扫码关注公众号           扫码咨询技术支持           扫码咨询技术服务
  
客服热线:400-901-9800  客服QQ:4009019800  技术答疑  技术支持  质量反馈  人才招聘  关于我们  联系我们
产品中心-北京博奥森生物技术有限公司
首页 > 产品中心 > 一抗 > 产品信息
CAMKK2 Rabbit pAb (bs-6253R)  
订购热线:400-901-9800
订购邮箱:sales@bioss.com.cn
订购QQ:  400-901-9800
技术支持:techsupport@bioss.com.cn
50ul/1180.00元
100ul/1980.00元
200ul/2800.00元
大包装/询价

产品编号 bs-6253R
英文名称 CAMKK2 Rabbit pAb
中文名称 钙调蛋白激酶激酶β抗体
别    名 CAMKK; CAMKKB; KKCC2_HUMAN; CAMKK2; CaM-KK 2; CaM-kinase kinase 2; CaMKK 2; Calcium/calmodulin-dependent protein kinase kinase beta (CaM-KK beta | CaM-kinase kinase beta | CaMKK beta); 2.7.11.17; KIAA0787; calcium/calmodulin dependent protein kinase kinase 2; calcium/calmodulin-dependent protein kinase kinase 2, beta; calcium/calmodulin-dependent protein kinase kinase beta  
Specific References  (11)     |     bs-6253R has been referenced in 11 publications.
[IF=7.129] Xing Guo. et al. Microcystin leucine arginine induces human sperm damage: Involvement of the Ca2+/CaMKKβ/AMPK pathway. ECOTOX ENVIRON SAFE. 2023 May;256:114845  WB ;  Human.  
[IF=6.59] Yuge Jiang. et al. Eugenol improves high-fat diet/streptomycin-induced type 2 diabetes mellitus (T2DM) mice muscle dysfunction by alleviating inflammation and increasing muscle glucose uptake.. FRONT NUTR. 2022 Nov;9:1039753-1039753  WB ;  Mouse.  
[IF=5.23] Zhao, Yong, et al. "Hydrogen Sulfide and/or Ammonia Reduces Spermatozoa Motility through AMPK/AKT Related Pathways." Scientific Reports 6 (2016): 37884.  WB ;  Pig.  
[IF=4.831] Zhang Q et al. CTRP13 attenuates the expression of LN and CAV-1 Induced by high glucose via CaMKKβ/AMPK pathway in rLSECs. Aging (Albany NY). 2020 Jun 17;12(12):11485-11499.  WB ;  Rat.  
[IF=4.2] Zhang, Weidong, et al. "Decrease in male mouse fertility by hydrogen sulfide and/or ammonia can Be inheritable." Chemosphere (2017).  IHC-P ;  Mouse.  
[IF=3.85] Wang, Yandi, et al. "Regulation of steroid hormones and energy status with cysteamine and its effect on spermatogenesis." Toxicology and Applied Pharmacology 313 (2016): 149-158.  WB ;  Sheep.  
[IF=3.352] Zuodong Chen. et al. Oxidative stress induced by hydrogen peroxide promotes glycolysis by activating CaMKK/LKB1/AMPK pathway in broiler breast muscle. Poultry Sci. 2021 Dec;:101681  WB ;  Chicken.  
[IF=2.299] Yang WR et al. Oxidative stress mediates heat-induced changes of tight junction proteins in porcine Sertoli cells via inhibiting CaMKKβ-AMPK pathway. Theriogenology. 2019 Sep 19;142:104-113.  WB ;  Piglet.  
[IF=2.136] Yang WR et al. Role of AMPK in the expression of tight junction proteins in heat-treated porcine Sertoli cells. Theriogenology. 2018 Nov;121:42-52.  WB ;  piglet.  
[IF=2.136] Yang WR et al. Role of AMPK in the expression of tight junction proteins in heat-treated porcine Sertoli cells. Theriogenology. 2018 Nov;121:42-52.  WB ;  piglet.  
[IF=1.832] Yao C et al. Data Mining and Validation of AMPK Pathway as a Novel Candidate Role Affecting Intramuscular Fat Content in Pigs. Animals (Basel). 2019 Apr 1;9(4). pii: E137.  WB ;  Pig.  
研究领域 肿瘤  信号转导  转录调节因子  激酶和磷酸酶  
抗体来源 Rabbit
克隆类型 Polyclonal
交叉反应 Human,Rat (predicted: Mouse,Pig,Sheep,Cow,Horse)
产品应用 WB=1:500-2000,IHC-P=1:100-500,IHC-F=1:100-500,IF=1:100-500,Flow-Cyt=1ug/Test
not yet tested in other applications.
optimal dilutions/concentrations should be determined by the end user.
理论分子量 55kDa
检测分子量 70
细胞定位 细胞核 
性    状 Liquid
浓    度 1mg/ml
免 疫 原 KLH conjugated synthetic peptide derived from human CAMKK2: 501-588/588 
亚    型 IgG
纯化方法 affinity purified by Protein A
缓 冲 液 0.01M TBS (pH7.4) with 1% BSA, 0.02% Proclin300 and 50% Glycerol.
保存条件 Shipped at 4℃. Store at -20℃ for one year. Avoid repeated freeze/thaw cycles.
注意事项 This product as supplied is intended for research use only, not for use in human, therapeutic or diagnostic applications.
PubMed PubMed
产品介绍 The product of this gene belongs to the Serine/Threonine protein kinase family, and to the Ca(2+)/calmodulin-dependent protein kinase subfamily. This protein plays a role in the calcium/calmodulin-dependent (CaM) kinase cascade by phosphorylating the downstream kinases CaMK1 and CaMK4. Seven transcript variants encoding six distinct isoforms have been identified for this gene. Additional splice variants have been described but their full-length nature has not been determined. The identified isoforms exhibit a distinct ability to undergo autophosphorylation and to phosphorylate the downstream kinases. [provided by RefSeq, Jul 2008].

