扫码关注公众号           扫码咨询技术支持           扫码咨询技术服务
  
客服热线:400-901-9800  客服QQ:4009019800  技术答疑  技术支持  质量反馈  人才招聘  关于我们  联系我们
产品中心-北京博奥森生物技术有限公司
首页 > 产品中心 > 一抗 > 产品信息
AARE Rabbit pAb (bs-5983R)  
订购热线:400-901-9800
订购邮箱:sales@bioss.com.cn
订购QQ:  400-901-9800
技术支持:techsupport@bioss.com.cn
50ul/1180.00元
100ul/1980.00元
200ul/2800.00元
大包装/询价

产品编号 bs-5983R
英文名称 AARE Rabbit pAb
中文名称 氧化蛋白质水解酶
别    名 AARE; ACPH; APH; D3F15S2; D3S48E; DNF15S2; OPH; Apeh14; Apeh17; ACPH_HUMAN; APEH; Acyl-peptide hydrolase (APH); Acylaminoacyl-peptidase; Oxidized protein hydrolase (OPH); 3.4.19.1; ACPH_MOUSE; ACPH_RAT; acylaminoacyl-peptide hydrolase; N-acylaminoacyl-peptide hydrolase; acylamino-acid-releasing enzyme  
研究领域 肿瘤  细胞生物  免疫学  
抗体来源 Rabbit
克隆类型 Polyclonal
交叉反应 Human,Mouse (predicted: Rat,Rabbit,Pig,Sheep,Cow,Horse)
产品应用 WB=1:500-2000,IHC-P=1:100-500,IHC-F=1:100-500,IF=1:100-500
not yet tested in other applications.
optimal dilutions/concentrations should be determined by the end user.
理论分子量 81kDa
检测分子量 76
细胞定位 细胞核 
性    状 Liquid
浓    度 1mg/ml
免 疫 原 KLH conjugated synthetic peptide derived from human AARE: 101-200/732 
亚    型 IgG
纯化方法 affinity purified by Protein A
缓 冲 液 0.01M TBS (pH7.4) with 1% BSA, 0.02% Proclin300 and 50% Glycerol.
保存条件 Shipped at 4℃. Store at -20℃ for one year. Avoid repeated freeze/thaw cycles.
注意事项 This product as supplied is intended for research use only, not for use in human, therapeutic or diagnostic applications.
PubMed PubMed
产品介绍 AARE (Acylamino-acid-releasing enzyme) is also known as Acyl-peptide hydrolase. It catalyzes the hydrolysis of the terminal acetylated amino acid preferentially from small acetylated peptides. The acetyl amino acid formed by this hydrolase is further processed to acetate and a free amino acid by an aminoacylase. It can play an important role in destroying oxidatively damaged proteins in living cells. Deletions of this gene locus corresponding to the protein are found in various types of carcinomas, including small cell lung carcinoma and renal cell carcinoma.

Function:
This enzyme catalyzes the hydrolysis of the N-terminal peptide bond of an N-acetylated peptide to generate an N-acetylated amino acid and a peptide with a free N-terminus. It preferentially cleaves off Ac-Ala, Ac-Met and Ac-Ser.

Subunit:
Interacts with SUV420H1, SUV420H2 and USP4

Subcellular Location:
Nucleus.

Similarity:
Belongs to the retinoblastoma protein (RB) family.

SWISS:
P13798

Gene ID:
327

Database links:

Entrez Gene: 327 Human

Entrez Gene: 235606 Mouse

Entrez Gene: 24206 Rat

GenBank: 33875348 Human

Omim: 102645 Human

SwissProt: P13798 Human

SwissProt: Q8R146 Mouse

SwissProt: P13676 Rat

Unigene: 517969 Human

Unigene: 219639 Mouse

Unigene: 11057 Rat



产品图片
Sample: Lane 1: Mouse Kidney tissue lysates Lane 2: Human U-2 OS cell lysates Primary: Anti-AARE (bs-5983R) at 1/1000 dilution Secondary: IRDye800CW Goat Anti-Rabbit IgG at 1/20000 dilution Predicted band size: 81 kDa Observed band size: 76 kDa
Sample: Hela(Human) Cell Lysate at 30 ug Primary: Anti- AARE (bs-5983R) at 1/1000 dilution Secondary: IRDye800CW Goat Anti-Rabbit IgG at 1/20000 dilution Predicted band size: 81 kD Observed band size: 78 kD
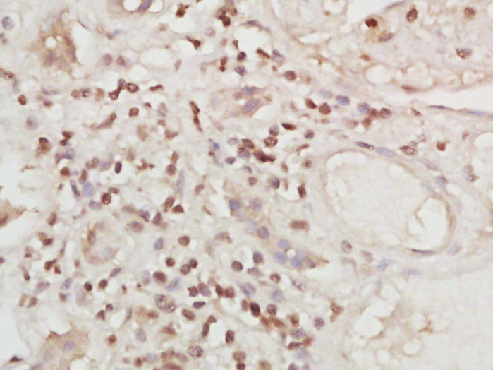
Paraformaldehyde-fixed, paraffin embedded (Human kidney); Antigen retrieval by boiling in sodium citrate buffer (pH6.0) for 15min; Block endogenous peroxidase by 3% hydrogen peroxide for 20 minutes; Blocking buffer (normal goat serum) at 37°C for 30min; Antibody incubation with (AARE) Polyclonal Antibody, Unconjugated (bs-5983R) at 1:400 overnight at 4°C, followed by operating according to SP Kit(Rabbit) (sp-0023) instructionsand DAB staining.
版权所有 2004-2026 www.bioss.com.cn 北京博奥森生物技术有限公司
通过国际质量管理体系ISO 9001:2015 GB/T 19001-2016    证书编号: 00124Q34771R2M/1100
通过国际医疗器械-质量管理体系ISO 13485:2016 GB/T 42061-2022     证书编号: CQC24QY20047R0M/1100
京ICP备05066980号-1         京公网安备110107000727号