扫码关注公众号           扫码咨询技术支持           扫码咨询技术服务
  
客服热线:400-901-9800  客服QQ:4009019800  技术答疑  技术支持  质量反馈  关于我们  联系我们
产品中心-北京博奥森生物技术有限公司
首页 > 产品中心 > 一抗 > 产品信息
Calmodulin 1/2/3 Rabbit pAb (bs-3666R)  
订购热线:400-901-9800
订购邮箱:sales@bioss.com.cn
订购QQ:  400-901-9800
技术支持:techsupport@bioss.com.cn
50ul/1180.00元
100ul/1980.00元
200ul/2800.00元
大包装/询价

产品编号 bs-3666R
英文名称 Calmodulin 1/2/3 Rabbit pAb
中文名称 钙调节素/钙调蛋白/钙调素抗体
别    名 CALM 1; CALM 2; CALM 3; CALM; CALM1; CALM2; CALM3; CALML2; Calmodulin 1; Calmodulin1; CAM 1; CAM 2; CAM 3; CaM; CAM I; CAM1; CAM2; CAM3; CAMB; CAMC; CAMI; CAMIII; DD132; PHKD; phosphorylase kinase delta; phosphorylase kinase delta subunit; Calmodulin1; Calmodulin 1; Calmodulin-1; Calmodulin2; Calmodulin 2; Calmodulin-2; Calmodulin3; Calmodulin 3; Calmodulin-3; Calmodulin; CALM1_HUMAN.  
Specific References  (4)     |     bs-3666R has been referenced in 4 publications.
[IF=5.561] Lei Wu. et al. Ethanol Extract of Mao Jian Green Tea Attenuates Gastrointestinal Symptoms in a Rat Model of Irritable Bowel Syndrome with Constipation via the 5-hydroxytryptamine Signaling Pathway. FOODS. 2023 Jan;12(5):1101  WB ;  Rat.  
[IF=5.201] Hua Y et al. Enterohemorrhagic Escherichia coli Effector Protein EspF Interacts With Host Protein ANXA6 and Triggers Myosin Light Chain Kinase (MLCK)-Dependent Tight Junction DysregulationFront Cell Dev Biol.2020 Dec 23;8:613061.  WB ;  Human.  
[IF=3.448] Xu B et al. Excessive mechanical stress induces chondrocyte apoptosis through TRPV4 in an anteriorcruciate ligament-transected rat osteoarthritis model. Life Sci. 2019 Jul 1;228:158-166.  IHC-P&WB ;  Rat.  
[IF=2.824] Hai-Jun Gao. et al. Anti-echinococcal effect of verapamil involving the regulation of the calcium/calmodulin-dependent protein kinase II response in vitro and in a murine infection model. Parasite Vector. 2021 Dec;14(1):1-10  IHC ;  Mouse.  
研究领域 肿瘤  细胞生物  免疫学  生长因子和激素  转录调节因子  细胞表面分子  
抗体来源 Rabbit
克隆类型 Polyclonal
克 隆 号
交叉反应 Human,Mouse,Rat (predicted: Cow,Chicken,Dog,Horse)
产品应用 WB=1:500-2000,IHC-P=1:100-500,IHC-F=1:100-500,IF=1:100-500,Flow-Cyt=1ug/Test
not yet tested in other applications.
optimal dilutions/concentrations should be determined by the end user.
理论分子量 16-20 kDa
检测分子量
细胞定位 细胞浆 
性    状 Liquid
浓    度 1mg/ml
免 疫 原 KLH conjugated synthetic peptide derived from human Calmodulin: 81-152/152 
亚    型 IgG
纯化方法 affinity purified by Protein A
缓 冲 液 0.01M TBS (pH7.4) with 1% BSA, 0.02% Proclin300 and 50% Glycerol.
保存条件 Shipped at 4℃. Store at -20℃ for one year. Avoid repeated freeze/thaw cycles.
注意事项 This product as supplied is intended for research use only, not for use in human, therapeutic or diagnostic applications.
PubMed PubMed
产品介绍 Calmodulin consists of two glycoproteins, 34 and 39 kDa, sometimes designated epithelial antigen, epithelial specific antigen, and epithelial glycoprotein. The glycoproteins are located on the cell membrane surface and in the cytoplasm of virtually all epithelial cells with the exception of most squamous epithelia, hepatocytes, renal proximal tubular cells, gastric parietal cells and myoepithelial cells. Epithelial Calmodulin is found in the large majority of adenocarcinomas of most sites (50-100% in various studies; as well as neuroendocrine tumours, including small cell carcinoma. Renal cell carcinoma and hepatocellular carcinoma stain in about 30% of the cases. Calmodulin mediates the control of a large number of enzymes and other proteins by Ca(2+). Among the enzymes to be stimulated by the calmodulin Ca(2+) complex are a number of protein kinases and phosphatases. Calmodulin has four functional calcium binding sites.

