扫码关注公众号           扫码咨询技术支持           扫码咨询技术服务
  
客服热线:400-901-9800  客服QQ:4009019800  技术答疑  技术支持  质量反馈  关于我们  联系我们
产品中心-北京博奥森生物技术有限公司
首页 > 产品中心 > 一抗 > 产品信息
phospho-NF1 (Ser2817) Rabbit pAb (bs-5521R)  
订购热线:400-901-9800
订购邮箱:sales@bioss.com.cn
订购QQ:  400-901-9800
技术支持:techsupport@bioss.com.cn
50ul/1180.00元
100ul/1980.00元
200ul/2800.00元
大包装/询价

产品编号 bs-5521R
英文名称 phospho-NF1 (Ser2817) Rabbit pAb
中文名称 磷酸化1型神经纤维瘤抗体
别    名 NF1(phospho Ser2741); NF1(phospho S2741); DKFZp686J1293; FLJ21220; Neurofibromatosis Noonan syndrome; Neurofibromatosis related protein NF 1; Neurofibromatosis related protein NF1; neurofibromatosis type I; Neurofibromatosis-related protein NF-1; Neurofibromin 1; Neurofibromin truncated; Neurofibromin1; NF 1; NF; NF1; NF1_HUMAN; NFNS; Type 1 Neurofibromatosis; von Recklinghausen disease neurofibromin; von Recklinghausen disease related protein VRNF; VRNF; WATS; Watson disease related protein WSS; Watson syndrome; WSS.  
产品类型 磷酸化抗体 
研究领域 肿瘤  细胞生物  免疫学  染色质和核信号  神经生物学  信号转导  表观遗传学  G蛋白信号  
抗体来源 Rabbit
克隆类型 Polyclonal
克 隆 号
交叉反应 Rat (predicted: Human,Mouse,Rabbit,Pig,Dog)
产品应用 IHC-P=1:100-500,IHC-F=1:100-500,IF=1:100-500
not yet tested in other applications.
optimal dilutions/concentrations should be determined by the end user.
理论分子量 147/319 kDa
检测分子量
细胞定位 细胞核 
性    状 Liquid
浓    度 1mg/ml
免 疫 原 KLH conjugated Synthesised phosphopeptide derived from human NF1 around the phosphorylation site of Ser2817: HG(p-S)AS 
亚    型 IgG
纯化方法 affinity purified by Protein A
缓 冲 液 0.01M TBS (pH7.4) with 1% BSA, 0.02% Proclin300 and 50% Glycerol.
保存条件 Shipped at 4℃. Store at -20℃ for one year. Avoid repeated freeze/thaw cycles.
注意事项 This product as supplied is intended for research use only, not for use in human, therapeutic or diagnostic applications.
PubMed PubMed
产品介绍 Neurofibromin is a product of the tumor suppressor gene, Neurofibromatosis type I. Neurofibromin is known to have GTPase activity that modulates the ras pathway. The absence of or alteration of the neurofibromin protein may lead to Neurofibromatosis disease. This protein has not been purified, therefore, most of the information regarding this protein has been deduced from homology analysis of its gene sequence.

Function:
Stimulates the GTPase activity of Ras. NF1 shows greater affinity for Ras GAP, but lower specific activity. May be a regulator of Ras activity.

