扫码关注公众号           扫码咨询技术支持           扫码咨询技术服务
  
客服热线:400-901-9800  客服QQ:4009019800  技术答疑  技术支持  质量反馈  关于我们  联系我们
产品中心-北京博奥森生物技术有限公司
首页 > 产品中心 > 一抗 > 产品信息
phospho-MAPK8 ( Thr183 + Tyr185) Rabbit pAb (bs-5487R)  
订购热线:400-901-9800
订购邮箱:sales@bioss.com.cn
订购QQ:  400-901-9800
技术支持:techsupport@bioss.com.cn
50ul/1180.00元
100ul/1980.00元
200ul/2800.00元
大包装/询价

产品编号 bs-5487R
英文名称 phospho-MAPK8 ( Thr183 + Tyr185) Rabbit pAb
中文名称 磷酸化氨基末端激酶2抗体
别    名 MAPK8/MAPK9(phospho T183/Y185); JNK1+JNK2(phospho T183+Y185); AI849689; c Jun N terminal kinase 1; C-JUN kinase 1; c-Jun N-terminal kinase 1; EC 2.7.11.24; JNK 1; JNK; JNK-46; JNK1A2; JNK21B1/2; MAP kinase 8; MAPK 8; mapk8; Mitogen activated protein kinase 8; Mitogen-activated protein kinase 8; MK08_HUMAN; p54 gamma; Prkm8; Protein kinase JNK1; Protein kinase, mitogen-activated, 8; SAPK 1; SAPK gamma; SAPK1; Stress-activated protein kinase 1; Stress-activated protein kinase JNK1.  
产品类型 磷酸化抗体 
研究领域 肿瘤  免疫学  信号转导  转录调节因子  激酶和磷酸酶  
抗体来源 Rabbit
克隆类型 Polyclonal
克 隆 号
交叉反应 Human,Mouse,Rat
产品应用 IHC-P=1:100-500,IHC-F=1:100-500,IF=1:100-500,Flow-Cyt=2ug/Test
not yet tested in other applications.
optimal dilutions/concentrations should be determined by the end user.
理论分子量 48 kDa
检测分子量
细胞定位 细胞核 
性    状 Liquid
浓    度 1mg/ml
免 疫 原 KLH conjugated Synthesised phosphopeptide derived from human MAPK9 around the phosphorylation site of Thr183+Tyr185: MM(p-T)P(p-Y)VV 
亚    型 IgG
纯化方法 affinity purified by Protein A
缓 冲 液 0.01M TBS (pH7.4) with 1% BSA, 0.02% Proclin300 and 50% Glycerol.
保存条件 Shipped at 4℃. Store at -20℃ for one year. Avoid repeated freeze/thaw cycles.
注意事项 This product as supplied is intended for research use only, not for use in human, therapeutic or diagnostic applications.
PubMed PubMed
产品介绍 phosphorylated at the Thr-Pro-Tyr phosphorylation motif instead of the characteristic MAP kinase Thr-Glu-Tyr motif. JNK2 (p54a, SAPK1a), along with JNK1 and JNK3, is thought to play an important role in nuclear signal transduction through its environmental stress activation and subsequent phosphorylation of the nuclear transcription factor p53.

SWISS:
P45983

Gene ID:
5599

Database links:

