扫码关注公众号           扫码咨询技术支持           扫码咨询技术服务
  
客服热线:400-901-9800  客服QQ:4009019800  技术答疑  技术支持  质量反馈  关于我们  联系我们
产品中心-北京博奥森生物技术有限公司
首页 > 产品中心 > 一抗 > 产品信息
EZH1 Rabbit pAb (bs-6528R)  
订购热线:400-901-9800
订购邮箱:sales@bioss.com.cn
订购QQ:  400-901-9800
技术支持:techsupport@bioss.com.cn
50ul/1180.00元
100ul/1980.00元
200ul/2800.00元
大包装/询价

产品编号 bs-6528R
英文名称 EZH1 Rabbit pAb
中文名称 组蛋白赖氨酸N-甲基EZH1抗体
别    名 Enhancer of zeste homolog 1(Drosophila); Enhancer of zeste homolog 1; ENX-2; ENX2; EZH1; EZH1: enhancer of zeste homolog 1(Drosophila); EZH1_HUMAN; Histone-lysine N-methyltransferase EZH1; KIAA0388.  
研究领域 肿瘤  染色质和核信号  肿瘤细胞生物标志物  表观遗传学  
抗体来源 Rabbit
克隆类型 Polyclonal
克 隆 号
交叉反应 Human,Mouse,Rat (predicted: Rabbit,Pig,Cow,Chicken,Dog,GuineaPig)
产品应用 IHC-P=1:100-500,IHC-F=1:100-500,IF=1:100-500,Flow-Cyt=2ug/Test
not yet tested in other applications.
optimal dilutions/concentrations should be determined by the end user.
理论分子量 85 kDa
检测分子量
细胞定位 细胞核 
性    状 Liquid
浓    度 1mg/ml
免 疫 原 KLH conjugated synthetic peptide derived from human EZH1: 471-510/747 
亚    型
纯化方法 affinity purified by Protein A
缓 冲 液 0.01M TBS (pH7.4) with 1% BSA, 0.02% Proclin300 and 50% Glycerol.
保存条件 Shipped at 4℃. Store at -20℃ for one year. Avoid repeated freeze/thaw cycles.
注意事项 This product as supplied is intended for research use only, not for use in human, therapeutic or diagnostic applications.
PubMed PubMed
产品介绍 Polycomb group (PcG) protein. Catalytic subunit of the PRC2/EED-EZH1 complex, which methylates 'Lys-27' of histone H3, leading to transcriptional repression of the affected target gene. Able to mono-, di- and trimethylate 'Lys-27' of histone H3 to form H3K27me1, H3K27me2 and H3K27me3, respectively. Required for embryonic stem cell derivation and self-renewal, suggesting that it is involved in safeguarding embryonic stem cell identity. Compared to EZH1-containing complexes, it is less abundant in embryonic stem cells, has weak methyltransferase activity and plays a less critical role in forming H3K27me3, which is required for embryonic stem cell identity and proper differentiation.
Sequence similarities
Belongs to the histone-lysine methyltransferase family. EZ subfamily. Contains 1 SET domain.

Function:
Polycomb group (PcG) protein. Catalytic subunit of the PRC2/EED-EZH1 complex, which methylates 'Lys-27' of histone H3, leading to transcriptional repression of the affected target gene. Able to mono-, di- and trimethylate 'Lys-27' of histone H3 to form H3K27me1, H3K27me2 and H3K27me3, respectively. Required for embryonic stem cell derivation and self-renewal, suggesting that it is involved in safeguarding embryonic stem cell identity. Compared to EZH1-containing complexes, it is less abundant in embryonic stem cells, has weak methyltransferase activity and plays a less critical role in forming H3K27me3, which is required for embryonic stem cell identity and proper differentiation.

Subunit:
Component of the PRC2/EED-EZH1 complex, which includes EED, EZH1, SUZ12, RBBP4 and AEBP2. The PRC2/EED-EZH1 is less abundant than the PRC2/EED-EZH2 complex, has weak methyltransferase activity and compacts chromatin in the absence of the methyltransferase cofactor S-adenosyl-L-methionine (SAM).

Subcellular Location:
Nucleus. Note=Colocalizes with trimethylated 'Lys-27' of histone H3.

