扫码关注公众号           扫码咨询技术支持           扫码咨询技术服务
  
客服热线:400-901-9800  客服QQ:4009019800  技术答疑  技术支持  质量反馈  关于我们  联系我们
产品中心-北京博奥森生物技术有限公司
首页 > 产品中心 > 一抗 > 产品信息
ADAM17 Rabbit pAb (bs-4236R)  
订购热线:400-901-9800
订购邮箱:sales@bioss.com.cn
订购QQ:  400-901-9800
技术支持:techsupport@bioss.com.cn
50ul/1180.00元
100ul/1980.00元
200ul/2800.00元
大包装/询价

产品编号 bs-4236R
英文名称 ADAM17 Rabbit pAb
中文名称 肿瘤坏死因子α转换酶抗体
别    名 A disintegrin and metalloproteinase domain 17; ADAM 17; ADAM metallopeptidase domain 17; ADAM17 protein; CD 156b; CD156b; CD156b antigen; CSVP; MGC71942; Snake venom like protease; TACE; TNF alpha convertase; TNF alpha converting enzyme; Tumor Necrosis Factor alpha Converting Enzyme; A disintegrin and metalloproteinase domain 17(tumor necrosis factor, alpha, converting enzyme); ADA17_HUMAN.  
Specific References  (6)     |     bs-4236R has been referenced in 6 publications.
[IF=6.961] Chan Yen-Ju. et al. Blue light exposure collapses the inner blood-retinal barrier by accelerating endothelial CLDN5 degradation through the disturbance of GNAZ and the activation of ADAM17. FLUIDS BARRIERS CNS. 2023 Dec;20(1):1-16  WB ;  Human,Mouse.  
[IF=4.757] Maria Consiglia Trotta. et al. Oral Administration of Vitamin D3 Prevents Corneal Damage in a Knock-Out Mouse Model of Sjögren’s Syndrome. BIOMEDICINES. 2023 Feb;11(2):616  IF ;  Mouse.  
[IF=4.379] Xiao, Wenyuan. et al. Robo4 is constitutively shed by ADAMs from endothelial cells and the shed Robo4 functions to inhibit Slit3-induced angiogenesis. Sci Rep-Uk. 2022 Mar;12(1):1-14  IF ;  Mouse.  
[IF=3.449] Haolu Sun. et al. iRhom1 rescues cognitive dysfunction in multiple sclerosis via preventing myelin injury. Genes Brain Behav. 2021 Nov;20(8):e12771  WB ;  Mouse.  
[IF=2.08] Li, Qing, et al. "Identification of ADAM10 and ADAM17 with potential roles in the spermatogenesis of the Chinese mitten crab, Eriocheir sinensis." Gene(2015).  WB ;  
[IF=0] Cyro José de Almeida Guardiola et al. DC-STAMP and TACE Levels are Higher in Patients with Periodontitis. Braz Dent J . Mar-Apr 2020;31(2):122-126.  WB ;  Human.  
研究领域 肿瘤  免疫学  神经生物学  信号转导  转录调节因子  
抗体来源 Rabbit
克隆类型 Polyclonal
克 隆 号
交叉反应 Human,Mouse,Rat
产品应用 WB=1:500-2000,IHC-P=1:100-500,IHC-F=1:100-500,IF=1:100-500,Flow-Cyt=1μg/Test,ICC/IF=1:50-200
not yet tested in other applications.
optimal dilutions/concentrations should be determined by the end user.
理论分子量 68/91 kDa
检测分子量
细胞定位 细胞膜 
性    状 Liquid
浓    度 1mg/ml
免 疫 原 KLH conjugated synthetic peptide derived from human ADAM17: 201-300/824 <Extracellular>
亚    型 IgG
纯化方法 affinity purified by Protein A
缓 冲 液 0.01M TBS (pH7.4) with 1% BSA, 0.02% Proclin300 and 50% Glycerol.
保存条件 Shipped at 4℃. Store at -20℃ for one year. Avoid repeated freeze/thaw cycles.
注意事项 This product as supplied is intended for research use only, not for use in human, therapeutic or diagnostic applications.
PubMed PubMed
产品介绍 This gene encodes a member of the ADAM (a disintegrin and metalloprotease domain) family. Members of this family are membrane-anchored proteins structurally related to snake venom disintegrins, and have been implicated in a variety of biologic processes involving cell-cell and cell-matrix interactions, including fertilization, muscle development, and neurogenesis. The protein encoded by this gene functions as a tumor necrosis factor-alpha converting enzyme; binds mitotic arrest deficient 2 protein; and also plays a prominent role in the activation of the Notch signaling pathway. [provided by RefSeq].

Subunit:
Interacts with MAD2L1, MAPK14 and MUC1.

Subcellular Location:
Membrane.

Tissue Specificity:
Ubiquitously expressed. Expressed at highest levels in adult heart, placenta, skeletal muscle, pancreas, spleen, thymus, prostate, testes, ovary and small intestine, and in fetal brain, lung, liver and kidney.

Similarity:
Contains 1 disintegrin domain.
Contains 1 peptidase M12B domain.

