扫码关注公众号           扫码咨询技术支持           扫码咨询技术服务
  
客服热线:400-901-9800  客服QQ:4009019800  技术答疑  技术支持  质量反馈  人才招聘  关于我们  联系我们
产品中心-北京博奥森生物技术有限公司
首页 > 产品中心 > 一抗 > 产品信息
GANAB Rabbit pAb (bs-6720R)  
订购热线:400-901-9800
订购邮箱:sales@bioss.com.cn
订购QQ:  400-901-9800
技术支持:techsupport@bioss.com.cn
50ul/1180.00元
100ul/1980.00元
200ul/2800.00元
大包装/询价

产品编号 bs-6720R
英文名称 GANAB Rabbit pAb
中文名称 α葡萄糖苷酶2抗体
别    名 G2AN; GIIA; GIIalpha; GLUII; PKD3; GANAB_HUMAN; GANAB; Alpha-glucosidase 2; Glucosidase II subunit alpha; 3.2.1.207; KIAA0088;   
研究领域 肿瘤  细胞生物  神经生物学  信号转导  
抗体来源 Rabbit
克隆类型 Polyclonal
克 隆 号
交叉反应 Mouse,Rat (predicted: Human,Rabbit,Pig,Sheep,Cow,Horse)
产品应用 WB=1:500-2000,IHC-P=1:100-500,IHC-F=1:100-500,IF=1:100-500
not yet tested in other applications.
optimal dilutions/concentrations should be determined by the end user.
理论分子量 104 kDa
检测分子量 110
细胞定位 细胞浆 
性    状 Liquid
浓    度 1mg/ml
免 疫 原 KLH conjugated synthetic peptide derived from human GANAB/alpha Glucosidase II: 428-540/944 
亚    型 IgG
纯化方法 affinity purified by Protein A
缓 冲 液 0.01M TBS (pH7.4) with 1% BSA, 0.02% Proclin300 and 50% Glycerol.
保存条件 Shipped at 4℃. Store at -20℃ for one year. Avoid repeated freeze/thaw cycles.
注意事项 This product as supplied is intended for research use only, not for use in human, therapeutic or diagnostic applications.
PubMed PubMed
产品介绍 Trimming of glucoses from N-linked core glycans on newly synthesized glycoproteins occurs sequentially through the action of Glucosidases I and II in the endoplasmic reticulum (ER). Glucosidase II is an ER-localized enzyme that contains a and b subunits (Glucosidase IIa and Glucosidase IIb) which form a defined heterodimeric complex. Glucosidase IIa is the catalyitc core of the enzyme and can function independently of the b subunit. The sequence of Glucosidase IIb encodes protein rich in glutamic and aspartic acid with a putative ER retention signal (HDEL) at the C-terminus. The phosphorylated form of Glucosidase IIb is localized in the plasma membrane and is highly expressed in FGF-stimulated fibroblasts and epidermal carcinoma cells. Glucosidase IIb was first purified from a human carcinoma cell line as a potential substrate for protein kinase C. Through the HDEL signal at the C-terminus, Glucosidase IIb retains the complete complex in the ER.

Function:
Cleaves sequentially the 2 innermost alpha-1,3-linked glucose residues from the Glc(2)Man(9)GlcNAc(2) oligosaccharide precursor of immature glycoproteins.

Subunit:
Heterodimer of a catalytic alpha subunit (GANAB) and a beta subunit (PRKCSH). Binds glycosylated PTPRC (By similarity).

Subcellular Location:
Endoplasmic reticulum. Golgi apparatus. Melanosome. Identified by mass spectrometry in melanosome fractions from stage I to stage IV.

Tissue Specificity:
Detected in placenta.

Similarity:
Belongs to the glycosyl hydrolase 31 family.

SWISS:
Q14697

Gene ID:
23193

Database links:

Entrez Gene: 23193 Human

Omim: 104160 Human

SwissProt: Q14697 Human

Unigene: 595071 Human



产品图片
Sample: Lane 1: Placenta (Mouse) Lysate at 40 ug Lane 2: Lymph node (Mouse) Lysate at 40 ug Lane 3: Liver (Rat) Lysate at 40 ug Lane 4: Lymph node (Rat) Lysate at 40 ug Primary: Anti-GANAB (bs-6720R) at 1/1000 dilution Secondary: IRDye800CW Goat Anti-Rabbit IgG at 1/20000 dilution Predicted band size: 104 kD Observed band size: 110 kD
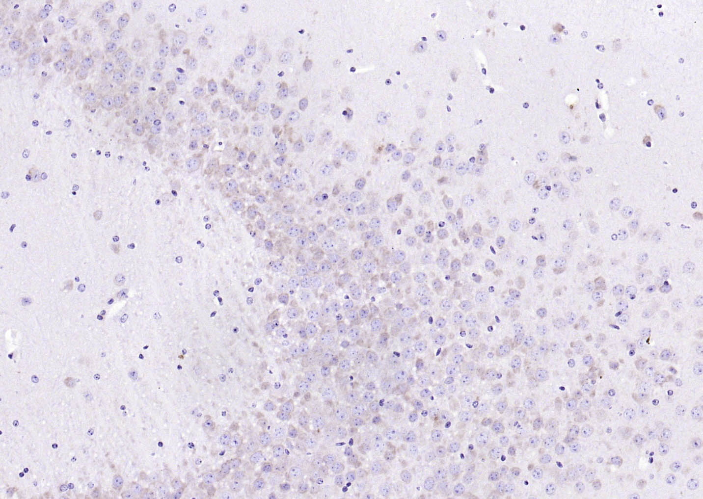
Paraformaldehyde-fixed, paraffin embedded (rat brain); Antigen retrieval by boiling in sodium citrate buffer (pH6.0) for 15min; Block endogenous peroxidase by 3% hydrogen peroxide for 20 minutes; Blocking buffer (normal goat serum) at 37°C for 30min; Antibody incubation with (GANAB) Polyclonal Antibody, Unconjugated (bs-6720R) at 1:200 overnight at 4°C, followed by operating according to SP Kit(Rabbit) (sp-0023) instructionsand DAB staining.
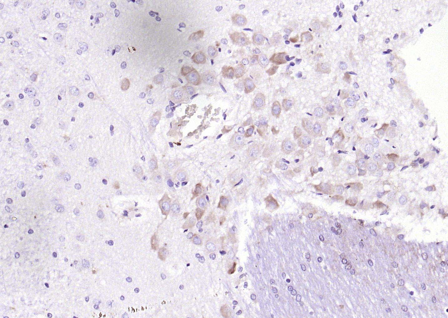
Paraformaldehyde-fixed, paraffin embedded (mouse brain); Antigen retrieval by boiling in sodium citrate buffer (pH6.0) for 15min; Block endogenous peroxidase by 3% hydrogen peroxide for 20 minutes; Blocking buffer (normal goat serum) at 37°C for 30min; Antibody incubation with (GANAB) Polyclonal Antibody, Unconjugated (bs-6720R) at 1:200 overnight at 4°C, followed by operating according to SP Kit(Rabbit) (sp-0023) instructionsand DAB staining.
版权所有 2004-2026 www.bioss.com.cn 北京博奥森生物技术有限公司
通过国际质量管理体系ISO 9001:2015 GB/T 19001-2016    证书编号: 00124Q34771R2M/1100
通过国际医疗器械-质量管理体系ISO 13485:2016 GB/T 42061-2022     证书编号: CQC24QY20047R0M/1100
京ICP备05066980号-1         京公网安备110107000727号