扫码关注公众号           扫码咨询技术支持           扫码咨询技术服务
  
客服热线:400-901-9800  客服QQ:4009019800  技术答疑  技术支持  质量反馈  关于我们  联系我们
产品中心-北京博奥森生物技术有限公司
首页 > 产品中心 > 一抗 > 产品信息
RIPK1 Rabbit pAb (bs-5805R)  
订购热线:400-901-9800
订购邮箱:sales@bioss.com.cn
订购QQ:  400-901-9800
技术支持:techsupport@bioss.com.cn
50ul/1180.00元
100ul/1980.00元
200ul/2800.00元
大包装/询价

产品编号 bs-5805R
英文名称 RIPK1 Rabbit pAb
中文名称 丝氨酸苏氨酸激酶1受体相互作用蛋白抗体
别    名 Cell death protein RIP; Receptor(TNFRSF) interacting serine threonine kinase 1; Receptor interacting protein; Receptor interacting serine threonine protein kinase 1; Receptor TNFRSF interacting serine threonine kinase 1; Receptor-interacting protein 1; Receptor-interacting serine/threonine-protein kinase 1; Rinp; RIP; Rip-1; RIPK 1; RIPK-1; RIPK1_HUMAN; Serine threonine protein kinase RIP; Serine/threonine-protein kinase RIP.  
Specific References  (7)     |     bs-5805R has been referenced in 7 publications.
[IF=40.137] Seifert, Lena, et al. "The necrosome promotes pancreatic oncogenesis via CXCL1 and Mincle-induced immune suppression." Nature (2016).  IHC-F ;  Mouse.  
[IF=16.836]   WB ;  rabbit.  
[IF=7.675] Lei Lei. et al. Selenium Deficiency-Induced Oxidative Stress Causes Myocardial Injury in Calves by Activating Inflammation, Apoptosis, and Necroptosis. ANTIOXIDANTS-BASEL. 2023 Feb;12(2):229  WB ;  Cow.  
[IF=6.208] Shuang Wang. et al. Paricalcitol Ameliorates Acute Kidney Injury in Mice by Suppressing Oxidative Stress and Inflammation via Nrf2/HO-1 Signaling. INT J MOL SCI. 2023 Jan;24(2):969  IF ;  Mouse.  
[IF=4.268] Qin Yang. et al. Gypenoside XLIX protects against acute kidney injury by suppressing IGFBP7/IGF1R-mediated programmed cell death and inflammation. Phytomedicine. 2021 Mar;:153541  WB ;  Human.  
[IF=3.274] Yang B et al. Polychlorinated Biphenyl Quinone Promotes Macrophage-Derived Foam Cell Formation. Chem Res Toxicol. 2019 Nov 13.  WB ;  Mouse.  
[IF=2.84] Luo, Yuhao, et al. "Lycorine induces programmed necrosis in the multiple myeloma cell line ARH-77." Tumor Biology (2014): 1-9.  WB ;  Human.  
研究领域 肿瘤  细胞生物  免疫学  细胞凋亡  激酶和磷酸酶  
抗体来源 Rabbit
克隆类型 Polyclonal
克 隆 号
交叉反应 Human,Mouse,Rat (predicted: Rabbit,Pig,Cow,Horse)
产品应用 WB=1:500-2000,IHC-P=1:100-500,IHC-F=1:100-500,IF=1:100-500
not yet tested in other applications.
optimal dilutions/concentrations should be determined by the end user.
理论分子量 74 kDa
检测分子量
细胞定位 细胞浆 细胞膜 
性    状 Liquid
浓    度 1mg/ml
免 疫 原 KLH conjugated synthetic peptide derived from human RIPK1: 581-671/671 
亚    型 IgG
纯化方法 affinity purified by Protein A
缓 冲 液 0.01M TBS (pH7.4) with 1% BSA, 0.02% Proclin300 and 50% Glycerol.
保存条件 Shipped at 4℃. Store at -20℃ for one year. Avoid repeated freeze/thaw cycles.
注意事项 This product as supplied is intended for research use only, not for use in human, therapeutic or diagnostic applications.
PubMed PubMed
产品介绍 Essential adapter molecule for the activation of NF-kappa-B. Following different upstream signals (binding of inflammatory cytokines, stimulation of pathogen recognition receptors, or DNA damage), particular RIPK1-containing complexes are formed, initiating a limited number of cellular responses. Upon TNFA stimulation RIPK1 is recruited to a TRADD-TRAF complex initiated by TNFR1 trimerization. There, it is ubiquitinated via 'Lys-63'-link chains, inducing its association with the IKK complex, and its activation through NEMO binding of polyubiquitin chains.

Function:
Serine-threonine kinase which transduces inflammatory and cell-death signals (necroptosis) following death receptors ligation, activation of pathogen recognition receptors (PRRs), and DNA damage. Upon activation of TNFR1 by the TNF-alpha family cytokines, TRADD and TRAF2 are recruited to the receptor. Ubiquitination by TRAF2 via 'Lys-63'-link chains acts as a critical enhancer of communication with downstream signal transducers in the mitogen-activated protein kinase pathway and the NF-kappa-B pathway, which in turn mediate downstream events including the activation of genes encoding inflammatory molecules. Polyubiquitinated protein binds to IKBKG/NEMO, the regulatory subunit of the IKK complex, a critical event for NF-kappa-B activation. Interaction with other cellular RHIM-containing adapters initiates gene activation and cell death. RIPK1 and RIPK3 association, in particular, forms a necroptosis-inducing complex.

