扫码关注公众号           扫码咨询技术支持           扫码咨询技术服务
  
客服热线:400-901-9800  客服QQ:4009019800  技术答疑  技术支持  质量反馈  人才招聘  关于我们  联系我们
产品中心-北京博奥森生物技术有限公司
首页 > 产品中心 > 一抗 > 产品信息
COG1 Rabbit pAb (bs-6647R)  
订购热线:400-901-9800
订购邮箱:sales@bioss.com.cn
订购QQ:  400-901-9800
技术支持:techsupport@bioss.com.cn
50ul/1180.00元
100ul/1980.00元
200ul/2800.00元
大包装/询价

产品编号 bs-6647R
英文名称 COG1 Rabbit pAb
中文名称 COG1蛋白抗体
别    名 6030445I15; Ldlb; mKIAA1381; COG1_MOUSE; Cog1; COG complex subunit 1; Component of oligomeric Golgi complex 1; Low density lipoprotein receptor defect B-complementing protein; CDG2G; low density lipoprotein receptor defect B complementing  
Specific References  (1)     |     bs-6647R has been referenced in 1 publications.
[IF=2.75] Dechtawewat, Thanyaporn, et al. "Mass spectrometric analysis of host cell proteins interacting with dengue virus nonstructural protein 1 in dengue virus-infected HepG2 cells." Biochimica et Biophysica Acta (BBA)-Proteins and Proteomics (2016).  IP ;  Human.  
研究领域 细胞生物  信号转导  细胞类型标志物  
抗体来源 Rabbit
克隆类型 Polyclonal
交叉反应 Human,Rat
产品应用 WB=1:500-2000,IHC-P=1:100-500,IHC-F=1:100-500,IF=1:100-500
not yet tested in other applications.
optimal dilutions/concentrations should be determined by the end user.
理论分子量 109kDa
检测分子量 109
细胞定位 细胞浆 细胞膜 
性    状 Liquid
浓    度 1mg/ml
免 疫 原 KLH conjugated synthetic peptide derived from human COG1: 501-600/980 
亚    型 IgG
纯化方法 affinity purified by Protein A
缓 冲 液 0.01M TBS (pH7.4) with 1% BSA, 0.02% Proclin300 and 50% Glycerol.
保存条件 Shipped at 4℃. Store at -20℃ for one year. Avoid repeated freeze/thaw cycles.
注意事项 This product as supplied is intended for research use only, not for use in human, therapeutic or diagnostic applications.
PubMed PubMed
产品介绍 There are eight COG proteins (COG1-8) which form a Golgi-localized complex (COG) required for normal Golgi morphology and function. It is thought that COG1 is required for steps in the normal medial and trans Golgi-associated processing of glycoconjugates and plays a role in the organization of the Golgi-localized complex.

Function:
Required for normal Golgi function (By similarity).

Subunit:
Component of the conserved oligomeric Golgi complex which is composed of eight different subunits and is required for normal Golgi morphology and localization.

Subcellular Location:
Golgi apparatus membrane; Peripheral membrane protein; Cytoplasmic side.

DISEASE:
Defects in COG1 are the cause of congenital disorder of glycosylation type 2G (CDG2G) [MIM:611209]; also known as CDG-II caused by COG1 deficiency. CDGs are a family of severe inherited diseases caused by a defect in glycoprotein biosynthesis. They are characterized by under-glycosylated serum glycoproteins. These multisystem disorders present with a wide variety of clinical features, such as disorders of the nervous system development, psychomotor retardation, dysmorphic features, hypotonia, coagulation disorders and immunodeficiency. The broad spectrum of features reflects the critical role of N-glycoproteins during embryonic development, differentiation, and maintenance of cell functions. Clinical features of CDG2G include failure to thrive, generalized hypotonia, growth retardation and mild psychomotor retardation. CDG2G is biochemically characterized by a defect in O-glycosylation as well as N-glycosylation.

Similarity:
Belongs to the COG1 family.

Gene ID:
9382

Database links:

Entrez Gene: 9382 Human

Entrez Gene: 16834 Mouse

Omim: 606973 Human

SwissProt: Q8WTW3 Human

SwissProt: Q9Z160 Mouse

Unigene: 103555 Human

Unigene: 261620 Mouse



产品图片
Sample: Hela Cell (Human) Lysate at 40 ug FHC Cell (Human) Lysate at 40 ug Primary: Anti-COG1 (bs-6647R) at 1/300 dilution Secondary: IRDye800CW Goat Anti-Rabbit IgG at 1/20000 dilution Predicted band size: 109 kD Observed band size: 109 kD
Sample: HepG2 Cell (Human) Lysate at 40 ug Primary: Anti-COG1 (bs-6647R) at 1/300 dilution Secondary: IRDye800CW Goat Anti-Rabbit IgG at 1/20000 dilution Predicted band size: 109 kD Observed band size: 109 kD
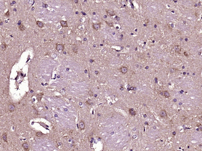
Paraformaldehyde-fixed, paraffin embedded (Rat brain); Antigen retrieval by boiling in sodium citrate buffer (pH6.0) for 15min; Block endogenous peroxidase by 3% hydrogen peroxide for 20 minutes; Blocking buffer (normal goat serum) at 37°C for 30min; Antibody incubation with (COG1) Polyclonal Antibody, Unconjugated (bs-6647R) at 1:400 overnight at 4°C, followed by operating according to SP Kit(Rabbit) (sp-0023) instructionsand DAB staining.
版权所有 2004-2026 www.bioss.com.cn 北京博奥森生物技术有限公司
通过国际质量管理体系ISO 9001:2015 GB/T 19001-2016    证书编号: 00124Q34771R2M/1100
通过国际医疗器械-质量管理体系ISO 13485:2016 GB/T 42061-2022     证书编号: CQC24QY20047R0M/1100
京ICP备05066980号-1         京公网安备110107000727号