扫码关注公众号           扫码咨询技术支持           扫码咨询技术服务
  
客服热线:400-901-9800  客服QQ:4009019800  技术答疑  技术支持  质量反馈  关于我们  联系我们
产品中心-北京博奥森生物技术有限公司
首页 > 产品中心 > 一抗 > 产品信息
MGAT5 Rabbit pAb (bs-5841R)  
订购热线:400-901-9800
订购邮箱:sales@bioss.com.cn
订购QQ:  400-901-9800
技术支持:techsupport@bioss.com.cn
50ul/1180.00元
100ul/1980.00元
200ul/2800.00元
大包装/询价

产品编号 bs-5841R
英文名称 MGAT5 Rabbit pAb
中文名称 糖蛋白GNTVA抗体
别    名 6-mannosylglycoprotein 6-beta-N-acetylglucosaminyltransferase A; 6-N-acetylglucosaminyltransferase; alpha 1, 3(6) mannosylglycoprotein; alpha 1, 6 mannosylglycoprotein 6 beta N acetylglucosaminyltransferase; alpha mannoside beta 1, 6 N acetylglucosaminyltransferase; alpha mannoside beta 1, 6 N acetylglucosaminyltransferase; alpha-mannoside beta-1, 6-N-acetylglucosaminyltransferase; alpha-1; alpha-1, 3(6)-mannosylglycoprotein; alpha-1, 6-mannosylglycoprotein 6-beta-N-acetylglucosaminyltransferase; alpha-mannoside beta-1; alpha-mannoside beta-1, 6-N-acetylglucosaminyltransferase; beta 1, 6 N acetyl glucosaminyltransferase; beta-1, 6-N-acetyl-glucosaminyltransferase; GGNT5; GlcNAc T V; GlcNAc-T V; GNT V; GNT VA; GNT-V; GNTV; GNTVA; Mannoside acetylglucosaminyltransferase 5; Mannosyl(alpha 1, 6) glycoprotein beta 1, 6 N acetyl glucosaminyltransferase; mannosyl(alpha-1, 6-)-glycoprotein beta-1, 6-N-acetyl-glucosaminyltransferase; Mgat5; MGT5A_HUMAN; N acetylglucosaminyl transferase V; N acetylglucosaminyltransferase V mannosyl(alpha 1, 6) glycoprotein; N-acetylglucosaminyl-transferase V; N-acetylglucosaminyltransferase V.  
Specific References  (1)     |     bs-5841R has been referenced in 1 publications.
[IF=3.375] Yang P et al. Adoptive transfer of polarized M2c macrophages ameliorates acute rejection in rat liver transplantation. Am J Transl Res. 2020 Jun 15;12(6):2614-2626.  WB ;  Rat.  
研究领域 肿瘤  细胞生物  免疫学  信号转导  细胞粘附分子  细胞骨架  
抗体来源 Rabbit
克隆类型 Polyclonal
克 隆 号
交叉反应 Human,Mouse,Rat (predicted: Rabbit,Chicken,Dog)
产品应用 WB=1:500-2000,IHC-P=1:100-500,IHC-F=1:100-500,IF=1:100-500
not yet tested in other applications.
optimal dilutions/concentrations should be determined by the end user.
理论分子量 85 kDa
检测分子量
细胞定位 细胞浆 细胞膜 
性    状 Liquid
浓    度 1mg/ml
免 疫 原 KLH conjugated synthetic peptide derived from human MGAT5: 201-300/741 
亚    型 IgG
纯化方法 affinity purified by Protein A
缓 冲 液 0.01M TBS (pH7.4) with 1% BSA, 0.02% Proclin300 and 50% Glycerol.
保存条件 Shipped at 4℃. Store at -20℃ for one year. Avoid repeated freeze/thaw cycles.
注意事项 This product as supplied is intended for research use only, not for use in human, therapeutic or diagnostic applications.
PubMed PubMed
产品介绍 MGAT5 is a mannosyl (alpha-1,6-)-glycoprotein beta-1,6-N-acetyl-glucosaminyltransferase, a glycosyltransferase involved in the synthesis of protein-bound and lipid-bound oligosaccharides. Alterations of the oligosaccharides on cell surface glycoproteins cause significant changes in the adhesive or migratory behavior of a cell. Increase in the encoded protein's activity may correlate with the progression of invasive malignancies.

