扫码关注公众号           扫码咨询技术支持           扫码咨询技术服务
  
客服热线:400-901-9800  客服QQ:4009019800  技术答疑  技术支持  质量反馈  关于我们  联系我们
产品中心-北京博奥森生物技术有限公司
首页 > 产品中心 > 一抗 > 产品信息
CTHRC1 Rabbit pAb (bs-5882R)  
订购热线:400-901-9800
订购邮箱:sales@bioss.com.cn
订购QQ:  400-901-9800
技术支持:techsupport@bioss.com.cn
50ul/1180.00元
100ul/1980.00元
200ul/2800.00元
大包装/询价

产品编号 bs-5882R
英文名称 CTHRC1 Rabbit pAb
中文名称 胶原三股螺旋重复蛋白1抗体
别    名 Collagen triple helix repeat containing 1; Collagen triple helix repeat containing protein 1; Collagen triple helix repeat-containing protein 1; CTHR1_HUMAN; Cthrc1; NMTC1 protein; Protein NMTC1.  
研究领域 肿瘤  心血管  免疫学  信号转导  生长因子和激素  细胞骨架  细胞外基质  
抗体来源 Rabbit
克隆类型 Polyclonal
克 隆 号
交叉反应 Human (predicted: Mouse,Rat,Rabbit,Cow,Dog,Horse)
产品应用 IHC-P=1:100-500,IHC-F=1:100-500,IF=1:100-500
not yet tested in other applications.
optimal dilutions/concentrations should be determined by the end user.
理论分子量 23 kDa
检测分子量
细胞定位 细胞外基质 分泌型蛋白 
性    状 Liquid
浓    度 1mg/ml
免 疫 原 KLH conjugated synthetic peptide derived from human CTHRC1: 31-130/243 
亚    型 IgG
纯化方法 affinity purified by Protein A
缓 冲 液 0.01M TBS (pH7.4) with 1% BSA, 0.02% Proclin300 and 50% Glycerol.
保存条件 Shipped at 4℃. Store at -20℃ for one year. Avoid repeated freeze/thaw cycles.
注意事项 This product as supplied is intended for research use only, not for use in human, therapeutic or diagnostic applications.
PubMed PubMed
产品介绍 CTHRC1 is a protein that may play a role in the cellular response to arterial injury through involvement in vascular remodeling. Mutations at this locus have been associated with Barrett esophagus and esophageal adenocarcinoma. Alternatively spliced transcript variants have been described.

Function:
May act as a negative regulator of collagen matrix deposition (By similarity).

Subcellular Location:
Secreted, extracellular space, extracellular matrix (By similarity).

Tissue Specificity:
Isoform 1 is expressed in calcified atherosclerotic plaque and chondrocyte-like cells.

Post-translational modifications:
N-glycosylated (By similarity).

DISEASE:
Barrett esophagus (BE) [MIM:614266]: A condition characterized by a metaplastic change in which normal esophageal squamous epithelium is replaced by a columnar and intestinal-type epithelium. Patients with Barrett esophagus have an increased risk of esophageal adenocarcinoma. The main cause of Barrett esophagus is gastroesophageal reflux. The retrograde movement of acid and bile salts from the stomach into the esophagus causes prolonged injury to the esophageal epithelium and induces chronic esophagitis, which in turn is believed to trigger the pathologic changes. Note=Disease susceptibility is associated with variations affecting the gene represented in this entry.

Similarity:
Contains 1 collagen-like domain.

SWISS:
Q96CG8

Gene ID:
115908

Database links:

Entrez Gene: 115908 Human

Entrez Gene: 68588 Mouse

Entrez Gene: 282836 Rat

Omim: 610635 Human

SwissProt: Q96CG8 Human

SwissProt: Q9D1D6 Mouse

SwissProt: Q8CG08 Rat

Unigene: 405614 Human

Unigene: 41556 Mouse

Unigene: 9468 Rat



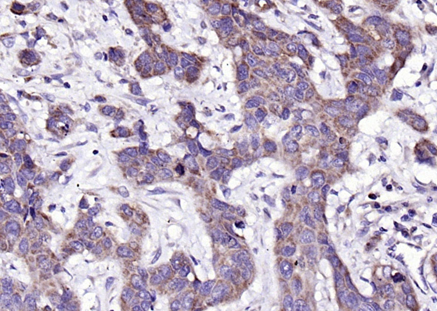
产品图片
Paraformaldehyde-fixed, paraffin embedded (Human esophageal cancer); Antigen retrieval by boiling in sodium citrate buffer (pH6.0) for 15min; Block endogenous peroxidase by 3% hydrogen peroxide for 20 minutes; Blocking buffer (normal goat serum) at 37°C for 30min; Antibody incubation with (CTHRC1) Polyclonal Antibody, Unconjugated (bs-5882R) at 1:200 overnight at 4°C, followed by operating according to SP Kit(Rabbit) (sp-0023) instructionsand DAB staining.
Paraformaldehyde-fixed, paraffin embedded (Human esophageal cancer); Antigen retrieval by boiling in sodium citrate buffer (pH6.0) for 15min; Block endogenous peroxidase by 3% hydrogen peroxide for 20 minutes; Blocking buffer (normal goat serum) at 37°C for 30min; Antibody incubation with (CTHRC1) Polyclonal Antibody, Unconjugated (bs-5882R) at 1:200 overnight at 4°C, followed by operating according to SP Kit(Rabbit) (sp-0023) instructionsand DAB staining.
版权所有 2004-2026 www.bioss.com.cn 北京博奥森生物技术有限公司
通过国际质量管理体系ISO 9001:2015 GB/T 19001-2016    证书编号: 00124Q34771R2M/1100
通过国际医疗器械-质量管理体系ISO 13485:2016 GB/T 42061-2022     证书编号: CQC24QY20047R0M/1100
京ICP备05066980号-1         京公网安备110107000727号