扫码关注公众号           扫码咨询技术支持           扫码咨询技术服务
  
客服热线:400-901-9800  客服QQ:4009019800  技术答疑  技术支持  质量反馈  人才招聘  关于我们  联系我们
产品中心-北京博奥森生物技术有限公司
首页 > 产品中心 > 一抗 > 产品信息
HSD3B1 Rabbit pAb (bs-3906R)  
订购热线:400-901-9800
订购邮箱:sales@bioss.com.cn
订购QQ:  400-901-9800
技术支持:techsupport@bioss.com.cn
50ul/1180.00元
100ul/1980.00元
200ul/2800.00元
大包装/询价

产品编号 bs-3906R
英文名称 HSD3B1 Rabbit pAb
中文名称 滋养层细胞抗原3β-HSD抗体
别    名 3BETAHSD; HSD3B; HSDB3; HSDB3A; SDR11E1; 3-beta-HSD I; D3Ertd383e; 3BHS1_HUMAN; HSD3B1; 3 beta-hydroxysteroid dehydrogenase/Delta 5-->4-isomerase type I (3-beta-HSD I); 3-beta-hydroxy-5-ene steroid dehydrogenase; 3-beta-hydroxy-Delta(5)-steroid dehydrogenase; 3-beta-hydroxysteroid 3-dehydrogenase; Delta-5-3-ketosteroid isomerase; Dihydrotestosterone oxidoreductase; Steroid Delta-isomerase; Trophoblast antigen FDO161G; 3BH; 3BHS2_MOUSE; Hsd3b2; 3 beta-hydroxysteroid dehydrogenase/Delta 5-->4-isomerase type II (3-beta-HSD II); 3BHS1_RAT; hydroxy-delta-5-steroid dehydrogenase, 3 beta- and steroid delta-isomerase 1; short chain dehydrogenase/reductase family 11E, member 1  
Specific References  (14)     |     bs-3906R has been referenced in 14 publications.
[IF=14.224] Wenqing Xu. et al. Oral exposure to polystyrene nanoplastics reduced male fertility and even caused male infertility by inducing testicular and sperm toxicities in mice. J HAZARD MATER. 2023 Jul;454:131470  IF ;  Mouse.  
[IF=7.129] Hui Zhao. et al. Alleviating effects of selenium on fluoride-induced testosterone synthesis disorder and reproduction toxicity in rats. ECOTOX ENVIRON SAFE. 2022 Dec;247:114249  WB, IHC ;  Rat.  
[IF=6.551] Daojuan Wanget al. Exposure to hyperandrogen drives ovarian dysfunction and fibrosis by activating the NLRP3 inflammasome in mice. Sci Total Environ . 2020 Nov 25;745:141049.  WB ;  mouse.  
[IF=6.208] Sijie Fan. et al. Seasonal Change in Adiponectin Associated with Ovarian Morphology and Function in Wild Ground Squirrels (Citellus dauricus Brandt). INT J MOL SCI. 2022 Jan;23(23):14698  IHC ;  Squirrel.  
[IF=4.014] Chong Li. et al. The adiponectin receptor agonist, AdipoRon, promotes reproductive hormone secretion and gonadal development via the hypothalamic-pituitary-gonadal axis in chickens. POULTRY SCIENCE. 2022 Nov;:102319  WB ;  Chicken.  
[IF=3.738] Li, Wanpan. et al. Exposure to Fluoride From in Utero to Puberty Alters Gonadal Structure and Steroid Hormone Expression in Offspring Rats. BIOL TRACE ELEM RES. 2022 Apr;:1-13  WB ;  Rat.  
[IF=3.188] Zeqi Tang. et al. Seasonal changes in the expression of PACAP, VPAC1, VPAC2, PAC1 and testicular activity in the testis of the muskrat (Ondatra zibethicus). EUR J HISTOCHEM. 2022 Mar 24; 66(2): 3398  IHC ;  Rat.  
