扫码关注公众号           扫码咨询技术支持           扫码咨询技术服务
  
客服热线:400-901-9800  客服QQ:4009019800  技术答疑  技术支持  质量反馈  人才招聘  关于我们  联系我们
产品中心-北京博奥森生物技术有限公司
首页 > 产品中心 > 一抗 > 产品信息
PAK6 Rabbit pAb (bs-4153R)  
订购热线:400-901-9800
订购邮箱:sales@bioss.com.cn
订购QQ:  400-901-9800
技术支持:techsupport@bioss.com.cn
50ul/1180.00元
100ul/1980.00元
200ul/2800.00元
大包装/询价

产品编号 bs-4153R
英文名称 PAK6 Rabbit pAb
中文名称 P21蛋白激活的蛋白激酶6抗体
别    名 PAK5; PAK6_HUMAN; PAK6; PAK-5; p21-activated kinase 6 (PAK-6); 2.7.11.1;   
研究领域 肿瘤  免疫学  信号转导  激酶和磷酸酶  
抗体来源 Rabbit
克隆类型 Polyclonal
克 隆 号
交叉反应 Mouse (predicted: Human,Rat,Rabbit,Pig,Cow,Chicken,Dog,Horse)
产品应用 IHC-P=1:100-500,IHC-F=1:100-500,IF=1:100-500
not yet tested in other applications.
optimal dilutions/concentrations should be determined by the end user.
理论分子量 75 kDa
细胞定位 细胞核 细胞浆 
性    状 Liquid
浓    度 1mg/ml
免 疫 原 KLH conjugated synthetic peptide derived from human PAK6: 511-610/681 
亚    型 IgG
纯化方法 affinity purified by Protein A
缓 冲 液 0.01M TBS (pH7.4) with 1% BSA, 0.02% Proclin300 and 50% Glycerol.
保存条件 Shipped at 4℃. Store at -20℃ for one year. Avoid repeated freeze/thaw cycles.
注意事项 This product as supplied is intended for research use only, not for use in human, therapeutic or diagnostic applications.
PubMed PubMed
产品介绍 This gene encodes a protein that shares a high degree of sequence similarity with p21-activated kinase (PAK) family members. The proteins of this family are Rac/Cdc42-associated Ste20-like Ser/Thr protein kinases, characterized by a highly conserved amino-terminal Cdc42/Rac interactive binding (CRIB) domain and a carboxyl-terminal kinase domain. PAK kinases are implicated in the regulation of a number of cellular processes, including cytoskeleton rearrangement, apoptosis and the MAP kinase signaling pathway. The protein encoded by this gene was found to interact with androgen receptor (AR), which is a steroid hormone-dependent transcription factor that is important for male sexual differentiation and development. The p21-activated protein kinase 6 gene was found to be highly expressed in testis and prostate tissues and the encoded protein was shown to cotranslocate into the nucleus with AR in response to androgen.

Function:
Serine/threonine protein kinase that plays a role in the regulation of gene transcription. The kinase activity is induced by various effectors including AR or MAP2K6/MAPKK6. Phosphorylates the DNA-binding domain of androgen receptor/AR and thereby inhibits AR-mediated transcription. Inhibits also ESR1-mediated transcription. May play a role in cytoskeleton regulation by interacting with IQGAP1. May protect cells from apoptosis through phosphorylation of BAD.

Subunit:
Interacts tightly with GTP-bound but not GDP-bound CDC42/p21 and RAC1. Interacts with the androgen receptor AR and the estrogen receptor ESR1. Interacts with IQGAP1 and PPM1B.

Subcellular Location:
Cytoplasm. Nucleus. Note=Cotranslocates into nucleus with AR in response to androgen induction.

Tissue Specificity:
Selectively expressed in brain and testis, with lower levels in multiple tissues including prostate and breast.

Post-translational modifications:
Autophosphorylated. Phosphorylated by MAP2K6//MAPKK6, leading to PAK6 activation.

Similarity:
Belongs to the protein kinase superfamily. STE Ser/Thr protein kinase family. STE20 subfamily.
Contains 1 CRIB domain.
Contains 1 protein kinase domain.

SWISS:
Q9NQU5

Gene ID:
56924

Database links:

Entrez Gene: 56924 Human

Omim: 608110 Human

SwissProt: Q9NQU5 Human

Unigene: 513645 Human



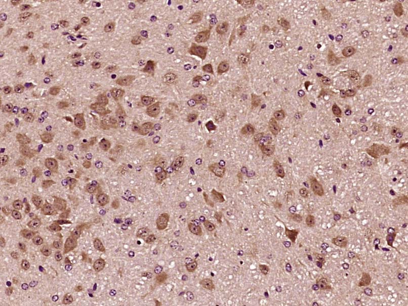
产品图片
Paraformaldehyde-fixed, paraffin embedded (Mouse brain); Antigen retrieval by boiling in sodium citrate buffer (pH6.0) for 15min; Block endogenous peroxidase by 3% hydrogen peroxide for 20 minutes; Blocking buffer (normal goat serum) at 37°C for 30min; Antibody incubation with (PAK6) Polyclonal Antibody, Unconjugated (bs-4153R) at 1:400 overnight at 4°C, followed by operating according to SP Kit(Rabbit) (sp-0023) instructionsand DAB staining.
版权所有 2004-2026 www.bioss.com.cn 北京博奥森生物技术有限公司
通过国际质量管理体系ISO 9001:2015 GB/T 19001-2016    证书编号: 00124Q34771R2M/1100
通过国际医疗器械-质量管理体系ISO 13485:2016 GB/T 42061-2022     证书编号: CQC24QY20047R0M/1100
京ICP备05066980号-1         京公网安备110107000727号