扫码关注公众号           扫码咨询技术支持           扫码咨询技术服务
  
客服热线:400-901-9800  客服QQ:4009019800  技术答疑  技术支持  质量反馈  关于我们  联系我们
产品中心-北京博奥森生物技术有限公司
首页 > 产品中心 > 一抗 > 产品信息
MMP-1 Rabbit pAb (bs-4597R)  
订购热线:400-901-9800
订购邮箱:sales@bioss.com.cn
订购QQ:  400-901-9800
技术支持:techsupport@bioss.com.cn
50ul/1180.00元
100ul/1980.00元
200ul/2800.00元
大包装/询价

产品编号 bs-4597R
英文名称 MMP-1 Rabbit pAb
中文名称 基质金属蛋白酶-1抗体
别    名 MMP-1; MMP1; CLGN; CLG; collagenase, fibroblast; Fibroblast collagenase; Interstitial collagenase; Matrix metallopeptidase 1(interstitial collagenase); Matrix metalloprotease 1; Matrix metalloproteinase-1; Matrix Metalloproteinase 1; MMP1_HUMAN; OTTHUMP00000045866; MMP 1.  
Specific References  (10)     |     bs-4597R has been referenced in 10 publications.
[IF=6.51] Woan-Ruoh Lee. et al. Laser-assisted nanoparticle delivery to promote skin absorption and penetration depth of retinoic acid with the aim for treating photoaging. INT J PHARMACEUT. 2022 Nov;627:122162  WB ;  Human.  
[IF=5.606] Luo Ping. et al. IL-37 inhibits M1-like macrophage activation to ameliorate temporomandibular joint inflammation through the NLRP3 pathway. Rheumatology. 2020 Oct;59(10):3070-3080  WB ;  Human.  
[IF=5.17] Ou et al. Tumor microenvironment B cells increase bladder cancer metastasis via modulation of the IL-8/androgen receptor (AR)/MMPs signals. (2015) Oncotarge. 6:26065-78  WB ;  Human.  
[IF=5.039] Luo P et al. IL‐37b alleviates inflammation in the temporomandibular joint cartilage via IL‐1R8 pathway. Cell Prolif. 2019 Sep 27:e12692.  WB&IHC-P ;  Human&Rat.  
[IF=4.162] Wenwen Chen. et al. Identification of Active Compounds and Mechanism of Huangtu Decoction for the Treatment of Ulcerative Colitis by Network Pharmacology Combined with Experimental Verification. Drug Des Dev Ther. 2021; 15: 4125–4140  IHC ;  mouse.  
[IF=4.105] Ai Jin. et al. TSLP-induced collagen type-I synthesis through STAT3 and PRMT1 is sensitive to calcitriol in human lung fibroblasts. Bba-Mol Cell Res. 2021 Jun;:119083  IF ;  Human.  
[IF=3.71] Ma, Chuan, et al. (2014) "Effects of Chronic Sleep Deprivation on the Extracellular Signal-Regulated Kinase Pathway in the Temporomandibular Joint of Rats." PLoS ONE 9(9) (2014):e107544  WB ;  Rat.  
[IF=3.063] Li W et al. Bevacizumab tested for treatment of knee osteoarthritis via inhibition of synovial vascular hyperplasia in rabbits. Journal of Orthopaedic Translation.2019 April 28.  IHC-P ;  Rabbit.  
