扫码关注公众号           扫码咨询技术支持           扫码咨询技术服务
  
客服热线:400-901-9800  客服QQ:4009019800  技术答疑  技术支持  质量反馈  关于我们  联系我们
产品中心-北京博奥森生物技术有限公司
首页 > 产品中心 > 一抗 > 产品信息
METTL11A Rabbit pAb (bs-6057R)  
订购热线:400-901-9800
订购邮箱:sales@bioss.com.cn
订购QQ:  400-901-9800
技术支持:techsupport@bioss.com.cn
50ul/1180.00元
100ul/1980.00元
200ul/2800.00元
大包装/询价

产品编号 bs-6057R
英文名称 METTL11A Rabbit pAb
中文名称 甲基化样蛋白11抗体(N端)
别    名 Methyltransferase like 11A; Methyltransferase-like protein 11A; Mettl11a; N-terminal RCC1 methyltransferase; NRMT; NTM1A; NTM1A_HUMAN; NTMT1; X-Pro-Lys N-terminal protein methyltransferase 1A; AD 003; alpha N-terminal protein methyltransferase 1A; C9orf32; Chromosome 9 open reading frame 32.  
研究领域 细胞生物  免疫学  细胞周期蛋白  细胞分化  
抗体来源 Rabbit
克隆类型 Polyclonal
克 隆 号
交叉反应 Mouse,Rat (predicted: Human,Pig,Cow,Chicken,Dog,Horse)
产品应用 IHC-P=1:100-500,IHC-F=1:100-500,IF=1:100-500
not yet tested in other applications.
optimal dilutions/concentrations should be determined by the end user.
理论分子量 25 kDa
检测分子量
细胞定位 细胞核 
性    状 Liquid
浓    度 1mg/ml
免 疫 原 KLH conjugated synthetic peptide derived from human METTL11A: 25-130/223 
亚    型 IgG
纯化方法 affinity purified by Protein A
缓 冲 液 0.01M TBS (pH7.4) with 1% BSA, 0.02% Proclin300 and 50% Glycerol.
保存条件 Shipped at 4℃. Store at -20℃ for one year. Avoid repeated freeze/thaw cycles.
注意事项 This product as supplied is intended for research use only, not for use in human, therapeutic or diagnostic applications.
PubMed PubMed
产品介绍 Alpha-N-methyltransferase that methylates the N-terminus of target proteins containing the N-terminal motif [Ala/Pro/Ser]-Pro-Lys when the initiator Met is cleaved. Specifically catalyzes mono-, di- or tri-methylation of exposed alpha-amino group of Ala, Pro or Ser residue in the [Ala/Pro/Ser]-Pro-Lys motif. Mediates the N-terminal methylation of KLHL31, MYL2, MYL3, RB1, RCC1, RPL23A and SET. Required during mitosis for normal bipolar spindle formation and chromosome segregation.

Function:
Alpha-N-methyltransferase that methylates the N-terminus of target proteins containing the N-terminal motif [Ala/Pro/Ser]-Pro-Lys when the initiator Met is cleaved. Specifically catalyzes mono-, di- or tri-methylation of exposed alpha-amino group of Ala or Ser residue in the [Ala/Ser]-Pro-Lys motif and mono- or di-methylation of Pro in the Pro-Pro-Lys motif. Responsible for the N-terminal methylation of KLHL31, MYL2, MYL3, RB1, RCC1, RPL23A and SET. Required during mitosis for normal bipolar spindle formation and chromosome segregation via its action on RCC1.

Subcellular Location:
Nucleus. Note=Predominantly nuclear.

Similarity:
Belongs to the methyltransferase superfamily. NTM1 family.

SWISS:
Q9BV86

Gene ID:
28989

Database links:

