扫码关注公众号           扫码咨询技术支持           扫码咨询技术服务
  
客服热线:400-901-9800  客服QQ:4009019800  技术答疑  技术支持  质量反馈  人才招聘  关于我们  联系我们
产品中心-北京博奥森生物技术有限公司
首页 > 产品中心 > 一抗 > 产品信息
MDR1 Rabbit pAb (bs-0563R)  
订购热线:400-901-9800
订购邮箱:sales@bioss.com.cn
订购QQ:  400-901-9800
技术支持:techsupport@bioss.com.cn
50ul/1180.00元
100ul/1980.00元
200ul/2800.00元
大包装/询价

产品编号 bs-0563R
英文名称 MDR1 Rabbit pAb
中文名称 多药耐药蛋白/P-糖蛋白抗体
别    名 ABC20; CD243; CLCS; ENPAT; GP170; MDR1; P-GP; PGY1; p-170; Abcb1; Mdr1b; Pgy-1; mdr; MDR1_HUMAN; ATP-binding cassette sub-family B member 1; Multidrug resistance protein 1; P-glycoprotein 1; Phospholipid transporter ABCB1; MDR1B_MOUSE; Abcb1b; ATP-binding  
Specific References  (13)     |     bs-0563R has been referenced in 13 publications.
[IF=9.727] Hiroshi Kikuchiet al. Chemotherapy-Induced IL8 Upregulates MDR1/ABCB1 in Tumor Blood Vessels and Results in Unfavorable Outcome. Cancer Res . 2020 Jul 15;80(14):2996-3008.  other ;  
[IF=7.149] Yuan P et al. WS2 Nanosheets at Noncytotoxic Concentrations Enhance the Cytotoxicity of Organic Pollutants by Disturbing the Plasma Membrane and Efflux Pumps. Environ Sci Technol. 2020 Feb 4;54(3):1698-1709.  WB ;  Mouse&Human.  
[IF=6.93] Peng, Lei, et al. "Development of a novel orthotopic non-small cell lung cancer model and therapeutic benefit of 2’-(2-bromohexadecanoyl)-docetaxel conjugate nanoparticles." Nanomedicine: Nanotechnology, Biology and Medicine (2014).  IHC-P ;  Mouse.  
[IF=4.357] Wei et al. The impact of insulin on chemotherapeutic sensitivity to 5-fluorouracil in gastric cancer cell lines SGC7901, MKN45 and MKN28. (2015) J.Exp.Clin.Cancer.Re. 34:64  WB ;  Human.  
[IF=3.779] Kai-Fu Chang. et al. Cedrol, a Sesquiterpene Alcohol, Enhances the Anticancer Efficacy of Temozolomide in Attenuating Drug Resistance via Regulation of the DNA Damage Response and MGMT Expression. J Nat Prod. 2020;83(10):3021–3029  WB ;  Rat.  
[IF=3.33] Chen et al. Timosaponin A-III reverses multi-drug resistance in human chronic myelogenous leukemia K562/ADM cells via downregulation of MDR1 and MRP1 expression by inhibiting PI3K/Akt signaling pathway. (2016) Int.J.Oncol. 48:2063-70  WB ;  Human.  
[IF=3.223] Chi-Yen Liang. et al. Patchouli alcohol induces G0/G1 cell cycle arrest and apoptosis in vincristine-resistant non-small cell lung cancer through ROS-mediated DNA damage. THORAC CANCER. 2023 May;:  ICC,WB ;  Human.  
[IF=3.07] Wen-Qing, Hu, Peng Chun-Wei, and Li Yan. "The expression and significance of P-glycoprotein, lung resistance protein and multidrug resistance-associated protein in gastric cancer." Journal of Experimental & Clinical Cancer Research 28 (2009).  Human.  
[IF=2.969]  Xue Zhou . et al. Let-7b regulates the adriamycin resistance of chronic myelogenous leukemia by targeting AURKB in K562/ADM cells. Leukemia Lymphoma. 2020;61(14):3451-3459  WB ;  Human.  
[IF=2.663] Liu QH et al. Reduced expression of annexin A1 promotes gemcitabine and 5-fluorouracil drug resistance of human pancreatic cancer. Invest New Drugs. 2019 May 23.  WB ;  Human.  
[IF=2.502] Sun et al. MicroRNA-186 induces sensitivity of ovarian cancer cells to paclitaxel and cisplatin by targeting ABCB1. (2015) J.Ovarian.Re. 8:80  WB ;  Human.  
[IF=2.389] Huang Weizhen. et al. LncRNA SNHG11 enhances bevacizumab resistance in colorectal cancer by mediating miR-1207-5p/ABCC1 axis. ANTI-CANCER DRUG. 2022 Jul;33(6):575-586  WB ;  Human.  
[IF=2.311] Haruna Makita. et al. Xenografts derived from patients with head and neck cancer recapitulate patient tumour properties. Oncol Lett. 2021 May;21(5):1-10  IHC ;  Human.  
研究领域 肿瘤  心血管  细胞生物  免疫学  信号转导  转录调节因子  
抗体来源 Rabbit
克隆类型 Polyclonal
克 隆 号
交叉反应 Human,Mouse,Rat
产品应用 WB=1:500-2000,IHC-P=1:100-500,IHC-F=1:100-500,IF=1:100-500
not yet tested in other applications.
optimal dilutions/concentrations should be determined by the end user.
理论分子量 141 kDa
检测分子量 170
细胞定位 细胞膜 
性    状 Liquid
浓    度 1mg/ml
免 疫 原 KLH conjugated synthetic peptide derived from human MDR1: 21-100/1272 <Cytoplasmic>
亚    型 IgG
纯化方法 affinity purified by Protein A
缓 冲 液 0.01M TBS (pH7.4) with 1% BSA, 0.02% Proclin300 and 50% Glycerol.
保存条件 Shipped at 4℃. Store at -20℃ for one year. Avoid repeated freeze/thaw cycles.
注意事项 This product as supplied is intended for research use only, not for use in human, therapeutic or diagnostic applications.
PubMed PubMed
产品介绍 P Glycoprotein, the product of the MDR1 gene, is expressed in distinct non-malignant cells, typically cells with secretory and excretory functions. It is assumed to function as an ATP-dependent drug efflux pump with broad substrate specificity. The highest expression of P Glycoprotein has been observed in kidney (proximal tubules), liver (bile canaliculi), adrenal gland and intestine, suggesting that the primary role of P Glycoprotein is in the normal secretion of physiological metabolites and ingested chemicals into bile, urine and the lumen of the intestinal tract. Elevated levels of P Glycoprotein have also been reported in multidrug-resistant cell lines and in colon, endometrial, ovarian, and breast tumors, as well as in sarcomas and leukemias / lymphomas.

