扫码关注公众号           扫码咨询技术支持           扫码咨询技术服务
  
客服热线:400-901-9800  客服QQ:4009019800  技术答疑  技术支持  质量反馈  关于我们  联系我们
产品中心-北京博奥森生物技术有限公司
首页 > 产品中心 > 一抗 > 产品信息
CKAP4 Rabbit pAb (bs-6520R)  
订购热线:400-901-9800
订购邮箱:sales@bioss.com.cn
订购QQ:  400-901-9800
技术支持:techsupport@bioss.com.cn
50ul/1180.00元
100ul/1980.00元
200ul/2800.00元
大包装/询价

产品编号 bs-6520R
英文名称 CKAP4 Rabbit pAb
中文名称 细胞骨架相关蛋白4抗体
别    名 p63; 63 kDa membrane protein; CKAP 4; CLIMP 63; CLIMP63; Cytoskeleton associated protein 4; ERGIC 63; ERGIC63; MGC99554; Transmembrane protein 63kD endoplasmic reticulum Golgi intermediate compartment; Type II transmembrane protein p63; CKAP4_HUMAN.  
研究领域 肿瘤  细胞生物  免疫学  肿瘤细胞生物标志物  
抗体来源 Rabbit
克隆类型 Polyclonal
克 隆 号
交叉反应 Human,Rat (predicted: Mouse,Pig,Cow,Chicken)
产品应用 IHC-P=1:100-500,IHC-F=1:100-500,IF=1:100-500,Flow-Cyt=1ug/Test
not yet tested in other applications.
optimal dilutions/concentrations should be determined by the end user.
理论分子量 66 kDa
检测分子量
细胞定位 细胞浆 细胞膜 
性    状 Liquid
浓    度 1mg/ml
免 疫 原 KLH conjugated synthetic peptide derived from human CKAP4: 525-602/602 <Extracellular>
亚    型
纯化方法 affinity purified by Protein A
缓 冲 液 0.01M TBS (pH7.4) with 1% BSA, 0.02% Proclin300 and 50% Glycerol.
保存条件 Shipped at 4℃. Store at -20℃ for one year. Avoid repeated freeze/thaw cycles.
注意事项 This product as supplied is intended for research use only, not for use in human, therapeutic or diagnostic applications.
PubMed PubMed
产品介绍 CKAP4 is a substrate of DHHC2, a putative tumor suppressor. CK MNF116 and CKAP4 were useful in identifying squamous cell carcinomas with single cell infiltration. These results suggest a role for CKAP4 in tumor.

Function:
High-affinity epithelial cell surface receptor for APF.
Mediates the anchoring of the endoplasmic reticulum to microtubules.

Subcellular Location:
Endoplasmic reticulum membrane; Single-pass type II membrane protein. Cell membrane; Single-pass type II membrane protein. Cytoplasm, cytoskeleton. Cytoplasm, perinuclear region. Note=Translocates to the perinuclear region upon APF-stimulation.

Post-translational modifications:
Reversibly palmitoylated. Palmitoylation at Cys-100 by DHHC2 is required for its trafficking from the ER to the plasma membrane and for its perinuclear localization.
Increased phosphorylation during mitosis prevents binding to microtubules.

SWISS:
Q07065

Gene ID:
10970

Database links:

Entrez Gene: 10970 Human

Entrez Gene: 216197 Mouse

Entrez Gene: 362859 Rat

SwissProt: Q07065 Human

SwissProt: Q8BMK4 Mouse

Unigene: 74368 Human

Unigene: 334999 Mouse

Unigene: 99508 Rat



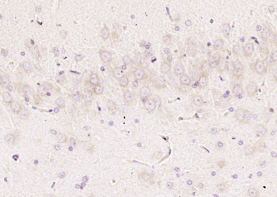
产品图片
Paraformaldehyde-fixed, paraffin embedded (rat brain); Antigen retrieval by boiling in sodium citrate buffer (pH6.0) for 15min; Block endogenous peroxidase by 3% hydrogen peroxide for 20 minutes; Blocking buffer (normal goat serum) at 37°C for 30min; Antibody incubation with (CKAP4) Polyclonal Antibody, Unconjugated (bs-6520R) at 1:200 overnight at 4°C, followed by operating according to SP Kit(Rabbit) (sp-0023) instructionsand DAB staining.
Tissue/cell: rat brain tissue; 4% Paraformaldehyde-fixed and paraffin-embedded; Antigen retrieval: citrate buffer ( 0.01M, pH 6.0 ), Boiling bathing for 15min; Block endogenous peroxidase by 3% Hydrogen peroxide for 30min; Blocking buffer (normal goat serum,C-0005) at 37℃ for 20 min; Incubation: Anti-CKAP4 Polyclonal Antibody, Unconjugated(bs-6520R) 1:200, overnight at 4°C, followed by conjugation to the secondary antibody(SP-0023) and DAB(C-0010) staining
Blank control(blue): Hela Cells(fixed with 2% paraformaldehyde (10 min) and then permeabilized with ice-cold 90% methanol for 30 min on ice). Primary Antibody: Rabbit Anti- CKAP4/AF647 Conjugated antibody (bs-6520R-AF647), Dilution: 1μg in 100 μL 1X PBS containing 0.5% BSA; Isotype Control Antibody: Rabbit IgG/FITC(orange) ,used under the same conditions.
版权所有 2004-2026 www.bioss.com.cn 北京博奥森生物技术有限公司
通过国际质量管理体系ISO 9001:2015 GB/T 19001-2016    证书编号: 00124Q34771R2M/1100
通过国际医疗器械-质量管理体系ISO 13485:2016 GB/T 42061-2022     证书编号: CQC24QY20047R0M/1100
京ICP备05066980号-1         京公网安备110107000727号