扫码关注公众号           扫码咨询技术支持           扫码咨询技术服务
  
客服热线:400-901-9800  客服QQ:4009019800  技术答疑  技术支持  质量反馈  关于我们  联系我们
产品中心-北京博奥森生物技术有限公司
首页 > 产品中心 > 一抗 > 产品信息
PDE5A Rabbit pAb (bs-2349R)  
订购热线:400-901-9800
订购邮箱:sales@bioss.com.cn
订购QQ:  400-901-9800
技术支持:techsupport@bioss.com.cn
50ul/1180.00元
100ul/1980.00元
200ul/2800.00元
大包装/询价

产品编号 bs-2349R
英文名称 PDE5A Rabbit pAb
中文名称 磷酸二酯酶5A抗体
别    名 5''-cyclic phosphodiesterase; CGB PDE; CGB-PDE; CGBPDE; cGMP binding cGMP specific 3' 5' cyclic nucleotide phosphodiesterase; cGMP binding cGMP specific 35 cyclic nucleotide phosphodiesterase; cGMP binding cGMP specific phosphodiesterase; cGMP binding/cGMP specific phosphodiesterase; cGMP specific 3'5' cyclic phosphodiesterase; cGMP specific phosphodiesterase PDE5A2; cGMP specific phosphodiesterase type 5A; cGMP-binding cGMP-specific phosphodiesterase; cGMP-specific 3'; CN5A; CN5N; PDE 5; PDE 5A; PDE5; PDE5A_HUMAN; PDE5A1; phosphodiesterase 5A; phosphodiesterase 5A cGMP specific; phosphodiesterase isozyme 5.  
研究领域 肿瘤  心血管  细胞生物  免疫学  染色质和核信号  信号转导  新陈代谢  
抗体来源 Rabbit
克隆类型 Polyclonal
克 隆 号
交叉反应 Human,Rat (predicted: Mouse,Rabbit,Pig,Sheep,Cow,Chicken,Dog,GuineaPig,Horse)
产品应用 WB=1:500-2000,IHC-P=1:100-500,IHC-F=1:100-500,IF=1:100-500,Flow-Cyt=0.2μg/Test
not yet tested in other applications.
optimal dilutions/concentrations should be determined by the end user.
理论分子量 100 kDa
检测分子量
细胞定位 细胞浆 
性    状 Liquid
浓    度 1mg/ml
免 疫 原 KLH conjugated synthetic peptide derived from human PDE5A: 101-200/875 
亚    型 IgG
纯化方法 affinity purified by Protein A
缓 冲 液 0.01M TBS (pH7.4) with 1% BSA, 0.02% Proclin300 and 50% Glycerol.
保存条件 Shipped at 4℃. Store at -20℃ for one year. Avoid repeated freeze/thaw cycles.
注意事项 This product as supplied is intended for research use only, not for use in human, therapeutic or diagnostic applications.
PubMed PubMed
产品介绍 The cGMP specific phosphodiesterase type 5A (PDE5A) family is comprised of 2 genes (PDE5A and PDE5B) each with multiple splice variants generated by RNA splicing and use of alternate initiation sites. The PDE5 is highly expressed in aorta and lungs, intestine, kidney adrenal gland cerebellum and cerebrum. In cerebellum the PDE5 is highly expressed during neonatal development in Purkinge cells layer. The PDE5 is also abundant in vascular smooth muscle regulating cGMP levels and vascular smooth muscle tonicity. In corpus cavernosum inhibition of PDE5 by sildenafil corrects erectile dysfunctions. The nitric oxide donor sodium notropurside (SNP) stimulate PDE5 activity by cGMP dependent kinase phosphorylation. PDE5A1 has 875 amino acids (99.5 kDa). The amino terminal 142 amino acid of the PDE5 gene showed no sequence homology with other PDEs and also contained serine 92 that is phosphorylated by cGMP kinases.

Function:
Plays a role in signal transduction by regulating the intracellular concentration of cyclic nucleotides. This phosphodiesterase catalyzes the specific hydrolysis of cGMP to 5'-GMP.

Tissue Specificity:
Expressed in aortic smooth muscle cells, heart, placenta, skeletal muscle and pancreas and, to a much lesser extent, in brain, liver and lung.

Post-translational modifications:
Phosphorylation is regulated by binding of cGMP to the two allosteric sites (By similarity). Phosphorylation by PRKG1 leads to its activation.

Similarity:
Belongs to the cyclic nucleotide phosphodiesterase family.
Contains 2 GAF domains.

Gene ID:
8654

Database links:
UniProtKB/Swiss-Prot: O76074.2

产品图片
Sample: Lane 1: HT1080 (Human) Cell Lysate at 30 ug Lane 2: SH-SY5Y (Human) Cell Lysate at 30 ug Primary: Anti-PDE5A (bs-2349R) at 1/1000 dilution Secondary: IRDye800CW Goat Anti-Rabbit IgG at 1/20000 dilution Predicted band size: 98 kD Observed band size: 110 kD
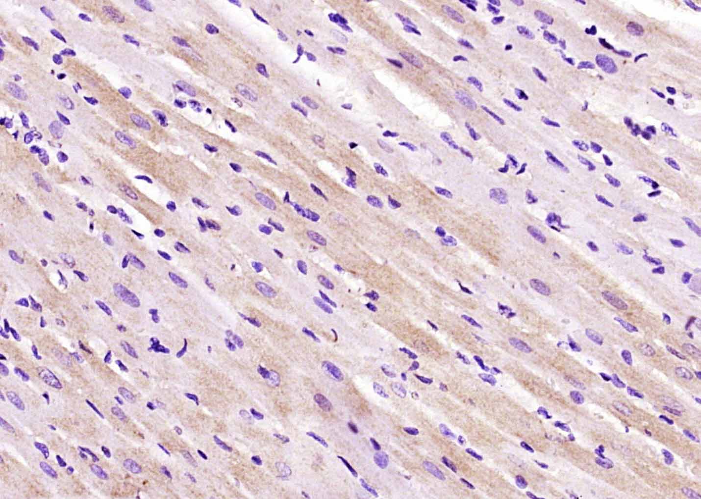
Paraformaldehyde-fixed, paraffin embedded (rat heart tissue); Antigen retrieval by boiling in sodium citrate buffer (pH6.0) for 15min; Block endogenous peroxidase by 3% hydrogen peroxide for 20 minutes; Blocking buffer (normal goat serum) at 37°C for 30min; Antibody incubation with (PDE5A) Polyclonal Antibody, Unconjugated (bs-2349R) at 1400 overnight at 4°C, followed by operating according to SP Kit(Rabbit) (sp-0023) instructionsand DAB staining.
Blank control: RSC96(blue), the cells were fixed with 2% paraformaldehyde (10 min) and then permeabilized with ice-cold 90% methanol for 30 min on ice. Isotype Control Antibody: Rabbit IgG(orange) ; Secondary Antibody: Goat anti-rabbit IgG-PE(white blue), Dilution: 1:200 in 1 X PBS containing 0.5% BSA ; Primary Antibody Dilution: 0.2 μg in 100 μL1X PBS containing 0.5% BSA(green).
版权所有 2004-2026 www.bioss.com.cn 北京博奥森生物技术有限公司
通过国际质量管理体系ISO 9001:2015 GB/T 19001-2016    证书编号: 00124Q34771R2M/1100
通过国际医疗器械-质量管理体系ISO 13485:2016 GB/T 42061-2022     证书编号: CQC24QY20047R0M/1100
京ICP备05066980号-1         京公网安备110107000727号