扫码关注公众号           扫码咨询技术支持           扫码咨询技术服务
  
客服热线:400-901-9800  客服QQ:4009019800  技术答疑  技术支持  质量反馈  人才招聘  关于我们  联系我们
产品中心-北京博奥森生物技术有限公司
首页 > 产品中心 > 一抗 > 产品信息
GLI1 Rabbit pAb (bs-1206R)  
订购热线:400-901-9800
订购邮箱:sales@bioss.com.cn
订购QQ:  400-901-9800
技术支持:techsupport@bioss.com.cn
50ul/1180.00元
100ul/1980.00元
200ul/2800.00元
大包装/询价

产品编号 bs-1206R
英文名称 GLI1 Rabbit pAb
中文名称 脑胶质瘤相关蛋白抗体(锌指蛋白5)
别    名 GLI1_HUMAN; GLI1; Glioma-associated oncogene; Oncogene GLI; GLI; GLI1_MOUSE; Glioma-associated oncogene homolog; GLI family zinc finger 1; glioma-associated oncogene homolog 1 (zinc finger protein); glioma-associated oncogene family zinc finger 1  
Specific References  (21)     |     bs-1206R has been referenced in 21 publications.
[IF=5.923] Liang Hu. et al. Transient Activation of Hedgehog Signaling Inhibits Cellular Senescence and Inflammation in Radiated Swine Salivary Glands through Preserving Resident Macrophages. Int J Mol Sci. 2021 Jan;22(24):13493  WB ;  Pig.  
[IF=5.682] Qi, Yan. et al. Neuroprotective Effect of Sonic Hedgehog Mediated PI3K/AKT Pathway in Amyotrophic Lateral Sclerosis Model Mice. MOL NEUROBIOL. 2022 Sep;:1-12  WB ;  Mouse.  
[IF=5.458] Xin Chen. et al. 4-(methylnitrosamino)-1-(3-pyridyl)-1-butanone provokes progression from chronic pancreatitis to pancreatic intraepithelial neoplasia. Iscience. 2021 Dec;:103647  IHC ;  Rat.  
[IF=4.831] Xiaolan You. et al. Galectin-1 promotes vasculogenic mimicry in gastric adenocarcinoma via the Hedgehog/GLI signaling pathway.. Aging-Us. 2020 Nov 15; 12(21): 21837–21853  IHC ;  Human.  
[IF=4.709] Tongtong Zhang. et al. Human osteoprogenitor cells obtained from traumatic heterotopic ossification samples showed enhanced osteogenic differentiation potential and ERK/Hedgehog signaling than that from normal bone. IUBMB LIFE. 2022 Aug;:  WB ;  Human.  
[IF=4.46] Du, Wen‐Zhong, et al. "Curcumin Suppresses Malignant Glioma Cells Growth and Induces Apoptosis by Inhibition of SHH/GLI1 Signaling Pathway in Vitro and Vivo." CNS Neuroscience & Therapeutics (2013).  Human.  
[IF=4.2] Yang, Huan, et al. "Vitamin C plus hydrogel facilitates bone marrow stromal cell-mediated endometrium regeneration in rats." Stem Cell Research & Therapy 8.1 (2017): 267.  WB ;  Human.  
[IF=4.12] Men et al. LKB1 Regulates Cerebellar Development by Controlling Sonic Hedgehog-mediated Granule Cell Precursor Proliferation and Granule Cell Migration. (2015) Sci.Rep. 5:16232  WB ;  Mouse.  
[IF=4.069] Sato Y et al. Blockade of Hedgehog Signaling Attenuates Biliary Cystogenesis in the Polycystic Kidney (PCK) Rat.Am J Pathol. 2018 Oct;188(10):2251-2263.  IHC-P&ICF ;  Rat.  
[IF=3.73] Zhang, Qiang, et al. "Serotonin Receptor 2C and Insulin Secretion." PloS one 8.1 (2013): e54250.  WB ;  Mouse.  
[IF=3.396] Guo Q et al. Baicalin improves the in-vitro developmental capacity of pig embryos by inhibiting apoptosis, regulating mitochondrial activity and activating sonic hedgehog signaling. Mol Hum Reprod. 2019 Sep 1;25(9):538-549.  IHF ;  Pig.  
[IF=3.361] Chen X et al. Hesperetin derivative attenuates CCl4-induced hepatic fibrosis and inflammation by Gli-1-dependent mechanisms. Int Immunopharmacol. 2019 Aug 29;76:105838.  WB&IHF&ICF(LX-2 cells) ;  Mouse.  
