扫码关注公众号           扫码咨询技术支持           扫码咨询技术服务
  
客服热线:400-901-9800  客服QQ:4009019800  技术答疑  技术支持  质量反馈  关于我们  联系我们
产品中心-北京博奥森生物技术有限公司
首页 > 产品中心 > 一抗 > 产品信息
phospho-TNIK (Ser769) Rabbit pAb (bs-5599R)  
订购热线:400-901-9800
订购邮箱:sales@bioss.com.cn
订购QQ:  400-901-9800
技术支持:techsupport@bioss.com.cn
50ul/1180.00元
100ul/1980.00元
200ul/2800.00元
大包装/询价

产品编号 bs-5599R
英文名称 phospho-TNIK (Ser769) Rabbit pAb
中文名称 磷酸化TRAF2和NCK激酶相互作用蛋白抗体
别    名 TNIK(phospho S769); p-TNIK(phospho S769); TNIK(phospho-Ser769); TNIK(phospho-S769); p-TNIK(Ser769); p-TNIK(S769); Traf2 and NCK interacting kinase; 1500031A17RIK; 4831440I19RIK; AI451411; C530008O15Rik; C630040K21RIK; KIAA0551; MGC189819; MGC189859; RGD1561817; TNIK; TNIK_HUMAN; TRAF2 and NCK-interacting protein kinase.  
产品类型 磷酸化抗体 
研究领域 免疫学  信号转导  
抗体来源 Rabbit
克隆类型 Polyclonal
克 隆 号
交叉反应 Human,Mouse,Rat (predicted: Pig,Cow,Dog,Horse)
产品应用 IHC-P=1:100-500,IHC-F=1:100-500,IF=1:100-500
not yet tested in other applications.
optimal dilutions/concentrations should be determined by the end user.
理论分子量 150 kDa
检测分子量
细胞定位 细胞核 细胞浆 
性    状 Liquid
浓    度 1mg/ml
免 疫 原 KLH conjugated Synthesised phosphopeptide derived from human TNIK around the phosphorylation site of Ser769: EG(p-S)PV 
亚    型 IgG
纯化方法 affinity purified by Protein A
缓 冲 液 0.01M TBS (pH7.4) with 1% BSA, 0.02% Proclin300 and 50% Glycerol.
保存条件 Shipped at 4℃. Store at -20℃ for one year. Avoid repeated freeze/thaw cycles.
注意事项 This product as supplied is intended for research use only, not for use in human, therapeutic or diagnostic applications.
PubMed PubMed
产品介绍 TNIK is a MSN protein kinase that interacts with both TNF receptor-associated factor 2 (TRAF2) and the adapter protein NCK. The protein has been shown to activate the c-Jun N-terminal kinase pathway when over expressed in Phoenix-A cells. TNIK has been shown to phosphorylate gelsolin, the principal intracellular and extracellular actin-severing protein, in vitro. This and evidence from mutational studies suggest that TNIK functions in the regulation of the cytoskeleton. Northern analysis indicates TNIK expression in human heart, skeletal muscle, and brain, with lower levels of expression in kidney, liver, lung, and pancreas. ESTs have been isolated from human tissue libraries, including normal amnion, gallbladder and skin.

Function:
Serine/threonine kinase that acts as an essential activator of the Wnt signaling pathway. Recruited to promoters of Wnt target genes and required to activate their expression. May act by phosphorylating TCF4/TCF7L2. Appears to act upstream of the JUN N-terminal pathway. May play a role in the response to environmental stress. Part of a signaling complex composed of NEDD4, RAP2A and TNIK which regulates neuronal dendrite extension and arborization during development. More generally, it may play a role in cytoskeletal rearrangements and regulate cell spreading. Phosphorylates SMAD1 on Thr-322.

Subunit:
Interacts (via the CNH domain) with RAP2A (GTP-bound form preferentially); the interaction is direct and required for the activation of TNIK by RAP2A. Interacts with NEDD4; recruits RAP2A to NEDD4. Interacts with TRAF2 and NCK. Interacts with TCF7L2/TCF4 and CTNNB1; the interaction is direct. Interacts with TANC1.

Subcellular Location:
Nucleus. Cytoplasm. Recycling endosome. Cytoplasm, cytoskeleton. Note=Associated with recycling endosomes and the cytoskeletal fraction upon RAP2A overexpression.

Tissue Specificity:
Expressed ubiquitously. Highest levels observed in heart, brain and skeletal muscle. Expressed in normal colonic epithelia and colorectal cancer tissues.

Post-translational modifications:
Autophosphorylated. Autophosphorylation is activated by RAP2A and induces association to the cytoskeletal fraction.

Similarity:
Belongs to the protein kinase superfamily. STE Ser/Thr protein kinase family. STE20 subfamily.
Contains 1 CNH domain.
Contains 1 protein kinase domain.

