扫码关注公众号           扫码咨询技术支持           扫码咨询技术服务
  
客服热线:400-901-9800  客服QQ:4009019800  技术答疑  技术支持  质量反馈  关于我们  联系我们
产品中心-北京博奥森生物技术有限公司
首页 > 产品中心 > 一抗 > 产品信息
phospho-Paxillin (Tyr88) Rabbit pAb (bs-5548R)  
订购热线:400-901-9800
订购邮箱:sales@bioss.com.cn
订购QQ:  400-901-9800
技术支持:techsupport@bioss.com.cn
50ul/1180.00元
100ul/1980.00元
200ul/2800.00元
大包装/询价

产品编号 bs-5548R
英文名称 phospho-Paxillin (Tyr88) Rabbit pAb
中文名称 磷酸化桩蛋白Paxillin抗体
别    名 Paxillin(phospho Y88); p-Paxillin(phospho Tyr88); PXN(phospho Y88); p-paxillin; PXN(phospho Y88); Paxillin(phospho Y88); Paxillin(phospho Tyr88); p-Paxillin(Tyr88); Paired box protein Pax 1; PAX 1; PAX1; Paxillin alpha; PXN; PXN protein; FLJ16691; FLJ23042; FLJ16691; PAXI_HUMAN; Paxillin; PXN protein.  
Specific References  (1)     |     bs-5548R has been referenced in 1 publications.
[IF=4.452] Jiang-Ni Wu. et al. SphK1-driven autophagy potentiates focal adhesion paxillin-mediated metastasis in colorectal cancer. 2021 Jul 16  WB ;  Human.  
产品类型 磷酸化抗体 
研究领域 肿瘤  免疫学  信号转导  细胞凋亡  转录调节因子  激酶和磷酸酶  
抗体来源 Rabbit
克隆类型 Polyclonal
克 隆 号
交叉反应 Human,Mouse,Rat
产品应用 WB=1:500-2000,IHC-P=1:100-500,IHC-F=1:100-500,IF=1:100-500
not yet tested in other applications.
optimal dilutions/concentrations should be determined by the end user.
理论分子量 68 kDa
检测分子量
细胞定位 细胞浆 细胞膜 
性    状 Liquid
浓    度 1mg/ml
免 疫 原 KLH conjugated Synthesised phosphopeptide derived from human Paxillin around the phosphorylation site of Tyr88: PV(p-Y)GS 
亚    型 IgG
纯化方法 affinity purified by Protein A
缓 冲 液 0.01M TBS (pH7.4) with 1% BSA, 0.02% Proclin300 and 50% Glycerol.
保存条件 Shipped at 4℃. Store at -20℃ for one year. Avoid repeated freeze/thaw cycles.
注意事项 This product as supplied is intended for research use only, not for use in human, therapeutic or diagnostic applications.
PubMed PubMed
产品介绍 Paxillin is a 64 kDa cytoskeletal adapter protein involved in organisation and function of focal adhesions, which are critical to cell adhesion and migration. This in turn plays a role in a wide variety of processes including embryogenesis, organogenesis, wound repair, inflammation and cancer. Paxillin contains LD motifs, LIM domains, SH3 and SH2 binding domains that serve as docking sites for cytoskeletal proteins, tyrosine kinases (e.g., FAK, Pyk 2, Src), serine/threonine kinases, GTPase activating proteins and other adaptor proteins (e.g., Actin, Vinculin, Crk).

Function:
Cytoskeletal protein involved in actin-membrane attachment at sites of cell adhesion to the extracellular matrix (focal adhesion).

Subunit:
Binds in vitro to vinculin as well as to the SH3 domain of SRC and, when tyrosine phosphorylated, to the SH2 domain of V-CRK. Isoform beta binds to PTK2/FAK1 but weakly to vinculin. Isoform gamma binds to vinculin but only weakly to PTK2/FAK1. Interacts with GIT1, NUDT16L1/SDOS, PARVA and TGFB1I1. Component of cytoplasmic complexes, which also contain GIT1, ARHGEF6 and PAK1. Interacts with PTK2/FAK1 and PTK2B/PYK2. Binds ASAP2. Interacts with unphosphorylated ITGA4. Interacts with RNF5 and PDCD10. Interacts with NEK3 and this interaction is prolactin-dependent. Interacts with PTK6.

