扫码关注公众号           扫码咨询技术支持           扫码咨询技术服务
  
客服热线:400-901-9800  客服QQ:4009019800  技术答疑  技术支持  质量反馈  关于我们  联系我们
产品中心-北京博奥森生物技术有限公司
首页 > 产品中心 > 一抗 > 产品信息
PI 3 Kinase Class 3 Rabbit pAb (bs-4159R)  
订购热线:400-901-9800
订购邮箱:sales@bioss.com.cn
订购QQ:  400-901-9800
技术支持:techsupport@bioss.com.cn
50ul/1180.00元
100ul/1980.00元
200ul/2800.00元
大包装/询价

产品编号 bs-4159R
英文名称 PI 3 Kinase Class 3 Rabbit pAb
中文名称 磷脂酰肌醇激酶3催化亚单位3抗体
别    名 PI 3 Kinase Class 3; Phosphatidylinositol 3 kinase catalytic subunit type 3; Phosphatidylinositol 3 kinase class 3; Phosphatidylinositol 3 kinase p100 subunit; phosphoinositide 3 kinase class 3; PI3 kinase type 3; PI3K type 3; PIK3C3; PtdIns 3 kinase type 3; Vps 34; Vps34; hVps34; MGC61518; PIK3C3; PI3 Kinase p100; PK3C3_HUMAN.  
研究领域 免疫学  信号转导  激酶和磷酸酶  
抗体来源 Rabbit
克隆类型 Polyclonal
克 隆 号
交叉反应 Human,Mouse,Rat (predicted: Rabbit,Pig,Cow,Chicken,Dog,Horse)
产品应用 WB=1:500-2000,IHC-P=1:100-500,IHC-F=1:100-500,IF=1:100-500
not yet tested in other applications.
optimal dilutions/concentrations should be determined by the end user.
理论分子量 98 kDa
检测分子量
细胞定位 细胞浆 
性    状 Liquid
浓    度 1mg/ml
免 疫 原 KLH conjugated synthetic peptide derived from human PIK3C3/PI3 kinase type 3: 301-400/887 
亚    型 IgG
纯化方法 affinity purified by Protein A
缓 冲 液 0.01M TBS (pH7.4) with 1% BSA, 0.02% Proclin300 and 50% Glycerol.
保存条件 Shipped at 4℃. Store at -20℃ for one year. Avoid repeated freeze/thaw cycles.
注意事项 This product as supplied is intended for research use only, not for use in human, therapeutic or diagnostic applications.
PubMed PubMed
产品介绍 PI 3 Kinase Class 3 is a member of the PI3/PI4-kinase family. It is the catalytic subunit of the PI3K complex. It is involved in the transport of lysosomal enzyme precursors to lysosomes. It is ubiquitously expressed, with a highest expression in skeletal muscle.

Function:
Catalytic subunit of the PI3K complex that mediates formation of phosphatidylinositol 3-phosphate which plays a key role in initiation and maturation of autophagosomes. Involved in the transport of lysosomal enzyme precursors to lysosomes. Required for the abcission step in cytokinesis. Required for transport from early to late endosomes.

Subunit:
Heterodimer. This subunit, part of a complex composed of regulatory and catalytic subunits, associates with regulatory subunit PIK3R4. Forms a complex with BECN1, PIK3R4 and either UVRAG and KIAA0226/Rubicon, or with ATG14. In this complex, presence of UVRAG and ATG14 are mutually exclusive. Part of a complex composed of PIK3R4 and PIK3CB (By similarity). Interacts with RAB7A in the presence of PIK3R4.

Subcellular Location:
Midbody. Late endosome.

Tissue Specificity:
Ubiquitously expressed, with a highest expression in skeletal muscle.

Similarity:
Belongs to the PI3/PI4-kinase family.
Contains 1 C2 PI3K-type domain.
Contains 1 PI3K/PI4K domain.
Contains 1 PIK helical domain.