SWISS:
Q9UKE5

Gene ID:
23043

Database links:

Entrez Gene: 23043 Human

Entrez Gene: 665113 Mouse

Omim: 610005 Human

SwissProt: Q9UKE5 Human

SwissProt: P83510 Mouse

Unigene: 34024 Human

Unigene: 126193 Mouse

Unigene: 483052 Mouse



产品图片
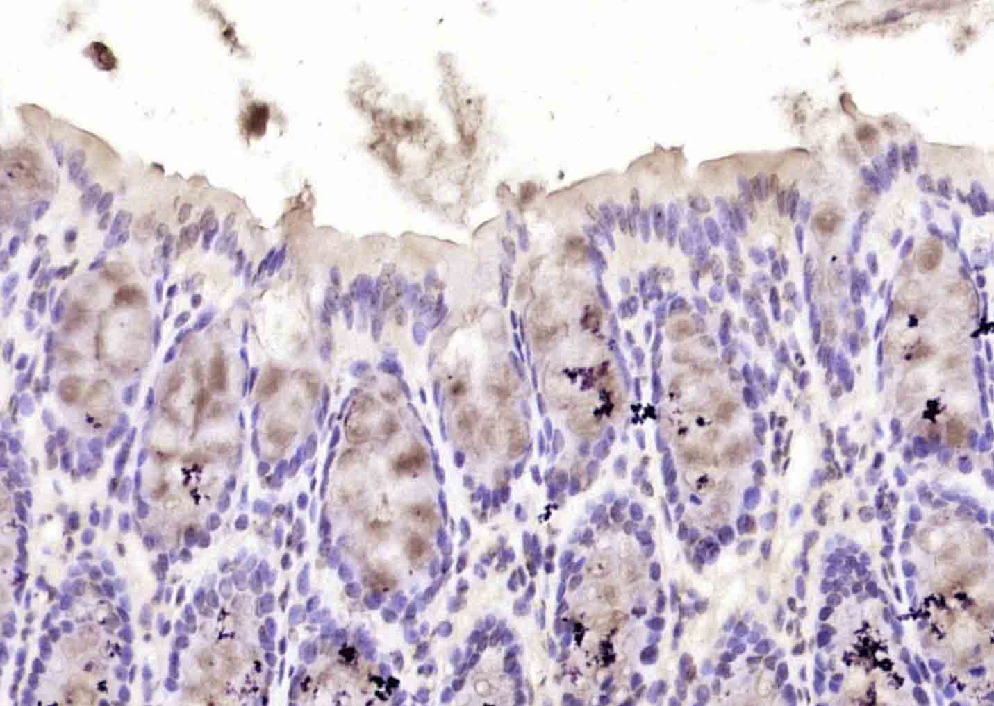
Paraformaldehyde-fixed, paraffin embedded (mouse colon); Antigen retrieval by boiling in sodium citrate buffer (pH6.0) for 15min; Block endogenous peroxidase by 3% hydrogen peroxide for 20 minutes; Blocking buffer (normal goat serum) at 37°C for 30min; Antibody incubation with (phospho-TNIK (Ser769)) Polyclonal Antibody, Unconjugated (bs-5599R) at 1:200 overnight at 4°C, followed by operating according to SP Kit(Rabbit) (sp-0023) instructionsand DAB staining.
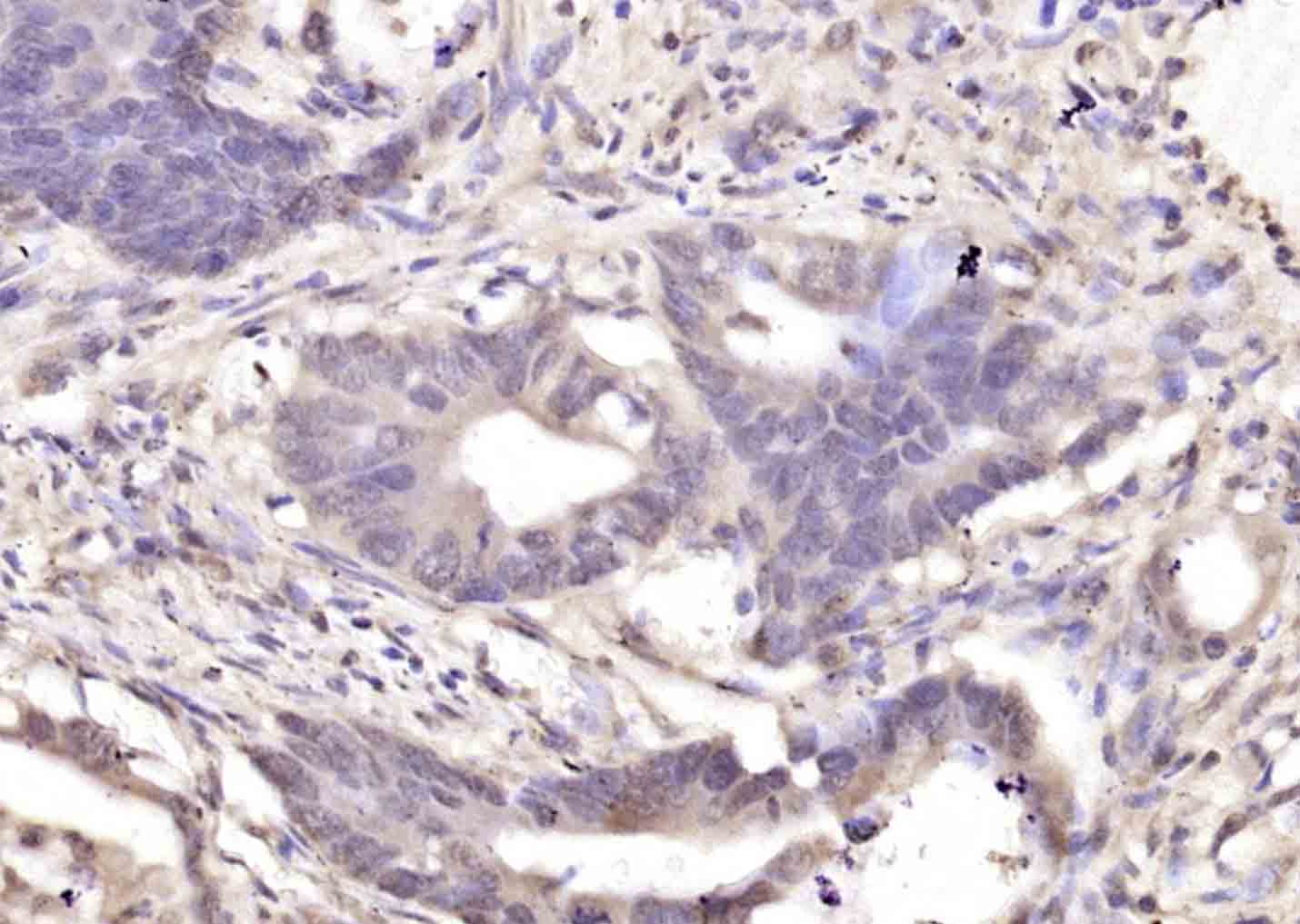
Paraformaldehyde-fixed, paraffin embedded (human colon carcinoma); Antigen retrieval by boiling in sodium citrate buffer (pH6.0) for 15min; Block endogenous peroxidase by 3% hydrogen peroxide for 20 minutes; Blocking