扫码关注公众号           扫码咨询技术支持           扫码咨询技术服务
  
客服热线:400-901-9800  客服QQ:4009019800  技术答疑  技术支持  质量反馈  人才招聘  关于我们  联系我们
产品中心-北京博奥森生物技术有限公司
首页 > 产品中心 > 一抗 > 产品信息
MEG1 Rabbit pAb (bs-3629R)  
订购热线:400-901-9800
订购邮箱:sales@bioss.com.cn
订购QQ:  400-901-9800
技术支持:techsupport@bioss.com.cn
50ul/1180.00元
100ul/1980.00元
200ul/2800.00元
大包装/询价

产品编号 bs-3629R
英文名称 MEG1 Rabbit pAb
中文名称 蛋白酪氨酸磷酸酶非受体型4抗体
别    名 MEG; PTPMEG; PTPMEG1; Ptn4; TEP; TEP/mPTPMEG; hPTP-MEG; PTN4_HUMAN; PTPN4; Protein-tyrosine phosphatase MEG1 (MEG | PTPase-MEG1); 3.1.3.48; Q8BQQ4_MOUSE; PTN4_MOUSE; Testis-enriched protein tyrosine phosphatase;   
研究领域 肿瘤  免疫学  信号转导  转录调节因子  激酶和磷酸酶  
抗体来源 Rabbit
克隆类型 Polyclonal
克 隆 号
交叉反应 Rat (predicted: Human,Mouse,Pig,Sheep,Cow,Chicken,Dog,Horse)
产品应用 IHC-P=1:100-500,IHC-F=1:100-500,IF=1:100-500
not yet tested in other applications.
optimal dilutions/concentrations should be determined by the end user.
理论分子量 106 kDa
细胞定位 细胞浆 细胞膜 
性    状 Liquid
浓    度 1mg/ml
免 疫 原 KLH conjugated synthetic peptide derived from human PTPN4/MEG1: 51-150/926 
亚    型 IgG
纯化方法 affinity purified by Protein A
缓 冲 液 0.01M TBS (pH7.4) with 1% BSA, 0.02% Proclin300 and 50% Glycerol.
保存条件 Shipped at 4℃. Store at -20℃ for one year. Avoid repeated freeze/thaw cycles.
注意事项 This product as supplied is intended for research use only, not for use in human, therapeutic or diagnostic applications.
PubMed PubMed
产品介绍 The protein encoded by this gene is a member of the protein tyrosine phosphatase (PTP) family. PTPs are known to be signaling molecules that regulate a variety of cellular processes including cell growth, differentiation, mitotic cycle, and oncogenic transformation. This protein contains a C-terminal PTP domain and an N-terminal domain homologous to the band 4.1 superfamily of cytoskeletal-associated proteins. This PTP has been shown to interact with glutamate receptor delta 2 and epsilon subunits, and is thought to play a role in signalling downstream of the glutamate receptors through tyrosine dephosphorylation. [provided by RefSeq, Jul 2008]

Function:
May act at junctions between the membrane and the cytoskeleton.

Subcellular Location:
Cell membrane; Peripheral membrane protein; Cytoplasmic side. Cytoplasm, cytoskeleton.

Similarity:
Belongs to the protein-tyrosine phosphatase family. Non-receptor class subfamily.
Contains 1 FERM domain.
Contains 1 PDZ (DHR) domain.
Contains 1 tyrosine-protein phosphatase domain.

SWISS:
P29074

Gene ID:
5775

Database links:

Entrez Gene: 5775 Human

Entrez Gene: 19258 Mouse

Omim: 176878 Human

SwissProt: P29074 Human

SwissProt: Q8BQQ4 Mouse

SwissProt: Q9WU22 Mouse

Unigene: 469809 Human



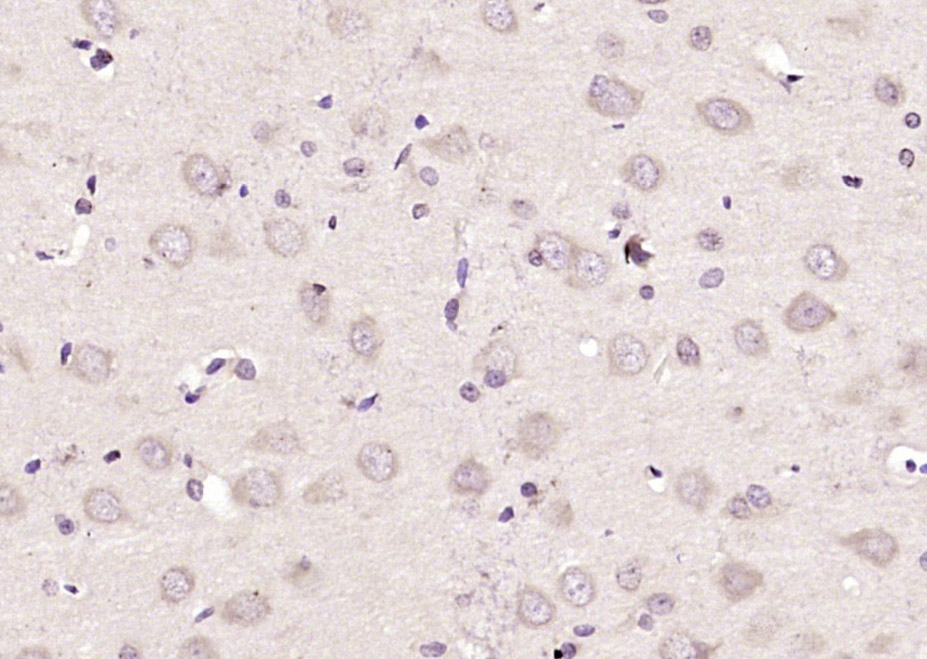
产品图片
Paraformaldehyde-fixed, paraffin embedded (rat brain); Antigen retrieval by boiling in sodium citrate buffer (pH6.0) for 15min; Block endogenous peroxidase by 3% hydrogen peroxide for 20 minutes; Blocking buffer (normal goat serum) at 37°C for 30min; Antibody incubation with (MEG1) Polyclonal Antibody, Unconjugated (bs-3629R) at 1:200 overnight at 4°C, followed by operating according to SP Kit(Rabbit) (sp-0023) instructionsand DAB staining.
版权所有 2004-2026 www.bioss.com.cn 北京博奥森生物技术有限公司
通过国际质量管理体系ISO 9001:2015 GB/T 19001-2016    证书编号: 00124Q34771R2M/1100
通过国际医疗器械-质量管理体系ISO 13485:2016 GB/T 42061-2022     证书编号: CQC24QY20047R0M/1100
京ICP备05066980号-1         京公网安备110107000727号