SWISS:
Q8NEB9

Gene ID:
5289

Database links:

Entrez Gene: 5289 Human

Entrez Gene: 225326 Mouse

Entrez Gene: 65052 Rat

Omim: 602609 Human

SwissProt: Q8NEB9 Human

SwissProt: Q6PF93 Mouse

SwissProt: O88763 Rat

Unigene: 464971 Human

Unigene: 194127 Mouse

Unigene: 30010 Rat



产品图片
Sample: brain(mouse) Lysate at 40 ug Primary: Anti-PI 3 Kinase Class 3 (bs-4159R) at 1/300 dilution Secondary: IRDye800CW Goat Anti-Rabbit IgG at 1/20000 dilution Predicted band size: 98kD Observed band size: 98 kD
Tissue/cell: human lung carcinoma; 4% Paraformaldehyde-fixed and paraffin-embedded; Antigen retrieval: citrate buffer ( 0.01M, pH 6.0 ), Boiling bathing for 15min; Block endogenous peroxidase by 3% Hydrogen peroxide for 30min; Blocking buffer (normal goat serum,C-0005) at 37℃ for 20 min; Incubation: Anti-PI 3 Kinase Class 3 Polyclonal Antibody, Unconjugated(bs-4159R) 1:200, overnight at 4°C, followed by conjugation to the secondary antibody(SP-0023) and DAB(C-0010) staining
Paraformaldehyde-fixed, paraffin embedded (Rat skeletal muscle); Antigen retrieval by boiling in sodium citrate buffer (pH6.0) for 15min; Block endogenous peroxidase by 3% hydrogen peroxide for 20 minutes; Blocking buffer (normal goat serum) at 37°C for 30min; Antibody incubation with (PI 3 Kinase Class 3) Polyclonal Antibody, Unconjugated (bs-4159R) at 1:200 overnight at 4°C, followed by operating according to SP Kit(Rabbit) (sp-0023) instructionsand DAB staining.
Paraformaldehyde-fixed, paraffin embedded (Rat kidney ); Antigen retrieval by boiling in sodium citrate buffer (pH6.0) for 15min; Block endogenous peroxidase by 3% hydrogen peroxide for 20 minutes; Blocking buffer (normal goat serum) at 37°C for 30min; Antibody incubation with (PI 3 Kinase Class 3) Polyclonal Antibody, Unconjugated (bs-4159R) at 1:200 overnight at 4°C, followed by operating according to SP Kit(Rabbit) (sp-0023) instructionsand DAB staining.
Paraformaldehyde-fixed, paraffin embedded (rat brain); Antigen retrieval by boiling in sodium citrate buffer (pH6.0) for 15min; Block endogenous peroxidase by 3% hydrogen peroxide for 20 minutes; Blocking buffer (normal goat serum) at 37°C for 30min; Antibody incubation with (PI 3 Kinase Class 3) Polyclonal Antibody, Unconjugated (bs-4159R) at 1:200 overnight at 4°C, followed by operating according to SP Kit(Rabbit) (sp-0023) instructionsand DAB staining.
