扫码关注公众号           扫码咨询技术支持           扫码咨询技术服务
  
客服热线:400-901-9800  客服QQ:4009019800  技术答疑  技术支持  质量反馈  人才招聘  关于我们  联系我们
产品中心-北京博奥森生物技术有限公司
首页 > 产品中心 > 一抗 > 产品信息
YES1 Rabbit pAb (bs-4166R)  
订购热线:400-901-9800
订购邮箱:sales@bioss.com.cn
订购QQ:  400-901-9800
技术支持:techsupport@bioss.com.cn
50ul/1180.00元
100ul/1980.00元
200ul/2800.00元
大包装/询价

产品编号 bs-4166R
英文名称 YES1 Rabbit pAb
中文名称 原癌基因酪氨酸蛋白激酶Yes1抗体
别    名 HsT441; P61-YES; Yes; c-yes; p60c-yes; YES_HUMAN; YES1; Proto-oncogene c-Yes; 2.7.10.2; YES_MOUSE;   
研究领域 肿瘤  免疫学  信号转导  激酶和磷酸酶  
抗体来源 Rabbit
克隆类型 Polyclonal
克 隆 号
交叉反应 Human,Mouse (predicted: Rat,Rabbit,Pig,Cow,Chicken,Dog,GuineaPig)
产品应用 IHC-P=1:100-500,IHC-F=1:100-500,IF=1:100-500
not yet tested in other applications.
optimal dilutions/concentrations should be determined by the end user.
理论分子量 60 kDa
细胞定位 细胞浆 细胞膜 
性    状 Liquid
浓    度 1mg/ml
免 疫 原 KLH conjugated synthetic peptide derived from human YES1: 441-541/541 
亚    型 IgG
纯化方法 affinity purified by Protein A
缓 冲 液 0.01M TBS (pH7.4) with 1% BSA, 0.02% Proclin300 and 50% Glycerol.
保存条件 Shipped at 4℃. Store at -20℃ for one year. Avoid repeated freeze/thaw cycles.
注意事项 This product as supplied is intended for research use only, not for use in human, therapeutic or diagnostic applications.
PubMed PubMed
产品介绍 This gene is the cellular homolog of the Yamaguchi sarcoma virus oncogene. The encoded protein has tyrosine kinase activity and belongs to the src family of proteins. This gene lies in close proximity to thymidylate synthase gene on chromosome 18, and a corresponding pseudogene has been found on chromosome 22. [provided by RefSeq].

Function:
Non-receptor protein tyrosine kinase that is involved in the regulation of cell growth and survival, apoptosis, cell-cell adhesion, cytoskeleton remodeling, and differentiation. Stimulation by receptor tyrosine kinases (RTKs) including EGRF, PDGFR, CSF1R and FGFR leads to recruitment of YES1 to the phosphorylated receptor, and activation and phosphorylation of downstream substrates. Upon EGFR activation, promotes the phosphorylation of PARD3 to favor epithelial tight junction assembly. Participates in the phosphorylation of specific junctional components such as CTNND1 by stimulating the FYN and FER tyrosine kinases at cell-cell contacts. Upon T-cell stimulation by CXCL12, phosphorylates collapsin response mediator protein 2/DPYSL2 and induces T-cell migration. Participates in CD95L/FASLG signaling pathway and mediates AKT-mediated cell migration. Plays a role in cell cycle progression by phosphorylating the cyclin-dependent kinase 4/CDK4 thus regulating the G1 phase. Also involved in G2/M progression and cytokinesis.

Subunit:
Interacts with YAP1 and CSF1R. Interacts with CTNND1; this interaction allows YES1-mediated activation of FYN and FER and subsequent phosphorylation of CTNND1. Interacts with FASLG.

Subcellular Location:
Cell membrane. Cytoplasm, cytoskeleton, centrosome. Cytoplasm, cytosol. Note=Newly synthesized protein initially accumulates in the Golgi region and traffics to the plasma membrane through the exocytic pathway.

Tissue Specificity:
Expressed in the epithelial cells of renal proximal tubules and stomach as well as hematopoietic cells in the bone marrow and spleen in the fetal tissues. In adult, expressed in epithelial cells of the renal proximal tubules and present in keratinocytes in the basal epidermal layer of epidermis.

Post-translational modifications:
Phosphorylation by CSK on the C-terminal tail maintains the enzyme in an inactive state. Autophosphorylation at Tyr-426 maintains enzyme activity by blocking CSK-mediated inhibition.
Palmitoylation at Cys-3 promotes membrane localization .