SWISS:
P78536

Gene ID:
6868

Database links:

Entrez Gene: 6868 Human

Entrez Gene: 11491 Mouse

Entrez Gene: 57027 Rat

Omim: 603639 Human

SwissProt: P78536 Human

SwissProt: Q9Z0F8 Mouse

SwissProt: Q9Z1K9 Rat

Unigene: 404914 Human

Unigene: 27681 Mouse

Unigene: 144585 Rat



产品图片
25 ug total protein per lane of various lysates (see on figure) probed with ADAM17 polyclonal antibody, unconjugated (bs-4236R) at 1:1000 dilution and 4°C overnight incubation. Followed by conjugated secondary antibody incubation at r.t. for 60 min.
Paraformaldehyde-fixed, paraffin embedded Human Small Intestine; Antigen retrieval by boiling in sodium citrate buffer (pH6.0) for 15 min; Antibody incubation with ADAM17 Polyclonal Antibody, Unconjugated (bs-4236R) at 1:200 overnight at 4°C, followed by conjugation to the bs-0295G-HRP and DAB (C-0010) staining.
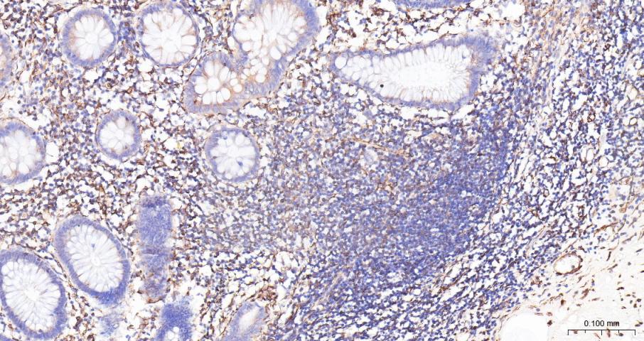
Paraformaldehyde-fixed, paraffin embedded Human Colon; Antigen retrieval by boiling in sodium citrate buffer (pH6.0) for 15 min; Antibody incubation with ADAM17 Polyclonal Antibody, Unconjugated (bs-4236R) at 1:200 overnight at 4°C, followed by conjugation to the bs-0295G-HRP and DAB (C-0010) staining.
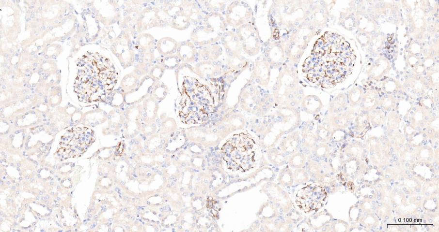
Paraformaldehyde-fixed, paraffin embedded Human Kidney; Antigen retrieval by boiling in sodium citrate buffer (pH6.0) for 15 min; Antibody incubation with ADAM17 Polyclonal Antibody, Unconjugated (bs-4236R) at 1:200 overnight at 4°C, followed by conjugation to the bs-0295G-HRP and DAB (C-0010) staining.
Paraformaldehyde-fixed, paraffin embedded Mouse Kidney; Antigen retrieval by boiling in sodium citrate buffer (pH6.0) for 15 min; Antibody incubation with ADAM17 Polyclonal Antibody, Unconjugated (bs-4236R) at 1:200 overnight at 4°C, followed by conjugation to the bs-0295G-HRP and DAB (C-0010) staining.
Paraformaldehyde-fixed, paraffin embedded Rat Kidney; Antigen retrieval by boiling in sodium citrate buffer (pH6.0) for 15 min; Antibody incubation with ADAM17 Polyclonal Antibody, Unconjugated (bs-4236R) at 1:200 overnight at 4°C, followed by conjugation to the bs-0295G-HRP and DAB (C-0010) staining.
Paraformaldehyde-fixed, paraffin embedded Mouse Lung; Antigen retrieval by boiling in sodium citrate buffer (pH6.0) for 15 min; Antibody incubation with ADAM17 Polyclonal Antibody, Unconjugated (bs-4236R) at 1:200 overnight at 4°C, followed by conjugation to the bs-0295G-HRP and DAB (C-0010) staining.
Paraformaldehyde-fixed, paraffin embedded Rat Lung; Antigen retrieval by boiling in sodium citrate buffer (pH6.0) for 15 min; Antibody incubation with ADAM17 Polyclonal Antibody, Unconjugated (bs-4236R) at 1:200 overnight at 4°C, followed by conjugation to the bs-0295G-HRP and DAB (C-0010) staining.
4% Paraformaldehyde-fixed Raji (H) cell; Antibody incubation with (ADAM17) polyclonal Antibody, unconjugated (bs-4236R) 1:100, 90 min at 37°C; followed by conjugated Goat Anti-Rabbit IgG antibody (green, bs-40295G-FITC) at 37°C for 90 min, DAPI (blue, C02-04002) was used to stain the cell nuclei. PBS instead of the primary antibody was used as the blank control.
版权所有 2004-2026 www.bioss.com.cn 北京博奥森生物技术有限公司
通过国际质量管理体系ISO 9001:2015 GB/T 19001-2016    证书编号: 00124Q34771R2M/1100
通过国际医疗器械-质量管理体系ISO 13485:2016 GB/T 42061-2022     证书编号: CQC24QY20047R0M/1100
京ICP备05066980号-1         京公网安备110107000727号