Entrez Gene: 28989 Human

Entrez Gene: 66617 Mouse

Entrez Gene: 362103 Rat

Omim: 613560 Human

SwissProt: Q9BV86 Human

SwissProt: Q8R2U4 Mouse

SwissProt: Q5BJX0 Rat

Unigene: 522433 Human

Unigene: 33167 Mouse

Unigene: 12306 Rat



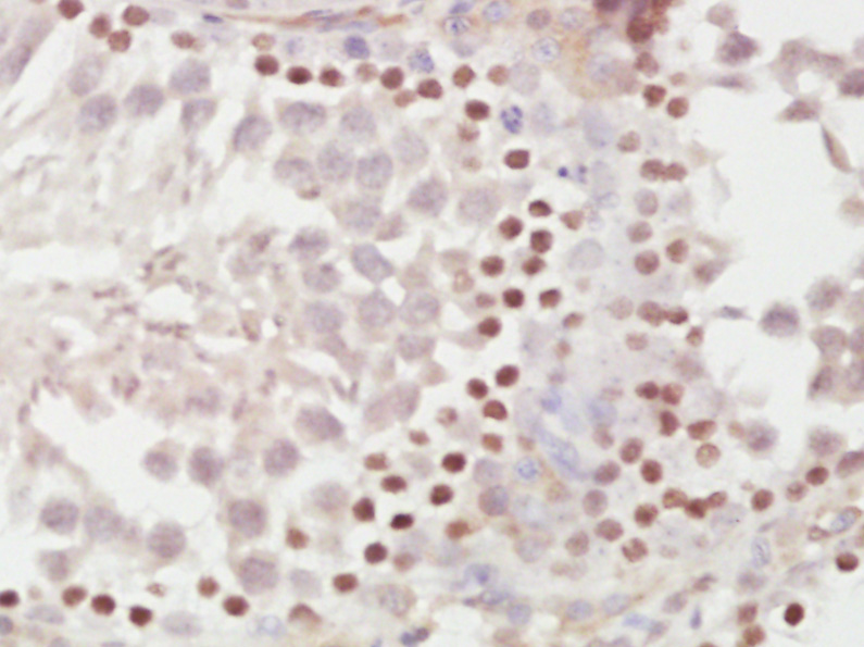
产品图片
Paraformaldehyde-fixed, paraffin embedded (Mouse testis); Antigen retrieval by boiling in sodium citrate buffer (pH6.0) for 15min; Block endogenous peroxidase by 3% hydrogen peroxide for 20 minutes; Blocking buffer (normal goat serum) at 37°C for 30min; Antibody incubation with (METTL11A) Polyclonal Antibody, Unconjugated (bs-6057R) at 1:400 overnight at 4°C, followed by operating according to SP Kit(Rabbit) (sp-0023) instructionsand DAB staining.
Paraformaldehyde-fixed, paraffin embedded (Rat testis); Antigen retrieval by boiling in sodium citrate buffer (pH6.0) for 15min; Block endogenous peroxidase by 3% hydrogen peroxide for 20 minutes; Blocking buffer (normal goat serum) at 37°C for 30min; Antibody incubation with (METTL11A) Polyclonal Antibody, Unconjugated (bs-6057R) at 1:400 overnight at 4°C, followed by operating according to SP Kit(Rabbit) (sp-0023) instructionsand DAB staining.
Paraformaldehyde-fixed, paraffin embedded (rat testis); Antigen retrieval by boiling in sodium citrate buffer (pH6.0) for 30min; Block endogenous peroxidase by 3% hydrogen peroxide for 20 minutes; Blocking buffer (normal goat serum) at 37°C for 30min; Antibody incubation with (METTL11A) Polyclonal Antibody, Unconjugated (bs-6057R) at 1:200 overnight at 4°C, followed by operating according to SP Kit(Rabbit) (sp-0023) instructionsand DAB staining.
Tissue/cell: mouse embryo tissue; 4% Paraformaldehyde-fixed and paraffin-embedded; Antigen retrieval: citrate buffer ( 0.01M, pH 6.0 ), Boiling bathing for 15min; Block endogenous peroxidase by 3% Hydrogen peroxide for 30min; Blocking buffer (normal goat serum,C-0005) at 37℃ for 20 min; Incubation: Anti-METTL11A Polyclonal Antibody, Unconjugated(bs-6057R) 1:200, overnight at 4°C, followed by conjugation to the secondary antibody(SP-0023) and DAB(C-0010) staining
版权所有 2004-2026 www.bioss.com.cn 北京博奥森生物技术有限公司
通过国际质量管理体系ISO 9001:2015 GB/T 19001-2016    证书编号: 00124Q34771R2M/1100
通过国际医疗器械-质量管理体系ISO 13485:2016 GB/T 42061-2022     证书编号: CQC24QY20047R0M/1100
京ICP备05066980号-1         京公网安备110107000727号