Similarity:
Belongs to the protein kinase superfamily. Tyr protein kinase family. SRC subfamily.
Contains 1 protein kinase domain.
Contains 1 SH2 domain.
Contains 1 SH3 domain.

SWISS:
P07947

Gene ID:
7525

Database links:

Entrez Gene: 7525 Human

Entrez Gene: 22612 Mouse

Entrez Gene: 24884 Rat

Omim: 164880 Human

SwissProt: P07947 Human

SwissProt: Q04736 Mouse

Unigene: 194148 Human

Unigene: 4558 Mouse



产品图片
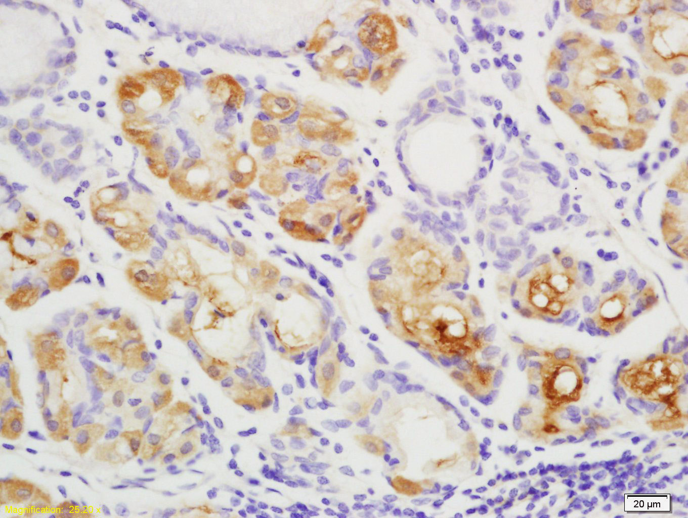
Tissue/cell: mouse stomach tissue; 4% Paraformaldehyde-fixed and paraffin-embedded; Antigen retrieval: citrate buffer ( 0.01M, pH 6.0 ), Boiling bathing for 15min; Block endogenous peroxidase by 3% Hydrogen peroxide for 30min; Blocking buffer (normal goat serum,C-0005) at 37℃ for 20 min; Incubation: Anti-YES1 Polyclonal Antibody, Unconjugated(bs-4166R) 1:200, overnight at 4°C, followed by conjugation to the secondary antibody(SP-0023) and DAB(C-0010) staining
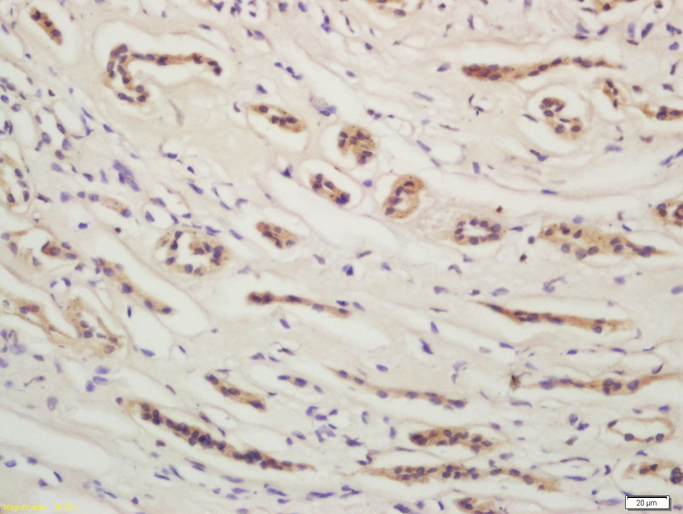