Function:
Energy-dependent efflux pump responsible for decreased drug accumulation in multidrug-resistant cells.

Subunit:
Interacts with PSMB5.

Subcellular Location:
Cell membrane; Multi-pass membrane protein.

Tissue Specificity:
Expressed in liver, kidney, small intestine and brain.

DISEASE:
Genetic variations in ABCB1 are associated with susceptibility to inflammatory bowel disease type 13 (IBD13) [MIM:612244]. Inflammatory bowel disease is characterized by a chronic relapsing intestinal inflammation. It is subdivided into Crohn disease and ulcerative colitis phenotypes. Crohn disease may involve any part of the gastrointestinal tract, but most frequently the terminal ileum and colon. Bowel inflammation is transmural and discontinuous; it may contain granulomas or be associated with intestinal or perianal fistulas. In contrast, in ulcerative colitis, the inflammation is continuous and limited to rectal and colonic mucosal layers; fistulas and granulomas are not observed. Both diseases include extraintestinal inflammation of the skin, eyes, or joints. Crohn disease and ulcerative colitis are commonly classified as autoimmune diseases.

Similarity:
Belongs to the ABC transporter superfamily. ABCB family. Multidrug resistance exporter (TC 3.A.1.201) subfamily.
Contains 2 ABC transmembrane type-1 domains.
Contains 2 ABC transporter domains.

