扫码关注公众号           扫码咨询技术支持           扫码咨询技术服务
  
客服热线:400-901-9800  客服QQ:4009019800  技术答疑  技术支持  质量反馈  关于我们  联系我们
产品中心-北京博奥森生物技术有限公司
首页 > 产品中心 > 一抗 > 产品信息
ZEB1/NIL2A Rabbit pAb (bs-4187R)  
订购热线:400-901-9800
订购邮箱:sales@bioss.com.cn
订购QQ:  400-901-9800
技术支持:techsupport@bioss.com.cn
50ul/1180.00元
100ul/1980.00元
200ul/2800.00元
大包装/询价

产品编号 bs-4187R
英文名称 ZEB1/NIL2A Rabbit pAb
中文名称 负调控因子白细胞介素2抗体
别    名 AREB 6; AREB6; BZP; delta crystallin enhancer binding factor 1; DELTA EF1; FECD6; MGC133261; Negative regulator of IL 2; Negative regulator of IL2; NIL 2 A; NIL 2 A zinc finger protein; NIL 2A; NIL-2-A zinc finger protein; NIL2A; Posterior polymorphous corneal dystrophy 3; PPCD3; Represses interleukin 2 expression; TCF 8; TCF-8; TCF8; Transcription factor 8(represses interleukin 2 expression); Transcription factor 8; ZEB 1; ZEB; ZEB1_HUMAN; ZFHEP; ZFHX 1A; ZFHX1A; Zinc finger E box binding homeobox 1; Zinc finger E-box-binding homeobox 1; Zinc finger homeodomain enhancer binding protein.  
Specific References  (3)     |     bs-4187R has been referenced in 3 publications.
[IF=4.784] Zheng Wu. et al. FOXD3 suppresses epithelial–mesenchymal transition through direct transcriptional promotion of SMAD7 in esophageal squamous cell carcinoma. 2021 Sep 22  WB ;  human.  
[IF=3.48] Sasaki, Takamitsu, et al. "Significance of epithelial growth factor in the epithelial?Cmesenchymal transition of human gallbladder cancer cells."Cancer Science (2012).0  WB ;  Human.  
[IF=2.06] Xiang, Shuai, et al. "ZEB1 Expression Is Correlated With Tumor Metastasis and Reduced Prognosis of Breast Carcinoma in Asian Patients." Cancer Investigation (2015).  other ;  
研究领域 肿瘤  染色质和核信号  信号转导  表观遗传学  
抗体来源 Rabbit
克隆类型 Polyclonal
克 隆 号
交叉反应 Human,Mouse,Rat (predicted: Rabbit,Pig,Cow,Chicken,Dog)
产品应用 WB=1:500-2000,IHC-P=1:100-500,IHC-F=1:100-500,IF=1:100-500,Flow-Cyt=1μg/Test
not yet tested in other applications.
optimal dilutions/concentrations should be determined by the end user.
理论分子量 124 kDa
检测分子量
细胞定位 细胞核 
性    状 Liquid
浓    度 1mg/ml
免 疫 原 KLH conjugated synthetic peptide derived from human ZEB1: 211-320/1124 
亚    型 IgG
纯化方法 affinity purified by Protein A
缓 冲 液 0.01M TBS (pH7.4) with 1% BSA, 0.02% Proclin300 and 50% Glycerol.
保存条件 Shipped at 4℃. Store at -20℃ for one year. Avoid repeated freeze/thaw cycles.
注意事项 This product as supplied is intended for research use only, not for use in human, therapeutic or diagnostic applications.
PubMed PubMed
产品介绍 This gene encodes a zinc finger transcription factor. The encoded protein likely plays a role in transcriptional repression of interleukin 2. Mutations in this gene have been associated with posterior polymorphous corneal dystrophy-3 and late-onset Fuchs endothelial corneal dystrophy. Alternatively spliced transcript variants encoding different isoforms have been described.[provided by RefSeq, Mar 2010]

Function:
Acts as a transcriptional repressor. Inhibits interleukin-2 (IL-2) gene expression. Enhances or represses the promoter activity of the ATP1A1 gene depending on the quantity of cDNA and on the cell type. Represses E-cadherin promoter and induces an epithelial-mesenchymal transition (EMT) by recruiting SMARCA4/BRG1. Represses BCL6 transcription in the presence of the corepressor CTBP1. Positively regulates neuronal differentiation. Represses RCOR1 transcription activation during neurogenesis. Represses transcription by binding to the E box (5'-CANNTG-3'). Promotes tumorigenicity by repressing stemness-inhibiting microRNAs.

Subunit:
Interacts (via N-terminus) with SMARCA4/BRG1.

Subcellular Location:
Nucleus.

Tissue Specificity:
Colocalizes with SMARCA4/BRG1 in E-cadherin-negative cells from established lines, and stroma of normal colon as well as in de-differentiated epithelial cells at the invasion front of colorectal carcinomas (at protein level). Expressed in heart and skeletal muscle, but not in liver, spleen, or pancreas.

DISEASE:
Corneal dystrophy, posterior polymorphous, 3 (PPCD3) [MIM:609141]: A subtype of posterior corneal dystrophy, a disease characterized by alterations of Descemet membrane presenting as vesicles, opacities or band-like lesions on slit-lamp examination and specular microscopy. Affected patient typically are asymptomatic. Note=The disease is caused by mutations affecting the gene represented in this entry.
Corneal dystrophy, Fuchs endothelial, 6 (FECD6) [MIM:613270]: A corneal disease caused by loss of endothelium of the central cornea. It is characterized by focal wart-like guttata that arise from Descemet membrane and develop in the central cornea, epithelial blisters, reduced vision and pain. Descemet membrane is thickened by abnormal collagenous deposition. Note=The disease is caused by mutations affecting the gene represented in this entry.