Subcellular Location:
Cytoplasm, cytoskeleton. Cell junction, focal adhesion. Cytoplasm, cell cortex. Note=Colocalizes with integrins at the cell periphery.

Post-translational modifications:
Phosphorylated by MAPK1/ERK2 (By similarity). Phosphorylated on tyrosine residues during integrin-mediated cell adhesion, embryonic development, fibroblast transformation and following stimulation of cells by mitogens. Phosphorylation at Ser-244 by CDK5 reduces its interaction with PTK2/FAK1 in matrix-cell focal adhesions (MCFA) during oligodendrocytes (OLs) differentiation. Phosphorylation at Tyr-31 and Tyr-118 by PTK6 promote the activation of RAC1 via CRK/CrKII, thereby promoting migration and invasion.

Similarity:
Belongs to the paxillin family.
Contains 4 LIM zinc-binding domains.

SWISS:
P49023

Gene ID:
5829

Database links:

Entrez Gene: 5829 Human

Entrez Gene: 19303 Mouse

Entrez Gene: 360820 Rat

Omim: 602505 Human

SwissProt: P49023 Human

SwissProt: Q8VI36 Mouse

SwissProt: Q66H76 Rat

Unigene: 446336 Human

Unigene: 18714 Mouse

Unigene: 75 Rat



Paxillin是一种分子量为68KDa的局部粘附蛋白,参与肿瘤细胞的粘附与转移。主要用于各种恶性肿瘤的研究。 Paxillin 蛋白是胞外基质细胞粘附(粘着斑)位点上肌动蛋白-膜附着的细胞骨架蛋白。 Paxillin 在整合蛋白的信号传导中起着非常重要的作用,整合蛋白介导的细胞骨架的再组织需要,paxillin 酪氨酸残基的磷酸化。 Paxillin 被粘着斑激酶 (FAK)在其118位的酪氨酸残基处磷酸化。已经证明,paxillin 118位和31位两个酪氨酸的磷酸化对于MM1癌细胞的迁移是重要的。
产品图片
Sample: Embryo (Mouse) Lysate at 40 ug Primary: Anti-Phospho-Paxillin(Tyr88) (bs-5548R) at 1/500 dilution Secondary: IRDye800CW Goat Anti-Rabbit IgG at 1/20000 dilution Predicted band size: 68 kD Observed band size: 68 kD
Sample: 293T(Human) Cell Lysate at 30 ug Primary: Anti-Phospho-Paxillin(Tyr88) (bs-5548R) at 1/500 dilution Secondary: IRDye800CW Goat Anti-Rabbit IgG at 1/20000 dilution Predicted band size: 68 kD Observed band size: 68 kD
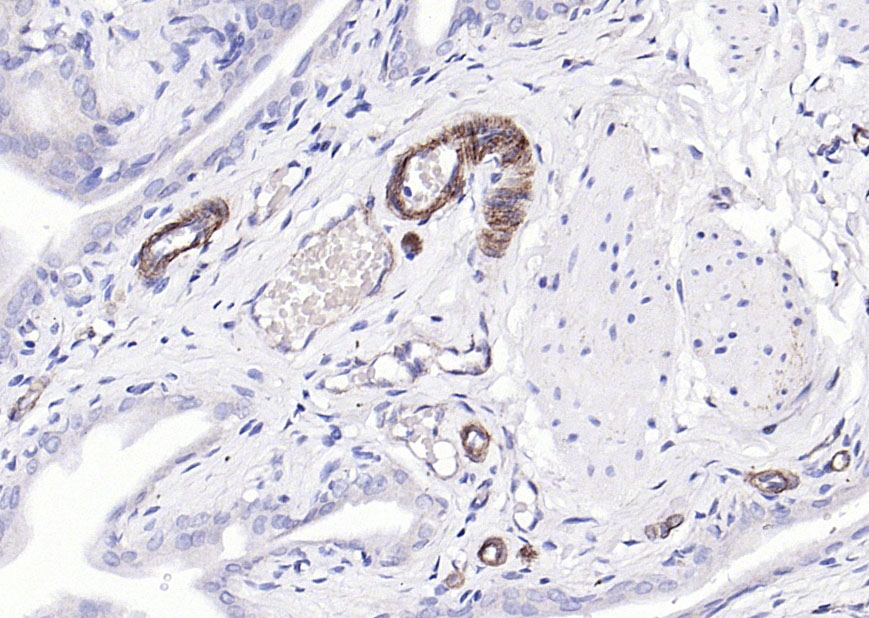
Paraformaldehyde-fixed, paraffin embedded (rat uterus); Antigen retrieval by boiling in sodium citrate buffer (pH6.0) for 15min; Block endogenous peroxidase by 3% hydrogen peroxide for 20 minutes; Blocking buffer (normal goat serum) at 37°C for 30min; Antibody incubation with (Phospho-Paxillin (Tyr88)) Polyclonal Antibody, Unconjugated (bs-5548R) at 1:200 overnight at 4°C, followed by operating according to SP Kit(Rabbit) (sp-0023) instructionsand DAB staining.
