扫码关注公众号           扫码咨询技术支持           扫码咨询技术服务
  
客服热线:400-901-9800  客服QQ:4009019800  技术答疑  技术支持  质量反馈  关于我们  联系我们
产品中心-北京博奥森生物技术有限公司
首页 > 产品中心 > 一抗 > 产品信息
LATS2 Rabbit pAb (bs-4081R)  
订购热线:400-901-9800
订购邮箱:sales@bioss.com.cn
订购QQ:  400-901-9800
技术支持:techsupport@bioss.com.cn
50ul/1180.00元
100ul/1980.00元
200ul/2800.00元
大包装/询价

产品编号 bs-4081R
英文名称 LATS2 Rabbit pAb
中文名称 肿瘤抑制基因LATS2抗体
别    名 Kinase phosphorylated during mitosis; KPM; Large tumor suppressor homolog 2; Large tumor suppressor homolog 2 Drosophila; LATS large tumor suppressor Drosophila homolog 2; LATS large tumor suppressor homolog 2; Serine/threonine kinase kpm; Serine/threonine protein kinase kpm; Warts like kinase; FLJ13161; Kinase phosphorylated during mitosis protein; Large tumor suppressor kinase 2; Lats2; LATS2_HUMAN.  
Specific References  (4)     |     bs-4081R has been referenced in 4 publications.
[IF=5.5] Han LL et al. miR-650 Promotes the Metastasis and Epithelial-Mesenchymal Transition of Hepatocellular Carcinoma by Directly Inhibiting LATS2 Expression.(2018) Cell Physiol Biochem.51(3):1179-1192.  IHC-P&WB ;  Human.  
[IF=3.743] Xie L et al. Huyang yangkun formula protects against 4-Vinylcyclohexene diepoxide-induced prematureovarian insufficiency in rats via the Hippo-JAK2/STAT3 signaling pathway. Biomed Pharmacother. 2019 Aug;116:109008.  WB ;  Rat.  
[IF=3.337] Zhang B et al. Hypoxia-Induced Placenta-Specific microRNA (miR-512-3p) Promotes Hepatocellular Carcinoma Progression by Targeting Large Tumor Suppressor Kinase 2. Onco Targets Ther . 2020 Jun 25;13:6073-6083.  WB ;  Human.  
[IF=3.333] Han et al. miR-103 promotes the metastasis and EMT of hepatocellular carcinoma by directly inhibiting LATS2. (2018) Int.J.Oncol. 53:2433-2444  IHC&WB ;  Human.  
研究领域 肿瘤  细胞生物  免疫学  信号转导  转录调节因子  
抗体来源 Rabbit
克隆类型 Polyclonal
克 隆 号
交叉反应 Human,Mouse,Rat (predicted: Rabbit,Cow,Chicken,Dog,Horse)
产品应用 WB=1:500-2000,IHC-P=1:100-500,IHC-F=1:100-500,IF=1:100-500
not yet tested in other applications.
optimal dilutions/concentrations should be determined by the end user.
理论分子量 120 kDa
检测分子量
细胞定位 细胞浆 
性    状 Liquid
浓    度 1mg/ml
免 疫 原 KLH conjugated synthetic peptide derived from human LATS2: 641-740/1088 
亚    型 IgG
纯化方法 affinity purified by Protein A
缓 冲 液 0.01M TBS (pH7.4) with 1% BSA, 0.02% Proclin300 and 50% Glycerol.
保存条件 Shipped at 4℃. Store at -20℃ for one year. Avoid repeated freeze/thaw cycles.
注意事项 This product as supplied is intended for research use only, not for use in human, therapeutic or diagnostic applications.
PubMed PubMed
产品介绍 This gene encodes a serine/threonine protein kinase belonging to the LATS tumor suppressor family. The protein localizes to centrosomes during interphase, and early and late metaphase. It interacts with the centrosomal proteins aurora-A and ajuba and is required for accumulation of gamma-tubulin and spindle formation at the onset of mitosis. It also interacts with a negative regulator of p53 and may function in a positive feedback loop with p53 that responds to cytoskeleton damage. Additionally, it can function as a co-repressor of androgen-responsive gene expression. [provided by RefSeq].