buffer (normal goat serum) at 37°C for 30min; Antibody incubation with (phospho-TNIK (Ser769)) Polyclonal Antibody, Unconjugated (bs-5599R) at 1:200 overnight at 4°C, followed by operating according to SP Kit(Rabbit) (sp-0023) instructionsand DAB staining.
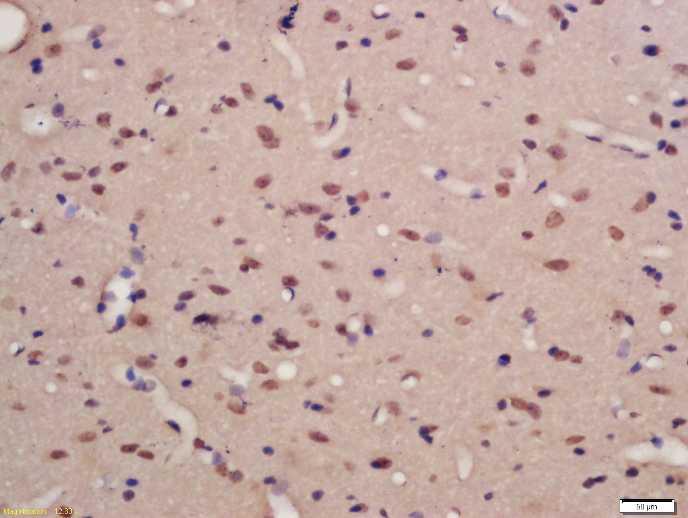
Tissue/cell: rat brain tissue; 4% Paraformaldehyde-fixed and paraffin-embedded; Antigen retrieval: citrate buffer ( 0.01M, pH 6.0 ), Boiling bathing for 15min; Block endogenous peroxidase by 3% Hydrogen peroxide for 30min; Blocking buffer (normal goat serum,C-0005) at 37℃ for 20 min; Incubation: Anti-phospho-TNIK (Ser769) Polyclonal Antibody, Unconjugated(bs-5599R) 1:200, overnight at 4°C, followed by conjugation to the secondary antibody(SP-0023) and DAB(C-0010) staining
版权所有 2004-2026 www.bioss.com.cn 北京博奥森生物技术有限公司
通过国际质量管理体系ISO 9001:2015 GB/T 19001-2016    证书编号: 00124Q34771R2M/1100
通过国际医疗器械-质量管理体系ISO 13485:2016 GB/T 42061-2022     证书编号: CQC24QY20047R0M/1100
京ICP备05066980号-1         京公网安备110107000727号