SWISS:
P08183

Gene ID:
5243

Database links:

Entrez Gene: 5243 Human

Entrez Gene: 18669 Mouse

Entrez Gene: 170913 Rat

Entrez Gene: 24646 Rat

Omim: 171050 Human

SwissProt: P08183 Human

SwissProt: P06795 Mouse

SwissProt: P43245 Rat



产品图片
25 ug total protein per lane of various lysates (see on figure) probed with MDR1 polyclonal antibody, unconjugated (bs-0563R) at 1:1000 dilution and 4°C overnight incubation. Followed by conjugated secondary antibody incubation at r.t. for 60 min.
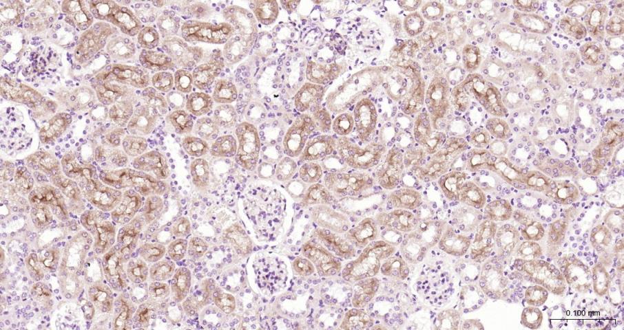
Paraformaldehyde-fixed, paraffin embedded Mouse Kidney; Antigen retrieval by boiling in sodium citrate buffer (pH6.0) for 15 min; Antibody incubation with MDR1  Polyclonal Antibody, Unconjugated (bs-0563R) at 1:200 overnight at 4°C, followed by conjugation to the bs-0295G-HRP and DAB (C-0010) staining.
Paraformaldehyde-fixed, paraffin embedded Human Kidney; Antigen retrieval by boiling in sodium citrate buffer (pH6.0) for 15 min; Antibody incubation with MDR1  Polyclonal Antibody, Unconjugated (bs-0563R) at 1:200 overnight at 4°C, followed by conjugation to the bs-0295G-HRP and DAB (C-0010) staining.
Paraformaldehyde-fixed, paraffin embedded Mouse Cerebrum; Antigen retrieval by boiling in sodium citrate buffer (pH6.0) for 15 min; Antibody incubation with MDR1  Polyclonal Antibody, Unconjugated (bs-0563R) at 1:200 overnight at 4°C, followed by conjugation to the bs-0295G-HRP and DAB (C-0010) staining.
Paraformaldehyde-fixed, paraffin embedded Human Cerebrum; Antigen retrieval by boiling in sodium citrate buffer (pH6.0) for 15 min; Antibody incubation with MDR1  Polyclonal Antibody, Unconjugated (bs-0563R) at 1:200 overnight at 4°C, followed by conjugation to the bs-0295G-HRP and DAB (C-0010) staining.
Paraformaldehyde-fixed, paraffin embedded Rat Cerebrum; Antigen retrieval by boiling in sodium citrate buffer (pH6.0) for 15 min; Antibody incubation with MDR1  Polyclonal Antibody, Unconjugated (bs-0563R) at 1:200 overnight at 4°C, followed by conjugation to the bs-0295G-HRP and DAB (C-0010) staining.
Paraformaldehyde-fixed, paraffin embedded Human Liver; Antigen retrieval by boiling in sodium citrate buffer (pH6.0) for 15 min; Antibody incubation with MDR1  Polyclonal Antibody, Unconjugated (bs-0563R) at 1:200 overnight at 4°C, followed by conjugation to the bs-0295G-HRP and DAB (C-0010) staining.
Paraformaldehyde-fixed, paraffin embedded Mouse Liver; Antigen retrieval by boiling in sodium citrate buffer (pH6.0) for 15 min; Antibody incubation with MDR1  Polyclonal Antibody, Unconjugated (bs-0563R) at 1:200 overnight at 4°C, followed by conjugation to the bs-0295G-HRP and DAB (C-0010) staining.
Paraformaldehyde-fixed, paraffin embedded Rat Liver; Antigen retrieval by boiling in sodium citrate buffer (pH6.0) for 15 min; Antibody incubation with MDR1  Polyclonal Antibody, Unconjugated (bs-0563R) at 1:200 overnight at 4°C, followed by conjugation to the bs-0295G-HRP and DAB (C-0010) staining.
版权所有 2004-2026 www.bioss.com.cn 北京博奥森生物技术有限公司
通过国际质量管理体系ISO 9001:2015 GB/T 19001-2016    证书编号: 00124Q34771R2M/1100
通过国际医疗器械-质量管理体系ISO 13485:2016 GB/T 42061-2022     证书编号: CQC24QY20047R0M/1100
京ICP备05066980号-1         京公网安备110107000727号