扫码关注公众号           扫码咨询技术支持           扫码咨询技术服务
  
客服热线:400-901-9800  客服QQ:4009019800  技术答疑  技术支持  质量反馈  关于我们  联系我们
产品中心-北京博奥森生物技术有限公司
首页 > 产品中心 > 一抗 > 产品信息
MARK4 Rabbit pAb (bs-4659R)  
订购热线:400-901-9800
订购邮箱:sales@bioss.com.cn
订购QQ:  400-901-9800
技术支持:techsupport@bioss.com.cn
50ul/1180.00元
100ul/1980.00元
200ul/2800.00元
大包装/询价

产品编号 bs-4659R
英文名称 MARK4 Rabbit pAb
中文名称 丝氨酸/苏氨酸蛋白激酶MARK4抗体
别    名 MARK 4; MARK-4; MARK 4L; MARK L1; MARK4; MARK4 serine/threonine protein kinase; MARK4 serine/threonine protein kinase; MARK4_HUMAN; MARKL 1; MARKL1; MAP/microtubule affinity regulating kinase 4; MAP/microtubule affinity regulating kinase 4L; MAP/microtubule affinity regulating kinase 4; MAP/microtubule affinity regulating kinase like 1; MAP/microtubule affinity-regulating kinase 4; MAP/microtubule affinity-regulating kinase-like 1; Putative protein product of Nbla00650; FLJ90097; KIAA1860; mKIAA1860.  
Specific References  (1)     |     bs-4659R has been referenced in 1 publications.
[IF=4.26] Sun et al. Attenuation of synaptic toxicity and MARK4/PAR1-mediated Tau phosphorylation by methylene blue for Alzheimer's disease treatment. (2016) Sci.Re. 6:34784  WB ;  fly larvae.  
研究领域 免疫学  信号转导  细胞骨架  
抗体来源 Rabbit
克隆类型 Polyclonal
克 隆 号
交叉反应 Mouse (predicted: Human,Rat,Dog,Horse)
产品应用 IHC-P=1:100-500,IHC-F=1:100-500,IF=1:100-500
not yet tested in other applications.
optimal dilutions/concentrations should be determined by the end user.
理论分子量 75 kDa
检测分子量
细胞定位 细胞浆 
性    状 Liquid
浓    度 1mg/ml
免 疫 原 KLH conjugated synthetic peptide derived from human MARK4.: 501-600/752 
亚    型 IgG
纯化方法 affinity purified by Protein A
缓 冲 液 0.01M TBS (pH7.4) with 1% BSA, 0.02% Proclin300 and 50% Glycerol.
保存条件 Shipped at 4℃. Store at -20℃ for one year. Avoid repeated freeze/thaw cycles.
注意事项 This product as supplied is intended for research use only, not for use in human, therapeutic or diagnostic applications.
PubMed PubMed
产品介绍 This gene encodes a member of the microtubule affinity-regulating kinase family. These protein kinases phosphorylate microtubule-associated proteins and regulate the transition between stable and dynamic microtubules. The encoded protein is associated with the centrosome throughout mitosis and may be involved in cell cycle control. Expression of this gene is a potential marker for cancer, and the encoded protein may also play a role in Alzheimer's disease. Pseudogenes of this gene are located on both the short and long arm of chromosome 3. Alternatively spliced transcript variants encoding multiple isoforms have been observed for this gene. [provided by RefSeq, Dec 2010].

SWISS:
Q96L34

Gene ID:
57787

Database links:

Entrez Gene: 57787 Human

Entrez Gene: 232944 Mouse

Entrez Gene: 680407 Rat

Omim: 606495 Human

SwissProt: Q96L34 Human

SwissProt: Q8CIP4 Mouse

Unigene: 34314 Human

Unigene: 260504 Mouse



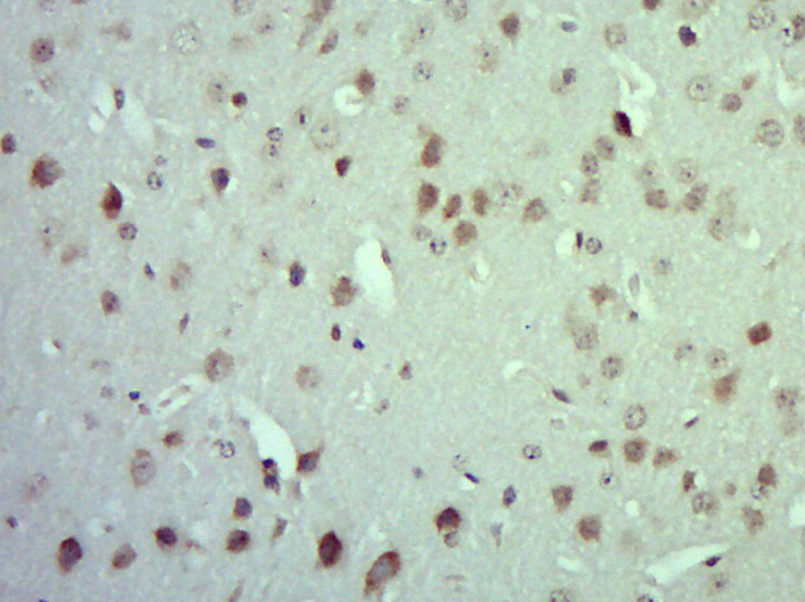
产品图片
Paraformaldehyde-fixed, paraffin embedded (Mouse brain); Antigen retrieval by boiling in sodium citrate buffer (pH6.0) for 15min; Block endogenous peroxidase by 3% hydrogen peroxide for 20 minutes; Blocking buffer (normal goat serum) at 37°C for 30min; Antibody incubation with (MARK4) Polyclonal Antibody, Unconjugated (bs-4659R) at 1:400 overnight at 4°C, followed by operating according to SP Kit(Rabbit) (sp-0023) instructionsand DAB staining.
版权所有 2004-2026 www.bioss.com.cn 北京博奥森生物技术有限公司
通过国际质量管理体系ISO 9001:2015 GB/T 19001-2016    证书编号: 00124Q34771R2M/1100
通过国际医疗器械-质量管理体系ISO 13485:2016 GB/T 42061-2022     证书编号: CQC24QY20047R0M/1100
京ICP备05066980号-1         京公网安备110107000727号