扫码关注公众号           扫码咨询技术支持           扫码咨询技术服务
  
客服热线:400-901-9800  客服QQ:4009019800  技术答疑  技术支持  质量反馈  人才招聘  关于我们  联系我们
产品中心-北京博奥森生物技术有限公司
首页 > 产品中心 > 一抗 > 产品信息
ST5 Rabbit pAb (bs-6112R)  
订购热线:400-901-9800
订购邮箱:sales@bioss.com.cn
订购QQ:  400-901-9800
技术支持:techsupport@bioss.com.cn
50ul/1180.00元
100ul/1980.00元
200ul/2800.00元
大包装/询价

产品编号 bs-6112R
英文名称 ST5 Rabbit pAb
中文名称 抑癌蛋白5抗体
别    名 HTS1; ST5; p126; 2010004M01Rik; 2610305K15Rik; Denn2b; DEN2B_HUMAN; DENND2B; HeLa tumor suppression 1; Suppression of tumorigenicity 5 protein; DEN2B_MOUSE;   
研究领域 肿瘤  信号转导  激酶和磷酸酶  
抗体来源 Rabbit
克隆类型 Polyclonal
克 隆 号
交叉反应 Human (predicted: Mouse,Rat,Rabbit,Cow,Chicken,Dog,Horse)
产品应用 IHC-P=1:100-500,IHC-F=1:100-500,IF=1:100-500
not yet tested in other applications.
optimal dilutions/concentrations should be determined by the end user.
理论分子量 126 kDa
细胞定位 细胞核 
性    状 Liquid
浓    度 1mg/ml
免 疫 原 KLH conjugated synthetic peptide derived from human ST5/DENND2B: 1051-1137/1137 
亚    型 IgG
纯化方法 affinity purified by Protein A
缓 冲 液 0.01M TBS (pH7.4) with 1% BSA, 0.02% Proclin300 and 50% Glycerol.
保存条件 Shipped at 4℃. Store at -20℃ for one year. Avoid repeated freeze/thaw cycles.
注意事项 This product as supplied is intended for research use only, not for use in human, therapeutic or diagnostic applications.
PubMed PubMed
产品介绍 This gene was identified by its ability to suppress the tumorigenicity of Hela cells in nude mice. The protein encoded by this gene contains a C-terminal region that shares similarity with the Rab 3 family of small GTP binding proteins. This protein preferentially binds to the SH3 domain of c-Abl kinase, and acts as a regulator of MAPK1/ERK2 kinase, which may contribute to its ability to reduce the tumorigenic phenotype in cells. Three alternatively spliced transcript variants of this gene encoding distinct isoforms are identified. [provided by RefSeq, Jul 2008].

Function:
Guanine nucleotide exchange factor (GEF) which may activate RAB9A and RAB9B. Promotes the exchange of GDP to GTP, converting inactive GDP-bound Rab proteins into their active GTP-bound form. May be involved in cytoskeletal organization and tumorogenicity. Isoform 1 seems to be involved in a signaling transduction pathway leading to activation of MAPK1/ERK2. Isoform 3 may block ERK2 activation stimulated by ABL1. Isoform 3 may alter cell morphology and cell growth.

Subunit:
Isoform 1 interacts with the SH3 domain of ABL1.

Tissue Specificity:
Widely expressed with the exception of peripheral blood lymphocytes. Isoform 1 is expressed in several epithelial and fibroblast (including tumorigenic) but absent in lymphoid cell lines (at protein level). Isoform 3 is expressed in primary cell or weakly tumorigenic but not in tumorigenic cell lines (at protein level).

Similarity:
Contains 1 dDENN domain.
Contains 1 DENN domain.
Contains 1 uDENN domain.

SWISS:
P78524

Gene ID:
6764

Database links:

Entrez Gene: 6764 Human

Entrez Gene: 76954 Mouse

Entrez Gene: 308944 Rat

Omim: 140750 Human

SwissProt: P78524 Human

SwissProt: Q924W7 Mouse

Unigene: 117715 Human

Unigene: 252009 Mouse

Unigene: 39696 Rat



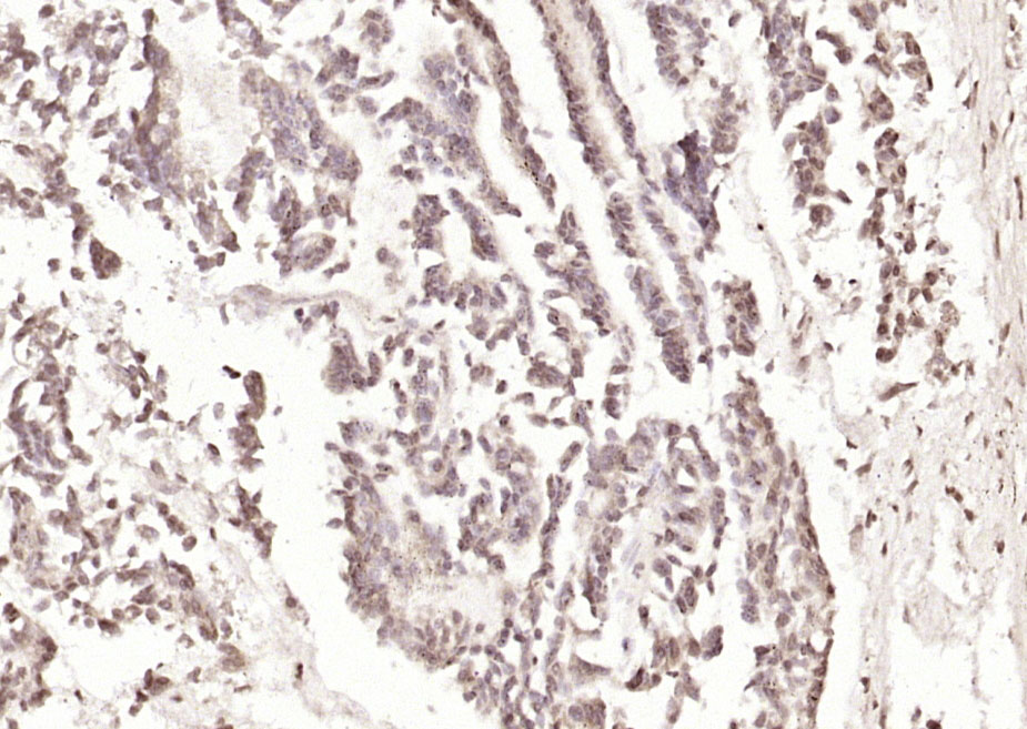
产品图片
Paraformaldehyde-fixed, paraffin embedded (human gastric carcinoma); Antigen retrieval by boiling in sodium citrate buffer (pH6.0) for 15min; Block endogenous peroxidase by 3% hydrogen peroxide for 20 minutes; Blocking buffer (normal goat serum) at 37°C for 30min; Antibody incubation with (ST5) Polyclonal Antibody, Unconjugated (bs-6112R) at 1:200 overnight at 4°C, followed by operating according to SP Kit(Rabbit) (sp-0023) instructionsand DAB staining.
版权所有 2004-2026 www.bioss.com.cn 北京博奥森生物技术有限公司
通过国际质量管理体系ISO 9001:2015 GB/T 19001-2016    证书编号: 00124Q34771R2M/1100
通过国际医疗器械-质量管理体系ISO 13485:2016 GB/T 42061-2022     证书编号: CQC24QY20047R0M/1100
京ICP备05066980号-1         京公网安备110107000727号