[IF=2.999] Chen CL et al. miR‐134 inhibits osteosarcoma cell invasion and metastasis through targeting MMP 1 and MMP 3 in vitro and in vivo. FEBS Lett. 2019 Apr 12.  WB ;  Human.  
[IF=2.311] Dezhi Wu. et al. Long non‑coding RNA maternally expressed gene 3 affects cell proliferation, apoptosis and migration by targeting the microRNA‑9‑5p/midkine axis and activating the phosphoinositide‑dependent kinase/AKT pathway in hepatocellular carcinoma. Oncol Lett. 2021 May;21(5):1-8  WB ;  Human.  
研究领域 肿瘤  心血管  细胞生物  信号转导  细胞骨架  
抗体来源 Rabbit
克隆类型 Polyclonal
克 隆 号
交叉反应 Human,Mouse,Rat (predicted: Rabbit,Sheep,Cow,Dog,Horse)
产品应用 WB=1:500-2000,IHC-P=1:100-500,IHC-F=1:100-500,IF=1:100-500
not yet tested in other applications.
optimal dilutions/concentrations should be determined by the end user.
理论分子量 27/41/54 kDa
检测分子量
细胞定位 细胞外基质 
性    状 Liquid
浓    度 1mg/ml
免 疫 原 KLH conjugated synthetic peptide derived from human MMP-1: 251-350/469 
亚    型 IgG
纯化方法 affinity purified by Protein A
缓 冲 液 0.01M TBS (pH7.4) with 1% BSA, 0.02% Proclin300 and 50% Glycerol.
保存条件 Shipped at 4℃. Store at -20℃ for one year. Avoid repeated freeze/thaw cycles.
注意事项 This product as supplied is intended for research use only, not for use in human, therapeutic or diagnostic applications.
PubMed PubMed
产品介绍 The matrix metalloproteinases (MMPs) are a family of at least eighteen secreted and membrane bound zincendopeptidases. Collectively, these enzymes can degrade all the components of the extracellular matrix, including fibrillar and non fibrillar collagens, fibronectin, laminin and basement membrane glycoproteins. In general, a signal peptide, a propeptide, and a catalytic domain containing the highly conserved zinc binding site characterizes the structure of the MMPs. In addition, fibronectin like repeats, a hinge region, and a C terminal hemopexin like domain allow categorization of MMPs into the collagenase, gelatinase, stomelysin and membrane type MMP subfamilies. All MMPs are synthesized as proenzymes, and most of them are secreted from the cells as proenzymes. Thus, the activation of these proenzymes is a critical step that leads to extracellular matrix breakdown. MMPs are considered to play an important role in wound healing, apoptosis, bone elongation, embryo development, uterine involution, angiogenesis and tissue remodeling, and in diseases such as multiple sclerosis, Alzheimer's, malignant gliomas, lupus, arthritis, periodontis, glumerulonephritis, atherosclerosis, tissue ulceration, and in cancer cell invasion and metastasis.

