扫码关注公众号           扫码咨询技术支持           扫码咨询技术服务
  
客服热线:400-901-9800  客服QQ:4009019800  技术答疑  技术支持  质量反馈  关于我们  联系我们
产品中心-北京博奥森生物技术有限公司
首页 > 产品中心 > 一抗 > 产品信息
MAPK4 Rabbit pAb (bs-4131R)  
订购热线:400-901-9800
订购邮箱:sales@bioss.com.cn
订购QQ:  400-901-9800
技术支持:techsupport@bioss.com.cn
50ul/1180.00元
100ul/1980.00元
200ul/2800.00元
大包装/询价

产品编号 bs-4131R
英文名称 MAPK4 Rabbit pAb
中文名称 细胞外信号调节激酶4抗体
别    名 ERK-4; ERK3; Erk3 related; ERK4; Extracellular signal regulated kinase 4; Extracellular signal-regulated kinase 4; MAP kinase 4; MAP kinase isoform p63; MAPK 4; MAPK-4; Mitogen activated protein kinase 4; Mitogen-activated protein kinase 4; MK04_HUMAN; p63 MAPK; p63-MAPK; p63MAPK; PRKM4.  
研究领域 肿瘤  免疫学  信号转导  激酶和磷酸酶  
抗体来源 Rabbit
克隆类型 Polyclonal
克 隆 号
交叉反应 Human,Mouse,Rat (predicted: Rabbit,Pig,Cow,Dog,Horse)
产品应用 WB=1:500-2000,IHC-P=1:100-500,IHC-F=1:100-500,IF=1:100-500,Flow-Cyt=1ug/Test
not yet tested in other applications.
optimal dilutions/concentrations should be determined by the end user.
理论分子量 66 kDa
检测分子量
细胞定位 细胞核 细胞浆 
性    状 Liquid
浓    度 1mg/ml
免 疫 原 KLH conjugated synthetic peptide derived from human ERK5: 401-500/587 
亚    型 IgG
纯化方法 affinity purified by Protein A
缓 冲 液 0.01M TBS (pH7.4) with 1% BSA, 0.02% Proclin300 and 50% Glycerol.
保存条件 Shipped at 4℃. Store at -20℃ for one year. Avoid repeated freeze/thaw cycles.
注意事项 This product as supplied is intended for research use only, not for use in human, therapeutic or diagnostic applications.
PubMed PubMed
产品介绍 Mitogen-activated protein kinase 4 is a member of the mitogen-activated protein kinase family. Tyrosine kinase growth factor receptors activate mitogen-activated protein kinases which then translocate into the nucleus where it phosphorylates nuclear targets. [provided by RefSeq, Jul 2008]

Function:
Atypical MAPK protein. Phosphorylates microtubule-associated protein 2 (MAP2) and MAPKAPK5. The precise role of the complex formed with MAPKAPK5 is still unclear, but the complex follows a complex set of phosphorylation events: upon interaction with atypical MAPKAPK5, ERK4/MAPK4 is phosphorylated at Ser-186 and then mediates phosphorylation and activation of MAPKAPK5, which in turn phosphorylates ERK4/MAPK4. May promote entry in the cell cycle (By similarity).

Subunit:
Homodimer. Heterodimer with ERK3/MAPK6. Interacts with (via FRIEDE motif) MAPKAPK5.

Subcellular Location:
Cytoplasm. Nucleus. Note=Translocates to the cytoplasm following interaction with MAPKAPK5.

Tissue Specificity:
High expression in heart and brain.

Post-translational modifications:
Phosphorylated at Ser-186 by PAK1, PAK2 and PAK3 resulting in catalytic activation. Phosphorylated by MAPKAPK5 at other sites.

Similarity:
Belongs to the protein kinase superfamily. CMGC Ser/Thr protein kinase family. MAP kinase subfamily.
Contains 1 protein kinase domain.

SWISS:
P31152

Gene ID:
5596

Database links:

Entrez Gene: 5596 Human

Entrez Gene: 225724 Mouse

Entrez Gene: 54268 Rat

Omim: 176949 Human

SwissProt: P31152 Human

SwissProt: Q6P5G0 Mouse

SwissProt: Q63454 Rat

Unigene: 433728 Human

Unigene: 254517 Mouse

Unigene: 146899 Rat



产品图片
Sample: Lane 1: Mouse Cerebellum tissue lysates Lane 2: Rat Cerebellum tissue lysates Lane 3: Human Raji cell lysates Lane 4: Human HeLa cell lysates Lane 5: Human SH-SY5Y cell lysates Lane 6: Human U251 cell lysates Lane 7: Human 293T cell lysates Primary: Anti- MAPK4 (bs-4131R) at 1/1000 dilution Secondary: IRDye800CW Goat Anti-Rabbit IgG at 1/20000 dilution Predicted band size: 66 kDa Observed band size: 60 kDa
Paraformaldehyde-fixed, paraffin embedded (human cervical carcinoma); Antigen retrieval by boiling in sodium citrate buffer (pH6.0) for 15min; Block endogenous peroxidase by 3% hydrogen peroxide for 20 minutes; Blocking buffer (normal goat serum) at 37°C for 30min; Antibody incubation with (MAPK4) Polyclonal Antibody, Unconjugated (bs-4131R) at 1:200 overnight at 4°C, followed by operating according to SP Kit(Rabbit) (sp-0023) instructionsand DAB staining.
Paraformaldehyde-fixed, paraffin embedded (rat cerebellum); Antigen retrieval by boiling in sodium citrate buffer (pH6.0) for 15min; Block endogenous peroxidase by 3% hydrogen peroxide for 20 minutes; Blocking buffer (normal goat serum) at 37°C for 30min; Antibody incubation with (MAPK4) Polyclonal Antibody, Unconjugated (bs-4131R) at 1:200 overnight at 4°C, followed by operating according to SP Kit(Rabbit) (sp-0023) instructionsand DAB staining.
Paraformaldehyde-fixed, paraffin embedded (mouse cerebellum); Antigen retrieval by boiling in sodium citrate buffer (pH6.0) for 15min; Block endogenous peroxidase by 3% hydrogen peroxide for 20 minutes; Blocking buffer (normal goat serum) at 37°C for 30min; Antibody incubation with (MAPK4) Polyclonal Antibody, Unconjugated (bs-4131R) at 1:200 overnight at 4°C, followed by operating according to SP Kit(Rabbit) (sp-0023) instructionsand DAB staining.
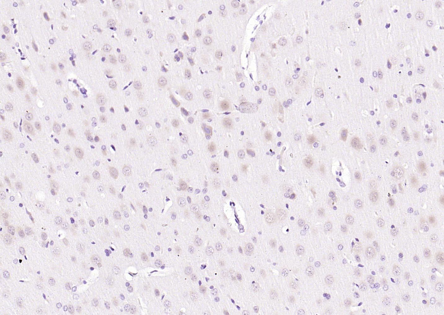
Paraformaldehyde-fixed, paraffin embedded (rat brain); Antigen retrieval by boiling in sodium citrate buffer (pH6.0) for 15min; Block endogenous peroxidase by 3% hydrogen peroxide for 20 minutes; Blocking buffer (normal goat serum) at 37°C for 30min; Antibody incubation with (MAPK4) Polyclonal Antibody, Unconjugated (bs-4131R) at 1:200 overnight at 4°C, followed by operating according to SP Kit(Rabbit) (sp-0023) instructionsand DAB staining.
Paraformaldehyde-fixed, paraffin embedded (mouse brain); Antigen retrieval by boiling in sodium citrate buffer (pH6.0) for 15min; Block endogenous peroxidase by 3% hydrogen peroxide for 20 minutes; Blocking buffer (normal goat serum) at 37°C for 30min; Antibody incubation with (MAPK4) Polyclonal Antibody, Unconjugated (bs-4131R) at 1:200 overnight at 4°C, followed by operating according to SP Kit(Rabbit) (sp-0023) instructionsand DAB staining.
Blank control(black line):Hela. Primary Antibody (green line): Rabbit Anti-MAPK4 antibody (bs-4131R) Dilution:1ug/Test; Secondary Antibody(white blue line): Goat anti-rabbit IgG-AF488 Dilution: 0.5ug/Test. Isotype control(orange line): Normal Rabbit IgG Protocol The cells were fixed with 4% PFA (10min at room temperature)and then permeabilized with 90% ice-cold methanol for 20 min at -20℃, The cells were then incubated in 5%BSA to block non-specific protein-protein interactions for 30 min at room temperature .Cells stained with Primary Antibody for 30 min at room temperature. The secondary antibody used for 40 min at room temperature. Acquisition of 20,000 events was performed.
版权所有 2004-2026 www.bioss.com.cn 北京博奥森生物技术有限公司
通过国际质量管理体系ISO 9001:2015 GB/T 19001-2016    证书编号: 00124Q34771R2M/1100
通过国际医疗器械-质量管理体系ISO 13485:2016 GB/T 42061-2022     证书编号: CQC24QY20047R0M/1100
京ICP备05066980号-1         京公网安备110107000727号