Paraformaldehyde-fixed, paraffin embedded (mouse heart ); Antigen retrieval by boiling in sodium citrate buffer (pH6.0) for 15min; Block endogenous peroxidase by 3% hydrogen peroxide for 20 minutes; Blocking buffer (normal goat serum) at 37°C for 30min; Antibody incubation with (PI 3 Kinase Class 3) Polyclonal Antibody, Unconjugated (bs-4159R) at 1:200 overnight at 4°C, followed by operating according to SP Kit(Rabbit) (sp-0023) instructionsand DAB staining.
Paraformaldehyde-fixed, paraffin embedded (mouse brain); Antigen retrieval by boiling in sodium citrate buffer (pH6.0) for 15min; Block endogenous peroxidase by 3% hydrogen peroxide for 20 minutes; Blocking buffer (normal goat serum) at 37°C for 30min; Antibody incubation with (PI 3 Kinase Class 3) Polyclonal Antibody, Unconjugated (bs-4159R) at 1:200 overnight at 4°C, followed by operating according to SP Kit(Rabbit) (sp-0023) instructionsand DAB staining.
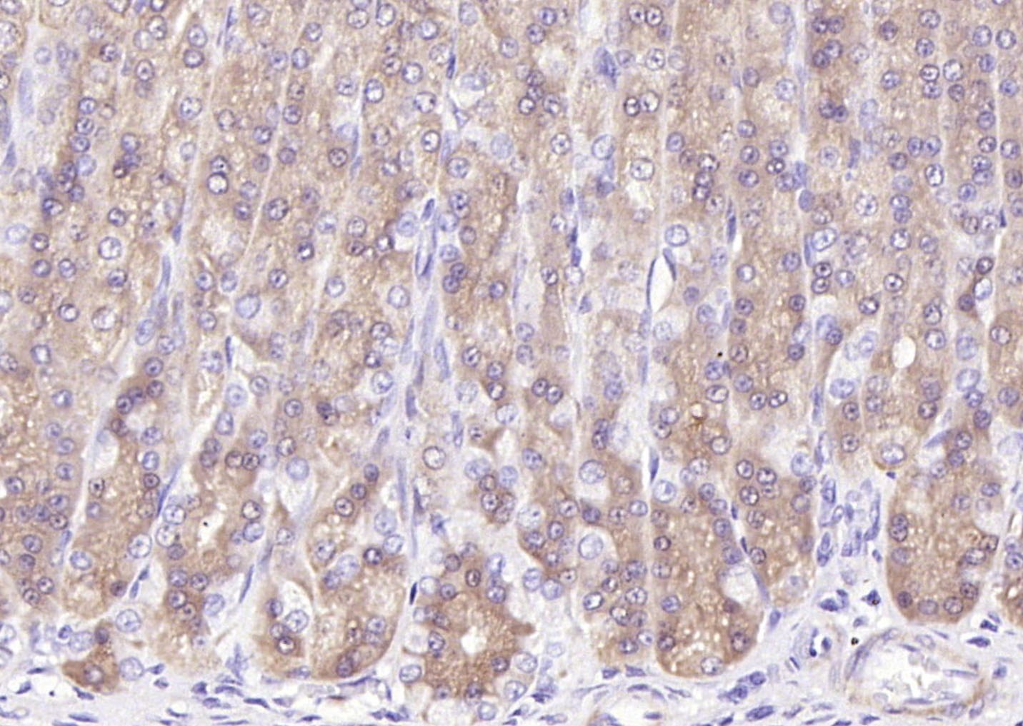
Paraformaldehyde-fixed, paraffin embedded (mouse stomach); Antigen retrieval by boiling in sodium citrate buffer (pH6.0) for 15min; Block endogenous peroxidase by 3% hydrogen peroxide for 20 minutes; Blocking buffer (normal goat serum) at 37°C for 30min; Antibody incubation with (PI 3 Kinase Class 3) Polyclonal Antibody, Unconjugated (bs-4159R) at 1:200 overnight at 4°C, followed by operating according to SP Kit(Rabbit) (sp-0023) instructionsand DAB staining.
Paraformaldehyde-fixed, paraffin embedded (human kidney ); Antigen retrieval by boiling in sodium citrate buffer (pH6.0) for 15min; Block endogenous peroxidase by 3% hydrogen peroxide for 20 minutes; Blocking buffer (normal goat serum) at 37°C for 30min; Antibody incubation with (PI 3 Kinase Class 3) Polyclonal Antibody, Unconjugated (bs-4159R) at 1:200 overnight at 4°C, followed by operating according to SP Kit(Rabbit) (sp-0023) instructionsand DAB staining.
Paraformaldehyde-fixed, paraffin embedded (Rat stomach); Antigen retrieval by boiling in sodium citrate buffer (pH6.0) for 15min; Block endogenous peroxidase by 3% hydrogen peroxide for 20 minutes; Blocking buffer (normal goat serum) at 37°C for 30min; Antibody incubation with (PI 3 Kinase Class 3) Polyclonal Antibody, Unconjugated (bs-4159R) at 1:200 overnight at 4°C, followed by operating according to SP Kit(Rabbit) (sp-0023) instructionsand DAB staining.
版权所有 2004-2026 www.bioss.com.cn 北京博奥森生物技术有限公司
通过国际质量管理体系ISO 9001:2015 GB/T 19001-2016    证书编号: 00124Q34771R2M/1100
通过国际医疗器械-质量管理体系ISO 13485:2016 GB/T 42061-2022     证书编号: CQC24QY20047R0M/1100
京ICP备05066980号-1         京公网安备110107000727号