扫码关注公众号           扫码咨询技术支持           扫码咨询技术服务
  
客服热线:400-901-9800  客服QQ:4009019800  技术答疑  技术支持  质量反馈  关于我们  联系我们
产品中心-北京博奥森生物技术有限公司
Streptavidin, HRP conjugated (bs-0437P-HRP)  
订购热线:400-901-9800
订购邮箱:sales@bioss.com.cn
订购QQ:  400-901-9800
技术支持:techsupport@bioss.com.cn
100ug/200.00元
1mg/1280.00元
大包装/询价

产品编号 bs-0437P-HRP
英文名称 Streptavidin, HRP conjugated
中文名称 辣根过氧化物酶标记链霉亲和素
别    名 SA V1; SA V2; Streptavidin V1; Streptavidin V2; SA; Streptavidin/HRP; Streptavidin HRP; Streptavidin-HRP; Streptavidin(HRP); HRP conjugated Streptavidin.  链霉抗生物素蛋白; 链霉卵白素; 链霉亲和素-辣根过氧化物酶 (HRP) 偶联物; 9013-20-1;
Specific References  (38)     |     bs-0437P-HRP has been referenced in 38 publications.
[IF=7.31] Man Guo. et al. High Glucose-Induced Kidney Injury via Activation of Necroptosis in Diabetic Kidney Disease. OXID MED CELL LONGEV. 2023;2023:2713864  IF,IHC ;  Human,Mouse.  
[IF=7.1] Liangliang Wang. et al. Electrochemical aptasensor based on multidirectional hybridization chain reaction for detection of tumorous exosomes. Sensor Actuat B-Chem. 2021 Apr;332:129471  
[IF=6.796] Jing Liu. et al. Chronic administration of triclosan leads to liver fibrosis through hepcidin-ferroportin axis-mediated iron overload. J ENVIRON SCI-CHINA. 2023 Feb;:  IHC ;  Mouse.  
[IF=6.774] Shen M et al. An enhanced centrifugation-assisted lateral flow immunoassay for the point-of-care detection of protein biomarkers. Lab Chip. 2020 Aug 7;20(15):2626-2634.  Other ;  Biotin.  
[IF=6.393] Zhu JR et al. Ultra-sensitive and chemiluminescent detection of telomerase activity via handheld luminometer. Sensors & Actuators: B. Chemical.2019 301:127109.  Other ;  Biotin.  
[IF=5.7] Yang CL et al. CXCR5-negative natural killer cells ameliorate experimental autoimmune myasthenia gravis by suppressing follicular helper T cells. J Neuroinflammation. 2019 Dec 29;16(1):282.  ELISA ;  Biotin.  
[IF=5.638] Lei et al. Novel peptide GX1 inhibits angiogenesis by specifically binding to transglutaminase-2 in the tumorous endothelial cells of gastric cancer. (2018) Cell.Death.Dis. 9:579  WB&IHC ;  Biotin.  
[IF=5.256] Wu S et al. Temperature Controllable Electrochemical Sensors Based on Horseradish Peroxidase as Electrocatalyst at Heated Au Disk Electrode and its Preliminary Application for H2O2 Detection. Analytica Chimica Acta. 2019.  Other ;  Biotin.  
[IF=5.249] Guangyuan Wang. et al. Enzymatic Synthesis of DNA with an Expanded Genetic Alphabet Using Terminal Deoxynucleotidyl Transferase. ACS SYNTH BIOL. 2022;11(12):4142–4155  
[IF=4.26] Deng et al. TNF-α regulates the proteolytic degradation of ST6Gal-1 and endothelial cell-cell junctions through upregulating expression of BACE1. (2017) Sci.Re. 7:40256  other ;  Biotin.  
[IF=4.162] Qiaoping Li. et al. Effect of Berberine on Hyperuricemia and Kidney Injury: A Network Pharmacology Analysis and Experimental Validation in a Mouse Model. Drug Des Dev Ther. 2021; 15: 3241–3254  IHC ;  Mouse.  