Function:
Calcium/calmodulin-dependent protein kinase belonging to a proposed calcium-triggered signaling cascade involved in a number of cellular processes. Isoform 1, isoform 2 and isoform 3 phosphorylate CAMK1 and CAMK4. Isoform 3 phosphorylates CAMK1D. Isoform 4, isoform 5 and isoform 6 lacking part of the calmodulin-binding domain are inactive. Efficiently phosphorylates 5'-AMP-activated protein kinase (AMPK) trimer, including that consisting of PRKAA1, PRKAB1 and PRKAG1. This phosphorylation is stimulated in response to Ca(2+) signals (By similarity). Seems to be involved in hippocampal activation of CREB1 (By similarity). May play a role in neurite growth. Isoform 3 may promote neurite elongation, while isoform 1 may promoter neurite branching.

Subunit:
Interacts with calmodulin.

Subcellular Location:
Nucleus. Cytoplasm. Cell projection. Note=Predominantly nuclear in unstimulated cells. Found in the cytoplasm and neurites after forskolin induction.

Tissue Specificity:
Ubiquitously expressed with higher levels in the brain. Intermediate levels are detected in spleen, prostate, thyroid and leukocytes. The lowest level is in lung.

Post-translational modifications:
Autophosphorylated and phosphorylated by PKA. Each isoform may show a different pattern of phosphorylation.

Similarity:
Belongs to the protein kinase superfamily. Ser/Thr protein kinase family.
Contains 1 protein kinase domain.

SWISS:
Q96RR4

Gene ID:
10645

Database links:

Entrez Gene: 10645 Human

Entrez Gene: 83506 Rat

Omim: 615002 Human

SwissProt: Q96RR4 Human

SwissProt: O88831 Rat

Unigene: 297343 Human

Unigene: 88589 Rat



产品图片
Sample: Lane 1: Human Jurkat cell lysates Lane 2: Human MOLT4 cell lysates Lane 3: Human HepG2 cell lysates Primary: Anti-CAMKK2 (bs-6253R) at 1/1000 dilution Secondary: IRDye800CW Goat Anti-Rabbit IgG at 1/20000 dilution Predicted band size: 55 kDa Observed band size: 70 kDa
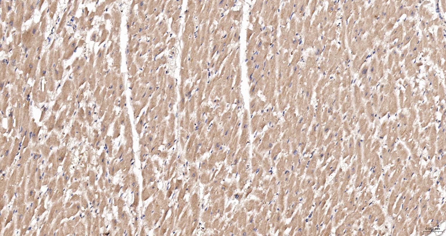
Paraformaldehyde-fixed, paraffin embedded Human Heart; Antigen retrieval by boiling in sodium citrate buffer (pH6.0) for 15 min; The section was incubated with CAMKK2 Polyclonal Antibody, Unconjugated (bs-6253R) at 1:200 overnight at 4°C, followed by conjugation to the bs-0295G-HRP and DAB (C-0010) staining.
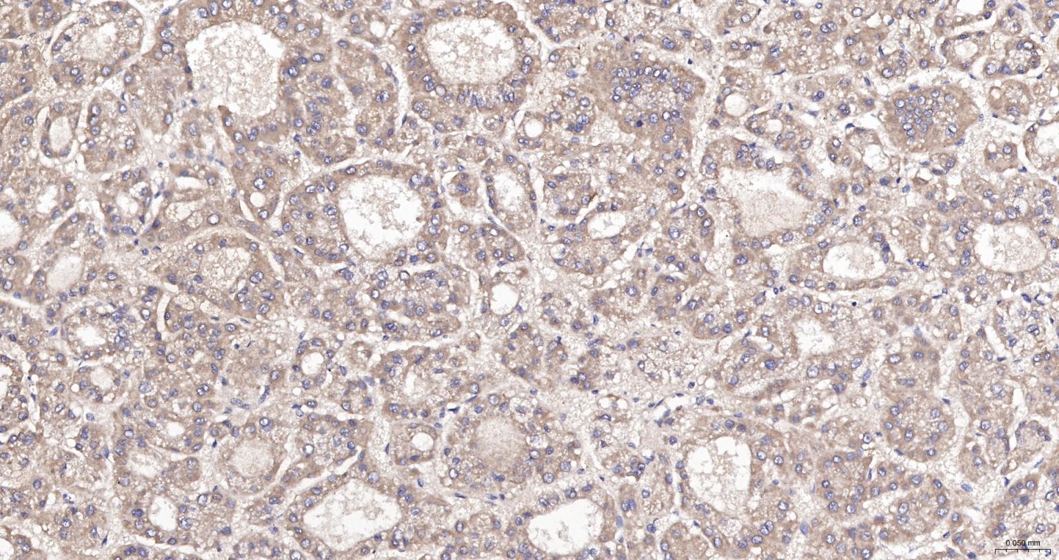
Paraformaldehyde-fixed, paraffin embedded Human Liver Cancer; Antigen retrieval by boiling in sodium citrate buffer (pH6.0) for 15 min; The section was incubated with CAMKK2 Polyclonal Antibody, Unconjugated (bs-6253R) at 1:200 overnight at 4°C, followed by conjugation to the bs-0295G-HRP and DAB (C-0010) staining.
Paraformaldehyde-fixed, paraffin embedded (Rat brain); Antigen retrieval by microwave in sodium citrate buffer (pH6.0) ; Block endogenous peroxidase by 3% hydrogen peroxide for 30 minutes; Blocking buffer (3% BSA) at RT for 30min; Antibody incubation with (CAMKK2) Polyclonal Antibody, Unconjugated (bs-6253R) at 1:400 overnight at 4°C, followed by conjugation to the secondary antibody (labeled with HRP)and DAB staining.
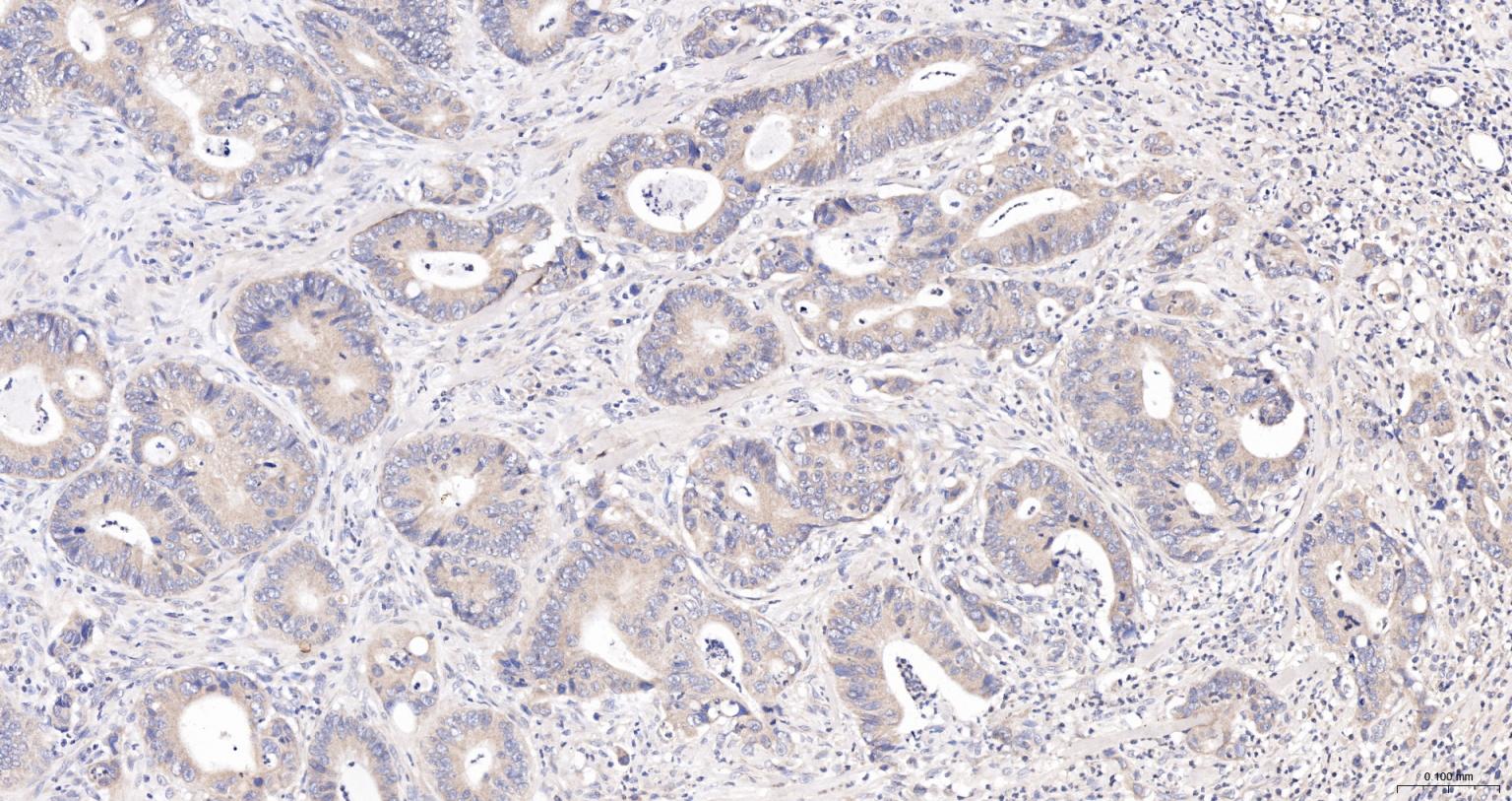
Paraformaldehyde-fixed, paraffin embedded Human Colon Cancer; Antigen retrieval by boiling in sodium citrate buffer (pH6.0) for 15 min; The section was incubated with CAMKK2 Polyclonal Antibody, Unconjugated (bs-6253R) at 1:200 overnight at 4°C, followed by conjugation to the bs-0295G-HRP and DAB (C-0010) staining.