[IF=2.923] Heng Yang. et al. miR-665 overexpression inhibits the apoptosis of luteal cells in small ruminants suppressing HPGDS. THERIOGENOLOGY. 2023 Aug;206:40  ICC ;  Sheep.  
[IF=2.752] Lijun Dai. et al. The Distribution, Expression Patterns and Functional Analysis of NR1D1 and NR4A2 in the Reproductive Axis Tissues of the Male Tianzhu White Yak. Animals-Basel. 2021 Nov;11(11):3117  IHC ;  Cow.  
[IF=2.74] Wanhong Li. et al. Dietary supplementation of grape seed tannin extract stimulated testis development, changed fatty acid profiles and increased testis antioxidant capacity in pre-puberty hu lambs. Theriogenology. 2021 Sep;172:160  WB ;  Sheep.  
[IF=2.416] Yang, Meixia. et al. Cytosine-phosphate-guanine oligodeoxynucleotides regulate the cell cycle, apoptosis, and steroidogenesis of mouse ovarian granulosa cells by targeting inhibin alpha (1 ~ 32) fragments. IN VITRO CELL DEV-AN. In Vitro Cell Dev-An. 2022 Apr;:1-12  WB ;  Mouse.  
[IF=1.858] Zihui Wang. et al. Heat stress and hypoxia inhibit the secretion of androgens and induce epithelial-to-mesenchymal transition associated with activated TGF-β/Smad signaling in canine cryptorchidism. REPROD DOMEST ANIM. 2022 Jun 09  IF ;  Dog.  
[IF=1.54] Xiyan Wang. et al. The optimized research of the in vitro culture of preantral follicles in mice. J Clin Lab Anal. 2020 Nov;34(11):e23498  WB ;  Mouse.  
[IF=0.607] Yang F et al. Effect of Bone Morphogenetic Protein 6 (BMP6) on Chicken Granulose Cells Proliferation and Progesterone Synthesis. Brazilian Journal of Poultry Science.2019 Feb.  WB ;  Chicken.  
研究领域 肿瘤  细胞生物  免疫学  
抗体来源 Rabbit
克隆类型 Polyclonal
交叉反应 Mouse,Rat (predicted: Human,Cow,Dog,Horse)
产品应用 IHC-P=1:100-500,IHC-F=1:100-500,IF=1:100-500
not yet tested in other applications.
optimal dilutions/concentrations should be determined by the end user.
理论分子量 41kDa
细胞定位 细胞浆 细胞膜 
性    状 Liquid
浓    度 1mg/ml
免 疫 原 KLH conjugated synthetic peptide derived from human HSD3B1: 301-373/373 
亚    型 IgG
纯化方法 affinity purified by Protein A
缓 冲 液 0.01M TBS (pH7.4) with 1% BSA, 0.02% Proclin300 and 50% Glycerol.
保存条件 Shipped at 4℃. Store at -20℃ for one year. Avoid repeated freeze/thaw cycles.
注意事项 This product as supplied is intended for research use only, not for use in human, therapeutic or diagnostic applications.
PubMed PubMed
产品介绍 The protein encoded by this gene is a bifunctional enzyme that catalyzes the oxidative conversion of delta(5)-ene-3-beta-hydroxy steroid, and the oxidative conversion of ketosteroids. It plays a crucial role in the biosynthesis of all classes of hormonal steroids. This gene is predominantly expressed in the adrenals and the gonads. Mutations in this gene are associated with 3-beta-hydroxysteroid dehydrogenase, type II, deficiency. Alternatively spliced transcript variants have been found for this gene. [provided by RefSeq, Oct 2009]