DISEASE:
Neurofibromatosis 1 (NF1) [MIM:162200]: A disease characterized by patches of skin pigmentation (cafe-au-lait spots), Lisch nodules of the iris, tumors in the peripheral nervous system and fibromatous skin tumors. Individuals with the disorder have increased susceptibility to the development of benign and malignant tumors. Note=The disease is caused by mutations affecting the gene represented in this entry.
Leukemia, juvenile myelomonocytic (JMML) [MIM:607785]: An aggressive pediatric myelodysplastic syndrome/myeloproliferative disorder characterized by malignant transformation in the hematopoietic stem cell compartment with proliferation of differentiated progeny. Patients have splenomegaly, enlarged lymph nodes, rashes, and hemorrhages. Note=The disease is caused by mutations affecting the gene represented in this entry.
Watson syndrome (WS) [MIM:193520]: A syndrome characterized by the presence of pulmonary stenosis, cafe-au-lait spots, and mental retardation. It is considered as an atypical form of neurofibromatosis. Note=The disease is caused by mutations affecting the gene represented in this entry.
Familial spinal neurofibromatosis (FSNF) [MIM:162210]: Considered to be an alternative form of neurofibromatosis, showing multiple spinal tumors. Note=The disease is caused by mutations affecting the gene represented in this entry.
Neurofibromatosis-Noonan syndrome (NFNS) [MIM:601321]: Characterized by manifestations of both NF1 and Noonan syndrome (NS). NS is a disorder characterized by dysmorphic facial features, short stature, hypertelorism, cardiac anomalies, deafness, motor delay, and a bleeding diathesis. Note=The disease is caused by mutations affecting the gene represented in this entry.
Colorectal cancer (CRC) [MIM:114500]: A complex disease characterized by malignant lesions arising from the inner wall of the large intestine (the colon) and the rectum. Genetic alterations are often associated with progression from premalignant lesion (adenoma) to invasive adenocarcinoma. Risk factors for cancer of the colon and rectum include colon polyps, long-standing ulcerative colitis, and genetic family history. Note=The gene represented in this entry may be involved in disease pathogenesis.

Similarity:
Contains 1 CRAL-TRIO domain.
Contains 1 Ras-GAP domain.

SWISS:
P21359

Gene ID:
4763

Database links:

Entrez Gene: 4763 Human

Entrez Gene: 18015 Mouse

Entrez Gene: 24592 Rat

Omim: 613113 Human

SwissProt: P21359 Human

SwissProt: Q04690 Mouse

SwissProt: P97526 Rat

Unigene: 113577 Human

Unigene: 255596 Mouse

Unigene: 10686 Rat



产品图片
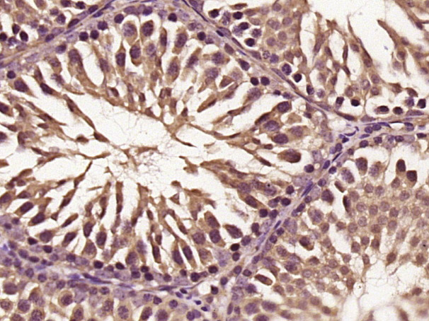
Paraformaldehyde-fixed, paraffin embedded (rat testis tissue); Antigen retrieval by boiling in sodium citrate buffer (pH6.0) for 15min; Block endogenous peroxidase by 3% hydrogen peroxide for 20 minutes; Blocking buffer (normal goat serum) at 37°C for 30min; Antibody incubation with (NF1(Ser2817)) Polyclonal Antibody, Unconjugated (bs-5521R) at 1:400 overnight at 4°C, followed by operating according to SP Kit(Rabbit) (sp-0023) instructionsand DAB staining.
Paraformaldehyde-fixed, paraffin embedded (rat brain tissue); Antigen retrieval by boiling in sodium citrate buffer (pH6.0) for 15min; Block endogenous peroxidase by 3% hydrogen peroxide for 20 minutes; Blocking buffer (normal goat serum) at 37°C for 30min; Antibody incubation with (NF1(Ser2817)) Polyclonal Antibody, Unconjugated (bs-5521R) at 1:400 overnight at 4°C, followed by operating according to SP Kit(Rabbit) (sp-0023) instructionsand DAB staining.
版权所有 2004-2026 www.bioss.com.cn 北京博奥森生物技术有限公司
通过国际质量管理体系ISO 9001:2015 GB/T 19001-2016    证书编号: 00124Q34771R2M/1100
通过国际医疗器械-质量管理体系ISO 13485:2016 GB/T 42061-2022     证书编号: CQC24QY20047R0M/1100
京ICP备05066980号-1         京公网安备110107000727号