[IF=3.279] Mi Zhang. et al. β2‐adrenergic receptor signaling drives prostate cancer progression by targeting the Sonic hedgehog‐Gli1 signaling activation. Prostate. 2020 Nov;80(15):1328-1340  IHC ;  Human.  
[IF=2.88] Long, B., et al. "Targeting GLI1 Suppresses Cell Growth and Enhances Chemosensitivity in CD34+ Enriched Acute Myeloid Leukemia Progenitor Cells." Cellular Physiology and Biochemistry 38.4 (2016): 1288-1302.  Human.  
[IF=2.74] Qing Guo. et al. Paeoniflorin improves the in vitro maturation of benzo(a)pyrene treated porcine oocytes via effects on the sonic hedgehog pathway. Theriogenology. 2022 Mar;180:72  IF ;  Pig.  
[IF=2.4] Yue, Yongjian, et al. "Aberrant activation of Hedgehog pathway in Nasopharyngeal carcinoma." Clinical and Experimental Medicine (2012): 1-8.  IHC-P ;  Human.  
[IF=2.3] Ma, Zhenkun, et al. "Silibinin induces apoptosis through inhibition of the mTOR-GLI1-BCL2 pathway in renal cell carcinoma." Oncology Reports.  other ;  
[IF=2.15] Fan, Hai-Xia, et al. "Sonic hedgehog signaling may promote invasion and metastasis of oral squamous cell carcinoma by activating MMP-9 and E-cadherin expression." Medical Oncology 31.7 (2014): 1-8.  IHC-P ;  Human.  
[IF=1.772] Penggang Liu. et al. Expression of tumour transcription factor GLI1 in canine mammary tumours tissue. VET MED SCI. 2022 Jun 06  WB ;  Dog.  
[IF=0] Du et al. Targeting the SMO oncogene by miR-326 inhibits glioma biological behaviors and stemness. (2015) Neuro.Oncol. 17:243-53  IF,IHC ;  Human.  
[IF=0] Liu et al. Suppressor of fused (Sufu) represses Gli1 transcription and nuclear accumulation, inhibits glioma cell proliferation, invasion and vasculogenic mimicry, improving glioma chemo-sensitivity and prognosis. (2014) Oncotarget. 5:11681-94  IF,IHC ;  Human.  
研究领域 肿瘤  细胞生物  神经生物学  信号转导  表观遗传学  
抗体来源 Rabbit
克隆类型 Polyclonal
交叉反应 Human,Mouse,Rat (predicted: Rabbit,Cow,Dog,Horse)
产品应用 WB=1:500-2000,IHC-P=1:100-500,IHC-F=1:100-500,IF=1:100-500,Flow-Cyt=1ug/Test
not yet tested in other applications.
optimal dilutions/concentrations should be determined by the end user.
理论分子量 118kDa
检测分子量 130
细胞定位 细胞核 细胞浆 
性    状 Liquid
浓    度 1mg/ml
免 疫 原 KLH conjugated synthetic peptide derived from human GLI1/Zfp5: 601-700/1106 
亚    型 IgG
纯化方法 affinity purified by Protein A
缓 冲 液 0.01M TBS (pH7.4) with 1% BSA, 0.02% Proclin300 and 50% Glycerol.
保存条件 Shipped at 4℃. Store at -20℃ for one year. Avoid repeated freeze/thaw cycles.
注意事项 This product as supplied is intended for research use only, not for use in human, therapeutic or diagnostic applications.
PubMed PubMed
产品介绍 This gene encodes a member of the Kruppel family of zinc finger proteins. The encoded transcription factor is activated by the sonic hedgehog signal transduction cascade and regulates stem cell proliferation. The activity and nuclear localization of this protein is negatively regulated by p53 in an inhibitory loop. Multiple transcript variants encoding different isoforms have been found for this gene. [provided by RefSeq, May 2009]