Similarity:
Belongs to the delta-EF1/ZFH-1 C2H2-type zinc-finger family.
Contains 7 C2H2-type zinc fingers.
Contains 1 homeobox DNA-binding domain.

SWISS:
P37275

Gene ID:
6935

Database links:

Entrez Gene: 396029 Chicken

Entrez Gene: 535183 Cow

Entrez Gene: 6935 Human

Entrez Gene: 21417 Mouse

Entrez Gene: 25705 Rat

Omim: 189909 Human

SwissProt: P36197 Chicken

SwissProt: P37275 Human



产品图片
Sample: Kidney (Mouse) Lysate at 40 ug Primary: Anti- ZEB1/NIL2A (bs-4187R) at 1/1000 dilution Secondary: IRDye800CW Goat Anti-Rabbit IgG at 1/20000 dilution Predicted band size: 124 kD Observed band size: 124 kD
Sample: Hela(Human) Cell Lysate at 30 ug Primary: Anti- ZEB1/NIL2A (bs-4187R) at 1/1000 dilution Secondary: IRDye800CW Goat Anti-Rabbit IgG at 1/20000 dilution Predicted band size: 124 kD Observed band size: 124 kD
Sample: Thymus (Mouse) Lysate at 40 ug Primary: Anti- ZEB1/NIL2A (bs-4187R) at 1/1000 dilution Secondary: IRDye800CW Goat Anti-Rabbit IgG at 1/20000 dilution Predicted band size: 124 kD Observed band size: 124 kD
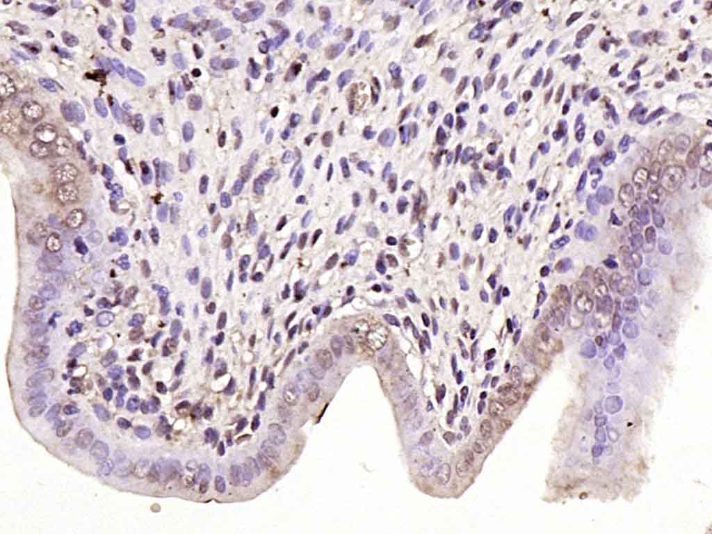
Paraformaldehyde-fixed, paraffin embedded (rat uterus); Antigen retrieval by boiling in sodium citrate buffer (pH6.0) for 15min; Block endogenous peroxidase by 3% hydrogen peroxide for 20 minutes; Blocking buffer (normal goat serum) at 37°C for 30min; Antibody incubation with (ZEB1) Polyclonal Antibody, Unconjugated (bs-4187R) at 1:2000 overnight at 4°C, followed by operating according to SP Kit(Rabbit) (sp-0023) instructionsand DAB staining.
Paraformaldehyde-fixed, paraffin embedded (Human breast cancer); Antigen retrieval by boiling in sodium citrate buffer (pH6.0) for 15min; Block endogenous peroxidase by 3% hydrogen peroxide for 20 minutes; Blocking buffer (normal goat serum) at 37°C for 30min; Antibody incubation with (ZEB1) Polyclonal Antibody, Unconjugated (bs-4187R) at 1:400 overnight at 4°C, followed by operating according to SP Kit(Rabbit) (sp-0023) instructionsand DAB staining.
Blank control:Jurkat. Primary Antibody (green line): Rabbit Anti-ZEB1/NIL2A antibody (bs-4187R) Dilution: 1ug/Test; Secondary Antibody : Goat anti-rabbit IgG-FITC Dilution: 0.5ug/Test. Protocol The cells were fixed with 4% PFA (10min at room temperature)and then permeabilized with 90% ice-cold methanol for 20 min at -20℃.The cells were then incubated in 5%BSA to block non-specific protein-protein interactions for 30 min at room temperature .Cells stained with Primary Antibody for 30 min at room temperature. The secondary antibody used for 40 min at room temperature. Acquisition of 20,000 events was performed.
Positive control: (mo)H9C2(2% Paraformaldehyde-fixed ) Isotype Control Antibody: Rabbit IgG; Dilution: 1μg in 100 μl 1 X PBS containing 0.5% BSA Secondary Antibody: Goat anti-rabbit IgG-FITC; Dilution: 1:200 in 1 X PBS containing 0.5% BSA Primary Antibody catalog number: bs-4187R; Dilution: 1μg in 100 μl 1X PBS containing 0.5% BSA
版权所有 2004-2026 www.bioss.com.cn 北京博奥森生物技术有限公司
通过国际质量管理体系ISO 9001:2015 GB/T 19001-2016    证书编号: 00124Q34771R2M/1100
通过国际医疗器械-质量管理体系ISO 13485:2016 GB/T 42061-2022     证书编号: CQC24QY20047R0M/1100
京ICP备05066980号-1         京公网安备110107000727号