扫码关注公众号           扫码咨询技术支持           扫码咨询技术服务
  
客服热线:400-901-9800  客服QQ:4009019800  技术答疑  技术支持  质量反馈  关于我们  联系我们
产品中心-北京博奥森生物技术有限公司
首页 > 产品中心 > 一抗 > 产品信息
NARC1/PCSK9 Rabbit pAb (bs-6060R)  
订购热线:400-901-9800
订购邮箱:sales@bioss.com.cn
订购QQ:  400-901-9800
技术支持:techsupport@bioss.com.cn
50ul/1180.00元
100ul/1980.00元
200ul/2800.00元
大包装/询价

产品编号 bs-6060R
英文名称 NARC1/PCSK9 Rabbit pAb
中文名称 神经细胞凋亡调节转化蛋白1/前蛋白转化酶枯草溶菌素9抗体
别    名 FH3; HCHOLA3; Hypercholesterolemia autosomal dominant 3; NARC 1; NARC-1; NARC1; Neural apoptosis regulated convertase 1; Neural apoptosis-regulated convertase 1; PC 9; PC9; PCSK 9; PCSK9; PCSK9_HUMAN; Proprotein convertase 9; Proprotein convertase PC9; Proprotein convertase subtilisin/kexin type 9; PSEC0052; Subtilisin/kexin like protease PC9; Subtilisin/kexin-like protease PC9.  
Specific References  (7)     |     bs-6060R has been referenced in 7 publications.
[IF=5.34] Wei Zou. et al. Imperatae rhizoma-Hedyotis diffusa Willd. herbal pair alleviates nephrotic syndrome by integrating anti-inflammatory and hypolipidaemic effects. Phytomedicine. 2021 Sep;90:153644  WB ;  Rat.  
[IF=4.38] Zhu, Wenqiang. et al. Metformin Ameliorates Hepatic Steatosis induced by olanzapine through inhibiting LXRα/PCSK9 pathway. SCI REP-UK. Sci Rep-Uk. 2022 Apr;12(1):1-13  IF ;  Human,Mouse.  
[IF=4.01] Su ZL et al. Aloe-emodin exerts cholesterol-lowering effects by inhibiting proprotein convertase subtilisin/kexin type 9 in hyperlipidemic rats. Acta Pharmacol Sin. 2020 Mar 18.  WB ;  rat,human.  
[IF=2.858] R. Yang. et al. Xinnaokang improves cecal microbiota and lipid metabolism to target atherosclerosis. Lett Appl Microbiol. 2021 Dec;73(6):779-792  IHC ;   mice.  
[IF=2.65] Huiming Hu. et al. The Hypolipidemic Effect of Hawthorn Leaf Flavonoids through Modulating Lipid Metabolism and Gut Microbiota in Hyperlipidemic Rats.. EVID-BASED COMPL ALT. 2022 Nov;2022:3033311-3033311  WB ;  Rat.  
[IF=1.55] Jia, Lianqun, et al. "Effects of Tanshinone IIA on the modulation of miR‑33a and the SREBP‑2/Pcsk9 signaling pathway in hyperlipidemic rats." Molecular Medicine Reports (2016).  IHC-P ;  Rat.  
[IF=1.182] Tanaka H et al. Proprotein Convertase Subtilisin/Kexin Type 9 Is Associated with Degenerating Adipocytes in Abdominal Aortic Aneurysm.(2018)J Oleo Sci.Oct 11;67(10):1355-1360.  IF ;  Human.  
研究领域 心血管  细胞生物  免疫学  神经生物学  信号转导  干细胞  细胞凋亡  转录调节因子  
抗体来源 Rabbit
克隆类型 Polyclonal
克 隆 号
交叉反应 Human,Mouse,Rat
产品应用 WB=1:500-2000,IHC-P=1:100-500,IHC-F=1:100-500,IF=1:100-500,Flow-Cyt=2ug/Test,ICC/IF=1:100-500
not yet tested in other applications.
optimal dilutions/concentrations should be determined by the end user.
理论分子量 57 kDa
检测分子量
细胞定位 分泌型蛋白 
性    状 Liquid
浓    度 1mg/ml
免 疫 原 KLH conjugated synthetic peptide derived from human PCSK9/NARC1: 231-330/692 
亚    型 IgG
纯化方法 affinity purified by Protein A
缓 冲 液 0.01M TBS (pH7.4) with 1% BSA, 0.02% Proclin300 and 50% Glycerol.
保存条件 Shipped at 4℃. Store at -20℃ for one year. Avoid repeated freeze/thaw cycles.
注意事项 This product as supplied is intended for research use only, not for use in human, therapeutic or diagnostic applications.
PubMed PubMed
产品介绍 May be implicated in the differentiation of cortical neurons and may play a role in cholesterol homeostasis.

Function:
The precursor protein but not the mature protein may form multimers.

Subunit:
The precursor protein but not the mature protein may form multimers.

Subcellular Location:
Secreted.

Tissue Specificity:
Expressed in neuro-epithelioma, colon carcinoma, hepatic and pancreatic cell lines, and in Schwann cells.

Post-translational modifications:
The soluble zymogen undergoes autocatalytic intramolecular processing in the endoplasmic reticulum, resulting in the cleavage of its propeptide that remains associated with the secreted enzyme.

Similarity:
Belongs to the peptidase S8 family.
Contains 1 peptidase S8 domain.