Function:
Acts as a transcriptional activator. May regulate the transcription of specific genes during normal development. May play a role in craniofacial development and digital development, as well as development of the central nervous system and gastrointestinal tract. Mediates SHH signaling and thus cell proliferation and differentiation.

Subcellular Location:
Cytoplasm. Nucleus. Tethered in the cytoplasm by binding to SUFU. Activation and translocation to the nucleus is promoted by interaction with STK36. Phosphorylation by ULK3 may promote nuclear localization. Translocation to the nucleus is promoted by interaction with ZIC1.

Tissue Specificity:
Testis, myometrium and fallopian tube. Also expressed in the brain with highest expression in the cerebellum, optic nerve and olfactory tract.

SWISS:
P08151

Gene ID:
2735

Database links:

Entrez Gene: 2735 Human

Entrez Gene: 14632 Mouse

Entrez Gene: 140589 Rat

Entrez Gene: 517588 Cow

Omim: 165220 Human

SwissProt: P08151 Human

SwissProt: P47806 Mouse

Unigene: 632702 Human

Unigene: 391450 Mouse

Unigene: 219157 Rat



GLI1是一种具有很强活性的转录激活因子,GLI1诱导G1/S细胞周期调节蛋白的表达从而促进细胞的增殖; 直接诱导抗凋亡因子Bcl-2的表达以抑制凋亡; 直接激活促进上皮组织向间质转化因子的转录从而加重了肿瘤的侵袭性。目前主要用于肿瘤及神经方面的研究。
产品图片
Sample: Uterus(Mouse)Lysate at 40 ug Ovary (Mouse)Lysate at 40 ug Primary: Anti-GLI1(bs-1206R)at 1/300 dilution Secondary: IRDye800CW Goat Anti-RabbitIgG at 1/20000 dilution Predicted band size: 118kD Observed band size: 130kD
Sample:HepG2 (Human)Cell Lysate at 40 ug Primary: Anti-GLI1(bs-1206R)at 1/300 dilution Secondary: IRDye800CW Goat Anti-RabbitIgG at 1/20000 dilution Predicted band size: 118kD Observed band size: 130kD
Paraformaldehyde-fixed, paraffin embedded (Rat testis); Antigen retrieval by boiling in sodium citrate buffer (pH6.0) for 15min; Block endogenous peroxidase by 3% hydrogen peroxide for 20 minutes; Blocking buffer (normal goat serum) at 37°C for 30min; Antibody incubation with (GLI1) Polyclonal Antibody, Unconjugated (bs-1206R) at 1:400 overnight at 4°C, followed by operating according to SP Kit(Rabbit) (sp-0023) instructionsand DAB staining.
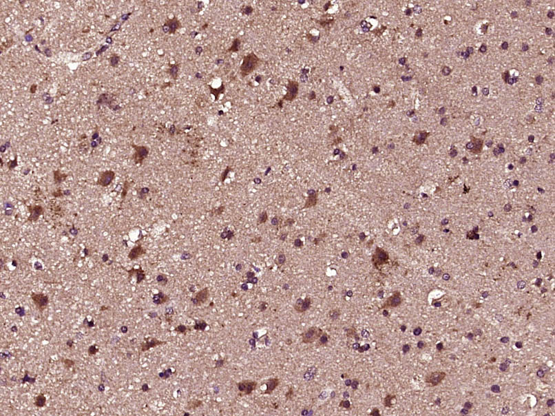
Paraformaldehyde-fixed, paraffin embedded (Mouse brain); Antigen retrieval by boiling in sodium citrate buffer (pH6.0) for 15min; Block endogenous peroxidase by 3% hydrogen peroxide for 20 minutes; Blocking buffer (normal goat serum) at 37°C for 30min; Antibody incubation with (GLI1) Polyclonal Antibody, Unconjugated (bs-1206R) at 1:400 overnight at 4°C, followed by operating according to SP Kit(Rabbit) (sp-0023) instructionsand DAB staining.