Paraformaldehyde-fixed, paraffin embedded (Rat colon); Antigen retrieval by boiling in sodium citrate buffer (pH6.0) for 15min; Block endogenous peroxidase by 3% hydrogen peroxide for 20 minutes; Blocking buffer (normal goat serum) at 37°C for 30min; Antibody incubation with (Phospho-Paxillin (Tyr88)) Polyclonal Antibody, Unconjugated (bs-5548R) at 1:200 overnight at 4°C, followed by operating according to SP Kit(Rabbit) (sp-0023) instructionsand DAB staining.
Paraformaldehyde-fixed, paraffin embedded (Rat bladder); Antigen retrieval by boiling in sodium citrate buffer (pH6.0) for 15min; Block endogenous peroxidase by 3% hydrogen peroxide for 20 minutes; Blocking buffer (normal goat serum) at 37°C for 30min; Antibody incubation with (Phospho-Paxillin (Tyr88)) Polyclonal Antibody, Unconjugated (bs-5548R) at 1:200 overnight at 4°C, followed by operating according to SP Kit(Rabbit) (sp-0023) instructionsand DAB staining.
Paraformaldehyde-fixed, paraffin embedded (mouse pancreas tissue); Antigen retrieval by boiling in sodium citrate buffer (pH6.0) for 15min; Block endogenous peroxidase by 3% hydrogen peroxide for 20 minutes; Blocking buffer (normal goat serum) at 37°C for 30min; Antibody incubation with (P-Paxillin(Tyr88)) Polyclonal Antibody, Unconjugated (bs-5548R) at 1:400 overnight at 4°C, followed by a conjugated secondary (sp-0023) for 20 minutes and DAB staining.
Paraformaldehyde-fixed, paraffin embedded (rat testis tissue); Antigen retrieval by boiling in sodium citrate buffer (pH6.0) for 15min; Block endogenous peroxidase by 3% hydrogen peroxide for 20 minutes; Blocking buffer (normal goat serum) at 37°C for 30min; Antibody incubation with (P-Paxillin(Tyr88)) Polyclonal Antibody, Unconjugated (bs-5548R) at 1:400 overnight at 4°C, followed by a conjugated secondary (sp-0023) for 20 minutes and DAB staining.
版权所有 2004-2026 www.bioss.com.cn 北京博奥森生物技术有限公司
通过国际质量管理体系ISO 9001:2015 GB/T 19001-2016    证书编号: 00124Q34771R2M/1100
通过国际医疗器械-质量管理体系ISO 13485:2016 GB/T 42061-2022     证书编号: CQC24QY20047R0M/1100
京ICP备05066980号-1         京公网安备110107000727号