扫码关注公众号           扫码咨询技术支持           扫码咨询技术服务
  
客服热线:400-901-9800  客服QQ:4009019800  技术答疑  技术支持  质量反馈  人才招聘  关于我们  联系我们
产品中心-北京博奥森生物技术有限公司
首页 > 产品中心 > 一抗 > 产品信息
PAP2B Rabbit pAb (bs-4127R)  
订购热线:400-901-9800
订购邮箱:sales@bioss.com.cn
订购QQ:  400-901-9800
技术支持:techsupport@bioss.com.cn
50ul/1180.00元
100ul/1980.00元
200ul/2800.00元
大包装/询价

产品编号 bs-4127R
英文名称 PAP2B Rabbit pAb
中文名称 磷脂酸磷酸酶2b抗体
别    名 Dri42; LPP3; PAP2B; PPAP2B; VCIP; 1110003O22Rik; 2610002D05Rik; D4Bwg0538e; D4Bwg1535e; PRG-2; Ppab2b; PLPP3_HUMAN; PLPP3; Lipid phosphate phosphohydrolase 3; PAP2-beta; Phosphatidate phosphohydrolase type 2b; Phosphatidic acid phosphatase 2b (PAP-2b | PA  
研究领域 肿瘤  免疫学  激酶和磷酸酶  
抗体来源 Rabbit
克隆类型 Polyclonal
克 隆 号
交叉反应 Mouse (predicted: Human,Pig,Cow,Dog,Horse)
产品应用 WB=1:500-2000,IHC-P=1:100-500,IHC-F=1:100-500,IF=1:100-500
not yet tested in other applications.
optimal dilutions/concentrations should be determined by the end user.
理论分子量 34 kDa
检测分子量 35
细胞定位 细胞浆 细胞膜 
性    状 Liquid
浓    度 1mg/ml
免 疫 原 KLH conjugated synthetic peptide derived from human PAP2B: 241-311/311 
亚    型 IgG
纯化方法 affinity purified by Protein A
缓 冲 液 0.01M TBS (pH7.4) with 1% BSA, 0.02% Proclin300 and 50% Glycerol.
保存条件 Shipped at 4℃. Store at -20℃ for one year. Avoid repeated freeze/thaw cycles.
注意事项 This product as supplied is intended for research use only, not for use in human, therapeutic or diagnostic applications.
PubMed PubMed
产品介绍 Phosphatidic acid phosphatase type 2b (PPAP2b) is a member of the phosphatidic acid phosphatase (PAP) family that function in de novo synthesis of glycerolipids as well as in receptor activated signal transduction mediated by phospholipase D. PAP2b catalyzes the conversion of phosphatidic acid to diacylglycerol and hydrolyzes lysophosphatidic acid, ceramide-1-phosphate and sphingosine-1-phosphate. It is a homodimer glycoprotein localized at the cell plasma membrane. Expression promotes adhesion, spreading, and tyrosine phosphorylation of Fak, Shc, Cas and paxillin in endothelial cells. PAP2b induced cell-cell interactions regulate specific intracellular signaling pathways that involve p120-catenin, Fak, Akt, and GSK3? protein kinases.

Function:
Catalyzes the conversion of phosphatidic acid (PA) to diacylglycerol (DG). In addition it hydrolyzes lysophosphatidic acid (LPA), ceramide-1-phosphate (C-1-P) and sphingosine-1-phosphate (S-1-P). The relative catalytic efficiency is LPA = PA > C-1-P > S-1-P. May be involved in cell adhesion and in cell-cell interactions.

Subunit:
Homodimer. This complex seems not to be involved in substrate recognition, it may confer only structural or functional stability.

Subcellular Location:
Golgi apparatus, trans-Golgi network membrane; Multi-pass membrane protein. Cell membrane; Multi-pass membrane protein.

Tissue Specificity:
Ubiquitously expressed. Highly expressed in heart and placenta.

Post-translational modifications:
N-glycosylated. Contains high-mannose oligosaccharides.

Similarity:
Belongs to the PA-phosphatase related phosphoesterase family.

SWISS:
O14495

Gene ID:
8613

Database links:

Entrez Gene: 8613 Human

Entrez Gene: 67916 Mouse

Entrez Gene: 192270 Rat

Omim: 607125 Human

SwissProt: O14495 Human

SwissProt: Q99JY8 Mouse

SwissProt: P97544 Rat

Unigene: 405156 Human

Unigene: 619002 Human

Unigene: 348326 Mouse

Unigene: 12038 Rat



产品图片
Sample: Placenta (Mouse) Lysate at 40 ug Primary: Anti-PAP2B (bs-4127R) at 1/1000 dilution Secondary: IRDye800CW Goat Anti-Rabbit IgG at 1/20000 dilution Predicted band size: 34 kD Observed band size: 35 kD
Sample: Embryo (Mouse) Lysate at 40 ug Primary: Anti-PAP2B (bs-4127R) at 1/1000 dilution Secondary: IRDye800CW Goat Anti-Rabbit IgG at 1/20000 dilution Predicted band size: 34 kD Observed band size: 35 kD
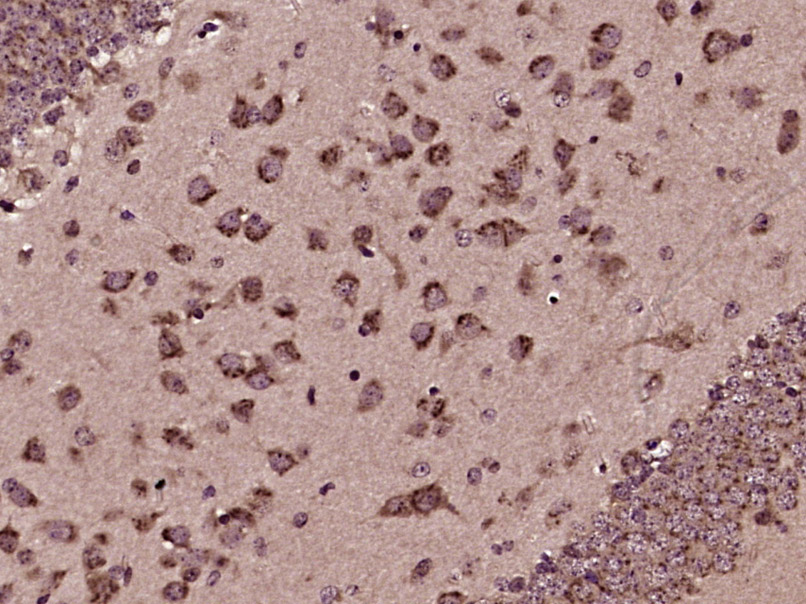
Paraformaldehyde-fixed, paraffin embedded (Mouse brain); Antigen retrieval by boiling in sodium citrate buffer (pH6.0) for 15min; Block endogenous peroxidase by 3% hydrogen peroxide for 20 minutes; Blocking buffer (normal goat serum) at 37°C for 30min; Antibody incubation with (PAP2B) Polyclonal Antibody, Unconjugated (bs-4127R) at 1:400 overnight at 4°C, followed by operating according to SP Kit(Rabbit) (sp-0023) instructionsand DAB staining.
版权所有 2004-2026 www.bioss.com.cn 北京博奥森生物技术有限公司
通过国际质量管理体系ISO 9001:2015 GB/T 19001-2016    证书编号: 00124Q34771R2M/1100
通过国际医疗器械-质量管理体系ISO 13485:2016 GB/T 42061-2022     证书编号: CQC24QY20047R0M/1100
京ICP备05066980号-1         京公网安备110107000727号