扫码关注公众号           扫码咨询技术支持           扫码咨询技术服务
  
客服热线:400-901-9800  客服QQ:4009019800  技术答疑  技术支持  质量反馈  关于我们  联系我们
产品中心-北京博奥森生物技术有限公司
首页 > 产品中心 > 一抗 > 产品信息
LKB1 Rabbit pAb (bs-3948R)  
订购热线:400-901-9800
订购邮箱:sales@bioss.com.cn
订购QQ:  400-901-9800
技术支持:techsupport@bioss.com.cn
50ul/1180.00元
100ul/1980.00元
200ul/2800.00元
大包装/询价

产品编号 bs-3948R
英文名称 LKB1 Rabbit pAb
中文名称 苏氨酸蛋白激酶LKB1抗体
别    名 LKB1; PJS; Renal carcinoma antigen NY-REN-19; Serine/Threonine Kinase 11; Serine/threonine protein kinase 11; Serine/threonine protein kinase LKB1; Serine/threonine-protein kinase 11; Serine/threonine-protein kinase LKB1; Stk11; STK11_HUMAN; hLKB1; Liver kinase B1; LKB 1; NY REN 19 antigen; Peutz Jeghers syndrome; PJS; Polarization related protein LKB1; Serine/threonine protein kinase STK11; Serine/threonine-protein kinase XEEK1; STK 11.  
Specific References  (7)     |     bs-3948R has been referenced in 7 publications.
[IF=5.23] Zhao, Yong, et al. "Hydrogen Sulfide and/or Ammonia Reduces Spermatozoa Motility through AMPK/AKT Related Pathways." Scientific Reports 6 (2016): 37884.  WB ;  Pig.  
[IF=4.2] Zhang, Weidong, et al. "Decrease in male mouse fertility by hydrogen sulfide and/or ammonia can Be inheritable." Chemosphere (2017).  IHC-P ;  Mouse.  
[IF=3.85] Wang, Yandi, et al. "Regulation of steroid hormones and energy status with cysteamine and its effect on spermatogenesis." Toxicology and Applied Pharmacology (2016).  IHC-P ;  Sheep.  
[IF=3.547] Zhang LB et al. Pregnancy exposure to carbon black nanoparticles exacerbates bleomycin-induced lung fibrosis in offspring via disrupting LKB1-AMPK-ULK1 axis-mediated autophagy. Toxicology, 2019, 152244.  WB ;  Mouse.  
[IF=3.182] He L et al. Tumor Suppressor LKB1 inhibits both the mRNA Expression and the Amplification of hTERC by the Phosphorylation of YAP in Lung Cancer Cells. J Cancer 2019; 10(16):3632-3638.  WB ;  Human.  
[IF=2.629] Cao Zhanhong. et al. Protective Effects of Huangqi Shengmai Yin on Type 1 Diabetes-Induced Cardiomyopathy by Improving Myocardial Lipid Metabolism. Evid-Based Compl Alt. 2021;2021:5590623  WB ;  Mouse.  
[IF=1.832] Yao C et al. Data Mining and Validation of AMPK Pathway as a Novel Candidate Role Affecting Intramuscular Fat Content in Pigs. Animals (Basel). 2019 Apr 1;9(4). pii: E137.  WB ;  Pig.  
研究领域 肿瘤  细胞生物  免疫学  信号转导  转录调节因子  
抗体来源 Rabbit
克隆类型 Polyclonal
克 隆 号
交叉反应 Human,Mouse,Rat (predicted: Rabbit,Pig,Sheep,Cow,Chicken,Dog,Horse)
产品应用 WB=1:500-2000,IHC-P=1:100-500,IHC-F=1:100-500,IF=1:100-500,Flow-Cyt=2ug/Test
not yet tested in other applications.
optimal dilutions/concentrations should be determined by the end user.
理论分子量 48 kDa
检测分子量
细胞定位 细胞核 细胞浆 细胞膜 
性    状 Liquid
浓    度 1mg/ml
免 疫 原 KLH conjugated synthetic peptide derived from human LKB1: 21-120/433 
亚    型 IgG
纯化方法 affinity purified by Protein A
缓 冲 液 0.01M TBS (pH7.4) with 1% BSA, 0.02% Proclin300 and 50% Glycerol.
保存条件 Shipped at 4℃. Store at -20℃ for one year. Avoid repeated freeze/thaw cycles.
注意事项 This product as supplied is intended for research use only, not for use in human, therapeutic or diagnostic applications.
PubMed PubMed
产品介绍 This gene, which encodes a member of the serine/threonine kinase family, regulates cell polarity and functions as a tumor suppressor. Mutations in this gene have been associated with Peutz-Jeghers syndrome, an autosomal dominant disorder characterized by the growth of polyps in the gastrointestinal tract, pigmented macules on the skin and mouth, and other neoplasms. Alternate transcriptional splice variants of this gene have been observed but have not been thoroughly characterized. [provided by RefSeq, Jul 2008].