Function:
Catalyzes the addition of N-acetylglucosamine in beta 1-6 linkage to the alpha-linked mannose of biantennary N-linked oligosaccharides. It is one of the most important enzymes involved in the regulation of the biosynthesis of glycoprotein oligosaccharides.

Subcellular Location:
Golgi apparatus membrane; Single-pass type II membrane protein.

Similarity:
Belongs to the glycosyltransferase 18 family.

SWISS:
Q09328

Gene ID:
4249

Database links:

Entrez Gene: 4249 Human

Entrez Gene: 107895 Mouse

Entrez Gene: 65271 Rat

Omim: 601774 Human

SwissProt: Q09328 Human

SwissProt: Q8R4G6 Mouse

SwissProt: Q08834 Rat

Unigene: 651869 Human

Unigene: 214682 Mouse

Unigene: 391592 Mouse

Unigene: 472488 Mouse

Unigene: 53998 Rat



产品图片
Sample: HepG2(Human) Cell Lysate at 30 ug Primary: Anti- MGAT5 (bs-5841R) at 1/1000 dilution Secondary: IRDye800CW Goat Anti-Rabbit IgG at 1/20000 dilution Predicted band size: 85 kD Observed band size: 85 kD
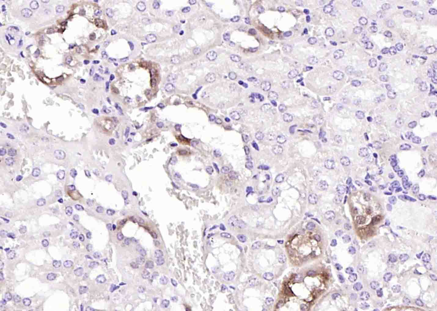
Paraformaldehyde-fixed, paraffin embedded (mouse kidney); Antigen retrieval by boiling in sodium citrate buffer (pH6.0) for 15min; Block endogenous peroxidase by 3% hydrogen peroxide for 20 minutes; Blocking buffer (normal goat serum) at 37°C for 30min; Incubation with (MGAT5 ) Polyclonal Antibody, Unconjugated (bs-5841R) at 1:200 overnight at 4°C, followed by operating according to SP Kit(Rabbit) (sp-0023) instructionsand DAB staining.
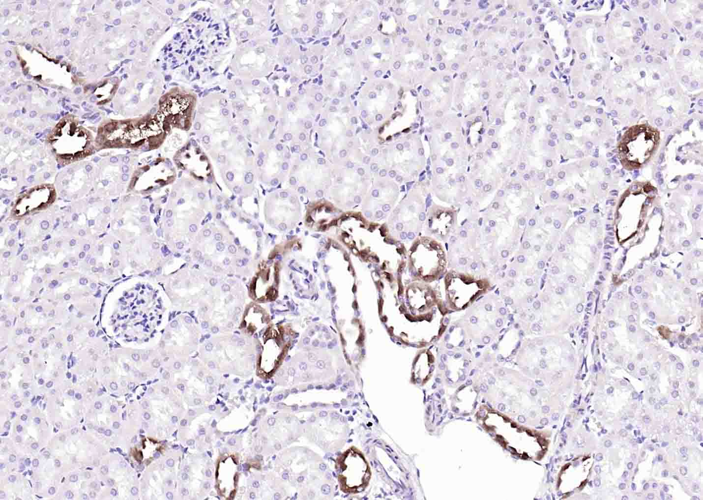
Paraformaldehyde-fixed, paraffin embedded (rat kidney); Antigen retrieval by boiling in sodium citrate buffer (pH6.0) for 15min; Block endogenous peroxidase by 3% hydrogen peroxide for 20 minutes; Blocking buffer (normal goat serum) at 37°C for 30min; Incubation with (MGAT5 ) Polyclonal Antibody, Unconjugated (bs-5841R) at 1:200 overnight at 4°C, followed by operating according to SP Kit(Rabbit) (sp-0023) instructionsand DAB staining.
版权所有 2004-2026 www.bioss.com.cn 北京博奥森生物技术有限公司
通过国际质量管理体系ISO 9001:2015 GB/T 19001-2016    证书编号: 00124Q34771R2M/1100
通过国际医疗器械-质量管理体系ISO 13485:2016 GB/T 42061-2022     证书编号: CQC24QY20047R0M/1100
京ICP备05066980号-1         京公网安备110107000727号