扫码关注公众号           扫码咨询技术支持           扫码咨询技术服务
  
客服热线:400-901-9800  客服QQ:4009019800  技术答疑  技术支持  质量反馈  关于我们  联系我们
产品中心-北京博奥森生物技术有限公司
首页 > 产品中心 > 一抗 > 产品信息
phospho-AXL (Tyr698+Tyr702+Tyr703) Rabbit pAb (bs-5181R)  
订购热线:400-901-9800
订购邮箱:sales@bioss.com.cn
订购QQ:  400-901-9800
技术支持:techsupport@bioss.com.cn
50ul/1180.00元
100ul/1980.00元
200ul/2800.00元
大包装/询价

产品编号 bs-5181R
英文名称 phospho-AXL (Tyr698+Tyr702+Tyr703) Rabbit pAb
中文名称 磷酸化粘附相关激酶抗体
别    名 Adhesion related kinase; AI323647; Ark; Axl; AXL oncogene; AXL receptor tyrosine kinase; AXL transforming gene; AXL transforming sequence/gene; EC 2.7.10.1; JTK11; Oncogene AXL; Tyro7; Tyrosine protein kinase receptor UFO; Tyrosine-protein kinase receptor UFO; UFO; UFO_HUMAN.  
Specific References  (5)     |     bs-5181R has been referenced in 5 publications.
[IF=17.694] Zhuang Wan-Ru. et al. Bacterial outer membrane vesicle based versatile nanosystem boosts the efferocytosis blockade triggered tumor-specific immunity. NAT COMMUN. 2023 Mar;14(1):1-15  WB ;  Mouse.  
[IF=8.786] Yongquan Han. et al. Axl promotes intracranial aneurysm rupture by regulating macrophage polarization toward M1 via STAT1/HIF-1α. FRONT IMMUNOL. 2023; 14: 1158758  WB ;  Mouse.  
[IF=7.561] Zhen-Ni Guo. et al. GAS6/Axl Signaling Modulates Blood-Brain Barrier Function Following Intravenous Thrombolysis in Acute Ischemic Stroke. Front Immunol. 2021; 12: 742359  WB ;  Rat.  
[IF=5.882] Wangrui Lei. et al. Psoralidin protects against cerebral hypoxia/reoxygenation injury: Role of GAS6/Axl signaling. PHYTOTHER RES. 2022 May 18  WB ;  Human,Mouse.  
[IF=2.776] Peng CK et al. Gas6/Axl signaling attenuates alveolar inflammation in ischemia-reperfusion-induced acute lung injury by up-regulating SOCS3-mediated pathway. PLoS One. 2019 Jul 18;14(7):e0219788.  WB ;  Rat&Mouse.  
产品类型 磷酸化抗体 
研究领域 肿瘤  细胞生物  免疫学  信号转导  细胞周期蛋白  激酶和磷酸酶  细胞膜受体  细胞类型标志物  
抗体来源 Rabbit
克隆类型 Polyclonal
克 隆 号
交叉反应 Human (predicted: Mouse,Rat,Rabbit,Pig,Cow,Dog,Horse)
产品应用 WB=1:500-2000,IHC-P=1:100-500,IHC-F=1:100-500,IF=1:100-500
not yet tested in other applications.
optimal dilutions/concentrations should be determined by the end user.
理论分子量 95 kDa
检测分子量
细胞定位 细胞膜 
性    状 Liquid
浓    度 1mg/ml
免 疫 原 KLH conjugated Synthesised phosphopeptide derived from human AXL around the phosphorylation site of Tyr698+Tyr702+Tyr703: KI(p-Y)NGD(p-Y)(p-Y)RQ <Cytoplasmic>
亚    型 IgG
纯化方法 affinity purified by Protein A
缓 冲 液 0.01M TBS (pH7.4) with 1% BSA, 0.02% Proclin300 and 50% Glycerol.
保存条件 Shipped at 4℃. Store at -20℃ for one year. Avoid repeated freeze/thaw cycles.
注意事项 This product as supplied is intended for research use only, not for use in human, therapeutic or diagnostic applications.
PubMed PubMed
产品介绍 The protein encoded by this gene is a member of the receptor tyrosine kinase subfamily. Although it is similar to other receptor tyrosine kinases, the Axl protein represents a unique structure of the extracellular region that juxtaposes IgL and FNIII repeats. It transduces signals from the extracellular matrix into the cytoplasm by binding growth factors such as vitamin K dependent protein growth arrest specific gene 6. It is involved in the stimulation of cell proliferation. This receptor can also mediate cell aggregation by homophilic binding. Axl is a chronic myelogenous leukemia associated oncogene and also associated with colon cancer and melanoma.The Axl gene is evolutionarily conserved between vertebrate species. This gene has two different alternatively spliced transcript variants (AXL1 and AXL2).