Function:
Tumor suppressor serine/threonine-protein kinase that controls the activity of AMP-activated protein kinase (AMPK) family members, thereby playing a role in various processes such as cell metabolism, cell polarity, apoptosis and DNA damage response. Acts by phosphorylating the T-loop of AMPK family proteins, leading to promote their activity: phosphorylates PRKAA1, PRKAA2, BRSK1, BRSK2, MARK1, MARK2, MARK3, MARK4, NUAK1, NUAK2, SIK1, SIK2, SIK3 and SNRK but not MELK. Also phosphorylates non-AMPK family proteins such as STRADA and possibly p53/TP53. Acts as a key upstream regulator of AMPK by mediating phosphorylation and activation of AMPK catalytic subunits PRKAA1 and PRKAA2: it thereby regulates inhibition of signaling pathways that promote cell growth and proliferation when energy levels are low, glucose homeostasis in liver, activation of autophagy when cells undergo nutrient deprivation, B-cell differentiation in the germinal center in response to DNA damage. Also acts as a regulator of cellular polarity by remodeling the actin cytoskeleton. Required for cortical neurons polarization by mediating phosphorylation and activation of BRSK1 and BRSK2, leading to axon initiation and specification. Involved in DNA damage response: interacts with p53/TP53 and recruited to the CDKN1A/WAF1 promoter to participate to transcription activation. Able to phosphorylate p53/TP53; the relevance of such result in vivo is however unclear and phosphorylation may be indirect and mediated by downstream STK11/LKB1 kinase NUAK1 Also acts as a mediator p53/TP53-dependent apoptosis via interaction with p53/TP53: translocates to mitochondrion during apoptosis and regulates p53/TP53-dependent apoptosis pathways.

Subunit:
Catalytic component of a trimeric complex composed of STK11/LKB1, STRAD (STRADA or STRADB) and CAB39/MO25 (CAB39/MO25alpha or CAB39L/MO25beta): the complex tethers STK11/LKB1 in the cytoplasm and stimulates its catalytic activity. Found in a ternary complex composed of SMAD4, STK11/LKB1 and STK11IP. Interacts with p53/TP53, SMAD4, STK11IP and WDR6.

Subcellular Location:
Nucleus. Cytoplasm. Membrane. Mitochondrion. Note=A small fraction localizes at membranes. Relocates to the cytoplasm when bound to STRAD (STRADA or STRADB) and CAB39/MO25 (CAB39/MO25alpha or CAB39L/MO25beta). Translocates to mitochondrion during apoptosis.

Tissue Specificity:
Ubiquitously expressed. Strongest expression in testis and fetal liver.

Post-translational modifications:
Phosphorylated by ATM at Thr-363 following ionizing radiations (IR). Phosphorylation at Ser-428 by RPS6KA1 and/or some PKA is required to inhibit cell growth. Phosphorylation at Ser-428 is also required during neuronal polarization to mediate phosphorylation of BRSK1 and BRSK2.

DISEASE:
Defects in STK11 are a cause of Peutz-Jeghers syndrome (PJS) [MIM:175200]. PJS is a rare hereditary disease in which there is predisposition to benign and malignant tumors of many organ systems. PJS is an autosomal dominant disorder characterized by melanocytic macules of the lips, multiple gastrointestinal hamartomatous polyps and an increased risk for various neoplasms, including gastrointestinal cancer.

Defects in STK11 have been associated with testicular tumors (TEST) [MIM:273300]. A common solid malignancy in males. Germ cell tumors of the testis constitute 95% of all testicular neoplasms.

Note=Defects in STK11 are associated with some sporadic cancers, especially lung cancers. Frequently mutated and inactivated in non-small cell lung cancer (NSCLC). Defects promote lung cancerigenesis process, especially lung cancer progression and metastasis. Confers lung adenocarcinoma the ability to trans-differentiate into squamous cell carcinoma. Also able to promotes lung cancer metastasis, via both cancer-cell autonomous and non-cancer-cell autonomous mechanisms.

Similarity:
Belongs to the protein kinase superfamily. CAMK Ser/Thr protein kinase family. LKB1 subfamily.
Contains 1 protein kinase domain.

