扫码关注公众号           扫码咨询技术支持           扫码咨询技术服务
  
客服热线:400-901-9800  客服QQ:4009019800  技术答疑  技术支持  质量反馈  关于我们  联系我们
产品中心-北京博奥森生物技术有限公司
首页 > 产品中心 > 一抗 > 产品信息
GPR15 Rabbit pAb (bs-3699R)  
订购热线:400-901-9800
订购邮箱:sales@bioss.com.cn
订购QQ:  400-901-9800
技术支持:techsupport@bioss.com.cn
50ul/1180.00元
100ul/1980.00元
200ul/2800.00元
大包装/询价

产品编号 bs-3699R
英文名称 GPR15 Rabbit pAb
中文名称 G蛋白偶联受体15抗体
别    名 GPCR GPR15; BOB; G protein coupled receptor 15; G protein coupled receptor GPR15; GPR15_HUMAN; G-protein coupled receptor 15; Brother of Bonzo.  
研究领域 肿瘤  细胞生物  免疫学  信号转导  G蛋白偶联受体  细胞表面分子  G蛋白信号  
抗体来源 Rabbit
克隆类型 Polyclonal
克 隆 号
交叉反应 Mouse,Rat (predicted: Human,Rabbit,Dog,Horse)
产品应用 IHC-P=1:100-500,IHC-F=1:100-500,IF=1:200-800
not yet tested in other applications.
optimal dilutions/concentrations should be determined by the end user.
理论分子量 40 kDa
检测分子量
细胞定位 细胞浆 细胞膜 
性    状 Liquid
浓    度 1mg/ml
免 疫 原 KLH conjugated synthetic peptide derived from human GPR15: 51-150/360 <Extracellular>
亚    型 IgG
纯化方法 affinity purified by Protein A
缓 冲 液 0.01M TBS (pH7.4) with 1% BSA, 0.02% Proclin300 and 50% Glycerol.
保存条件 Shipped at 4℃. Store at -20℃ for one year. Avoid repeated freeze/thaw cycles.
注意事项 This product as supplied is intended for research use only, not for use in human, therapeutic or diagnostic applications.
PubMed PubMed
产品介绍 This gene encodes a G protein-coupled receptor that acts as a chemokine receptor for human immunodeficiency virus type 1 and 2. The encoded protein localizes to the cell membrane. [provided by RefSeq, Nov 2012]

Function:
Probable chemokine receptor. Alternative coreceptor with CD4 for HIV-1 infection.

Subcellular Location:
Cell membrane; Multi-pass membrane protein.

Similarity:
Belongs to the G-protein coupled receptor 1 family.

SWISS:
P49685

Gene ID:
2838

Database links:

Entrez Gene: 2838 Human

Entrez Gene: 71223 Mouse

Entrez Gene: 288181 Rat

Omim: 601166 Human

SwissProt: P49685 Human

SwissProt: Q0VDU3 Mouse

Unigene: 563128 Human

Unigene: 359970 Mouse

Unigene: 426544 Mouse



G蛋白偶联受体是一种细胞表面受体,能将细胞外的分子信号传递至细胞内激起细胞反应,对多种细胞行起调控作用。G蛋白偶联受体(GPCR)参与了机体内多种生理过程的调节,是目前治疗多种人类疾病包括代谢性疾病的药物靶点。
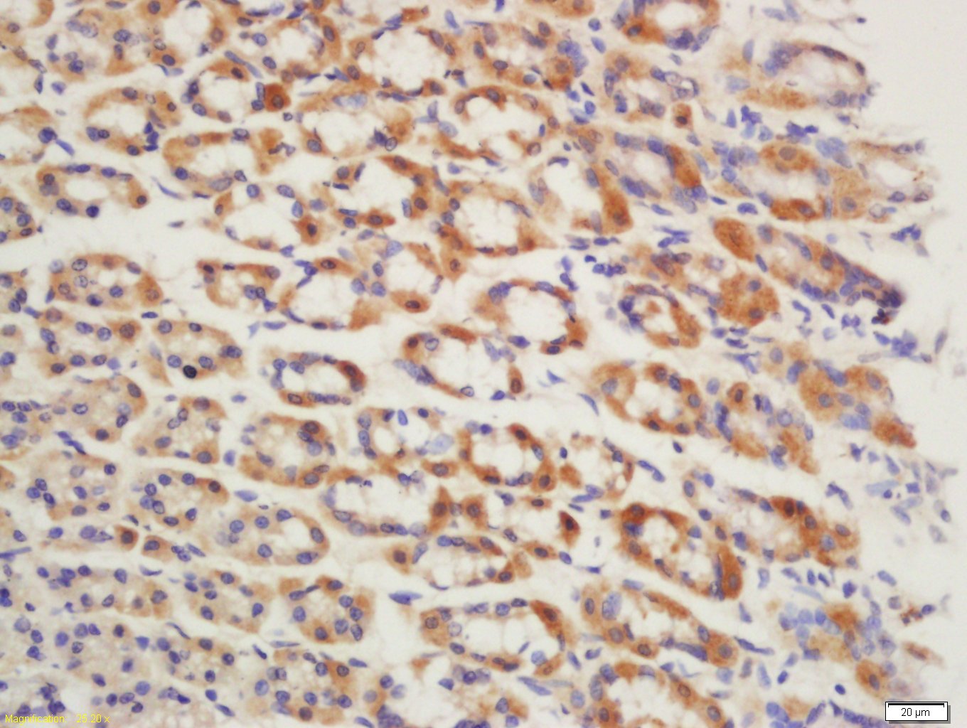
产品图片
Tissue/cell: Mouse stomach tissue; 4% Paraformaldehyde-fixed and paraffin-embedded; Antigen retrieval: citrate buffer ( 0.01M, pH 6.0 ), Boiling bathing for 15min; Block endogenous peroxidase by 3% Hydrogen peroxide for 30min; Blocking buffer (normal goat serum,C-0005) at 37℃ for 20 min; Incubation: Anti-GPR15 Polyclonal Antibody, Unconjugated(bs-3699R) 1:200, overnight at 4°C, followed by conjugation to the secondary antibody(SP-0023) and DAB(C-0010) staining
Tissue/cell: rat stomach tissue; Frozen section; Block endogenous peroxidase by 3% Hydrogen peroxide for 30min; Blocking buffer (normal goat serum,C-0005) at 37℃ for 20 min; Incubation: Anti-GPR15 Polyclonal Antibody, Unconjugated(bs-3699R) 1:200, overnight at 4°C, followed by conjugation to the secondary antibody(SP-0023) and DAB(C-0010) staining
版权所有 2004-2026 www.bioss.com.cn 北京博奥森生物技术有限公司
通过国际质量管理体系ISO 9001:2015 GB/T 19001-2016    证书编号: 00124Q34771R2M/1100
通过国际医疗器械-质量管理体系ISO 13485:2016 GB/T 42061-2022     证书编号: CQC24QY20047R0M/1100
京ICP备05066980号-1         京公网安备110107000727号