扫码关注公众号           扫码咨询技术支持           扫码咨询技术服务
  
客服热线:400-901-9800  客服QQ:4009019800  技术答疑  技术支持  质量反馈  关于我们  联系我们
产品中心-北京博奥森生物技术有限公司
首页 > 产品中心 > 一抗 > 产品信息
NF1 Rabbit pAb (bs-4140R)  
订购热线:400-901-9800
订购邮箱:sales@bioss.com.cn
订购QQ:  400-901-9800
技术支持:techsupport@bioss.com.cn
50ul/1180.00元
100ul/1980.00元
200ul/2800.00元
大包装/询价

产品编号 bs-4140R
英文名称 NF1 Rabbit pAb
中文名称 1型神经纤维瘤抗体
别    名 Neurofibromin 1; DKFZp686J1293; FLJ21220; Neurofibromatosis Noonan syndrome; Neurofibromatosis related protein NF 1; Neurofibromatosis related protein NF1; neurofibromatosis type I; Neurofibromatosis-related protein NF-1; Neurofibromin 1; Neurofibromin truncated; Neurofibromin1; NF 1; NF; NF1; NF1_HUMAN; NFNS; Type 1 Neurofibromatosis; von Recklinghausen disease neurofibromin; von Recklinghausen disease related protein VRNF; VRNF; WATS; Watson disease related protein WSS; Watson syndrome; WSS.  
研究领域 肿瘤  细胞生物  免疫学  染色质和核信号  神经生物学  信号转导  表观遗传学  G蛋白信号  
抗体来源 Rabbit
克隆类型 Polyclonal
克 隆 号
交叉反应 Human,Mouse (predicted: Rat,Rabbit,Dog,Horse)
产品应用 IHC-P=1:100-500,IHC-F=1:100-500,IF=1:100-500,Flow-Cyt=1μg/Test,ICC/IF=1:100-500
not yet tested in other applications.
optimal dilutions/concentrations should be determined by the end user.
理论分子量 147/319 kDa
检测分子量
细胞定位 细胞核 
性    状 Liquid
浓    度 1mg/ml
免 疫 原 KLH conjugated synthetic peptide derived from human Neurofibromin 1: 2701-2839/2839 
亚    型 IgG
纯化方法 affinity purified by Protein A
缓 冲 液 0.01M TBS (pH7.4) with 1% BSA, 0.02% Proclin300 and 50% Glycerol.
保存条件 Shipped at 4℃. Store at -20℃ for one year. Avoid repeated freeze/thaw cycles.
注意事项 This product as supplied is intended for research use only, not for use in human, therapeutic or diagnostic applications.
PubMed PubMed
产品介绍 This gene product appears to function as a negative regulator of the ras signal transduction pathway. Mutations in this gene have been linked to neurofibromatosis type 1, juvenile myelomonocytic leukemia and Watson syndrome. The mRNA for this gene is subject to RNA editing (CGA>UGA->Arg1306Term) resulting in premature translation termination. Alternatively spliced transcript variants encoding different isoforms have also been described for this gene. [provided by RefSeq, Jul 2008].

Function:
Stimulates the GTPase activity of Ras. NF1 shows greater affinity for Ras GAP, but lower specific activity. May be a regulator of Ras activity.

DISEASE:
Neurofibromatosis 1 (NF1) [MIM:162200]: A disease characterized by patches of skin pigmentation (cafe-au-lait spots), Lisch nodules of the iris, tumors in the peripheral nervous system and fibromatous skin tumors. Individuals with the disorder have increased susceptibility to the development of benign and malignant tumors. Note=The disease is caused by mutations affecting the gene represented in this entry.
Leukemia, juvenile myelomonocytic (JMML) [MIM:607785]: An aggressive pediatric myelodysplastic syndrome/myeloproliferative disorder characterized by malignant transformation in the hematopoietic stem cell compartment with proliferation of differentiated progeny. Patients have splenomegaly, enlarged lymph nodes, rashes, and hemorrhages. Note=The disease is caused by mutations affecting the gene represented in this entry.
Watson syndrome (WS) [MIM:193520]: A syndrome characterized by the presence of pulmonary stenosis, cafe-au-lait spots, and mental retardation. It is considered as an atypical form of neurofibromatosis. Note=The disease is caused by mutations affecting the gene represented in this entry.
Familial spinal neurofibromatosis (FSNF) [MIM:162210]: Considered to be an alternative form of neurofibromatosis, showing multiple spinal tumors. Note=The disease is caused by mutations affecting the gene represented in this entry.
Neurofibromatosis-Noonan syndrome (NFNS) [MIM:601321]: Characterized by manifestations of both NF1 and Noonan syndrome (NS). NS is a disorder characterized by dysmorphic facial features, short stature, hypertelorism, cardiac anomalies, deafness, motor delay, and a bleeding diathesis. Note=The disease is caused by mutations affecting the gene represented in this entry.
Colorectal cancer (CRC) [MIM:114500]: A complex disease characterized by malignant lesions arising from the inner wall of the large intestine (the colon) and the rectum. Genetic alterations are often associated with progression from premalignant lesion (adenoma) to invasive adenocarcinoma. Risk factors for cancer of the colon and rectum include colon polyps, long-standing ulcerative colitis, and genetic family history. Note=The gene represented in this entry may be involved in disease pathogenesis.