Similarity:
Belongs to the histone-lysine methyltransferase family. EZ subfamily.
Contains 1 CXC domain.
Contains 1 SET domain.

SWISS:
Q92800

Gene ID:
2145

Database links:

Entrez Gene: 2145 Human

Entrez Gene: 14055 Mouse

Entrez Gene: 303547 Rat

Omim: 601674 Human

SwissProt: Q92800 Human

SwissProt: P70351 Mouse

Unigene: 194669 Human

Unigene: 5027 Mouse

Unigene: 154549 Rat



产品图片
Paraformaldehyde-fixed, paraffin embedded (Mouse brain); Antigen retrieval by boiling in sodium citrate buffer (pH6.0) for 15min; Block endogenous peroxidase by 3% hydrogen peroxide for 20 minutes; Blocking buffer (normal goat serum) at 37°C for 30min; Antibody incubation with (EZH1) Polyclonal Antibody, Unconjugated (bs-6528R) at 1:400 overnight at 4°C, followed by operating according to SP Kit(Rabbit) (sp-0023) instructionsand DAB staining.
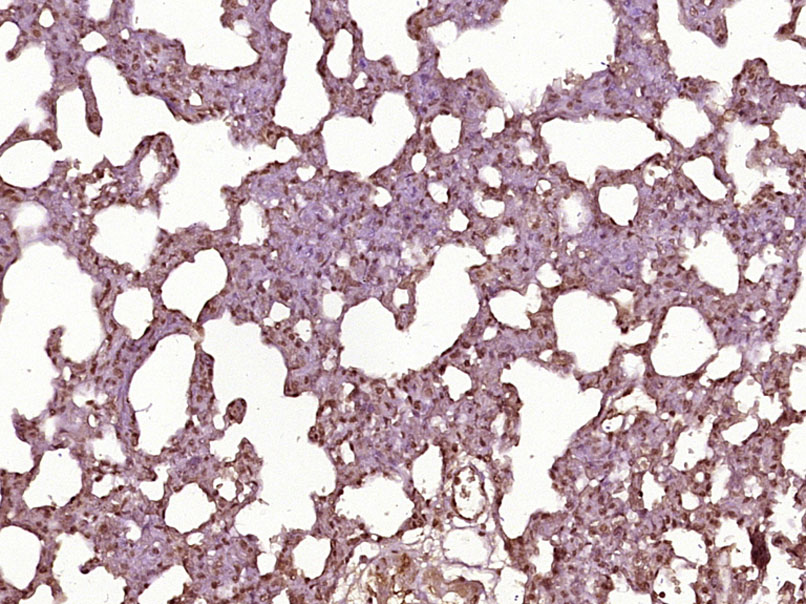
Paraformaldehyde-fixed, paraffin embedded (Rat lung); Antigen retrieval by boiling in sodium citrate buffer (pH6.0) for 15min; Block endogenous peroxidase by 3% hydrogen peroxide for 20 minutes; Blocking buffer (normal goat serum) at 37°C for 30min; Antibody incubation with (EZH1) Polyclonal Antibody, Unconjugated (bs-6528R) at 1:400 overnight at 4°C, followed by operating according to SP Kit(Rabbit) (sp-0023) instructionsand DAB staining.
Blank control:Molt4. Primary Antibody (green line): Rabbit Anti-EZH1 antibody (bs-6528R) Dilution: 2μg /10^6 cells; Isotype Control Antibody (orange line): Rabbit IgG . Secondary Antibody : Goat anti-rabbit IgG-APC Dilution: 1μg /test. Protocol The cells were fixed with 4% PFA (10min at room temperature)and then permeabilized with 90% ice-cold methanol for 20 min at-20℃. The cells were then incubated in 5%BSA to block non-specific protein-protein interactions for 30 min at room temperature .Cells stained with Primary Antibody for 30 min at room temperature. The secondary antibody used for 40 min at room temperature. Acquisition of 20,000 events was performed.
版权所有 2004-2026 www.bioss.com.cn 北京博奥森生物技术有限公司
通过国际质量管理体系ISO 9001:2015 GB/T 19001-2016    证书编号: 00124Q34771R2M/1100
通过国际医疗器械-质量管理体系ISO 13485:2016 GB/T 42061-2022     证书编号: CQC24QY20047R0M/1100
京ICP备05066980号-1         京公网安备110107000727号