SWISS:
Q8NBP7

Gene ID:
255738

Database links:

Entrez Gene: 255738 Human

Entrez Gene: 100102 Mouse

Entrez Gene: 298296 Rat

Omim: 607786 Human

SwissProt: Q8NBP7 Human

SwissProt: Q80W65 Mouse

SwissProt: P59996 Rat

Unigene: 18844 Human

Unigene: 133268 Mouse

Unigene: 19195 Rat



前蛋白转化酶枯草溶菌素9(PCSK9)是近年来新发现的一种与调节脂质代谢密切相关的基因,编码前蛋白转化酶NARC-1。Narc-1/pcsk9可通过调节细胞表面的低密度脂蛋白受体(LDLR)水平,参与脂质代谢,从而在动脉粥样硬化性疾病的发生、发展中发挥重要作用。
产品图片
Sample: Lane 1: Recombinant human PCSK9 protein, C-His (HEK293)( bs-43105P) Primary: Anti-NARC1/PCSK9 (bs-6060R) at 1/1000 dilution Secondary: IRDye800CW Goat Anti-Rabbit IgG at 1/20000 dilution Predicted band size: 57 kDa Observed band size: 63 kDa
Sample: Lane 1:A431(Human) Cell Lysate at 30 ug Lane 2:Uterus (Mouse) Lysate at 40 ug Primary: Anti- NARC1/PCSK9 (bs-6060R) at 1/1000 dilution Secondary: IRDye800CW Goat Anti-Rabbit IgG at 1/20000 dilution Predicted band size: 72 kD Observed band size: 70 kD
Sample: Lane 1: HepG2(Human) Cell Lysate at 30 ug Lane 2: SW480(Human) Cell Lysate at 30 ug Primary: Anti- NARC1/PCSK9 (bs-6060R) at 1/1000 dilution Secondary: IRDye800CW Goat Anti-Rabbit IgG at 1/20000 dilution Predicted band size: 72 kD Observed band size: 70 kD
Paraformaldehyde-fixed, paraffin embedded (mouse cerebellum); Antigen retrieval by boiling in sodium citrate buffer (pH6.0) for 15min; Block endogenous peroxidase by 3% hydrogen peroxide for 20 minutes; Blocking buffer (normal goat serum) at 37°C for 30min; Antibody incubation with (NARC1/PCSK9) Polyclonal Antibody, Unconjugated (bs-6060R) at 1:200 overnight at 4°C, followed by operating according to SP Kit(Rabbit) (sp-0023) instructionsand DAB staining.
Paraformaldehyde-fixed, paraffin embedded (Mouse brain); Antigen retrieval by boiling in sodium citrate buffer (pH6.0) for 15min; Block endogenous peroxidase by 3% hydrogen peroxide for 20 minutes; Blocking buffer (normal goat serum) at 37°C for 30min; Antibody incubation with (NARC1 PCSK9) Polyclonal Antibody, Unconjugated (bs-6060R) at 1:400 overnight at 4°C, followed by operating according to SP Kit(Rabbit) (sp-0023) instructionsand DAB staining.
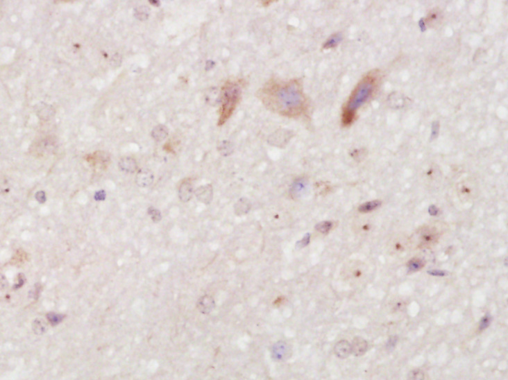
Paraformaldehyde-fixed, paraffin embedded (Rat brain); Antigen retrieval by boiling in sodium citrate buffer (pH6.0) for 15min; Block endogenous peroxidase by 3% hydrogen peroxide for 20 minutes; Blocking buffer (normal goat serum) at 37°C for 30min; Antibody incubation with (NARC1 PCSK9) Polyclonal Antibody, Unconjugated (bs-6060R) at 1:400 overnight at 4°C, followed by operating according to SP Kit(Rabbit) (sp-0023) instructionsand DAB staining.
A431 cell; 4% Paraformaldehyde-fixed; Triton X-100 at room temperature for 20 min; Blocking buffer (normal goat serum, C-0005) at 37°C for 20 min; Antibody incubation with (NARC1/PCSK9) polyclonal Antibody, Unconjugated (bs-6060R) 1:100, 90 minutes at 37°C; followed by a conjugated Goat Anti-Rabbit IgG antibody at 37°C for 90 minutes, DAPI (blue, C02-04002) was used to stain the cell nuclei.
Blank control: K562. Primary Antibody (green line): Rabbit Anti-NARC1/PCSK9 antibody (bs-6060R) Dilution: 2μg /10^6 cells; Isotype Control Antibody (orange line): Rabbit IgG . Secondary Antibody : Goat anti-rabbit IgG-FITC Dilution: 0.5μg /test. Protocol The cells were fixed with 4% PFA (10min at room temperature)and then permeabilized with 90% ice-cold methanol for 20 min at -20℃. The cells were then incubated in 5%BSA to block non-specific protein-protein interactions for 30 min at room temperature .Cells stained with Primary Antibody for 30 min at room temperature. The secondary antibody used for 40 min at room temperature. Acquisition of 20,000 events was performed.
版权所有 2004-2026 www.bioss.com.cn 北京博奥森生物技术有限公司
通过国际质量管理体系ISO 9001:2015 GB/T 19001-2016    证书编号: 00124Q34771R2M/1100
通过国际医疗器械-质量管理体系ISO 13485:2016 GB/T 42061-2022     证书编号: CQC24QY20047R0M/1100
京ICP备05066980号-1         京公网安备110107000727号