[IF=4.142] Cen, Yi. et al. Development of a novel ssDNA aptamer targeting cardiac troponin I and its clinical applications. Anal Bioanal Chem. 2021 Nov;413(28):7043-7053  other ;  Human.  
[IF=3.943] Ying Liu. et al. Prophylactic administration of fingolimod (FTY720) ameliorated experimental autoimmune myasthenia gravis by reducing the number of dendritic cells, follicular T helper cells and antibody-secreting cells. Int Immunopharmacol. 2021 Jul;96:107511  
[IF=3.851] Cheng Y et al. PKCα in colon cancer cells promotes M1 macrophage polarization via MKK3/6-P38 MAPK pathway.Mol Carcinog. 2018 Aug;57(8):1017-1029.  IHC ;  Biotin.  
[IF=3.743] Chen Y et al. Curcumin attenuates potassium oxonate-induced hyperuricemia and kidney inflammation in mice. Biomed Pharmacother. 2019 Jul 27;118:109195.  IHC-P ;  Biotin.  
[IF=3.448] Gao J et al. Long noncoding LINC01551 promotes hepatocellular carcinoma cell proliferation, migration, and invasion by acting as a competing endogenous RNA of microRNA … J Cell Biochem. 2019 Jul 3.  IHC ;  Biotin.  
[IF=3.365] Xiaotong Li. et al. Lateral flow immunoassay with peptide-functionalized gold nanoparticles for rapid detection of protein tyrosine phosphatase 1B. Anal Biochem. 2022 Mar;:114671  Other ;  Other.  
[IF=3.263] Yonger Chenet al. Monotropein alleviates secondary liver injury in chronic colitis by regulating TLR4/NF-κB signaling and NLRP3 inflammasome. Eur J Pharmacol . 2020 Sep 15;883:173358.  other ;  mouse.  
[IF=3.171] Jian-Zhu Bo. et al. D-serine reduces memory impairment and neuronal damage induced by chronic lead exposure. Neural Regen Res. 2021 May;16(5):836  IHC ;  Rat.  
[IF=3.118] Jiang Y et al. Changes in inflammatory factors and protein expression in sulfur mustard (1LD 50)-induced acute pulmonary injury in rats.International Immunopharmacology, 2018 61, 338–345.  IHC-P ;  Biotin.  
[IF=3.098] Lu Xue. et al. A novel peptide relieves endothelial cell dysfunction in preeclampsia by regulating the PI3K/mTOR/HIF1α pathway. Int J Mol Med. 2021 Jan;47(1):276-288  IHC ;  Rat.  
[IF=2.999] Liu J et al. Structural characterizations of human periostin dimerization and cysteinylation.FEBS Lett. 2018 Jun;592(11):1789-1803.  other ;  Biotin.  
[IF=2.886] Lifei Ma. et al. Construction and Comprehensive Analysis of a ceRNA Network to Reveal Potential Novel Biomarkers for Triple-Negative Breast Cancer. Cancer Manag Res. 2020; 12: 7061–7075  IHC ;  
[IF=2.885] Sun, Xinxin. et al. 0.1% Nano-silver mediates PD-1/PD-L1 pathway and alleviates chronic apical periodontitis in rats. ODONTOLOGY. 2022 Sep;:1-11  IHC ;  Rat.  
[IF=2.792] Wang, Yongjie. et al. Impact of bisphenol-A on the spliceosome and meiosis of sperm in the testis of adolescent mice. BMC VET RES. 2022 Dec;18(1):1-12  
[IF=2.767] Dezhuan Da. et al. Glutamate-cysteine ligase catalytic and its modifier function as novel immunotargets in gastric adenocarcinoma. Asian J Surg. 2022 Mar;:  IHC ;  Other.  
[IF=2.736] Wang X et al. Ivermectin treatment inhibits the replication of Porcine circovirus 2 (PCV2) in vitro and mitigates the impact of viral infection in piglets. Virus Res. 2019 Apr 2;263:80-86.  IHC-P ;  Biotin.  
[IF=2.463] Yu,et al.Comparison of two docking methods for peptide-protein interactions.(2018) Journal of the Science of Food and Agriculture. :.  ELISA ;  Biotin.  
