扫码关注公众号           扫码咨询技术支持           扫码咨询技术服务
  
客服热线:400-901-9800  客服QQ:4009019800  技术答疑  技术支持  质量反馈  关于我们  联系我们
产品中心-北京博奥森生物技术有限公司
首页 > 产品中心 > 一抗 > 产品信息
phospho-ERK5 ( Ser731+Thr733) Rabbit pAb (bs-5486R)  
订购热线:400-901-9800
订购邮箱:sales@bioss.com.cn
订购QQ:  400-901-9800
技术支持:techsupport@bioss.com.cn
50ul/1180.00元
100ul/1980.00元
200ul/2800.00元
大包装/询价

产品编号 bs-5486R
英文名称 phospho-ERK5 ( Ser731+Thr733) Rabbit pAb
中文名称 磷酸化细胞外信号调节激酶5抗体
别    名 ERK5(phospho Ser731+Thr733); Big MAP kinase 1; BMK 1; BMK 1 kinase; BMK-1; BMK1; BMK1 Kinase; EC 2.7.11.24; ERK 4; ERK 5; ERK-5; ERK4; Extracellular Signal Regulated Kinase 5; Extracellular signal-regulated kinase 5; MAP kinase 7; MAPK 7; MAPK7; Mitogen Activated Protein Kinase 7; Mitogen-activated protein kinase 7; MK07_HUMAN; OTTHUMP00000065906; OTTHUMP00000065907; PRKM 7; PRKM7; PROTEIN KINASE, MITOGEN-ACTIVATED, 7.  
Specific References  (2)     |     bs-5486R has been referenced in 2 publications.
[IF=7.59] Muzhe Li. et al. STS load PCL- MECM based hydrogel hybrid scaffold promote meniscal regeneration via modulating macrophage phenotype polarization. BIOMATER SCI-UK. 2023 Jan;:  WB ;  Rabbit.  
[IF=7.36] Ye F et al. Whole exome and target sequencing identifies MAP2K5 as novel susceptibility gene for familial non-medullary thyroid carcinoma. Int J Cancer. 2019 Mar 15;144(6):1321-1330.   ICF&WB ;  Human.  
产品类型 磷酸化抗体 
研究领域 肿瘤  免疫学  信号转导  转录调节因子  激酶和磷酸酶  
抗体来源 Rabbit
克隆类型 Polyclonal
克 隆 号
交叉反应 Human,Mouse,Rat (predicted: Rabbit,Cow,Dog)
产品应用 WB=1:500-2000,IHC-P=1:100-500,IHC-F=1:100-500,IF=1:100-500
not yet tested in other applications.
optimal dilutions/concentrations should be determined by the end user.
理论分子量 90 kDa
检测分子量
细胞定位 细胞核 细胞浆 
性    状 Liquid
浓    度 1mg/ml
免 疫 原 KLH conjugated Synthesised phosphopeptide derived from human ERK5 around the phosphorylation site of Ser731+Thr733: VF(p-S)G(p-T)PK 
亚    型 IgG
纯化方法 affinity purified by Protein A
缓 冲 液 0.01M TBS (pH7.4) with 1% BSA, 0.02% Proclin300 and 50% Glycerol.
保存条件 Shipped at 4℃. Store at -20℃ for one year. Avoid repeated freeze/thaw cycles.
注意事项 This product as supplied is intended for research use only, not for use in human, therapeutic or diagnostic applications.
PubMed PubMed
产品介绍 The protein encoded by this gene is a member of the MAP kinase family. MAP kinases act as an integration point for multiple biochemical signals, and are involved in a wide variety of cellular processes such as proliferation, differentiation, transcription regulation and development. This kinase is specifically activated by mitogen-activated protein kinase kinase 5 (MAP2K5/MEK5). It is involved in the downstream signaling processes of various receptor molecules including receptor type kinases, and G protein-coupled receptors. In response to extracelluar signals, this kinase translocates to cell nucleus, where it regulates gene expression by phosphorylating, and activating different transcription factors. Four alternatively spliced transcript variants of this gene encoding two distinct isoforms have been reported. [provided by RefSeq, Jul 2008]

Function:
Plays a role in various cellular processes such as proliferation, differentiation and cell survival. The upstream activator of MAPK7 is the MAPK kinase MAP2K5. Upon activation, it translocates to the nucleus and phosphorylates various downstream targets including MEF2C. EGF activates MAPK7 through a Ras-independent and MAP2K5-dependent pathway. May have a role in muscle cell differentiation. May be important for endothelial function and maintenance of blood vessel integrity. MAP2K5 and MAPK7 interact specifically with one another and not with MEK1/ERK1 or MEK2/ERK2 pathways. Phosphorylates SGK1 at Ser-78 and this is required for growth factor-induced cell cycle progression.

Subunit:
Interacts with MAP2K5. Forms oligomers. Interacts with MEF2A, MEF2C and MEF2D; the interaction phosphorylates the MEF2s and enhances transcriptional activity of MEF2A, MEF2C but not MEF2D. Interacts with SGK1.

Subcellular Location:
Cytoplasm. Nucleus. Note=Translocates to the nucleus upon activation.

Tissue Specificity:
Expressed in many adult tissues. Abundant in heart, placenta, lung, kidney and skeletal muscle. Not detectable in liver.

