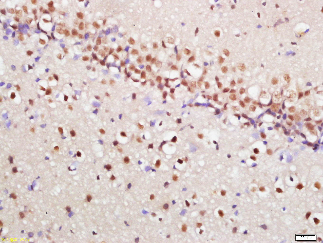
Paraformaldehyde-fixed, paraffin embedded (rat brain); Antigen retrieval by boiling in sodium citrate buffer (pH6.0) for 15min; Block endogenous peroxidase by 3% hydrogen peroxide for 20 minutes; Blocking buffer (normal goat serum) at 37°C for 30min; Antibody incubation with (Phospho-mTOR (Ser2448)) Polyclonal Antibody, Unconjugated (bs-3494R) at 1:200 overnight at 4°C, followed by operating according to SP Kit(Rabbit) (sp-0023) instructionsand DAB staining.
Paraformaldehyde-fixed, paraffin embedded (mouse brain); Antigen retrieval by boiling in sodium citrate buffer (pH6.0) for 15min; Block endogenous peroxidase by 3% hydrogen peroxide for 20 minutes; Blocking buffer (normal goat serum) at 37°C for 30min; Antibody incubation with (Phospho-mTOR (Ser2448)) Polyclonal Antibody, Unconjugated (bs-3494R) at 1:200 overnight at 4°C, followed by operating according to SP Kit(Rabbit) (sp-0023) instructionsand DAB staining.
Tissue/cell: Rat brain tissue; 4% Paraformaldehyde-fixed and paraffin-embedded; Antigen retrieval: citrate buffer ( 0.01M, pH 6.0 ), Boiling bathing for 15min; Block endogenous peroxidase by 3% Hydrogen peroxide for 30min; Blocking buffer (normal goat serum,C-0005) at 37℃ for 20 min; Incubation: Anti-phospho-mTOR Polyclonal Antibody, Unconjugated(bs-3494R) 1:200, overnight at 4°C, followed by conjugation to the secondary antibody(SP-0023) and DAB(C-0010) staining
Tissue/cell: Rat testis tissue; 4% Paraformaldehyde-fixed and paraffin-embedded; Antigen retrieval: citrate buffer ( 0.01M, pH 6.0 ), Boiling bathing for 15min; Block endogenous peroxidase by 3% Hydrogen peroxide for 30min; Blocking buffer (normal goat serum,C-0005) at 37℃ for 20 min; Incubation: Anti-phospho-mTOR Polyclonal Antibody, Unconjugated(bs-3494R) 1:200, overnight at 4°C, followed by conjugation to the secondary antibody(SP-0023) and DAB(C-0010) staining
Tissue/cell: human lung carcinoma; 4% Paraformaldehyde-fixed and paraffin-embedded; Antigen retrieval: citrate buffer ( 0.01M, pH 6.0 ), Boiling bathing for 15min; Block endogenous peroxidase by 3% Hydrogen peroxide for 30min; Blocking buffer (normal goat serum,C-0005) at 37℃ for 20 min; Incubation: Anti-Phospho-mTOR (Ser2448) Polyclonal Antibody, Unconjugated(bs-3494R) 1:200, overnight at 4°C, followed by conjugation to the secondary antibody(SP-0023) and DAB(C-0010) staining
Blank control (blue line): Hela (fixed with 70% ethanol (Overnight at 4℃) and then permeabilized with 90% ice-cold methanol for 30 min on ice) Primary Antibody (green line): Rabbit Anti-Phospho-mTOR (Ser2448) antibody (bs-3494R),Dilution: 1μg /10^6 cells. Isotype Control Antibody (orange line): Rabbit IgG . Secondary Antibody (white blue line): Goat anti-rabbit IgG-FITC,Dilution: 1μg /test.
Image provided by Independent Validation (badge 029744). Histogram of serum-stimulated (positive control) and serum-starved (negative control) MCF-7 cells stained with Rabbit Anti-mTOR (Ser2448) Polyclonal Antibody (orange)(bs-3494R at 1:100), isotype control antibody (green), secondary antibody only (blue) and unstained (red). Strong signal is observed in both positive and negative controls. No change in expression is noted upon serum stimulation, as has been demonstrated in the literature. There is no evidence to support the antigen recognizing a phosphorylated version of the target.
版权所有 2004-2026 www.bioss.com.cn 北京博奥森生物技术有限公司
通过国际质量管理体系ISO 9001:2015 GB/T 19001-2016    证书编号: 00124Q34771R2M/1100
通过国际医疗器械-质量管理体系ISO 13485:2016 GB/T 42061-2022     证书编号: CQC24QY20047R0M/1100
京ICP备05066980号-1         京公网安备110107000727号