扫码关注公众号           扫码咨询技术支持           扫码咨询技术服务
  
客服热线:400-901-9800  客服QQ:4009019800  技术答疑  技术支持  质量反馈  人才招聘  关于我们  联系我们
产品中心-北京博奥森生物技术有限公司
首页 > 产品中心 > 一抗 > 产品信息
cIAP1 Rabbit pAb (bs-4262R)  
订购热线:400-901-9800
订购邮箱:sales@bioss.com.cn
订购QQ:  400-901-9800
技术支持:techsupport@bioss.com.cn
50ul/1180.00元
100ul/1980.00元
200ul/2800.00元
大包装/询价

产品编号 bs-4262R
英文名称 cIAP1 Rabbit pAb
中文名称 凋亡抑制因子1抗体
别    名 API1; HIAP2; Hiap-2; MIHB; RNF48; c-IAP1; cIAP1; Api2; Birc3; C330006D17Rik; HIAP1; IAP1; IAP2; MIAP1; MIAP2; MIHC; cIAP2; mcIAP1; rIAP1; BIRC2_HUMAN; BIRC2; Cellular inhibitor of apoptosis 1 (C-IAP1); IAP homolog B; Inhibitor of apoptosis protein 2 (hIAP  
Specific References  (3)     |     bs-4262R has been referenced in 3 publications.
[IF=5.988] He Shanqing. et al. Dapagliflozin Protects Methamphetamine-Induced Cardiomyopathy by Alleviating Mitochondrial Damage and Reducing Cardiac Function Decline in a Mouse Model. FRONT PHARMACOL. 2022 Jul;0:2578  WB ;  Mouse.  
[IF=2.91] Sun et al. Mechanisms underlying 3-bromopyruvate-induced cell death in colon cancer. (2015) J.Bioenerg.Biomembr. 47:319-29  WB ;  Mouse.  
[IF=1.69] Xuan et al. Short?term vagus nerve stimulation reduces myocardial apoptosis by downregulating microRNA?205 in rats with chronic heart failure. (2017) Mol.Med.Rep. 16:5847-5854  WB ;  Rat.  
研究领域 肿瘤  细胞生物  免疫学  细胞凋亡  
抗体来源 Rabbit
克隆类型 Polyclonal
克 隆 号
交叉反应 Mouse,Rat (predicted: Human)
产品应用 WB=1:500-2000,IHC-P=1:100-500,IHC-F=1:100-500,IF=1:100-500
not yet tested in other applications.
optimal dilutions/concentrations should be determined by the end user.
理论分子量 72 kDa
检测分子量 61,72
细胞定位 细胞浆 
性    状 Liquid
浓    度 1mg/ml
免 疫 原 KLH conjugated synthetic peptide derived from human cIAP1: 51-150/618 
亚    型 IgG
纯化方法 affinity purified by Protein A
缓 冲 液 0.01M TBS (pH7.4) with 1% BSA, 0.02% Proclin300 and 50% Glycerol.
保存条件 Shipped at 4℃. Store at -20℃ for one year. Avoid repeated freeze/thaw cycles.
注意事项 This product as supplied is intended for research use only, not for use in human, therapeutic or diagnostic applications.
PubMed PubMed
产品介绍 Apoptotic suppressor. The BIR motifs region interacts with TNF receptor associated factors 1 and 2 (TRAF1 and TRAF2) to form an heteromeric complex, which is then recruited to the tumor necrosis factor receptor 2 (TNFR2).

SWISS:
Q13490

Gene ID:
329

Database links:

Entrez Gene: 329 Human

Entrez Gene: 11797 Mouse

Entrez Gene: 60371 Rat

Omim: 601712 Human

SwissProt: Q13490 Human

SwissProt: Q62210 Mouse

Unigene: 696238 Human

Unigene: 335659 Mouse

Unigene: 205955 Rat



产品图片
Sample: Lane 1: Mouse Testis tissue lysates Lane 2: Rat Testis tissue lysates Primary: Anti-cIAP1 (bs-4262R) at 1/1000 dilution Secondary: IRDye800CW Goat Anti-Rabbit IgG at 1/20000 dilution Predicted band size: 72 kDa Observed band size: 61,72 kDa
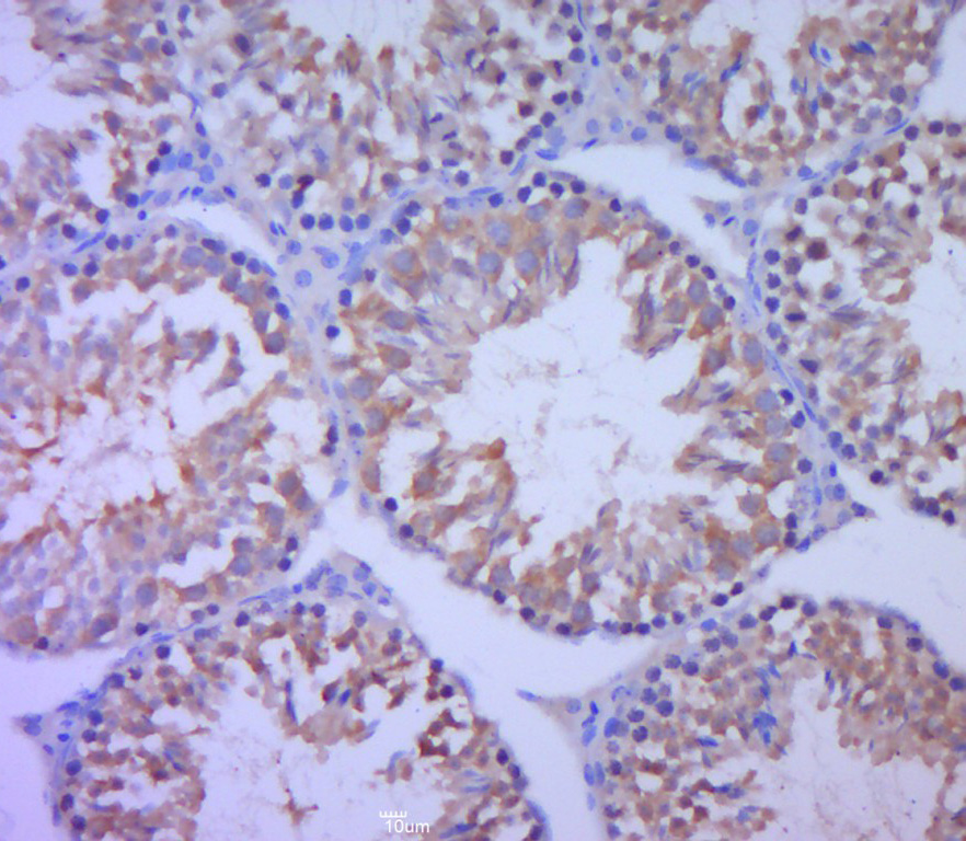
Paraformaldehyde-fixed, paraffin embedded (mouse testis tissue); Antigen retrieval by boiling in sodium citrate buffer (pH6.0) for 15min; Block endogenous peroxidase by 3% hydrogen peroxide for 20 minutes; Blocking buffer (normal goat serum) at 37°C for 30min; Antibody incubation with (cIAP1) Polyclonal Antibody, Unconjugated (bs-4262R) at 1:400 overnight at 4°C, followed by a conjugated secondary (sp-0023) for 20 minutes and DAB staining.
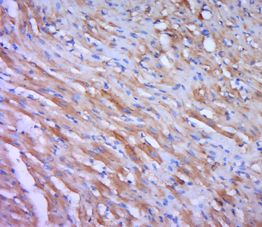
Paraformaldehyde-fixed, paraffin embedded (rat heart tissue); Antigen retrieval by boiling in sodium citrate buffer (pH6.0) for 15min; Block endogenous peroxidase by 3% hydrogen peroxide for 20 minutes; Blocking buffer (normal goat serum) at 37°C for 30min; Antibody incubation with (cIAP1) Polyclonal Antibody, Unconjugated (bs-4262R) at 1:400 overnight at 4°C, followed by a conjugated secondary (sp-0023) for 20 minutes and DAB staining.
版权所有 2004-2026 www.bioss.com.cn 北京博奥森生物技术有限公司
通过国际质量管理体系ISO 9001:2015 GB/T 19001-2016    证书编号: 00124Q34771R2M/1100
通过国际医疗器械-质量管理体系ISO 13485:2016 GB/T 42061-2022     证书编号: CQC24QY20047R0M/1100
京ICP备05066980号-1         京公网安备110107000727号