[IF=2.431] Lei Zhang. et al. VE-cadherin N-glycosylation modified by GnT-V regulates VE-cadherin/β-catenin interaction and monocyte adhesion. 2021 Jun 12  WB ;  Human.  
[IF=2.353] Hao J et al. Design and preliminary application of affinity peptide based on the structure of the porcine circovirus type II Capsid (PCV2 Cap). PeerJ. 2019 Dec 5;7:e8132.  ELISA ;  
克 隆 号
理论分子量 kDa
检测分子量
性    状 Liquid
浓    度 1mg/ml
物    种 Streptomyces
序    列 1-183/183
纯    度 >90% as determined by SDS-PAGE
纯化方法 AC
内毒素 Not analyzed
表达系统 N/A
活性 Yes
标签 Tag free
缓 冲 液 10 mM TBS (pH=7.4) with 1% BSA, 0.02% Proclin300 and 50% Glycerol.
保存条件 Shipped at 4℃. Store at -20 °C for one year. Avoid repeated freeze/thaw cycles.
注意事项 This product as supplied is intended for research use only, not for use in human, therapeutic or diagnostic applications.
产品介绍 Streptavidin is a tetrameric protein composed of identic subunits. Each subunit binds one biotin molecule with a KD of ~1x10-15M. The preparation contains an N- and C-terminal shortened variant (core streptavidin) with improved properties concerning homogeneity, solubility, resistance towards proteolytic degradation and accessibility of the biotin binding pocket as compared to native streptavidin. The high affinity recognition of biotin and biotinylated molecules has made streptavidin one of the most important components in diagnostics and laboratory kits.
This enzyme conjugate solution can be used to stain biotinylated antibodies.

产品图片
25 ug total protein per lane of various lysates (see on figure) probed with Vimentin monoclonal antibody, Biotin conjugated (bsm-33170M-Bio) at 1:1000 dilution and 4°C overnight incubation. Followed by HRP conjugated Streptavidin (bs-0437P-HRP) incubation at 1:20000 dilution and r.t. for 60 min.
Paraformaldehyde-fixed, paraffin embedded (rat pancreas); Antigen retrieval by boiling in sodium citrate buffer (pH6.0) for 15min; Block endogenous peroxidase by 3% hydrogen peroxide for 20 minutes; Blocking buffer (normal goat serum) at 37°C for 30min; Antibody incubation with (GLP-1(1G9)) Monoclonal Antibody, Unconjugated (bsm-0933M) at 1:200 overnight at 4°C, followed by operating according to SP Kit(Mouse)(sp-0024 bs-0437P-HRP 1:1000) instructionsand DAB staining.
Paraformaldehyde-fixed, paraffin embedded (rat colon); Antigen retrieval by boiling in sodium citrate buffer (pH6.0) for 15min; Block endogenous peroxidase by 3% hydrogen peroxide for 20 minutes; Blocking buffer (normal goat serum) at 37°C for 30min; Antibody incubation with (alpha smooth muscle Actin) Monoclonal Antibody, Unconjugated (bsm-33187M) at 1:200 overnight at 4°C, followed by operating according to SP Kit(Mouse)(sp-0024 bs-0437P-HRP 1:1000) instructionsand DAB staining.
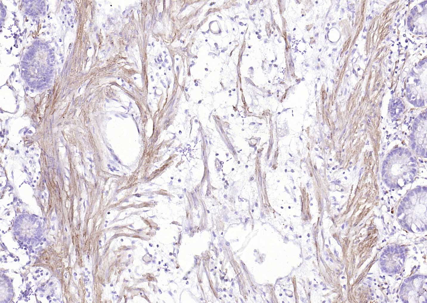
Paraformaldehyde-fixed, paraffin embedded (human colon carcinoma); Antigen retrieval by boiling in sodium citrate buffer (pH6.0) for 15min; Block endogenous peroxidase by 3% hydrogen peroxide for 20 minutes; Blocking buffer (normal goat serum) at 37°C for 30min; Antibody incubation with (alpha smooth muscle Actin) Monoclonal Antibody, Unconjugated (bsm-33187M) at 1:200 overnight at 4°C, followed by operating according to SP Kit(Mouse)(sp-0024 bs-0437P-HRP 1:1000) instructionsand DAB staining.