Paraformaldehyde-fixed, paraffin embedded (human gastric carcinoma); Antigen retrieval by boiling in sodium citrate buffer (pH6.0) for 15min; Block endogenous peroxidase by 3% hydrogen peroxide for 20 minutes; Blocking buffer (normal goat serum) at 37°C for 30min; Antibody incubation with (GLI1) Polyclonal Antibody, Unconjugated (bs-1206R) at 1:200 overnight at 4°C, followed by operating according to SP Kit(Rabbit) (sp-0023) instructionsand DAB staining.
Paraformaldehyde-fixed, paraffin embedded (Rat brain); Antigen retrieval by boiling in sodium citrate buffer (pH6.0) for 15min; Block endogenous peroxidase by 3% hydrogen peroxide for 20 minutes; Blocking buffer (normal goat serum) at 37°C for 30min; Antibody incubation with (GLI1) Polyclonal Antibody, Unconjugated (bs-1206R) at 1:400 overnight at 4°C, followed by operating according to SP Kit(Rabbit) (sp-0023) instructionsand DAB staining.
Paraformaldehyde-fixed, paraffin embedded (Human brain glioma); Antigen retrieval by boiling in sodium citrate buffer (pH6.0) for 15min; Block endogenous peroxidase by 3% hydrogen peroxide for 20 minutes; Blocking buffer (normal goat serum) at 37°C for 30min; Antibody incubation with (GLI1) Polyclonal Antibody, Unconjugated (bs-1206R) at 1:400 overnight at 4°C, followed by operating according to SP Kit(Rabbit) (sp-0023) instructionsand DAB staining.
Blank control:Hela. Primary Antibody (green line): Rabbit Anti-GLI1 antibody (bs-1206R) Dilution: 1ug/Test; Secondary Antibody : Goat anti-rabbit IgG-FITC Dilution: 0.5ug/Test. Protocol The cells were fixed with 4% PFA (10min at room temperature)and then permeabilized with 90% ice-cold methanol for 20 min at -20℃.The cells were then incubated in 5%BSA to block non-specific protein-protein interactions for 30 min at room temperature .Cells stained with Primary Antibody for 30 min at room temperature. The secondary antibody used for 40 min at room temperature. Acquisition of 20,000 events was performed.
Blank control: RSC96(blue), the cells were fixed with 2% paraformaldehyde (10 min) and then permeabilized with ice-cold 90% methanol for 30 min on ice. Isotype Control Antibody: Rabbit IgG(orange) ; Secondary Antibody: Goat anti-rabbit IgG-PE(white blue), Dilution: 1:200 in 1 X PBS containing 0.5% BSA . Primary Antibody Dilution: 1μg in 100 μL1X PBS containing 0.5% BSA(green).
版权所有 2004-2026 www.bioss.com.cn 北京博奥森生物技术有限公司
通过国际质量管理体系ISO 9001:2015 GB/T 19001-2016    证书编号: 00124Q34771R2M/1100
通过国际医疗器械-质量管理体系ISO 13485:2016 GB/T 42061-2022     证书编号: CQC24QY20047R0M/1100
京ICP备05066980号-1         京公网安备110107000727号