Subcellular Location:
Endoplasmic reticulum membrane; Single-pass membrane protein. Mitochondrion membrane; Single-pass membrane protein.

Tissue Specificity:
Placenta and skin. Predominantly expressed in mammary gland tissue.

Similarity:
Belongs to the 3-beta-HSD family.

SWISS:
P14060

Gene ID:
3283

Database links:

Entrez Gene: 3283 Human

Entrez Gene: 15492 Mouse

SwissProt: P14060 Human

SwissProt: P26149 Mouse

SwissProt: P22071 Rat



HSD3B1属于滋养层细胞标记物(也包括hPL、hCG、Mel-CAN、p63、HLA—G、CK18和inhibin-α) 在很多肿瘤及正常内分泌组织中表达也很高。
产品图片
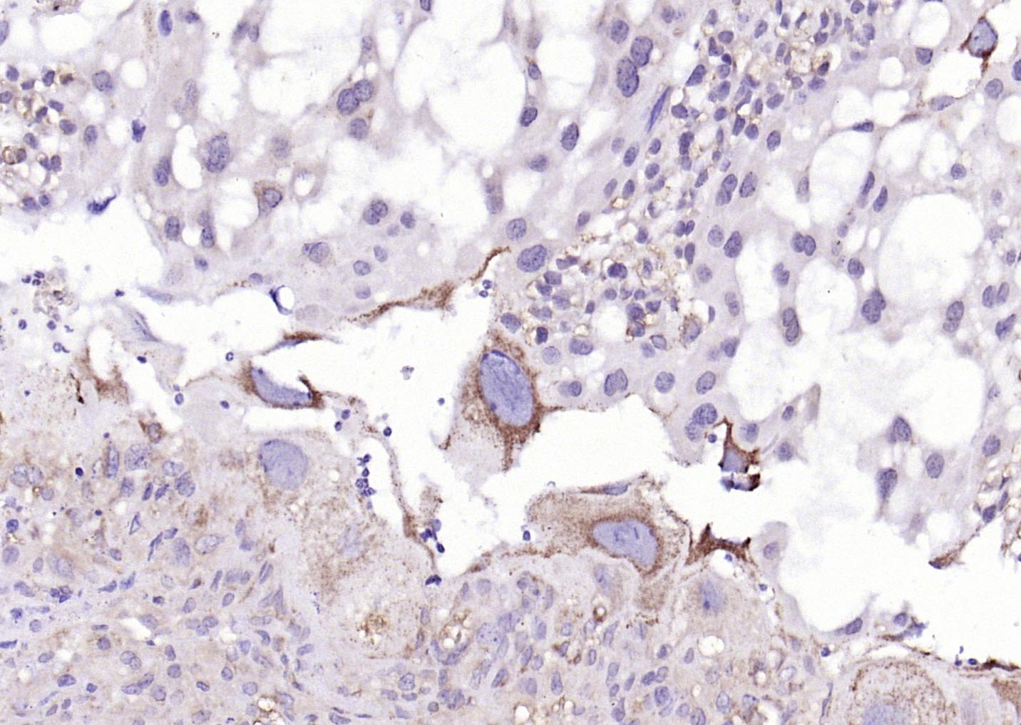
Paraformaldehyde-fixed, paraffin embedded (Rat liver); Antigen retrieval by boiling in sodium citrate buffer (pH6.0) for 15min; Block endogenous peroxidase by 3% hydrogen peroxide for 20 minutes; Blocking buffer (normal goat serum) at 37°C for 30min; Antibody incubation with (HSD3B1) Polyclonal Antibody, Unconjugated (bs-3906R) at 1:400 overnight at 4°C, followed by a conjugated secondary (sp-0023) for 20 minutes and DAB staining.
Paraformaldehyde-fixed, paraffin embedded (Rat kidney); Antigen retrieval by boiling in sodium citrate buffer (pH6.0) for 15min; Block endogenous peroxidase by 3% hydrogen peroxide for 20 minutes; Blocking buffer (normal goat serum) at 37°C for 30min; Antibody incubation with (HSD3B1) Polyclonal Antibody, Unconjugated (bs-3906R) at 1:400 overnight at 4°C, followed by a conjugated secondary (sp-0023) for 20 minutes and DAB staining.
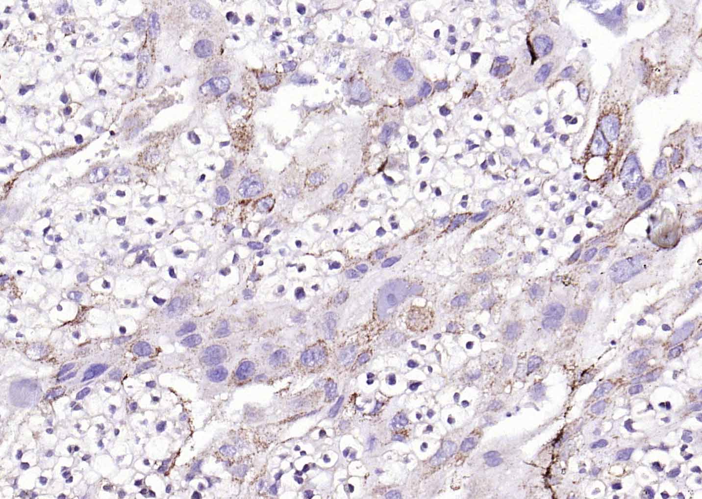
Paraformaldehyde-fixed, paraffin embedded (rat ovary); Antigen retrieval by boiling in sodium citrate buffer (pH6.0) for 15min; Block endogenous peroxidase by 3% hydrogen peroxide for 20 minutes; Blocking buffer (normal goat serum) at 37°C for 30min; Antibody incubation with (HSD3B1) Polyclonal Antibody, Unconjugated (bs-3906R) at 1:200 overnight at 4°C, followed by operating according to SP Kit(Rabbit) (sp-0023) instructionsand DAB staining.
