扫码关注公众号           扫码咨询技术支持           扫码咨询技术服务
  
客服热线:400-901-9800  客服QQ:4009019800  技术答疑  技术支持  质量反馈  人才招聘  关于我们  联系我们
产品中心-北京博奥森生物技术有限公司
首页 > 产品中心 > 一抗 > 产品信息
CCL25 Rabbit pAb (bs-5093R)  
订购热线:400-901-9800
订购邮箱:sales@bioss.com.cn
订购QQ:  400-901-9800
技术支持:techsupport@bioss.com.cn
50ul/1180.00元
100ul/1980.00元
200ul/2800.00元
大包装/询价

产品编号 bs-5093R
英文名称 CCL25 Rabbit pAb
中文名称 胸腺表达趋化因子抗体
别    名 Ck beta-15; Ckb15; SCYA25; TECK; TECKvar; CCL25_HUMAN; CCL25; Chemokine TECK; Small-inducible cytokine A25; Thymus-expressed chemokine;   
Specific References  (3)     |     bs-5093R has been referenced in 3 publications.
[IF=5.714] Tianming Li. et al. IL-17D affects the chemokines and chemokine receptors of intestinal epithelial cells under hyperoxia. INT IMMUNOPHARMACOL. 2022 Dec;113:109386  WB, IHC ;  Rat, Human.  
[IF=3.247] Jian Bi. et al. MiR-155-5p-SOCS1/JAK1/STAT1 participates in hepatic lymphangiogenesis in liver fibrosis and cirrhosis by regulating M1 macrophage polarization. HUM EXP TOXICOL. ;():  WB ;  Mouse.  
[IF=2.985] Gao W et al. Impaired CCR9/CCL25 signalling induced by inefficient dendritic cells contributes to intestinal immune imbalance in nonalcoholic steatohepatitisBiochem Biophys Res Commun.2021 Jan 1;534:34-40.  IF、WB ;  Mouse.  
研究领域 免疫学  趋化因子  
抗体来源 Rabbit
克隆类型 Polyclonal
克 隆 号
交叉反应 Rat (predicted: Human,Mouse,Rabbit,Pig,Cow,Dog,Horse)
产品应用 IHC-P=1:100-500,IHC-F=1:100-500,IF=1:100-500
not yet tested in other applications.
optimal dilutions/concentrations should be determined by the end user.
理论分子量 14 kDa
细胞定位 分泌型蛋白 
性    状 Liquid
浓    度 1mg/ml
免 疫 原 KLH conjugated synthetic peptide derived from human CCL25: 21-120/150 
亚    型 IgG
纯化方法 affinity purified by Protein A
缓 冲 液 0.01M TBS (pH7.4) with 1% BSA, 0.02% Proclin300 and 50% Glycerol.
保存条件 Shipped at 4℃. Store at -20℃ for one year. Avoid repeated freeze/thaw cycles.
注意事项 This product as supplied is intended for research use only, not for use in human, therapeutic or diagnostic applications.
PubMed PubMed
产品介绍 This gene belongs to the subfamily of small cytokine CC genes. Cytokines are a family of secreted proteins involved in immunoregulatory and inflammatory processes. The CC cytokines are proteins characterized by two adjacent cysteines. TECK displays chemotactic activity for dendritic cells, thymocytes, and activated macrophages but is inactive on peripheral blood lymphocytes and neutrophils. TECK binds to chemokine receptor CCR9. Two alternatively spliced variants encoding two different isoforms have been identified.

Function:
Potentially involved in T-cell development. Recombinant protein shows chemotactic activity on thymocytes, macrophages, THP-1 cells, and dendritics cells but is inactive on peripheral blood lymphocytes and neutrophils. Binds to CCR9. Isoform 2 is an antagonist of isoform 1.

Subcellular Location:
Secreted.

Tissue Specificity:
Specifically expressed by thymic dendritic cells. High levels in thymus and small intestine.

Similarity:
Belongs to the intercrine beta (chemokine CC) family.

SWISS:
O15444

Gene ID:
6370

Database links:

Entrez Gene: 6370 Human

Omim: 602565 Human

SwissProt: O15444 Human

Unigene: 310511 Human



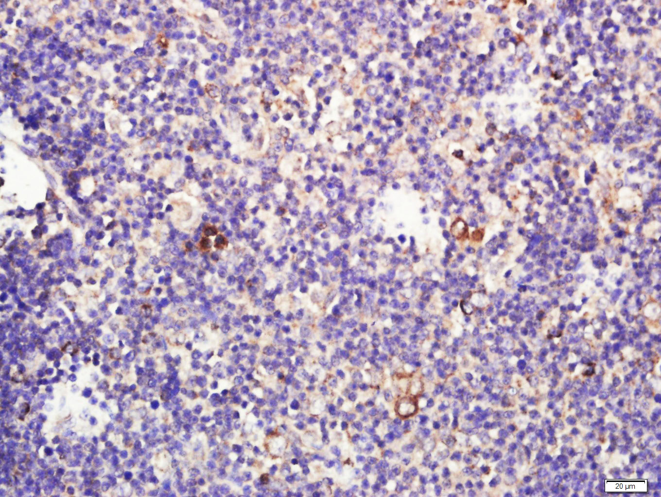
产品图片
Paraformaldehyde-fixed, paraffin embedded (rat thymus); Antigen retrieval by boiling in sodium citrate buffer (pH6.0) for 15min; Block endogenous peroxidase by 3% hydrogen peroxide for 20 minutes; Blocking buffer (normal goat serum) at 37°C for 30min; Antibody incubation with (TECK) Polyclonal Antibody, Unconjugated (bs-5093R) at 1:400 overnight at 4°C, followed by a conjugated secondary (sp-0023) for 20 minutes and DAB staining.
Paraformaldehyde-fixed, paraffin embedded (rat thymus); Antigen retrieval by boiling in sodium citrate buffer (pH6) for 15min; Block endogenous peroxidase by 3% hydrogen peroxide for 20 minutes; Blocking buffer (normal goat serum) at 37°C for 30min; Antibody incubation with (TECK) Polyclonal Antibody, Unconjugated (bs-5093R) at 1:400 overnight at 4°C, followed by a conjugated secondary (bs-0295G-Cy3) at [1:500] for 90 minutes and DAPI staining of the nuclei.
Paraformaldehyde-fixed, paraffin embedded (rat small intestine); Antigen retrieval by boiling in sodium citrate buffer (pH6) for 15min; Block endogenous peroxidase by 3% hydrogen peroxide for 20 minutes; Blocking buffer (normal goat serum) at 37°C for 30min; Antibody incubation with (TECK) Polyclonal Antibody, Unconjugated (bs-5093R) at 1:400 overnight at 4°C, followed by a conjugated secondary (bs-0295G-Cy3) at [1:500] for 90 minutes and DAPI staining of the nuclei.
版权所有 2004-2026 www.bioss.com.cn 北京博奥森生物技术有限公司
通过国际质量管理体系ISO 9001:2015 GB/T 19001-2016    证书编号: 00124Q34771R2M/1100
通过国际医疗器械-质量管理体系ISO 13485:2016 GB/T 42061-2022     证书编号: CQC24QY20047R0M/1100
京ICP备05066980号-1         京公网安备110107000727号