Paraformaldehyde-fixed, paraffin embedded Human Liver; Antigen retrieval by boiling in sodium citrate buffer (pH6.0) for 15 min; The section was incubated with CAMKK2 Polyclonal Antibody, Unconjugated (bs-6253R) at 1:200 overnight at 4°C. Followed by conjugated Goat Anti-Rabbit IgG antibody (Red, bs-0295G-BF594), DAPI (blue, C02-04002) was used to stain the cell nuclei.
Paraformaldehyde-fixed, paraffin embedded Rat Cerebrum; Antigen retrieval by boiling in sodium citrate buffer (pH6.0) for 15 min; The section was incubated with CAMKK2 Polyclonal Antibody, Unconjugated (bs-6253R) at 1:200 overnight at 4°C. Followed by conjugated Goat Anti-Rabbit IgG antibody (Red, bs-0295G-BF594), DAPI (blue, C02-04002) was used to stain the cell nuclei.
Molt-4 cells were fixed with 4% PFA for 10min at room temperature,permeabilized with 0.1% PBST for 20 min at room temperature, and incubated in 5% BSA blocking buffer for 30 min at room temperature. Cells were then stained with CAMKK2 Antibody(bs-6253R)at 1:100 dilution in blocking buffer and incubated for 30 min at room temperature, washed twice with 2%BSA in PBS, followed by secondary antibody incubation for 40 min at room temperature. Acquisitions of 20,000 events were performed. Cells stained with primary antibody (green), and isotype control (orange).
Blank control (Black line): Molt4 (Black). Primary Antibody (green line):Rabbit Anti-CAMKK2 antibody (bs-6253R) Dilution: 1μg /10^6 cells; Isotype Control Antibody (orange line): Rabbit IgG . Secondary Antibody (white blue line): Goat anti-rabbit IgG-AF647 Dilution: 1μg /test. Protocol The cells were fixed with 4% PFA (10min at room temperature)and then permeabilized with PBST for 20 min at room temperature. The cells were then incubated in 5%BSA to block non-specific protein-protein interactions for 30 min at room temperature .Cells stained with Primary Antibody for 30 min at room temperature. The secondary antibody used for 40 min at room temperature. Acquisition of 20,000 events was performed.
版权所有 2004-2026 www.bioss.com.cn 北京博奥森生物技术有限公司
通过国际质量管理体系ISO 9001:2015 GB/T 19001-2016    证书编号: 00124Q34771R2M/1100
通过国际医疗器械-质量管理体系ISO 13485:2016 GB/T 42061-2022     证书编号: CQC24QY20047R0M/1100
京ICP备05066980号-1         京公网安备110107000727号