Subunit:
Interacts with MYO1C and RRAD. Interacts with MYO10 (By similarity). Interacts with CEP97, CEP110, TTN/titin and SRY. Interacts with USP6; the interaction is calcium dependent. Interacts with CDK5RAP2. Interacts with SCN5A. Interacts with RYR1 and RYR2.

Subcellular Location:
Cytoplasm, cytoskeleton, spindle. Cytoplasm, cytoskeleton, spindle pole. Note=Distributed throughout the cell during interphase, but during mitosis becomes dramatically localized to the spindle poles and the spindle microtubules.

Similarity:
Belongs to the calmodulin family. Contains 4 EF-hand domains.

SWISS:
P0DP23

Gene ID:
801

Database links:

Entrez Gene: 801 Human

Entrez Gene: 12314 Mouse

Entrez Gene: 12315 Mouse

Entrez Gene: 24242 Rat

Entrez Gene: 24244 Rat

Entrez Gene: 50663 Rat

Omim: 114180 Human

Omim: 114182 Human

Omim: 114183 Human

SwissProt: P62158 Human

SwissProt: P62204 Mouse

SwissProt: P62161 Rat

Unigene: 282410 Human

Unigene: 468442 Human

Unigene: 515487 Human

Unigene: 706125 Human

Unigene: 722012 Human

Unigene: 285993 Mouse

Unigene: 288630 Mouse

Unigene: 329243 Mouse



钙离子调节素(calmodulin,CaM): 钙调蛋白(CaM),是由一条多肽链组成的单体蛋白。可结合4个Ca2+,胞浆Ca2+浓度≥10-2mmol/L时,Ca2+与CaM结合,构象改变而激活Ca2+ -CaM激酶。
产品图片
Sample: Lane1: Brain(Rat) Lysate at 30 ug Lane2: Liver(Rat) Lysate at 30 ug Primary: Anti-Calmodulin (bs-3666R) at 1:200 dilution; Secondary: HRP conjugated Goat Anti-Rabbit IgG(bs-0295G-HRP) at 1: 3000 dilution; Predicted band size : 16kD Observed band size : 20kD
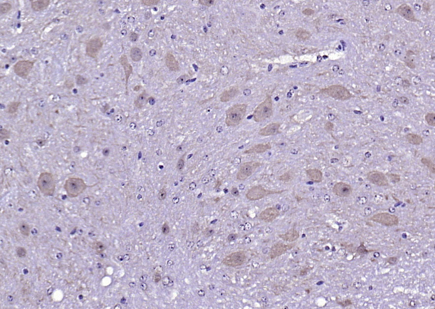
Paraformaldehyde-fixed, paraffin embedded (mouse cerebellum); Antigen retrieval by boiling in sodium citrate buffer (pH6.0) for 15min; Block endogenous peroxidase by 3% hydrogen peroxide for 20 minutes; Blocking buffer (normal goat serum) at 37°C for 30min; Antibody incubation with (Calmodulin 1/2/3) Polyclonal Antibody, Unconjugated (bs-3666R) at 1:200 overnight at 4°C, followed by operating according to SP Kit(Rabbit) (sp-0023) instructionsand DAB staining.
Paraformaldehyde-fixed, paraffin embedded (rat cerebellum); Antigen retrieval by boiling in sodium citrate buffer (pH6.0) for 15min; Block endogenous peroxidase by 3% hydrogen peroxide for 20 minutes; Blocking buffer (normal goat serum) at 37°C for 30min; Antibody incubation with (Calmodulin 1/2/3) Polyclonal Antibody, Unconjugated (bs-3666R) at 1:200 overnight at 4°C, followed by operating according to SP Kit(Rabbit) (sp-0023) instructionsand DAB staining.
Paraformaldehyde-fixed, paraffin embedded (rat spleen); Antigen retrieval by boiling in sodium citrate buffer (pH6.0) for 15min; Block endogenous peroxidase by 3% hydrogen peroxide for 20 minutes; Blocking buffer (normal goat serum) at 37°C for 30min; Antibody incubation with (Calmodulin 1/2/3) Polyclonal Antibody, Unconjugated (bs-3666R) at 1:200 overnight at 4°C, followed by operating according to SP Kit(Rabbit) (sp-0023) instructionsand DAB staining.