Entrez Gene: 5599 Human

Entrez Gene: 26419 Mouse

Entrez Gene: 116554 Rat

Omim: 601158 Human

SwissProt: P45983 Human

SwissProt: Q91Y86 Mouse

SwissProt: P49185 Rat

Unigene: 138211 Human

Unigene: 21495 Mouse

Unigene: 4090 Rat



产品图片
Paraformaldehyde-fixed, paraffin embedded (Mouse colon); Antigen retrieval by boiling in sodium citrate buffer (pH6.0) for 15min; Block endogenous peroxidase by 3% hydrogen peroxide for 20 minutes; Blocking buffer (normal goat serum) at 37°C for 30min; Antibody incubation with (phospho-MAPK8 ( Thr183 + Tyr185)) Polyclonal Antibody, Unconjugated (bs-5487R) at 1:400 overnight at 4°C, followed by operating according to SP Kit(Rabbit) (sp-0023) instructionsand DAB staining.
Paraformaldehyde-fixed, paraffin embedded (Human brain glioma); Antigen retrieval by boiling in sodium citrate buffer (pH6.0) for 15min; Block endogenous peroxidase by 3% hydrogen peroxide for 20 minutes; Blocking buffer (normal goat serum) at 37°C for 30min; Antibody incubation with (phospho-MAPK8 ( Thr183 + Tyr185)) Polyclonal Antibody, Unconjugated (bs-5487R) at 1:400 overnight at 4°C, followed by operating according to SP Kit(Rabbit) (sp-0023) instructionsand DAB staining.
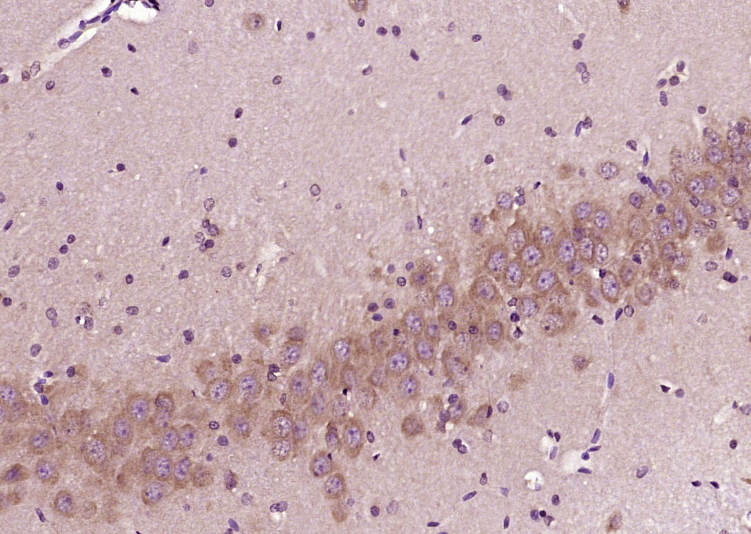
Paraformaldehyde-fixed, paraffin embedded (Rat brain); Antigen retrieval by boiling in sodium citrate buffer (pH6.0) for 15min; Block endogenous peroxidase by 3% hydrogen peroxide for 20 minutes; Blocking buffer (normal goat serum) at 37°C for 30min; Antibody incubation with (phospho-MAPK8 ( Thr183 + Tyr185)) Polyclonal Antibody, Unconjugated (bs-5487R) at 1:400 overnight at 4°C, followed by operating according to SP Kit(Rabbit) (sp-0023) instructionsand DAB staining.
Blank control: K562. Primary Antibody (green line): Rabbit Anti-phospho-MAPK8 ( Thr183 + Tyr185) antibody (bs-5487R) Dilution: 2μg /10^6 cells; Isotype Control Antibody (orange line): Rabbit IgG . Secondary Antibody : Goat anti-rabbit IgG-FITC Dilution: 1μg /test. Protocol The cells were fixed with 4% PFA (10min at room temperature)and then permeabilized with 90% ice-cold methanol for 20 min at-20℃. The cells were then incubated in 5%BSA to block non-specific protein-protein interactions for 30 min at room temperature .Cells stained with Primary Antibody for 30 min at room temperature. The secondary antibody used for 40 min at room temperature. Acquisition of 20,000 events was performed.
版权所有 2004-2026 www.bioss.com.cn 北京博奥森生物技术有限公司
通过国际质量管理体系ISO 9001:2015 GB/T 19001-2016    证书编号: 00124Q34771R2M/1100
通过国际医疗器械-质量管理体系ISO 13485:2016 GB/T 42061-2022     证书编号: CQC24QY20047R0M/1100
京ICP备05066980号-1         京公网安备110107000727号