Subunit:
Interacts (via RIP homotypic interaction motif) with RIPK3 (via RIP homotypic interaction motif); this interaction induces RIPK1 necroptosis-specific phosphorylation, formation of the necroptosis-inducing complex. Interacts (via the death domain) with TNFRSF6 (via the death domain) and TRADD (via the death domain). Is recruited by TRADD to TNFRSF1A in a TNF-dependent process. Binds RNF216, EGFR, IKBKG, TRAF1, TRAF2 and TRAF3. Interacts with BNLF1. Interacts with SQSTM1 upon TNF-alpha stimulation. May interact with MAVS/IPS1. Interacts with ZFAND5. Interacts with RBCK1 (By similarity).

Subcellular Location:
Cytoplasm. Cell membrane (By similarity).

Post-translational modifications:
Proteolytically cleaved by caspase-8 during TNF-induced apoptosis. Cleavage abolishes NF-kappa-B activation and enhances pro-apototic signaling through the TRADD-FADD interaction.
RIPK1 and RIPK3 undergo reciprocal auto- and trans-phosphorylation. Phosphorylation of Ser-161 by RIPK3 is necessary for the formation of the necroptosis-inducing complex.
Ubiquitinated by 'Lys-11'-, 'Lys-48'-, 'Lys-63'- and linear-linked type ubiquitin. Polyubiquitination with 'Lys-63'-linked chains by TRAF2 induces association with the IKK complex. Deubiquitination of 'Lys-63'-linked chains and polyubiquitination with 'Lys-48'-linked chains by TNFAIP3 leads to RIPK1 proteasomal degradation and consequently downregulates TNF-alpha-induced NFkappa-B signaling. Linear polyubiquitinated; the head-to-tail polyubiquitination is mediated by the LUBAC complex. LPS-mediated activation of NF-kappa-B. Also ubiquitinated with 'Lys-11'-linked chains.

Similarity:
Belongs to the protein kinase superfamily. TKL Ser/Thr protein kinase family. [SIMILARITY] Contains 1 death domain.
Contains 1 protein kinase domain.

SWISS:
Q13546

Gene ID:
8737

Database links:

Entrez Gene: 8737 Human

Entrez Gene: 19766 Mouse

Entrez Gene: 306886 Rat

Omim: 603453 Human

SwissProt: Q13546 Human

SwissProt: Q60855 Mouse

Unigene: 519842 Human

Unigene: 374799 Mouse

Unigene: 7572 Rat



产品图片
Sample: Raji(Human) Cell Lysate at 30 ug Primary: Anti-RIPK-1 (bs-5805R) at 1/1000 dilution Secondary: IRDye800CW Goat Anti-Rabbit IgG at 1/20000 dilution Predicted band size: 74 kD Observed band size: 70 kD
Sample: Cerebrum (Mouse) Lysate at 40 ug Primary: Anti-RIPK-1 (bs-5805R) at 1/1000 dilution Secondary: IRDye800CW Goat Anti-Rabbit IgG at 1/20000 dilution Predicted band size: 74 kD Observed band size: 70 kD
Paraformaldehyde-fixed, paraffin embedded (human cervical carcinoma); Antigen retrieval by boiling in sodium citrate buffer (pH6.0) for 15min; Block endogenous peroxidase by 3% hydrogen peroxide for 20 minutes; Blocking buffer (normal goat serum) at 37°C for 30min; Incubation with (RIPK1 ) Polyclonal Antibody, Unconjugated (bs-5805R) at 1:200 overnight at 4°C, followed by operating according to SP Kit(Rabbit) (sp-0023) instructionsand DAB staining.
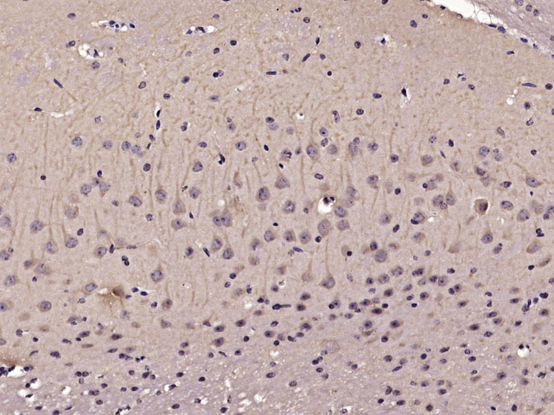
Paraformaldehyde-fixed, paraffin embedded (Mouse brain); Antigen retrieval by microwave in sodium citrate buffer (pH6.0) ; Block endogenous peroxidase by 3% hydrogen peroxide for 30 minutes; Blocking buffer (3% BSA) at RT for 30min; Antibody incubation with (RIPK-1) Polyclonal Antibody, Unconjugated (bs-5805R) at 1:400 overnight at 4℃, followed by conjugation to the secondary antibody (labeled with HRP)and DAB staining.
Paraformaldehyde-fixed, paraffin embedded (Rat brain); Antigen retrieval by microwave in sodium citrate buffer (pH6.0) ; Block endogenous peroxidase by 3% hydrogen peroxide for 30 minutes; Blocking buffer (3% BSA) at RT for 30min; Antibody incubation with (RIPK-1) Polyclonal Antibody, Unconjugated (bs-5805R) at 1:400 overnight at 4℃, followed by conjugation to the secondary antibody (labeled with HRP)and DAB staining.
版权所有 2004-2026 www.bioss.com.cn 北京博奥森生物技术有限公司
通过国际质量管理体系ISO 9001:2015 GB/T 19001-2016    证书编号: 00124Q34771R2M/1100
通过国际医疗器械-质量管理体系ISO 13485:2016 GB/T 42061-2022     证书编号: CQC24QY20047R0M/1100
京ICP备05066980号-1         京公网安备110107000727号