扫码关注公众号           扫码咨询技术支持           扫码咨询技术服务
  
客服热线:400-901-9800  客服QQ:4009019800  技术答疑  技术支持  质量反馈  人才招聘  关于我们  联系我们
产品中心-北京博奥森生物技术有限公司
首页 > 产品中心 > 一抗 > 产品信息
CA9 Rabbit pAb (bs-4029R)  
订购热线:400-901-9800
订购邮箱:sales@bioss.com.cn
订购QQ:  400-901-9800
技术支持:techsupport@bioss.com.cn
50ul/1180.00元
100ul/1980.00元
200ul/2800.00元
大包装/询价

产品编号 bs-4029R
英文名称 CA9 Rabbit pAb
中文名称 碳酸酐酶9抗体
别    名 CAIX; MN; Ca9; MN/CA9; CAH9_HUMAN; Carbonate dehydratase IX; Carbonic anhydrase IX (CA-IX | CAIX); Membrane antigen MN; P54/58N; Renal cell carcinoma-associated antigen G250 (RCC-associated antigen G250); pMW1; 4.2.1.1; G250; CAH9_MOUSE; Membrane antigen MN homolog; Car9; carbonic anhydrase 9; carbonic anhydrase IX; carbonic dehydratase; RCC-associated protein G250  
Specific References  (3)     |     bs-4029R has been referenced in 3 publications.
[IF=10.383] Jiabao Ling. et al. Designing Lactate Dehydrogenase-Mimicking SnSe Nanosheets To Reprogram Tumor-Associated Macrophages for Potentiation of Photothermal Immunotherapy. ACS APPL MATER INTER. 2022;14(24):27651–27665  WB ;  Mouse.  
[IF=4.493] Qin Wentao. et al. Systematic Construction and Validation of a Novel Ferroptosis-Related Gene Model for Predicting Prognosis in Cervical Cancer. J IMMUNOL RES. 2022;2022:2148215  IHC ;  Human.  
[IF=2.88] Gogiraju, Rajinikanth, et al. "Endothelial p53 Deletion Improves Angiogenesis and Prevents Cardiac Fibrosis and Heart Failure Induced by Pressure Overload in Mice." Journal of the American Heart Association 4.2 (2015): e001770.  IHC-F ;  Mouse.  
研究领域 肿瘤  细胞生物  免疫学  激酶和磷酸酶  
抗体来源 Rabbit
克隆类型 Polyclonal
交叉反应 Human,Mouse,Rat (predicted: Pig,Cow,Dog,Horse)
产品应用 WB=1:500-2000,IHC-P=1:100-500,IHC-F=1:100-500,IF=1:100-500,ICC/IF=1:50-200
not yet tested in other applications.
optimal dilutions/concentrations should be determined by the end user.
理论分子量 46kDa
检测分子量 48,58
细胞定位 细胞核 细胞膜 
性    状 Liquid
浓    度 1mg/ml
免 疫 原 KLH conjugated synthetic peptide derived from human Carbonate dehydratase IX: 251-350/459 <Extracellular>
亚    型 IgG
纯化方法 affinity purified by Protein A
缓 冲 液 0.01M TBS (pH7.4) with 1% BSA, 0.02% Proclin300 and 50% Glycerol.
保存条件 Shipped at 4℃. Store at -20℃ for one year. Avoid repeated freeze/thaw cycles.
注意事项 This product as supplied is intended for research use only, not for use in human, therapeutic or diagnostic applications.
PubMed PubMed
产品介绍 Carbonic anhydrases (CAs) are a large family of zinc metalloenzymes that catalyze the reversible hydration of carbon dioxide. They participate in a variety of biological processes, including respiration, calcification, acid-base balance, bone resorption, and the formation of aqueous humor, cerebrospinal fluid, saliva, and gastric acid. They show extensive diversity in tissue distribution and in their subcellular localization. CA IX is a transmembrane protein and the only tumor-associated carbonic anhydrase isoenzyme known. It is expressed in all clear-cell renal cell carcinoma, but is not detected in normal kidney or most other normal tissues. It may be involved in cell proliferation and transformation. This gene was mapped to 17q21.2 by fluorescence in situ hybridization, however, radiation hybrid mapping localized it to 9p13-p12. [provided by RefSeq, Jul 2008]

Function:
Reversible hydration of carbon dioxide. Participates in pH regulation. May be involved in the control of cell proliferation and transformation. Appears to be a novel specific biomarker for a cervical neoplasia.

