扫码关注公众号           扫码咨询技术支持           扫码咨询技术服务
  
客服热线:400-901-9800  客服QQ:4009019800  技术答疑  技术支持  质量反馈  人才招聘  关于我们  联系我们
产品中心-北京博奥森生物技术有限公司
首页 > 产品中心 > 一抗 > 产品信息
phospho-CK18 (Ser60) Rabbit pAb (bs-5405R)  
订购热线:400-901-9800
订购邮箱:sales@bioss.com.cn
订购QQ:  400-901-9800
技术支持:techsupport@bioss.com.cn
50ul/1180.00元
100ul/1980.00元
200ul/2800.00元
大包装/询价

产品编号 bs-5405R
英文名称 phospho-CK18 (Ser60) Rabbit pAb
中文名称 磷酸化细胞角蛋白18抗体
别    名 CK-18; CYK18; K18; CK18; Krt1-18; K1C18_HUMAN; KRT18; Cell proliferation-inducing gene 46 protein; Cytokeratin-18 (CK-18); Keratin-18 (K18); K1C18_MOUSE; Cytokeratin endo B (Keratin D); Kerd; K1C18_RAT; keratin 18; keratin 18, type I; KRT18 | CK-18 (phospho-S60); p-CK-18; phospho-CK-18; p-KRT18; KRT18 | CK-18 (phospho-Ser60)  
产品类型 磷酸化抗体 
研究领域 肿瘤  信号转导  细胞类型标志物  
抗体来源 Rabbit
克隆类型 Polyclonal
交叉反应 Human,Mouse,Rat
产品应用 WB=1:500-2000,IHC-P=1:100-500,IHC-F=1:100-500,IF=1:100-500,ICC/IF=1:100-500
not yet tested in other applications.
optimal dilutions/concentrations should be determined by the end user.
理论分子量 48kDa
检测分子量 48
细胞定位 细胞核 细胞浆 
性    状 Liquid
浓    度 1mg/ml
免 疫 原 KLH conjugated Synthesised phosphopeptide derived from human CK18 around the phosphorylation site of Ser60: MG(p-S)GG 
亚    型 IgG
纯化方法 affinity purified by Protein A
缓 冲 液 0.01M TBS (pH7.4) with 1% BSA, 0.02% Proclin300 and 50% Glycerol.
保存条件 Shipped at 4℃. Store at -20℃ for one year. Avoid repeated freeze/thaw cycles.
注意事项 This product as supplied is intended for research use only, not for use in human, therapeutic or diagnostic applications.
PubMed PubMed
产品介绍 KRT18 encodes the type I intermediate filament chain keratin 18. Keratin 18, together with its filament partner keratin 8, are perhaps the most commonly found members of the intermediate filament gene family. They are expressed in single layer epithelial tissues of the body. Mutations in this gene have been linked to cryptogenic cirrhosis. Two transcript variants encoding the same protein have been found for this gene. [provided by RefSeq, Jul 2008]

Function:
When phosphorylated, plays a role in filament reorganization. Involved in the delivery of mutated CFTR to the plasma membrane. Involved in the uptake of thrombin-antithrombin complexes by hepatic cells (By similarity). Together with KRT8, is involved in interleukin-6 (IL-6)-mediated barrier protection.

Subunit:
Heterotetramer of two type I and two type II keratins. KRT18 associates with KRT8. Interacts with the thrombin-antithrombin complex (By similarity). Interacts with PNN, HCV core protein and mutated CFTR. Interacts with YWHAE, YWHAH and YWHAZ only when phosphorylated. Interacts with DNAJB6, TCHP and TRADD.

Subcellular Location:
Cytoplasm, perinuclear region. Nucleus, nucleolus.

Tissue Specificity:
Expressed in colon, placenta, liver and very weakly in exocervix. Increased expression observed in lymph nodes of breast carcinoma.

Post-translational modifications:
Phosphorylation increases by IL-6.
Proteolytically cleaved by caspases during epithelial cell apoptosis. Cleavage occurs at Asp-231 by either caspase-3, caspas-6 or caspase-7.
O-glycosylated at multiple sites; glycans consist of single N-acetylglucosamine residue.

DISEASE:
Defects in KRT18 are a cause of cirrhosis (CIRRH) [MIM:215600].

Similarity:
Belongs to the intermediate filament family.