Paraformaldehyde-fixed, paraffin embedded (mouse brain); Antigen retrieval by boiling in sodium citrate buffer (pH6.0) for 15min; Block endogenous peroxidase by 3% hydrogen peroxide for 20 minutes; Blocking buffer (normal goat serum) at 37°C for 30min; Antibody incubation with (GFAP) Polyclonal Antibody, Unconjugated (bs-0199R) at 1:200 overnight at 4°C, followed by operating according to SP Kit(Rabbit) (sp-0023 bs-0437P-HRP 1:1000) instructionsand DAB staining.
Paraformaldehyde-fixed, paraffin embedded (rat brain); Antigen retrieval by boiling in sodium citrate buffer (pH6.0) for 15min; Block endogenous peroxidase by 3% hydrogen peroxide for 20 minutes; Blocking buffer (normal goat serum) at 37°C for 30min; Antibody incubation with (GFAP) Polyclonal Antibody, Unconjugated (bs-0199R) at 1:200 overnight at 4°C, followed by operating according to SP Kit(Rabbit) (sp-0023 bs-0437P-HRP 1:1000) instructionsand DAB staining.
Paraformaldehyde-fixed, paraffin embedded (rat brain); Antigen retrieval by boiling in sodium citrate buffer (pH6.0) for 15min; Block endogenous peroxidase by 3% hydrogen peroxide for 20 minutes; Blocking buffer (normal goat serum) at 37°C for 30min; Antibody incubation with (S100B) Monoclonal Antibody, Unconjugated (bsm-10832M) at 1:200 overnight at 4°C, followed by operating according to SP Kit(Mouse)(sp-0024 bs-0437P-HRP 1:1000) instructionsand DAB staining.
Paraformaldehyde-fixed, paraffin embedded (rat pancreas); Antigen retrieval by boiling in sodium citrate buffer (pH6.0) for 15min; Block endogenous peroxidase by 3% hydrogen peroxide for 20 minutes; Blocking buffer (normal goat serum) at 37°C for 30min; Antibody incubation with (Glucagon) Polyclonal Antibody, Unconjugated (bs-3796R) at 1:200 overnight at 4°C, followed by operating according to SP Kit(Rabbit) (sp-0023 bs-0437P-HRP 1:1000) instructionsand DAB staining.
Paraformaldehyde-fixed, paraffin embedded (rat testis); Antigen retrieval by boiling in sodium citrate buffer (pH6.0) for 15min; Block endogenous peroxidase by 3% hydrogen peroxide for 20 minutes; Blocking buffer (normal goat serum) at 37°C for 30min; Antibody incubation with (Histone H3 (Nuclear Loading Control)) Polyclonal Antibody, Unconjugated (bs-0349R) at 1:200 overnight at 4°C, followed by operating according to SP Kit(Rabbit) (sp-0023 bs-0437P-HRP 1:1000) instructionsand DAB staining.
Paraformaldehyde-fixed, paraffin embedded (mouse brain); Antigen retrieval by boiling in sodium citrate buffer (pH6.0) for 15min; Block endogenous peroxidase by 3% hydrogen peroxide for 20 minutes; Blocking buffer (normal goat serum) at 37°C for 30min; Antibody incubation with (Histone H3 (Nuclear Loading Control)) Polyclonal Antibody, Unconjugated (bs-0349R) at 1:200 overnight at 4°C, followed by operating according to SP Kit(Rabbit) (sp-0023 bs-0437P-HRP 1:1000) instructionsand DAB staining.
版权所有 2004-2026 www.bioss.com.cn 北京博奥森生物技术有限公司
通过国际质量管理体系ISO 9001:2015 GB/T 19001-2016    证书编号: 00124Q34771R2M/1100
通过国际医疗器械-质量管理体系ISO 13485:2016 GB/T 42061-2022     证书编号: CQC24QY20047R0M/1100
京ICP备05066980号-1         京公网安备110107000727号