Function:
Negative regulator of YAP1 in the Hippo signaling pathway that plays a pivotal role in organ size control and tumor suppression by restricting proliferation and promoting apoptosis. The core of this pathway is composed of a kinase cascade wherein STK3/MST2 and STK4/MST1, in complex with its regulatory protein SAV1, phosphorylates and activates LATS1/2 in complex with its regulatory protein MOB1, which in turn phosphorylates and inactivates YAP1 oncoprotein and WWTR1/TAZ. Phosphorylation of YAP1 by LATS2 inhibits its translocation into the nucleus to regulate cellular genes important for cell proliferation, cell death, and cell migration. Acts as a tumor suppressor which plays a critical role in centrosome duplication, maintenance of mitotic fidelity and genomic stability. Negatively regulates G1/S transition by down-regulating cyclin E/CDK2 kinase activity. Negative regulator of the androgen receptor.

Subunit:
Interacts with and is phosphorylated by AURKA. Binds to AR. Interacts with AJUBA during mitosis and this complex regulates organization of the spindle apparatus through recruitment of gamma-tubulin to the centrosome. Interacts (via PPxY motif) with YAP1 (via WW domains). Interacts with MOB1A and MOB1B. Interacts with LIMD1, WTIP and AJUBA.

Subcellular Location:
Cytoplasm, cytoskeleton, centrosome. Cytoplasm. Cytoplasm, cytoskeleton, spindle pole.

Tissue Specificity:
Expressed at high levels in heart and skeletal muscle and at lower levels in all other tissues examined.

Post-translational modifications:
Autophosphorylated and phosphorylated during M-phase and the G1/S-phase of the cell cycle. Phosphorylated and activated by STK3/MST2.

Similarity:
Belongs to the protein kinase superfamily. AGC Ser/Thr protein kinase family.
Contains 1 AGC-kinase C-terminal domain.
Contains 1 protein kinase domain.
Contains 1 UBA domain.

SWISS:
Q9NRM7

Gene ID:
26524

Database links:

Entrez Gene: 26524 Human

Entrez Gene: 50523 Mouse

Entrez Gene: 305922 Rat

Omim: 604861 Human

SwissProt: Q9NRM7 Human

SwissProt: Q7TSJ6 Mouse

Unigene: 78960 Human

Unigene: 347899 Mouse



产品图片
Sample: Lane 1: Mouse Heart Lysates Lane 2: Mouse Brain Lysates Lane 3: Mouse Stomach Lysates Lane 4: Mouse Testis Lysates Lane 5: Rat Heart Lysates Lane 6: Rat Brain Lysates Lane 7: Rat Stomach Lysates Lane 8: Human U2OS cell Lysates Lane 9: Human U251 cell Lysates Primary: Anti-LATS2 (bs-4081R) at 1/1000 dilution Secondary: IRDye800CW Goat Anti-Rabbit IgG at 1/20000 dilution Predicted band size: 120kDa Observed band size: 120kDa
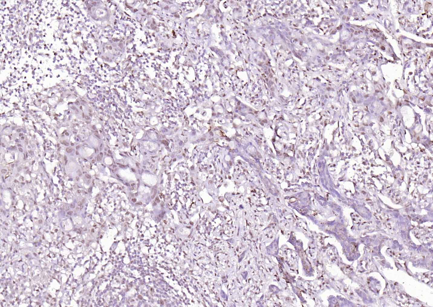
Paraformaldehyde-fixed, paraffin embedded (human lung carcinoma); Antigen retrieval by boiling in sodium citrate buffer (pH6.0) for 15min; Block endogenous peroxidase by 3% hydrogen peroxide for 20 minutes; Blocking buffer (normal goat serum) at 37°C for 30min; Antibody incubation with (LATS2) Polyclonal Antibody, Unconjugated (bs-4081R) at 1:200 overnight at 4°C, followed by operating according to SP Kit(Rabbit) (sp-0023) instructionsand DAB staining.
Paraformaldehyde-fixed, paraffin embedded (rat brain ); Antigen retrieval by boiling in sodium citrate buffer (pH6.0) for 15min; Block endogenous peroxidase by 3% hydrogen peroxide for 20 minutes; Blocking buffer (normal goat serum) at 37°C for 30min; Antibody incubation with (LATS2) Polyclonal Antibody, Unconjugated (bs-4081R) at 1:200 overnight at 4°C, followed by operating according to SP Kit(Rabbit) (sp-0023) instructionsand DAB staining.
Paraformaldehyde-fixed, paraffin embedded (human gastric carcinoma ); Antigen retrieval by boiling in sodium citrate buffer (pH6.0) for 15min; Block endogenous peroxidase by 3% hydrogen peroxide for 20 minutes; Blocking buffer (normal goat serum) at 37°C for 30min; Antibody incubation with (LATS2) Polyclonal Antibody, Unconjugated (bs-4081R) at 1:200 overnight at 4°C, followed by operating according to SP Kit(Rabbit) (sp-0023) instructionsand DAB staining.
Paraformaldehyde-fixed, paraffin embedded (human brain); Antigen retrieval by boiling in sodium citrate buffer (pH6.0) for 15min; Block endogenous peroxidase by 3% hydrogen peroxide for 20 minutes; Blocking buffer (normal goat serum) at 37°C for 30min; Antibody incubation with (LATS2) Polyclonal Antibody, Unconjugated (bs-4081R) at 1:200 overnight at 4°C, followed by operating according to SP Kit(Rabbit) (sp-0023) instructionsand DAB staining.
Paraformaldehyde-fixed, paraffin embedded (mouse brain); Antigen retrieval by boiling in sodium citrate buffer (pH6.0) for 15min; Block endogenous peroxidase by 3% hydrogen peroxide for 20 minutes; Blocking buffer (normal goat serum) at 37°C for 30min; Antibody incubation with (LATS2) Polyclonal Antibody, Unconjugated (bs-4081R) at 1:200 overnight at 4°C, followed by operating according to SP Kit(Rabbit) (sp-0023) instructionsand DAB staining.