SWISS:
Q15831

Gene ID:
6794

Database links:

Entrez Gene: 6794 Human

Entrez Gene: 20869 Mouse

Omim: 602216 Human

SwissProt: Q15831 Human

SwissProt: Q9WTK7 Mouse

Unigene: 515005 Human



产品图片
Sample: Testis (Mouse) Lysate at 40 ug Primary: Anti-LKB1 (bs-3948R) at 1/300 dilution Secondary: IRDye800CW Goat Anti-Rabbit IgG at 1/20000 dilution Predicted band size: 48 kD Observed band size: 48 kD
Sample: Hela Cell (Human) Lysate at 40 ug Primary: Anti-LKB1 (bs-3948R) at 1/300 dilution Secondary: IRDye800CW Goat Anti-Rabbit IgG at 1/20000 dilution Predicted band size: 48 kD Observed band size: 50 kD
Sample: Lane 1: Spleen (Mouse) Lysate at 40 ug Lane 2: Lung (Mouse) Lysate at 40 ug Primary: Anti-LKB1 (bs-3948R) at 1/1000 dilution Secondary: IRDye800CW Goat Anti-Rabbit IgG at 1/20000 dilution Predicted band size: 50 kD Observed band size: 48 kD
Paraformaldehyde-fixed, paraffin embedded (human liver); Antigen retrieval by boiling in sodium citrate buffer (pH6.0) for 15min; Block endogenous peroxidase by 3% hydrogen peroxide for 20 minutes; Blocking buffer (normal goat serum) at 37°C for 30min; Incubation with (LKB1) Polyclonal Antibody, Unconjugated (bs-3948R) at 1:100 overnight at 4°C, followed by operating according to SP Kit(Rabbit) (sp-0023) instructionsand DAB staining.
Paraformaldehyde-fixed, paraffin embedded (mouse uterus); Antigen retrieval by boiling in sodium citrate buffer (pH6.0) for 15min; Block endogenous peroxidase by 3% hydrogen peroxide for 20 minutes; Blocking buffer (normal goat serum) at 37°C for 30min; Incubation with (LKB1) Polyclonal Antibody, Unconjugated (bs-3948R) at 1:200 overnight at 4°C, followed by operating according to SP Kit(Rabbit) (sp-0023) instructionsand DAB staining.
Paraformaldehyde-fixed, paraffin embedded (mouse colon); Antigen retrieval by boiling in sodium citrate buffer (pH6.0) for 15min; Block endogenous peroxidase by 3% hydrogen peroxide for 20 minutes; Blocking buffer (normal goat serum) at 37°C for 30min; Incubation with (LKB1) Polyclonal Antibody, Unconjugated (bs-3948R) at 1:200 overnight at 4°C, followed by operating according to SP Kit(Rabbit) (sp-0023) instructionsand DAB staining.
Paraformaldehyde-fixed, paraffin embedded (human breast carcinoma); Antigen retrieval by boiling in sodium citrate buffer (pH6.0) for 15min; Block endogenous peroxidase by 3% hydrogen peroxide for 20 minutes; Blocking buffer (normal goat serum) at 37°C for 30min; Incubation with (LKB1) Polyclonal Antibody, Unconjugated (bs-3948R) at 1:200 overnight at 4°C, followed by operating according to SP Kit(Rabbit) (sp-0023) instructionsand DAB staining.
Paraformaldehyde-fixed, paraffin embedded (human breast); Antigen retrieval by boiling in sodium citrate buffer (pH6.0) for 15min; Block endogenous peroxidase by 3% hydrogen peroxide for 20 minutes; Blocking buffer (normal goat serum) at 37°C for 30min; Incubation with (LKB1) Polyclonal Antibody, Unconjugated (bs-3948R) at 1:200 overnight at 4°C, followed by operating according to SP Kit(Rabbit) (sp-0023) instructionsand DAB staining.
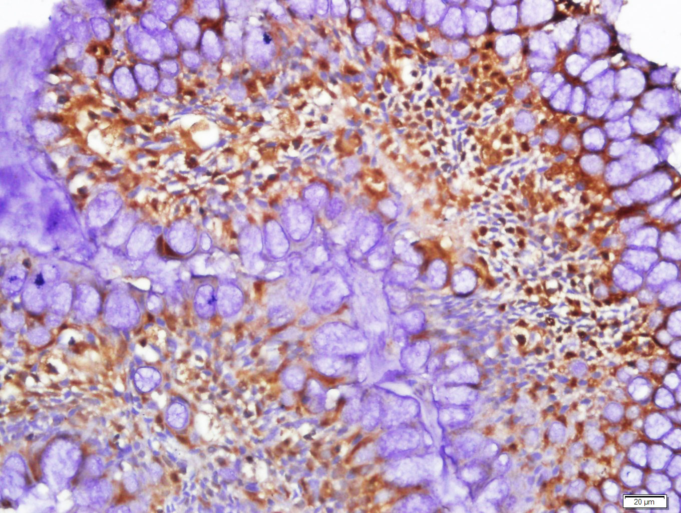
Paraformaldehyde-fixed, paraffin embedded (human colon); Antigen retrieval by boiling in sodium citrate buffer (pH6.0) for 15min; Block endogenous peroxidase by 3% hydrogen peroxide for 20 minutes; Blocking buffer (normal goat serum) at 37°C for 30min; Incubation with (LKB1) Polyclonal Antibody, Unconjugated (bs-3948R) at 1:200 overnight at 4°C, followed by operating according to SP Kit(Rabbit) (sp-0023) instructionsand DAB staining.