Post-translational modifications:
Dually phosphorylated on Thr-219 and Tyr-221, which activates the enzyme. Autophosphorylated in vitro on threonine and tyrosine residues when the C-terminal part of the kinase, which could have a regulatory role, is absent.

Similarity:
Belongs to the protein kinase superfamily. CMGC Ser/Thr protein kinase family. MAP kinase subfamily.
Contains 1 protein kinase domain.

SWISS:
Q13164

Gene ID:
5598

Database links:

Entrez Gene: 5598 Human

Entrez Gene: 23939 Mouse

Entrez Gene: 114509 Rat

Omim: 602521 Human

SwissProt: Q13164 Human

SwissProt: Q9WVS8 Mouse

SwissProt: P0C865 Rat

Unigene: 150136 Human

Unigene: 38172 Mouse

Unigene: 144629 Rat




产品图片
Sample: Lane 1: Mouse Muscle tissue lysates Lane 2: Mouse Cerebrum tissue lysates Lane 3: Mouse Heart tissue lysates Lane 4: Rat Muscle tissue lysates Lane 5: Rat Cerebrum tissue lysates Primary: Anti-phospho-ERK5 ( Ser731+Thr733) (bs-5486R) at 1/1000 dilution Secondary: IRDye800CW Goat Anti-Rabbit IgG at 1/20000 dilution Predicted band size: 90 kDa Observed band size: 59 kDa
Paraformaldehyde-fixed, paraffin embedded (human testis); Antigen retrieval by boiling in sodium citrate buffer (pH6.0) for 15min; Block endogenous peroxidase by 3% hydrogen peroxide for 20 minutes; Blocking buffer (normal goat serum) at 37°C for 30min; Incubation with (phospho-ERK5 ( Ser731+Thr733)) Polyclonal Antibody, Unconjugated (bs-5486R) at 1:200 overnight at 4°C, followed by operating according to SP Kit(Rabbit) (sp-0023) instructionsand DAB staining.
Paraformaldehyde-fixed, paraffin embedded (human kidney); Antigen retrieval by boiling in sodium citrate buffer (pH6.0) for 15min; Block endogenous peroxidase by 3% hydrogen peroxide for 20 minutes; Blocking buffer (normal goat serum) at 37°C for 30min; Incubation with (phospho-ERK5 ( Ser731+Thr733)) Polyclonal Antibody, Unconjugated (bs-5486R) at 1:200 overnight at 4°C, followed by operating according to SP Kit(Rabbit) (sp-0023) instructionsand DAB staining.
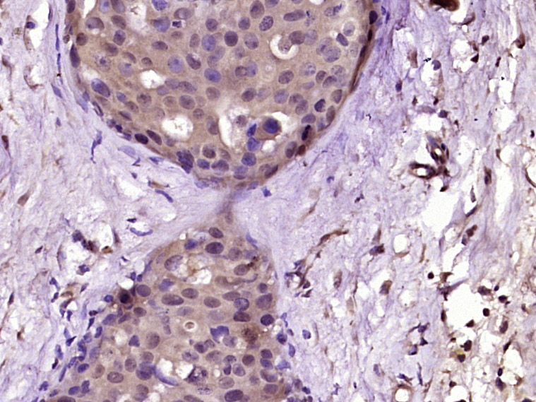
Paraformaldehyde-fixed, paraffin embedded (Human breast cancer); Antigen retrieval by boiling in sodium citrate buffer (pH6.0) for 15min; Block endogenous peroxidase by 3% hydrogen peroxide for 20 minutes; Blocking buffer (normal goat serum) at 37°C for 30min; Antibody incubation with (phospho-ERK5 ( Ser731+Thr733)) Polyclonal Antibody, Unconjugated (bs-5486R) at 1:400 overnight at 4°C, followed by operating according to SP Kit(Rabbit) (sp-0023) instructions and DAB staining.
Tissue/cell: human kidney tissue;4% Paraformaldehyde-fixed and paraffin-embedded; Antigen retrieval: citrate buffer ( 0.01M, pH 6.0 ), Boiling bathing for 15min; Blocking buffer (normal goat serum,C-0005) at 37∩ for 20 min; Incubation: Anti-phospho-ERK5(Ser731+Thr733) Polyclonal Antibody, FITC conjugated (bs-5486R-FITC) 1:200, used at 1:200 dilution for 40 minutes at 37∑C.
Tissue/cell: human lung carcinoma;4% Paraformaldehyde-fixed and paraffin-embedded; Antigen retrieval: citrate buffer ( 0.01M, pH 6.0 ), Boiling bathing for 15min; Blocking buffer (normal goat serum,C-0005) at 37∩ for 20 min; Incubation: Anti-phospho-ERK5(Ser731+Thr733) Polyclonal Antibody, Unconjugated(bs-5486R) 1:200, overnight at 4∑C; The secondary antibody was Goat Anti-Rabbit IgG, Cy3 conjugated (bs-0295G-Cy3)used at 1:200 dilution for 40 minutes at 37∑C.
版权所有 2004-2026 www.bioss.com.cn 北京博奥森生物技术有限公司
通过国际质量管理体系ISO 9001:2015 GB/T 19001-2016    证书编号: 00124Q34771R2M/1100
通过国际医疗器械-质量管理体系ISO 13485:2016 GB/T 42061-2022     证书编号: CQC24QY20047R0M/1100
京ICP备05066980号-1         京公网安备110107000727号