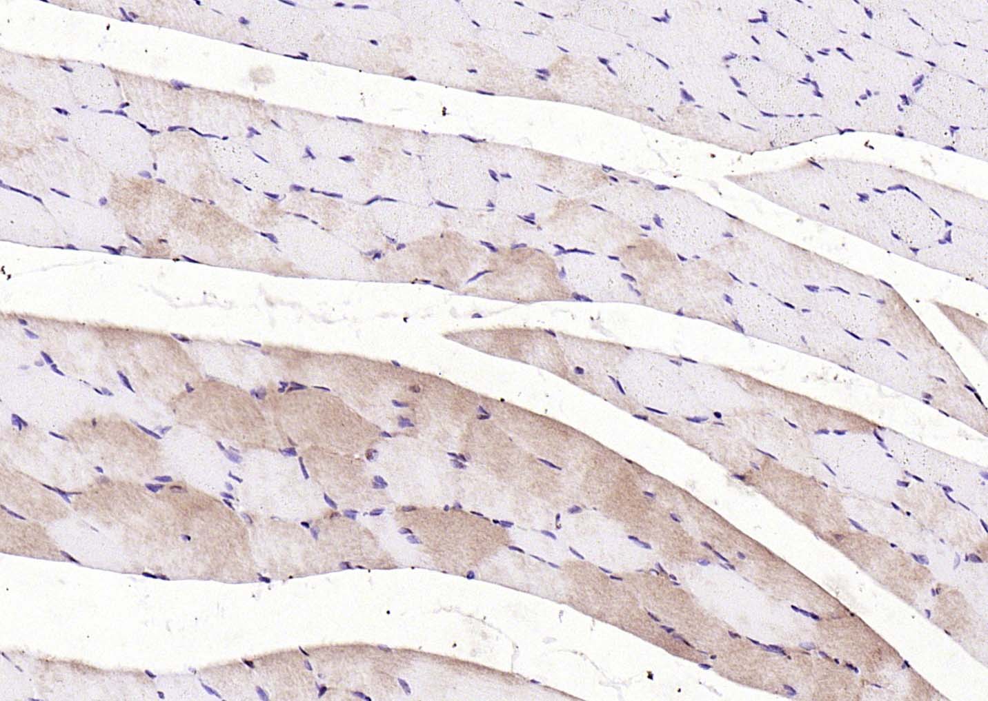
Paraformaldehyde-fixed, paraffin embedded (rat skeletal muscle); Antigen retrieval by boiling in sodium citrate buffer (pH6.0) for 15min; Block endogenous peroxidase by 3% hydrogen peroxide for 20 minutes; Blocking buffer (normal goat serum) at 37°C for 30min; Antibody incubation with (LATS2) Polyclonal Antibody, Unconjugated (bs-4081R) at 1:200 overnight at 4°C, followed by operating according to SP Kit(Rabbit) (sp-0023) instructionsand DAB staining.
Paraformaldehyde-fixed, paraffin embedded (mouse heart); Antigen retrieval by boiling in sodium citrate buffer (pH6.0) for 15min; Block endogenous peroxidase by 3% hydrogen peroxide for 20 minutes; Blocking buffer (normal goat serum) at 37°C for 30min; Antibody incubation with (LATS2) Polyclonal Antibody, Unconjugated (bs-4081R) at 1:200 overnight at 4°C, followed by operating according to SP Kit(Rabbit) (sp-0023) instructionsand DAB staining.
Paraformaldehyde-fixed, paraffin embedded (mouse stomach); Antigen retrieval by boiling in sodium citrate buffer (pH6.0) for 15min; Block endogenous peroxidase by 3% hydrogen peroxide for 20 minutes; Blocking buffer (normal goat serum) at 37°C for 30min; Antibody incubation with (LATS2) Polyclonal Antibody, Unconjugated (bs-4081R) at 1:200 overnight at 4°C, followed by operating according to SP Kit(Rabbit) (sp-0023) instructionsand DAB staining.
Paraformaldehyde-fixed, paraffin embedded (Rat heart); Antigen retrieval by boiling in sodium citrate buffer (pH6.0) for 15min; Block endogenous peroxidase by 3% hydrogen peroxide for 20 minutes; Blocking buffer (normal goat serum) at 37°C for 30min; Antibody incubation with (LATS2) Polyclonal Antibody, Unconjugated (bs-4081R) at 1:500 overnight at 4°C, followed by a conjugated secondary (sp-0023) for 20 minutes and DAB staining.
Paraformaldehyde-fixed, paraffin embedded (mouse testis); Antigen retrieval by boiling in sodium citrate buffer (pH6.0) for 15min; Block endogenous peroxidase by 3% hydrogen peroxide for 20 minutes; Blocking buffer (normal goat serum) at 37°C for 30min; Antibody incubation with (LATS2) Polyclonal Antibody, Unconjugated (bs-4081R) at 1:200 overnight at 4°C, followed by operating according to SP Kit(Rabbit) (sp-0023) instructionsand DAB staining.
版权所有 2004-2026 www.bioss.com.cn 北京博奥森生物技术有限公司
通过国际质量管理体系ISO 9001:2015 GB/T 19001-2016    证书编号: 00124Q34771R2M/1100
通过国际医疗器械-质量管理体系ISO 13485:2016 GB/T 42061-2022     证书编号: CQC24QY20047R0M/1100
京ICP备05066980号-1         京公网安备110107000727号