扫码关注公众号           扫码咨询技术支持           扫码咨询技术服务
  
客服热线:400-901-9800  客服QQ:4009019800  技术答疑  技术支持  质量反馈  关于我们  联系我们
产品中心-北京博奥森生物技术有限公司
首页 > 产品中心 > 一抗 > 产品信息
CD200 Rabbit pAb (bs-6030R)  
订购热线:400-901-9800
订购邮箱:sales@bioss.com.cn
订购QQ:  400-901-9800
技术支持:techsupport@bioss.com.cn
50ul/1180.00元
100ul/1980.00元
200ul/2800.00元
大包装/询价

产品编号 bs-6030R
英文名称 CD200 Rabbit pAb
中文名称 膜糖蛋白CD200抗体
别    名 CD200 antigen; CD200 molecule; MOX1; MOX2; MRC; MRC OX 2 antigen; My033; OX 2; OX 2 membrane glycoprotein precursor; OX-2 membrane glycoprotein; OX2G; OX2G_HUMAN.  
Specific References  (2)     |     bs-6030R has been referenced in 2 publications.
[IF=2.8] Clark, David A., et al. "The Receptor for the CD200 Tolerance‐Signaling Molecule Associated with Successful Pregnancy is Expressed by Early‐Stage Breast Cancer Cells in 80% of Patients and by Term Placental Trophoblasts." American Journal of Reproductive Immunology 74.5 (2015): 387-391.  IHC-P ;  Human.  
[IF=2.8] Clark, David A., Jorge L. Arredondo, and Sukhbinder Dhesy-Thind. "The CD200 tolerance-signaling molecule and its receptor, CD200R1, are expressed in human placental villus trophoblast and in peri-implant decidua by 5 weeks’ gestation." Journal of Reproductive Immunology 112 (2015): 20-23.  IHC-P ;  Human.  
研究领域 细胞生物  免疫学  细胞表面分子  糖蛋白  淋巴细胞  t-淋巴细胞  
抗体来源 Rabbit
克隆类型 Polyclonal
克 隆 号
交叉反应 Human,Rat (predicted: Mouse)
产品应用 IHC-P=1:100-500,IHC-F=1:100-500,IF=1:100-500
not yet tested in other applications.
optimal dilutions/concentrations should be determined by the end user.
理论分子量 28 kDa
检测分子量 40-50
细胞定位 细胞膜 
性    状 Liquid
浓    度 1mg/ml
免 疫 原 KLH conjugated synthetic peptide derived from human CD200: 41-140/278 <Extracellular>
亚    型 IgG
纯化方法 affinity purified by Protein A
缓 冲 液 0.01M TBS (pH7.4) with 1% BSA, 0.02% Proclin300 and 50% Glycerol.
保存条件 Shipped at 4℃. Store at -20℃ for one year. Avoid repeated freeze/thaw cycles.
注意事项 This product as supplied is intended for research use only, not for use in human, therapeutic or diagnostic applications.
PubMed PubMed
产品介绍 This gene encodes a type I membrane glycoprotein containing two extracellular immunoglobulin domains, a transmembrane and a cytoplasmic domain. This gene is expressed by various cell types, including B cells, a subset of T cells, thymocytes, endothelial cells, and neurons. The encoded protein plays an important role in immunosuppression and regulation of anti-tumor activity. Alternative splicing results in multiple transcript variants encoding different isoforms. [provided by RefSeq, Jan 2016]

Function:
Costimulates T-cell proliferation. May regulate myeloid cell activity in a variety of tissues.

Subunit:
Interacts with CD200R1.

Subcellular Location:
Cell membrane; Single-pass type I membrane protein.

Similarity:
Contains 1 Ig-like C2-type (immunoglobulin-like) domain.
Contains 1 Ig-like V-type (immunoglobulin-like) domain.

SWISS:
P41217

Gene ID:
4345

Database links:

Entrez Gene: 4345 Human

Omim: 155970 Human

SwissProt: P41217 Human

Unigene: 79015 Human



CD200是Ⅰ型膜糖蛋白,为免疫球蛋白超家族的新成员,广泛表达在人类胸腺细胞、B细胞、激活的T细胞、滤泡状树突细胞、神经元及血管内皮上。可表达于B细胞及其增殖性疾病和一部分T细胞。近年来研究发现,CD200与CD200R间的相互作用可以传递抑制性信号减低髓样细胞的活性,改变其迁移。CD200在免疫疾病和抑制排斥反应中作为一种免疫耐受信号,它的一些相关分子在免疫调节中也具有一定的作用。
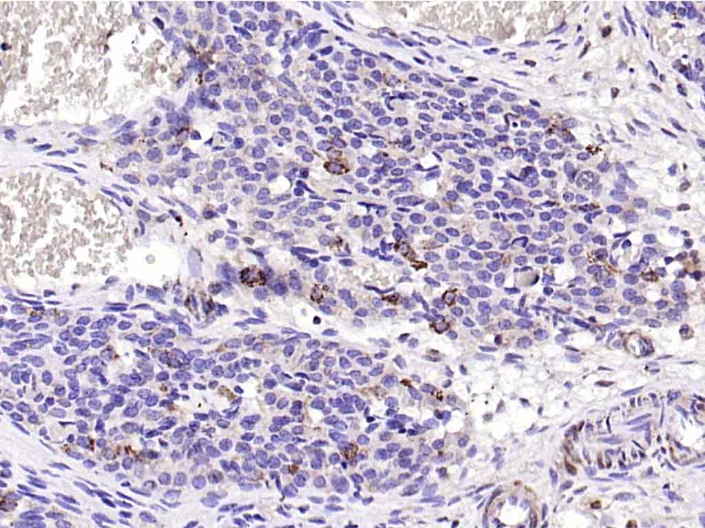
产品图片
Paraformaldehyde-fixed, paraffin embedded (Human colon carcinoma); Antigen retrieval by boiling in sodium citrate buffer (pH6.0) for 15min; Block endogenous peroxidase by 3% hydrogen peroxide for 20 minutes; Blocking buffer (normal goat serum) at 37°C for 30min; Antibody incubation with (CD200) Polyclonal Antibody, Unconjugated (bs-6030R) at 1:400 overnight at 4°C, followed by operating according to SP Kit(Rabbit) (sp-0023) instructionsand DAB staining.
Paraformaldehyde-fixed, paraffin embedded (Human lung carcinoma); Antigen retrieval by boiling in sodium citrate buffer (pH6.0) for 15min; Block endogenous peroxidase by 3% hydrogen peroxide for 20 minutes; Blocking buffer (normal goat serum) at 37°C for 30min; Antibody incubation with (CD200) Polyclonal Antibody, Unconjugated (bs-6030R) at 1:400 overnight at 4°C, followed by operating according to SP Kit(Rabbit) (sp-0023) instructionsand DAB staining.
Paraformaldehyde-fixed, paraffin embedded (rat ovary); Antigen retrieval by boiling in sodium citrate buffer (pH6.0) for 15min; Block endogenous peroxidase by 3% hydrogen peroxide for 20 minutes; Blocking buffer (normal goat serum) at 37°C for 30min; Antibody incubation with (CD200) Polyclonal Antibody, Unconjugated (bs-6030R) at 1:200 overnight at 4°C, followed by operating according to SP Kit(Rabbit) (sp-0023) instructionsand DAB staining.
Tissue/cell: human rectal carcinoma; 4% Paraformaldehyde-fixed and paraffin-embedded; Antigen retrieval: citrate buffer ( 0.01M, pH 6.0 ), Boiling bathing for 15min; Block endogenous peroxidase by 3% Hydrogen peroxide for 30min; Blocking buffer (normal goat serum,C-0005) at 37℃ for 20 min; Incubation: Anti-CD200 Polyclonal Antibody, Unconjugated(bs-6030R) 1:200, overnight at 4°C, followed by conjugation to the secondary antibody(SP-0023) and DAB(C-0010) staining
Tissue/cell: human lung carcinoma; 4% Paraformaldehyde-fixed and paraffin-embedded; Antigen retrieval: citrate buffer ( 0.01M, pH 6.0 ), Boiling bathing for 15min; Block endogenous peroxidase by 3% Hydrogen peroxide for 30min; Blocking buffer (normal goat serum,C-0005) at 37℃ for 20 min; Incubation: Anti-CD200 Polyclonal Antibody, Unconjugated(bs-6030R) 1:200, overnight at 4°C, followed by conjugation to the secondary antibody(SP-0023) and DAB(C-0010) staining
版权所有 2004-2026 www.bioss.com.cn 北京博奥森生物技术有限公司
通过国际质量管理体系ISO 9001:2015 GB/T 19001-2016    证书编号: 00124Q34771R2M/1100
通过国际医疗器械-质量管理体系ISO 13485:2016 GB/T 42061-2022     证书编号: CQC24QY20047R0M/1100
京ICP备05066980号-1         京公网安备110107000727号