Function:
Cleaves collagens of types I, II, and III at one site in the helical domain. Also cleaves collagens of types VII and X. In case of HIV infection, interacts and cleaves the secreted viral Tat protein, leading to a decrease in neuronal Tat's mediated neurotoxicity.

Subunit:
Interacts with HIV-1 Tat.

Subcellular Location:
Secreted, extracellular space, extracellular matrix (Probable).

Similarity:
Belongs to the peptidase M10A family.
Contains 4 hemopexin-like domains.

SWISS:
P03956

Gene ID:
4312

Database links:

Entrez Gene: 4312 Human

Entrez Gene: 17386 Mouse

Entrez Gene: 397320 Pig

Entrez Gene: 100009110 Rabbit

Omim: 120353 Human

SwissProt: P28053 Cow

SwissProt: P03956 Human

SwissProt: P33435 Mouse

SwissProt: P21692 Pig

SwissProt: P13943 Rabbit

Unigene: 83169 Human



基质金属蛋白酶(matrix metalloproteinases, MMPs)是一族依赖锌离子而降解各种细胞外基质的蛋白酶,亦称IV型胶原酶或称明胶酶A,其主要功能为降解IV型胶原,因而它在肿瘤细胞突破基底膜屏障和浸润转移中起重要作用。 目前主要用于各种恶性肿瘤(如乳腺癌、胃肠道癌、卵巢癌、膀胱癌等)中的基底膜检测与肿瘤转移浸润的研究。
产品图片
Sample: Lane 1: Testis (Rat) Lysate at 40 ug Lane 2: Testis (Mouse) Lysate at 40 ug Primary: Anti-MMP-1 (bs-4597R) at 1/1000 dilution Secondary: IRDye800CW Goat Anti-Rabbit IgG at 1/20000 dilution Predicted band size: 54 kD Observed band size: 54 kD
Paraformaldehyde-fixed, paraffin embedded (rat ovary); Antigen retrieval by boiling in sodium citrate buffer (pH6.0) for 15min; Block endogenous peroxidase by 3% hydrogen peroxide for 20 minutes; Blocking buffer (normal goat serum) at 37°C for 30min; Antibody incubation with (MMP-1) Polyclonal Antibody, Unconjugated (bs-4597R) at 1:200 overnight at 4°C, followed by operating according to SP Kit(Rabbit) (sp-0023) instructionsand DAB staining.
Paraformaldehyde-fixed, paraffin embedded (rat testis); Antigen retrieval by boiling in sodium citrate buffer (pH6.0) for 15min; Block endogenous peroxidase by 3% hydrogen peroxide for 20 minutes; Blocking buffer (normal goat serum) at 37°C for 30min; Antibody incubation with (MMP-1) Polyclonal Antibody, Unconjugated (bs-4597R) at 1:200 overnight at 4°C, followed by operating according to SP Kit(Rabbit) (sp-0023) instructionsand DAB staining.
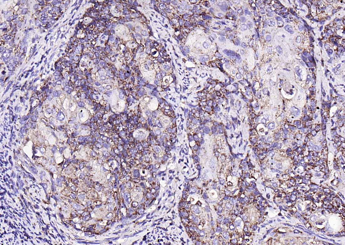
Paraformaldehyde-fixed, paraffin embedded (human cervical carcinoma); Antigen retrieval by boiling in sodium citrate buffer (pH6.0) for 15min; Block endogenous peroxidase by 3% hydrogen peroxide for 20 minutes; Blocking buffer (normal goat serum) at 37°C for 30min; Antibody incubation with (MMP-1) Polyclonal Antibody, Unconjugated (bs-4597R) at 1:200 overnight at 4°C, followed by operating according to SP Kit(Rabbit) (sp-0023) instructionsand DAB staining.
Paraformaldehyde-fixed, paraffin embedded (rat stomach); Antigen retrieval by boiling in sodium citrate buffer (pH6.0) for 15min; Block endogenous peroxidase by 3% hydrogen peroxide for 20 minutes; Blocking buffer (normal goat serum) at 37°C for 30min; Antibody incubation with (MMP-1) Polyclonal Antibody, Unconjugated (bs-4597R) at 1:200 overnight at 4°C, followed by operating according to SP Kit(Rabbit) (sp-0023) instructionsand DAB staining.
Paraformaldehyde-fixed, paraffin embedded (human gastric carcinoma); Antigen retrieval by boiling in sodium citrate buffer (pH6.0) for 15min; Block endogenous peroxidase by 3% hydrogen peroxide for 20 minutes; Blocking buffer (normal goat serum) at 37°C for 30min; Antibody incubation with (MMP-1) Polyclonal Antibody, Unconjugated (bs-4597R) at 1:200 overnight at 4°C, followed by operating according to SP Kit(Rabbit) (sp-0023) instructionsand DAB staining.
Paraformaldehyde-fixed, paraffin embedded (rat brain tissue); Antigen retrieval by boiling in sodium citrate buffer (pH6.0) for 15min; Block endogenous peroxidase by 3% hydrogen peroxide for 20 minutes; Blocking buffer (normal goat serum) at 37°C for 30min; Antibody incubation with (MMP-1) Polyclonal Antibody, Unconjugated (bs-4597R) at 1:400 overnight at 4°C, followed by operating according to SP Kit(Rabbit) (sp-0023) instructionsand DAB staining.
版权所有 2004-2026 www.bioss.com.cn 北京博奥森生物技术有限公司
通过国际质量管理体系ISO 9001:2015 GB/T 19001-2016    证书编号: 00124Q34771R2M/1100
通过国际医疗器械-质量管理体系ISO 13485:2016 GB/T 42061-2022     证书编号: CQC24QY20047R0M/1100
京ICP备05066980号-1         京公网安备110107000727号