SWISS:
P05783

Gene ID:
3875

Database links:

Entrez Gene: 506480 Cow

Entrez Gene: 3875 Human

Entrez Gene: 16668 Mouse

Entrez Gene: 294853 Rat

Omim: 148070 Human

SwissProt: P05783 Human

SwissProt: P05784 Mouse

SwissProt: Q5BJY9 Rat

Unigene: 406013 Human

Unigene: 22479 Mouse

Unigene: 103924 Rat



结构蛋白(Structural Proteins)常用于肿瘤细胞的分化、增殖及转移方面的研究。
产品图片
Sample: Liver (Mouse) Lysate at 40 ug Primary: Anti-phospho-CK18(Ser60) (bs-5405R) at 1/1000 dilution Secondary: IRDye800CW Goat Anti-Rabbit IgG at 1/20000 dilution Predicted band size: 48 kD Observed band size: 48 kD
Sample: Lane 1: Lung (Mouse) Lysate at 40 ug Lane 2: Uterus (Mouse) Lysate at 40 ug Lane 3: Small intestine (Rat) Lysate at 40 ug Primary: Anti-phospho-CK18 (Ser60) (bs-5405R) at 1/1000 dilution Secondary: IRDye800CW Goat Anti-Rabbit IgG at 1/20000 dilution Predicted band size: 48 kD Observed band size: 48 kD
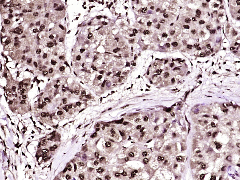
Paraformaldehyde-fixed, paraffin embedded (Human pancreatic cancer); Antigen retrieval by boiling in sodium citrate buffer (pH6.0) for 15min; Block endogenous peroxidase by 3% hydrogen peroxide for 20 minutes; Blocking buffer (normal goat serum) at 37°C for 30min; Antibody incubation with (phospho-CK18(Ser60)) Polyclonal Antibody, Unconjugated (bs-5405R) at 1:400 overnight at 4°C, followed by operating according to SP Kit(Rabbit) (sp-0023) instructions and DAB staining.
Paraformaldehyde-fixed, paraffin embedded (Human liver cancer); Antigen retrieval by boiling in sodium citrate buffer (pH6.0) for 15min; Block endogenous peroxidase by 3% hydrogen peroxide for 20 minutes; Blocking buffer (normal goat serum) at 37°C for 30min; Antibody incubation with (phospho-CK18(Ser60)) Polyclonal Antibody, Unconjugated (bs-5405R) at 1:400 overnight at 4°C, followed by operating according to SP Kit(Rabbit) (sp-0023) instructions and DAB staining.
Paraformaldehyde-fixed, paraffin embedded (Human breast cancer); Antigen retrieval by boiling in sodium citrate buffer (pH6.0) for 15min; Block endogenous peroxidase by 3% hydrogen peroxide for 20 minutes; Blocking buffer (normal goat serum) at 37°C for 30min; Antibody incubation with (phospho-CK18(Ser60)) Polyclonal Antibody, Unconjugated (bs-5405R) at 1:400 overnight at 4°C, followed by operating according to SP Kit(Rabbit) (sp-0023) instructions and DAB staining.
Paraformaldehyde-fixed, paraffin embedded (Human stomach carcinoma); Antigen retrieval by boiling in sodium citrate buffer (pH6.0) for 15min; Block endogenous peroxidase by 3% hydrogen peroxide for 20 minutes; Blocking buffer (normal goat serum) at 37°C for 30min; Antibody incubation with (phospho-CK18(Ser60)) Polyclonal Antibody, Unconjugated (bs-5405R) at 1:400 overnight at 4°C, followed by operating according to SP Kit(Rabbit) (sp-0023) instructionsand DAB staining.
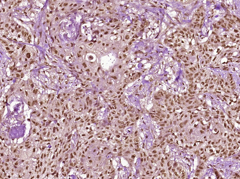
Paraformaldehyde-fixed, paraffin embedded (Rat liver); Antigen retrieval by boiling in sodium citrate buffer (pH6.0) for 15min; Block endogenous peroxidase by 3% hydrogen peroxide for 20 minutes; Blocking buffer (normal goat serum) at 37°C for 30min; Antibody incubation with (phospho-CK18(Ser60)) Polyclonal Antibody, Unconjugated (bs-5405R) at 1:400 overnight at 4°C, followed by operating according to SP Kit(Rabbit) (sp-0023) instructionsand DAB staining.
Tissue/cell:A549 cell; 4% Paraformaldehyde-fixed; Triton X-100 at room temperature for 20 min; Blocking buffer (normal goat serum,C-0005) at 37°C for 20 min; Antibody incubation with (phospho-CK18 (Ser60)) polyclonal Antibody, Unconjugated (bs-5405R) 1:100, 90 minutes at 37°C; followed by a FITC conjugated Goat Anti-Rabbit IgG antibody at 37°C for 90 minutes, DAPI (blue, C02-04002) was used to stain the cell nuclei.
版权所有 2004-2026 www.bioss.com.cn 北京博奥森生物技术有限公司
通过国际质量管理体系ISO 9001:2015 GB/T 19001-2016    证书编号: 00124Q34771R2M/1100
通过国际医疗器械-质量管理体系ISO 13485:2016 GB/T 42061-2022     证书编号: CQC24QY20047R0M/1100
京ICP备05066980号-1         京公网安备110107000727号