Subunit:
Forms oligomers linked by disulfide bonds.

Subcellular Location:
Nucleus. Nucleus, nucleolus. Cell membrane; Single-pass type I membrane protein. Cell projection, microvillus membrane; Single-pass type I membrane protein. Note=Found on the surface microvilli and in the nucleus, particularly in nucleolus.

Tissue Specificity:
Expressed primarily in carcinoma cells lines. Expression is restricted to very few normal tissues and the most abundant expression is found in the epithelial cells of gastric mucosa.

Similarity:
Belongs to the alpha-carbonic anhydrase family.

SWISS:
Q16790

Gene ID:
768

Database links:

Entrez Gene: 768 Human

Entrez Gene: 230099 Mouse

Omim: 603179 Human

SwissProt: Q16790 Human

SwissProt: Q8VHB5 Mouse

Unigene: 63287 Human

Unigene: 283682 Mouse



    碳酸酐酶9(carbonic anhydrase IX,CA IX)是新发现的碳酸酐酶家族异构体之一,是由酸性氨基酸组成的跨膜糖蛋白,在调控细胞增殖、转化方面有重要作用。
    碳酸酐酶9能催化CO2水解为碳酸和水,参与机体的酸碱平衡,调节细胞内外pH值,易导致肿瘤的生长和转移,目前也是子宫肿瘤新的标记物。
产品图片
Sample: Stomach (Rat) Lysate at 40 ug Primary: Anti-Carbonate dehydratase IX (bs-4029R) at 1/1000 dilution Secondary: IRDye800CW Goat Anti-Rabbit IgG at 1/20000 dilution Predicted band size: 46 kD Observed band size: 48/58 kD
Sample: Stomach (Mouse) Lysate at 40 ug Primary: Anti-Carbonate dehydratase IX (bs-4029R) at 1/1000 dilution Secondary: IRDye800CW Goat Anti-Rabbit IgG at 1/20000 dilution Predicted band size: 46 kD Observed band size: 48 kD
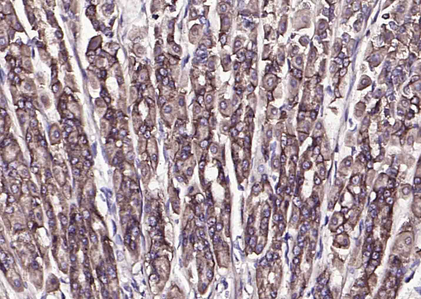
Paraformaldehyde-fixed, paraffin embedded (human stomach); Antigen retrieval by boiling in sodium citrate buffer (pH6.0) for 15min; Block endogenous peroxidase by 3% hydrogen peroxide for 20 minutes; Blocking buffer (normal goat serum) at 37°C for 30min; Incubation with (CA9 ) Polyclonal Antibody, Unconjugated (bs-4029R) at 1:200 overnight at 4°C, followed by operating according to SP Kit(Rabbit) (sp-0023) instructionsand DAB staining.
Paraformaldehyde-fixed, paraffin embedded (rat stomach); Antigen retrieval by boiling in sodium citrate buffer (pH6.0) for 15min; Block endogenous peroxidase by 3% hydrogen peroxide for 20 minutes; Blocking buffer (normal goat serum) at 37°C for 30min; Incubation with (CA9 ) Polyclonal Antibody, Unconjugated (bs-4029R) at 1:200 overnight at 4°C, followed by operating according to SP Kit(Rabbit) (sp-0023) instructionsand DAB staining.
Hela cell; 4% Paraformaldehyde-fixed; Triton X-100 at room temperature for 20 min; Blocking buffer (normal goat serum, C-0005) at 37°C for 20 min; Antibody incubation with (CA9) polyclonal Antibody, Unconjugated (bs-4029R) 1:50, 90 minutes at 37°C; followed by a conjugated Goat Anti-Rabbit IgG antibody at 37°C for 90 minutes, DAPI (blue, C02-04002) was used to stain the cell nuclei.
版权所有 2004-2026 www.bioss.com.cn 北京博奥森生物技术有限公司
通过国际质量管理体系ISO 9001:2015 GB/T 19001-2016    证书编号: 00124Q34771R2M/1100
通过国际医疗器械-质量管理体系ISO 13485:2016 GB/T 42061-2022     证书编号: CQC24QY20047R0M/1100
京ICP备05066980号-1         京公网安备110107000727号