Function:
Receptor tyrosine kinase that transduces signals from the extracellular matrix into the cytoplasm by binding growth factor GAS6 and which is thus regulating many physiological processes including cell survival, cell proliferation, migration and differentiation. Ligand binding at the cell surface induces dimerization and autophosphorylation of AXL. Following activation by ligand, ALX binds and induces tyrosine phosphorylation of PI3-kinase subunits PIK3R1, PIK3R2 and PIK3R3; but also GRB2, PLCG1, LCK and PTPN11. Other downstream substrate candidates for AXL are CBL, NCK2, SOCS1 and TENC1. Recruitment of GRB2 and phosphatidylinositol-3 kinase regulatory subunits by AXL leads to the downstream activation of the AKT kinase. GAS6/AXL signaling plays a role in various processes such as endothelial cell survival during acidification by preventing apoptosis, optimal cytokine signaling during human natural killer cell development, hepatic regeneration, gonadotropin-releasing hormone neuron survival and migration, platelet activation, or regulation of thrombotic responses. Plays also an important role in inhibition of Toll-like receptors (TLRs)-mediated innate immune response. In case of filovirus infection, seems to function as a cell entry factor.

Subunit:
Heterodimer and heterotetramer with ligand GAS6. Interacts with CBL, GRB2, LCK, NCK2, PIK3R1, PIK3R2, PIK3R3, PLCG1, SOCS1 and TENC1. Part a complex including AXL, TNK2 and GRB2, in which GRB2 promotes AXL recruitment by TNK2.

Subcellular Location:
Cell membrane; Single-pass type I membrane protein.

Tissue Specificity:
Highly expressed in metastatic colon tumors. Expressed in primary colon tumors. Weakly expressed in normal colon tissue.

Post-translational modifications:
Phosphorylated at tyrosine residues by autocatalysis, which activates kinase activity.

DISEASE:
Note=AXL and its ligand GAS6 are highly expressed in thyroid carcinoma tissues, and might thus be involved in thiroid tumorigenesis. Overexpression of AXL and its ligand was also detected in many other cancers such as myeloptoliferative disorders, prostatic carcinoma cells, or breast cancer.

Similarity:
Belongs to the protein kinase superfamily. Tyr protein kinase family. AXL/UFO subfamily.
Contains 2 fibronectin type-III domains.
Contains 2 Ig-like C2-type (immunoglobulin-like) domains.
Contains 1 protein kinase domain.

SWISS:
P30530

Gene ID:
558

Database links:

Entrez Gene: 558 Human

Omim: 109135 Human

SwissProt: P30530 Human

Unigene: 590970 Human



产品图片
Sample: SW480 Cell (Human) Lysate at 40 ug Primary: Anti-phospho-AXL (Tyr698+Tyr702+Tyr703) (bs-5181R) at 1/300 dilution Secondary: IRDye800CW Goat Anti-Rabbit IgG at 1/20000 dilution Predicted band size: 95 kD Observed band size: 120 kD
Sample:MCF-7 Cell (Human) Lysate at 40 ug Primary: Anti-phospho-AXL (Tyr698+Tyr702+Tyr703) (bs-5181R) at 1/300 dilution Secondary: IRDye800CW Goat Anti-Rabbit IgG at 1/20000 dilution Predicted band size: 95 kD Observed band size: 120 kD
Sample: Lane 1: A431 (Human) Cell Lysate at 30 ug Lane 2: Hela (Human) Cell Lysate at 30 ug Lane 3: 293T (Human) Cell Lysate at 30 ug Primary: Anti-phospho-AXL (Tyr698+Tyr702+Tyr703) (bs-5181R) at 1/1000 dilution Secondary: IRDye800CW Goat Anti-Rabbit IgG at 1/20000 dilution Predicted band size: 140’120 kD Observed band size: 120 kD
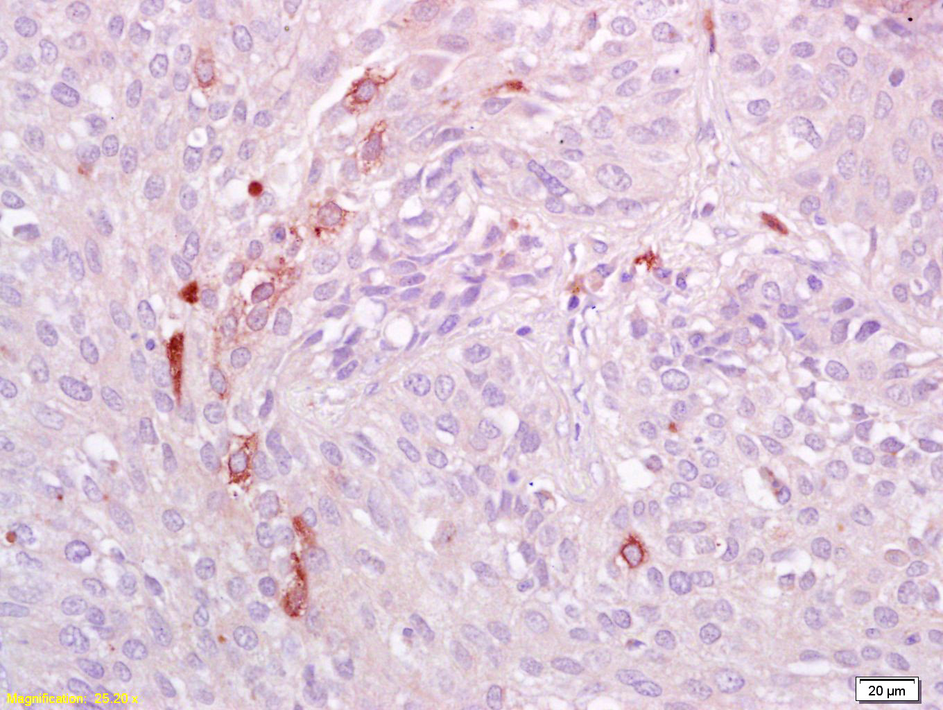
Tissue/cell: human lung carcinoma; 4% Paraformaldehyde-fixed and paraffin-embedded; Antigen retrieval: citrate buffer ( 0.01M, pH 6.0 ), Boiling bathing for 15min; Block endogenous peroxidase by 3% Hydrogen peroxide for 30min; Blocking buffer (normal goat serum,C-0005) at 37℃ for 20 min; Incubation: Anti-phospho-AXL(Tyr698+Tyr702+Tyr703) Polyclonal Antibody, Unconjugated (bs-5181R) 1:200, overnight at 4°C, followed by conjugation to the secondary antibody(SP-0023) and DAB(C-0010) staining
版权所有 2004-2026 www.bioss.com.cn 北京博奥森生物技术有限公司
通过国际质量管理体系ISO 9001:2015 GB/T 19001-2016    证书编号: 00124Q34771R2M/1100
通过国际医疗器械-质量管理体系ISO 13485:2016 GB/T 42061-2022     证书编号: CQC24QY20047R0M/1100
京ICP备05066980号-1         京公网安备110107000727号