Tissue/cell:Human hepatocellular carcinoma; 4% Paraformaldehyde-fixed and paraffin-embedded; Antigen retrieval: citrate buffer ( 0.01M, pH 6.0 ), Boiling bathing for 15min; Block endogenous peroxidase by 3% Hydrogen peroxide for 30min; Blocking buffer (normal goat serum,C-0005) at 37℃ for 20 min; Incubation: Anti-Calmodulin Polyclonal Antibody, Unconjugated(bs-3666R) 1:400, overnight at 4°C, followed by conjugation to the secondary antibody(SP-0023) and DAB(C-0010) staining
Paraformaldehyde-fixed, paraffin embedded (rat skeletal muscle); Antigen retrieval by boiling in sodium citrate buffer (pH6.0) for 15min; Block endogenous peroxidase by 3% hydrogen peroxide for 20 minutes; Blocking buffer (normal goat serum) at 37°C for 30min; Antibody incubation with (Calmodulin 1/2/3) Polyclonal Antibody, Unconjugated (bs-3666R) at 1:200 overnight at 4°C, followed by operating according to SP Kit(Rabbit) (sp-0023) instructionsand DAB staining.
Blank control(black line):SH-SY5Y. Primary Antibody (green line): Rabbit Anti-Calmodulin 1/2/3 antibody (bs-3666R) Dilution:1ug/Test; Secondary Antibody(white blue line): Goat anti-rabbit IgG-AF488 Dilution: 0.5ug/Test. Isotype control(orange line): Normal Rabbit IgG Protocol The cells were fixed with 4% PFA (10min at room temperature)and then permeabilized with 90% ice-cold methanol for 20 min at -20℃, The cells were then incubated in 5%BSA to block non-specific protein-protein interactions for 30 min at room temperature .Cells stained with Primary Antibody for 30 min at room temperature. The secondary antibody used for 40 min at room temperature. Acquisition of 20,000 events was performed.
Blank control(black line):SH-SY5Y. Primary Antibody (green line): Rabbit Anti-Calmodulin 1/2/3 antibody (bs-3666R) Dilution:1ug/Test; Secondary Antibody(white blue line): Goat anti-rabbit IgG-AF488 Dilution: 0.5ug/Test. Isotype control(orange line): Normal Rabbit IgG Protocol The cells were fixed with 4% PFA (10min at room temperature)and then permeabilized with 90% ice-cold methanol for 20 min at -20℃, The cells were then incubated in 5%BSA to block non-specific protein-protein interactions for 30 min at room temperature .Cells stained with Primary Antibody for 30 min at room temperature. The secondary antibody used for 40 min at room temperature. Acquisition of 20,000 events was performed.
版权所有 2004-2026 www.bioss.com.cn 北京博奥森生物技术有限公司
通过国际质量管理体系ISO 9001:2015 GB/T 19001-2016    证书编号: 00124Q34771R2M/1100
通过国际医疗器械-质量管理体系ISO 13485:2016 GB/T 42061-2022     证书编号: CQC24QY20047R0M/1100
京ICP备05066980号-1         京公网安备110107000727号