扫码关注公众号           扫码咨询技术支持           扫码咨询技术服务
  
客服热线:400-901-9800  客服QQ:4009019800  技术答疑  技术支持  质量反馈  人才招聘  关于我们  联系我们
产品中心-北京博奥森生物技术有限公司
首页 > 产品中心 > 一抗 > 产品信息
ATG13 Rabbit pAb (bs-3864R)  
订购热线:400-901-9800
订购邮箱:sales@bioss.com.cn
订购QQ:  400-901-9800
技术支持:techsupport@bioss.com.cn
50ul/1180.00元
100ul/1980.00元
200ul/2800.00元
大包装/询价

产品编号 bs-3864R
英文名称 ATG13 Rabbit pAb
中文名称 自噬相关蛋白13抗体
别    名 KIAA0652; PARATARG8; 1110053A20Rik; D2Ertd391e; Harbi1; Harbi1l; RGD1310685; zgc:63526; ATG13_BOVIN; ATG13; ATG13_HUMAN; ATG13_MOUSE; ATG13_DANRE;   
Specific References  (1)     |     bs-3864R has been referenced in 1 publications.
[IF=2.685] Yang, Ningning. et al. bta-miR-2904 inhibits bovine viral diarrhea virus replication by targeting viral-infection-induced autophagy via ATG13. ARCH VIROL. 2023 Jan;168(1):1-8  WB ;  Bovine.  
研究领域 肿瘤  新陈代谢  线粒体  
抗体来源 Rabbit
克隆类型 Polyclonal
克 隆 号
交叉反应 Mouse,Rat (predicted: Human,Rabbit,Pig,Sheep,Chicken,Dog)
产品应用 IHC-P=1:400-800,IHC-F=1:400-800,IF=1:100-500
not yet tested in other applications.
optimal dilutions/concentrations should be determined by the end user.
理论分子量 57 kDa
细胞定位 细胞浆 线粒体
性    状 Liquid
浓    度 1mg/ml
免 疫 原 KLH conjugated synthetic peptide derived from human ATG13: 51-150/517 
亚    型 IgG
纯化方法 affinity purified by Protein A
缓 冲 液 0.01M TBS (pH7.4) with 1% BSA, 0.02% Proclin300 and 50% Glycerol.
保存条件 Shipped at 4℃. Store at -20℃ for one year. Avoid repeated freeze/thaw cycles.
注意事项 This product as supplied is intended for research use only, not for use in human, therapeutic or diagnostic applications.
PubMed PubMed
产品介绍 Autophagy factor required for autophagosome formation. Target of the TOR kinase signaling pathway that regulates autophagy through the control of the phosphorylation status of ATG13 and ULK1, and the regulation of the ATG13-ULK1-RB1CC1 complex.

Function:
Autophagy factor required for autophagosome formation and mitophagy. Target of the TOR kinase signaling pathway that regulates autophagy through the control of the phosphorylation status of ATG13 and ULK1, and the regulation of the ATG13-ULK1-RB1CC1 complex. Through its regulation of ULK1 activity, plays a role in the regulation of the kinase activity of mTORC1 and cell proliferation.

Subunit:
Part of a complex consisting of ATG13, ULK1 and RB1CC1. Interacts with ATG101. Interacts with ULK1 (via C-terminus). Interacts with ULK2 (via C-terminus).

Subcellular Location:
Cytoplasm, cytosol.Preautophagosomal structure.

Post-translational modifications:
Phosphorylated by ULK1, ULK2 and mTOR. Phosphorylation status depends on nutrient-rich conditions; dephosphorylated during starvation or following treatment with rapamycin. ULK1-mediated phosphorylation of ATG13 at Ser-355 is required for efficient clearance of depolarized mitochondria.

Similarity:
Belongs to the ATG13 metazoan family.

SWISS:
O75143

Gene ID:
9776

Database links:

Entrez Gene: 507340 Cow

Entrez Gene: 9776 Human

Entrez Gene: 51897 Mouse

Entrez Gene: 362164 Rat

Entrez Gene: 393405 Zebrafish

SwissProt: Q08DY8 Cow

SwissProt: O75143 Human

SwissProt: Q91YI1 Mouse

SwissProt: Q7SYE0 Zebrafish

Unigene: 127403 Human

Unigene: 28492 Mouse

Unigene: 98797 Rat

Unigene: 82470 Zebrafish



产品图片
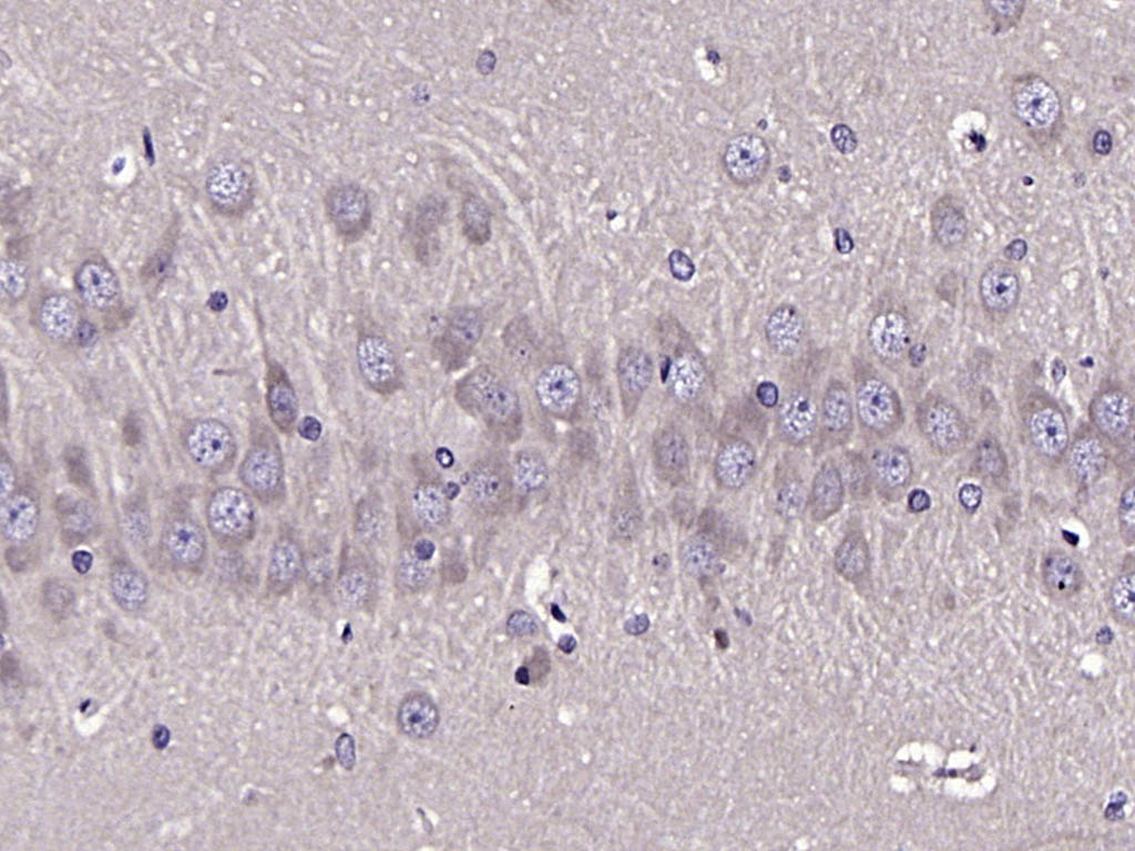
Paraformaldehyde-fixed, paraffin embedded Mouse Cerebellum; Antigen retrieval by boiling in sodium citrate buffer (pH6.0) for 15 min; Antibody incubation with ATG13 Polyclonal Antibody, Unconjugated (bs-3864R) at 1:200 overnight at 4°C, followed by conjugation to the bs-0295G-HRP and DAB (C-0010) staining.
Paraformaldehyde-fixed, paraffin embedded Rat Cerebellum; Antigen retrieval by boiling in sodium citrate buffer (pH6.0) for 15 min; Antibody incubation with ATG13 Polyclonal Antibody, Unconjugated (bs-3864R) at 1:200 overnight at 4°C, followed by conjugation to the bs-0295G-HRP and DAB (C-0010) staining.
Paraformaldehyde-fixed, paraffin embedded Rat Cerebrum; Antigen retrieval by boiling in sodium citrate buffer (pH6.0) for 15 min; Antibody incubation with ATG13 Polyclonal Antibody, Unconjugated (bs-3864R) at 1:200 overnight at 4°C, followed by conjugation to the bs-0295G-HRP and DAB (C-0010) staining.
版权所有 2004-2026 www.bioss.com.cn 北京博奥森生物技术有限公司
通过国际质量管理体系ISO 9001:2015 GB/T 19001-2016    证书编号: 00124Q34771R2M/1100
通过国际医疗器械-质量管理体系ISO 13485:2016 GB/T 42061-2022     证书编号: CQC24QY20047R0M/1100
京ICP备05066980号-1         京公网安备110107000727号