Tissue/cell: human kidney tissue; 4% Paraformaldehyde-fixed and paraffin-embedded; Antigen retrieval: citrate buffer ( 0.01M, pH 6.0 ), Boiling bathing for 15min; Block endogenous peroxidase by 3% Hydrogen peroxide for 30min; Blocking buffer (normal goat serum,C-0005) at 37℃ for 20 min; Incubation: Anti-YES1 Polyclonal Antibody, Unconjugated(bs-4166R) 1:200, overnight at 4°C, followed by conjugation to the secondary antibody(SP-0023) and DAB(C-0010) staining
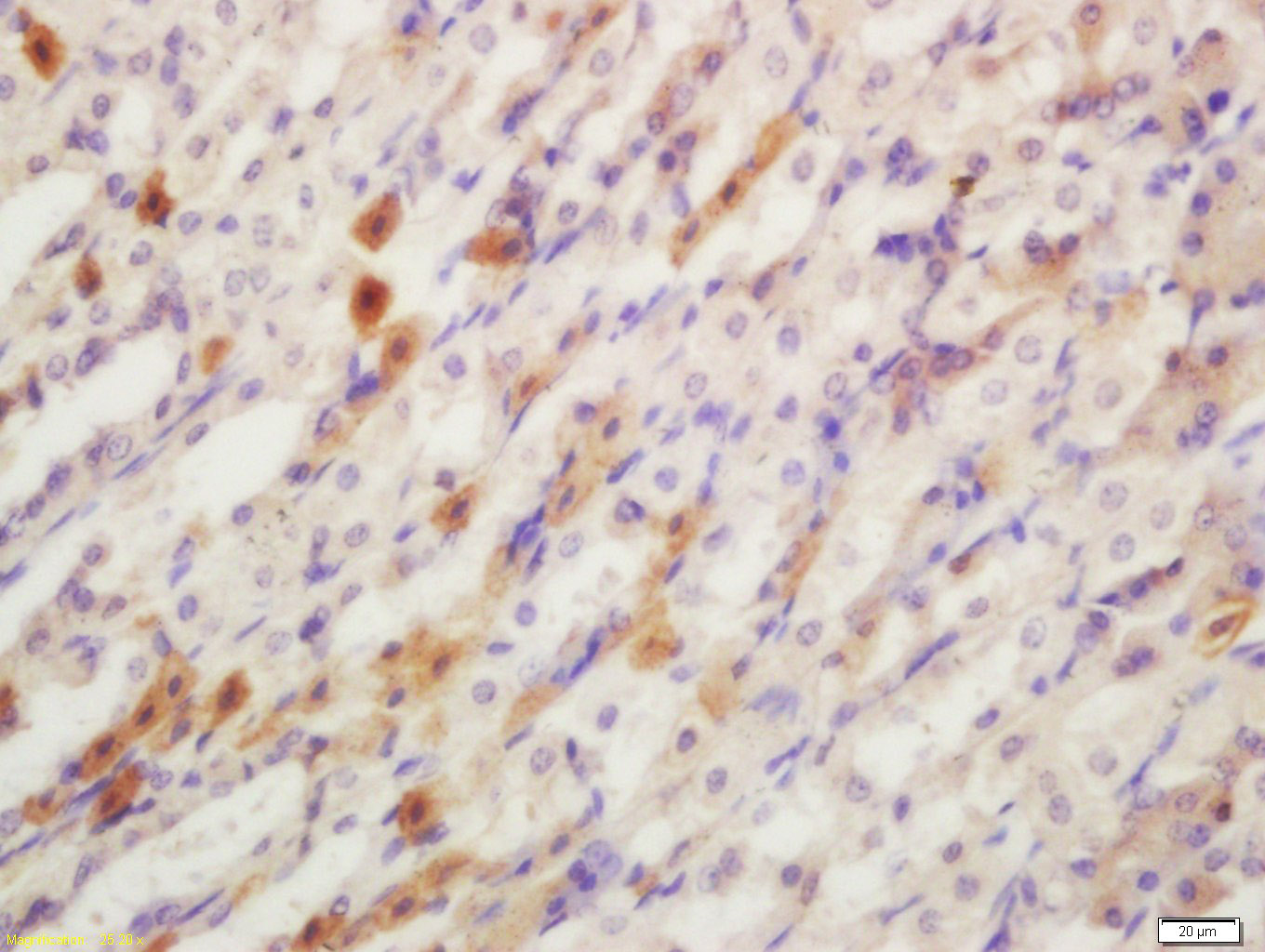
Tissue/cell: human gastric carcinoma; 4% Paraformaldehyde-fixed and paraffin-embedded; Antigen retrieval: citrate buffer ( 0.01M, pH 6.0 ), Boiling bathing for 15min; Block endogenous peroxidase by 3% Hydrogen peroxide for 30min; Blocking buffer (normal goat serum,C-0005) at 37℃ for 20 min; Incubation: Anti-YES1 Polyclonal Antibody, Unconjugated(bs-4166R) 1:200, overnight at 4°C, followed by conjugation to the secondary antibody(SP-0023) and DAB(C-0010) staining
版权所有 2004-2026 www.bioss.com.cn 北京博奥森生物技术有限公司
通过国际质量管理体系ISO 9001:2015 GB/T 19001-2016    证书编号: 00124Q34771R2M/1100
通过国际医疗器械-质量管理体系ISO 13485:2016 GB/T 42061-2022     证书编号: CQC24QY20047R0M/1100
京ICP备05066980号-1         京公网安备110107000727号