扫码关注公众号           扫码咨询技术支持           扫码咨询技术服务
  
客服热线:400-901-9800  客服QQ:4009019800  技术答疑  技术支持  质量反馈  人才招聘  关于我们  联系我们
产品中心-北京博奥森生物技术有限公司
首页 > 产品中心 > 一抗 > 产品信息
ABAT Rabbit pAb (bs-4234R)  
订购热线:400-901-9800
订购邮箱:sales@bioss.com.cn
订购QQ:  400-901-9800
技术支持:techsupport@bioss.com.cn
50ul/1180.00元
100ul/1980.00元
200ul/2800.00元
大包装/询价

产品编号 bs-4234R
英文名称 ABAT Rabbit pAb
中文名称 γ氨基丁酸转氨酶抗体
别    名 GABA-AT; GABAT; NPD009; 9630038C02Rik; Gabaat; Gm9851; I54; Laibat; beta-AlaAT; GABT_HUMAN; ABAT; (S)-3-amino-2-methylpropionate transaminase; GABA aminotransferase (GABA-AT); Gamma-amino-N-butyrate transaminase (GABA transaminase | GABA-T); L-AIBAT; 2.6.  
研究领域 肿瘤  免疫学  神经生物学  信号转导  
抗体来源 Rabbit
克隆类型 Polyclonal
克 隆 号
交叉反应 Mouse,Rat
产品应用 IHC-P=1:100-500,IHC-F=1:100-500,IF=1:100-500
not yet tested in other applications.
optimal dilutions/concentrations should be determined by the end user.
理论分子量 56 kDa
细胞定位 细胞浆 
性    状 Liquid
浓    度 1mg/ml
免 疫 原 KLH conjugated synthetic peptide derived from human ABAT: 151-250/500 
亚    型 IgG
纯化方法 affinity purified by Protein A
缓 冲 液 0.01M TBS (pH7.4) with 1% BSA, 0.02% Proclin300 and 50% Glycerol.
保存条件 Shipped at 4℃. Store at -20℃ for one year. Avoid repeated freeze/thaw cycles.
注意事项 This product as supplied is intended for research use only, not for use in human, therapeutic or diagnostic applications.
PubMed PubMed
产品介绍 Catalyzes the conversion of gamma-aminobutyrate and L-beta-aminoisobutyrate to succinate semialdehyde and methylmalonate semialdehyde, respectively. Can also convert delta-aminovalerate and beta-alanine.

Function:
Catalyzes the conversion of gamma-aminobutyrate and L-beta-aminoisobutyrate to succinate semialdehyde and methylmalonate semialdehyde, respectively. Can also convert delta-aminovalerate and beta-alanine.

Subunit:
Homodimer; disulfide-linked.

Subcellular Location:
Mitochondrion matrix.

Tissue Specificity:
Liver > pancreas > brain > kidney > heart > placenta.

DISEASE:
Defects in ABAT are a cause of gamma-aminobutyrate transaminase deficiency (GABA-AT deficiency) [MIM:613163]. The phenotype of this deficiency includes psychomotor retardation, hypotonia, hyperreflexia, lethargy, refractory seizures, and EEG abnormalities.

Similarity:
Belongs to the class-III pyridoxal-phosphate-dependent aminotransferase family.

SWISS:
P80404

Gene ID:
18

Database links:

Entrez Gene: 18 Human

Entrez Gene: 268860 Mouse

Entrez Gene: 81632 Rat

Omim: 137150 Human

SwissProt: P80404 Human

SwissProt: P61922 Mouse

SwissProt: P50554 Rat

Unigene: 336768 Human

Unigene: 259315 Mouse

Unigene: 10090 Rat



产品图片
Paraformaldehyde-fixed, paraffin embedded (mouse cerebellum); Antigen retrieval by boiling in sodium citrate buffer (pH6.0) for 15min; Block endogenous peroxidase by 3% hydrogen peroxide for 20 minutes; Blocking buffer (normal goat serum) at 37°C for 30min; Antibody incubation with (ABAT) Polyclonal Antibody, Unconjugated (bs-4234R) at 1:200 overnight at 4°C, followed by operating according to SP Kit(Rabbit) (sp-0023) instructionsand DAB staining.
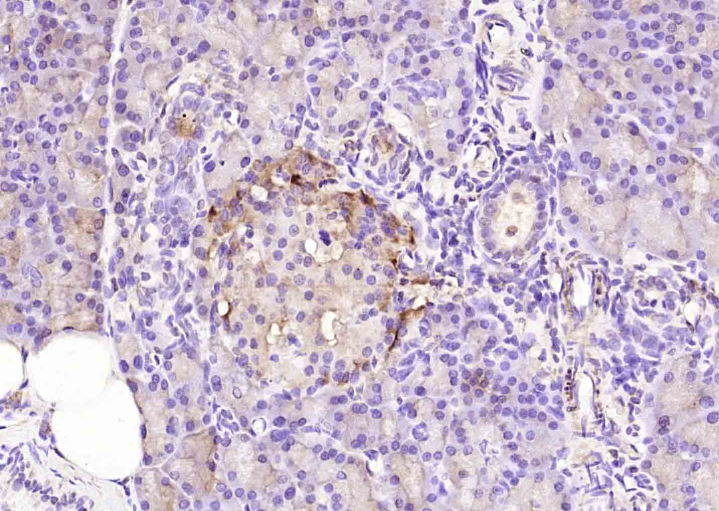
Paraformaldehyde-fixed, paraffin embedded (rat pancreas); Antigen retrieval by boiling in sodium citrate buffer (pH6.0) for 15min; Block endogenous peroxidase by 3% hydrogen peroxide for 20 minutes; Blocking buffer (normal goat serum) at 37°C for 30min; Antibody incubation with (ABAT) Polyclonal Antibody, Unconjugated (bs-4234R) at 1:200 overnight at 4°C, followed by operating according to SP Kit(Rabbit) (sp-0023) instructionsand DAB staining.
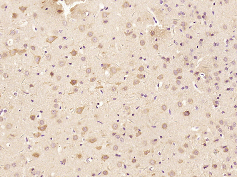
Paraformaldehyde-fixed, paraffin embedded (Rat brain); Antigen retrieval by boiling in sodium citrate buffer (pH6.0) for 15min; Block endogenous peroxidase by 3% hydrogen peroxide for 20 minutes; Blocking buffer (normal goat serum) at 37°C for 30min; Antibody incubation with (ABAT) Polyclonal Antibody, Unconjugated (bs-4234R) at 1:400 overnight at 4°C, followed by operating according to SP Kit(Rabbit) (sp-0023) instructionsand DAB staining.
版权所有 2004-2026 www.bioss.com.cn 北京博奥森生物技术有限公司
通过国际质量管理体系ISO 9001:2015 GB/T 19001-2016    证书编号: 00124Q34771R2M/1100
通过国际医疗器械-质量管理体系ISO 13485:2016 GB/T 42061-2022     证书编号: CQC24QY20047R0M/1100
京ICP备05066980号-1         京公网安备110107000727号