Paraformaldehyde-fixed, paraffin embedded (rat placenta); Antigen retrieval by boiling in sodium citrate buffer (pH6.0) for 15min; Block endogenous peroxidase by 3% hydrogen peroxide for 20 minutes; Blocking buffer (normal goat serum) at 37°C for 30min; Antibody incubation with (HSD3B1) Polyclonal Antibody, Unconjugated (bs-3906R) at 1:200 overnight at 4°C, followed by operating according to SP Kit(Rabbit) (sp-0023) instructionsand DAB staining.
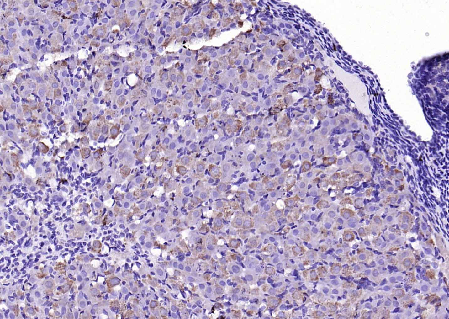
Paraformaldehyde-fixed, paraffin embedded (mouse ovary); Antigen retrieval by boiling in sodium citrate buffer (pH6.0) for 15min; Block endogenous peroxidase by 3% hydrogen peroxide for 20 minutes; Blocking buffer (normal goat serum) at 37°C for 30min; Antibody incubation with (HSD3B1) Polyclonal Antibody, Unconjugated (bs-3906R) at 1:200 overnight at 4°C, followed by operating according to SP Kit(Rabbit) (sp-0023) instructionsand DAB staining.
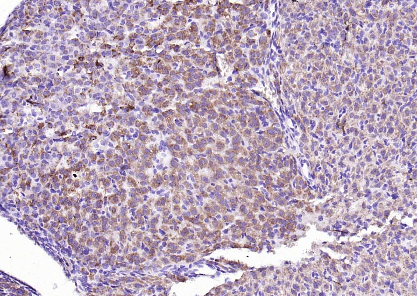
Paraformaldehyde-fixed, paraffin embedded (mouse placenta); Antigen retrieval by boiling in sodium citrate buffer (pH6.0) for 15min; Block endogenous peroxidase by 3% hydrogen peroxide for 20 minutes; Blocking buffer (normal goat serum) at 37°C for 30min; Antibody incubation with (HSD3B1) Polyclonal Antibody, Unconjugated (bs-3906R) at 1:200 overnight at 4°C, followed by operating according to SP Kit(Rabbit) (sp-0023) instructionsand DAB staining.
版权所有 2004-2026 www.bioss.com.cn 北京博奥森生物技术有限公司
通过国际质量管理体系ISO 9001:2015 GB/T 19001-2016    证书编号: 00124Q34771R2M/1100
通过国际医疗器械-质量管理体系ISO 13485:2016 GB/T 42061-2022     证书编号: CQC24QY20047R0M/1100
京ICP备05066980号-1         京公网安备110107000727号