Similarity:
Contains 1 CRAL-TRIO domain.
Contains 1 Ras-GAP domain.

SWISS:
P21359

Gene ID:
4763

Database links:

Entrez Gene: 4763 Human

Entrez Gene: 18015 Mouse

Entrez Gene: 24592 Rat

Omim: 613113 Human

SwissProt: P21359 Human

SwissProt: Q04690 Mouse

SwissProt: P97526 Rat

Unigene: 113577 Human

Unigene: 255596 Mouse

Unigene: 10686 Rat



神经纤维素蛋白首先发现于神经细胞,是一种肿瘤抑制蛋白,通过调控Ras基因控制异常细胞生长,并且在cAMP信号传导通路中起调节作用.
神经纤维瘤Ⅰ型(neurofibromatosis type 1,NF1)是一种由内分泌紊乱引起的神经纤维瘤,属于常染色体显性遗传病,其发病率为1/3500,主要表现为咖啡斑、神经纤维瘤、Lisch结节(虹膜错构瘤)等。每3,500个新生儿中就有一个是神经纤维细胞瘤I型患者,其临床表现为表皮或皮下多发性神经纤维瘤,良性多于恶性,常沿神经干分布。有时,神经纤维瘤会长大,或者发展到脑和脊髓,大约有一半以上患者智力低下。
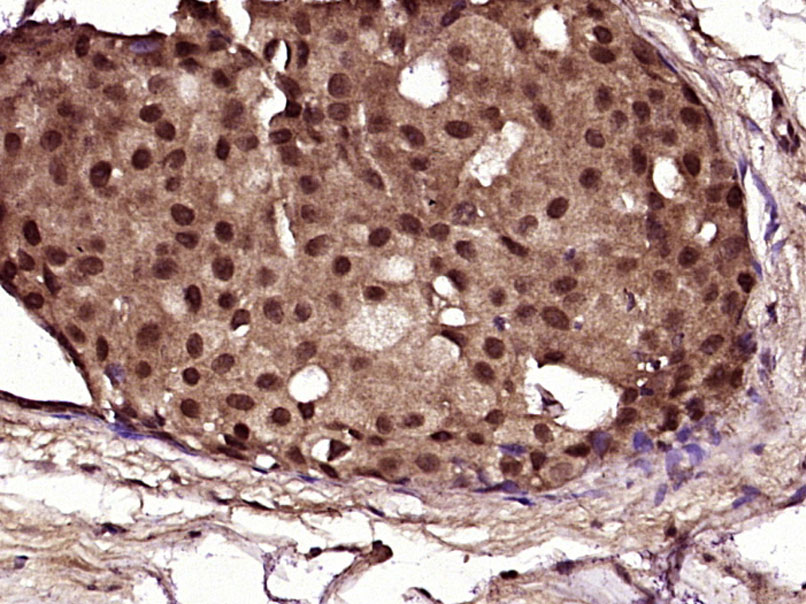
产品图片
Paraformaldehyde-fixed, paraffin embedded (Mouse brain); Antigen retrieval by boiling in sodium citrate buffer (pH6.0) for 15min; Block endogenous peroxidase by 3% hydrogen peroxide for 20 minutes; Blocking buffer (normal goat serum) at 37°C for 30min; Antibody incubation with (NF1) Polyclonal Antibody, Unconjugated (bs-4140R) at 1:400 overnight at 4°C, followed by operating according to SP Kit(Rabbit) (sp-0023) instructionsand DAB staining.
Paraformaldehyde-fixed, paraffin embedded (Human breast carcinoma); Antigen retrieval by boiling in sodium citrate buffer (pH6.0) for 15min; Block endogenous peroxidase by 3% hydrogen peroxide for 20 minutes; Blocking buffer (normal goat serum) at 37°C for 30min; Antibody incubation with (NF1) Polyclonal Antibody, Unconjugated (bs-4140R) at 1:400 overnight at 4°C, followed by operating according to SP Kit(Rabbit) (sp-0023) instructionsand DAB staining.
Hela cell; 4% Paraformaldehyde-fixed; Triton X-100 at room temperature for 20 min; Blocking buffer (normal goat serum, C-0005) at 37°C for 20 min; Antibody incubation with (NF1) polyclonal Antibody, Unconjugated (bs-4140R) 1:100, 90 minutes at 37°C; followed by a conjugated Goat Anti-Rabbit IgG antibody at 37°C for 90 minutes, DAPI (blue, C02-04002) was used to stain the cell nuclei.
版权所有 2004-2026 www.bioss.com.cn 北京博奥森生物技术有限公司
通过国际质量管理体系ISO 9001:2015 GB/T 19001-2016    证书编号: 00124Q34771R2M/1100
通过国际医疗器械-质量管理体系ISO 13485:2016 GB/T 42061-2022     证书编号: CQC24QY20047R0M/1100
京ICP备05066980号-1         京公网安备110107000727号