扫码关注公众号           扫码咨询技术支持           扫码咨询技术服务
  
客服热线:400-901-9800  客服QQ:4009019800  技术答疑  技术支持  质量反馈  人才招聘  关于我们  联系我们
产品中心-北京博奥森生物技术有限公司
首页 > 产品中心 > 一抗 > 产品信息
SPINK1 Rabbit pAb (bs-2916R)  
订购热线:400-901-9800
订购邮箱:sales@bioss.com.cn
订购QQ:  400-901-9800
技术支持:techsupport@bioss.com.cn
50ul/1180.00元
100ul/1980.00元
200ul/2800.00元
大包装/询价

产品编号 bs-2916R
英文名称 SPINK1 Rabbit pAb
中文名称 肿瘤相关胰蛋白酶抑制剂1抗体
别    名 PCTT; PSTI; Spink3; TATI; TCP; ISK1_HUMAN; SPINK1; Pancreatic secretory trypsin inhibitor; Tumor-associated trypsin inhibitor (TATI);   
Specific References  (1)     |     bs-2916R has been referenced in 1 publications.
[IF=5.396] Kaidi Ma. et al. Lactobacillus rhamnosus GG ameliorates deoxynivalenol-induced kidney oxidative damage and mitochondrial injury in weaned piglets. Food Funct. 2022 Mar;:  WB ;  Piglets.  
研究领域 肿瘤  细胞生物  免疫学  激酶和磷酸酶  
抗体来源 Rabbit
克隆类型 Polyclonal
克 隆 号
交叉反应 Human
产品应用 IHC-P=1:100-500,IHC-F=1:100-500,IF=1:100-500
not yet tested in other applications.
optimal dilutions/concentrations should be determined by the end user.
理论分子量 6.2 kDa
细胞定位 分泌型蛋白 
性    状 Liquid
浓    度 1mg/ml
免 疫 原 KLH conjugated synthetic peptide derived from human SPINK1: 31-79/79 
亚    型 IgG
纯化方法 affinity purified by Protein A
缓 冲 液 0.01M TBS (pH7.4) with 1% BSA, 0.02% Proclin300 and 50% Glycerol.
保存条件 Shipped at 4℃. Store at -20℃ for one year. Avoid repeated freeze/thaw cycles.
注意事项 This product as supplied is intended for research use only, not for use in human, therapeutic or diagnostic applications.
PubMed PubMed
产品介绍 The protein encoded by this gene is a trypsin inhibitor, which is secreted from pancreatic acinar cells into pancreatic juice. It is thought to function in the prevention of trypsin-catalyzed premature activation of zymogens within the pancreas and the pancreatic duct. Mutations in this gene are associated with hereditary pancreatitis and tropical calcific pancreatitis. [provided by RefSeq, Oct 2008]

Function:
This is a trypsin inhibitor, its physiological function is to prevent the trypsin-catalyzed premature activation of zymogens within the pancreas.

Subcellular Location:
Secreted.

Similarity:
Contains 1 Kazal-like domain.

SWISS:
P00995

Gene ID:
6690

Database links:

Entrez Gene: 6690 Human

SwissProt: P00995 Human



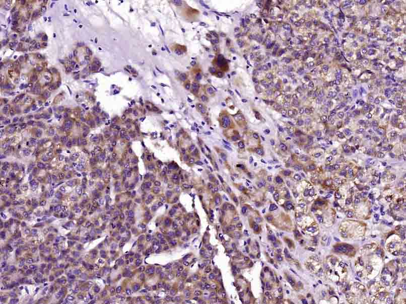
产品图片
Paraformaldehyde-fixed, paraffin embedded (Human liver carcinoma); Antigen retrieval by boiling in sodium citrate buffer (pH6.0) for 15min; Block endogenous peroxidase by 3% hydrogen peroxide for 20 minutes; Blocking buffer (normal goat serum) at 37°C for 30min; Antibody incubation with (SPINK1) Polyclonal Antibody, Unconjugated (bs-2916R) at 1:400 overnight at 4°C, followed by operating according to SP Kit(Rabbit) (sp-0023) instructionsand DAB staining.
版权所有 2004-2026 www.bioss.com.cn 北京博奥森生物技术有限公司
通过国际质量管理体系ISO 9001:2015 GB/T 19001-2016    证书编号: 00124Q34771R2M/1100
通过国际医疗器械-质量管理体系ISO 13485:2016 GB/T 42061-2022     证书编号: CQC24QY20047R0M/1100
京ICP备05066980号-1         京公网安备110107000727号