Paraformaldehyde-fixed, paraffin embedded (rat brain); Antigen retrieval by boiling in sodium citrate buffer (pH6.0) for 15min; Block endogenous peroxidase by 3% hydrogen peroxide for 20 minutes; Blocking buffer (normal goat serum) at 37°C for 30min; Incubation with (LKB1) Polyclonal Antibody, Unconjugated (bs-3948R) at 1:200 overnight at 4°C, followed by operating according to SP Kit(Rabbit) (sp-0023) instructionsand DAB staining.
Paraformaldehyde-fixed, paraffin embedded (rat colon); Antigen retrieval by boiling in sodium citrate buffer (pH6.0) for 15min; Block endogenous peroxidase by 3% hydrogen peroxide for 20 minutes; Blocking buffer (normal goat serum) at 37°C for 30min; Incubation with (LKB1) Polyclonal Antibody, Unconjugated (bs-3948R) at 1:200 overnight at 4°C, followed by operating according to SP Kit(Rabbit) (sp-0023) instructionsand DAB staining.
Paraformaldehyde-fixed, paraffin embedded (rat liver); Antigen retrieval by boiling in sodium citrate buffer (pH6.0) for 15min; Block endogenous peroxidase by 3% hydrogen peroxide for 20 minutes; Blocking buffer (normal goat serum) at 37°C for 30min; Incubation with (LKB1) Polyclonal Antibody, Unconjugated (bs-3948R) at 1:200 overnight at 4°C, followed by operating according to SP Kit(Rabbit) (sp-0023) instructionsand DAB staining.
Paraformaldehyde-fixed, paraffin embedded (Mouse brain); Antigen retrieval by boiling in sodium citrate buffer (pH6.0) for 15min; Block endogenous peroxidase by 3% hydrogen peroxide for 20 minutes; Blocking buffer (normal goat serum) at 37°C for 30min; Antibody incubation with (LKB1) Polyclonal Antibody, Unconjugated (bs-3948R) at 1:400 overnight at 4°C, followed by operating according to SP Kit(Rabbit) (sp-0023) instructionsand DAB staining.
Paraformaldehyde-fixed, paraffin embedded (human colon carcinoma); Antigen retrieval by boiling in sodium citrate buffer (pH6.0) for 15min; Block endogenous peroxidase by 3% hydrogen peroxide for 20 minutes; Blocking buffer (normal goat serum) at 37°C for 30min; Antibody incubation with (LKB1) Polyclonal Antibody, Unconjugated (bs-3948R) at 1:400 overnight at 4°C, followed by a conjugated secondary (sp-0023) for 20 minutes and DAB staining.
Paraformaldehyde-fixed, paraffin embedded (rat testis); Antigen retrieval by boiling in sodium citrate buffer (pH6.0) for 15min; Block endogenous peroxidase by 3% hydrogen peroxide for 20 minutes; Blocking buffer (normal goat serum) at 37°C for 30min; Antibody incubation with (LKB1) Polyclonal Antibody, Unconjugated (bs-3948R) at 1:400 overnight at 4°C, followed by a conjugated secondary (sp-0023) for 20 minutes and DAB staining.
Blank control(black line):Hela. Primary Antibody (green line): Rabbit Anti-LKB1 antibody (bs-3948R) Dilution:2ug/Test; Secondary Antibody(white blue line): Goat anti-rabbit IgG-AF488 Dilution: 0.5ug/Test. Isotype control(orange line): Normal Rabbit IgG Protocol The cells were fixed with 4% PFA (10min at room temperature)and then permeabilized with 90% ice-cold methanol for 20 min at -20℃, The cells were then incubated in 5%BSA to block non-specific protein-protein interactions for 30 min at room temperature .Cells stained with Primary Antibody for 30 min at room temperature. The secondary antibody used for 40 min at room temperature. Acquisition of 20,000 events was performed.
版权所有 2004-2026 www.bioss.com.cn 北京博奥森生物技术有限公司
通过国际质量管理体系ISO 9001:2015 GB/T 19001-2016    证书编号: 00124Q34771R2M/1100
通过国际医疗器械-质量管理体系ISO 13485:2016 GB/T 42061-2022     证书编号: CQC24QY20047R0M/1100
京ICP备05066980号-1         京公网安备110107000727号