扫码关注公众号           扫码咨询技术支持           扫码咨询技术服务
  
客服热线:400-901-9800  客服QQ:4009019800  技术答疑  技术支持  质量反馈  关于我们  联系我们
产品中心-北京博奥森生物技术有限公司
首页 > 产品中心 > 一抗 > 产品信息
DLK1 Rabbit pAb (bs-4556R)  
订购热线:400-901-9800
订购邮箱:sales@bioss.com.cn
订购QQ:  400-901-9800
技术支持:techsupport@bioss.com.cn
50ul/1180.00元
100ul/1980.00元
200ul/2800.00元
大包装/询价

产品编号 bs-4556R
英文名称 DLK1 Rabbit pAb
中文名称 穿膜蛋白DLK1抗体(C端)
别    名 Adipocyte differentiation inhibitor protein; Brevideltin; delta like 1 homolog; delta like homolog; delta like protein; delta1; DLK 1; DLK; DLK-1; Dlk1; DLK1_HUMAN; FA 1; FA1; Fetal antigen 1; pG2; Preadipocyte factor 1; Pref 1; Pref; Pref1; Pref-1; Protein delta homolog 1; Secredeltin; ZOG; delta1; PREF1.  
Specific References  (1)     |     bs-4556R has been referenced in 1 publications.
[IF=2.323] Mengyan Wang. et al. Analysis of the Bovine DLK1 Gene Polymorphism and Its Relation to Lipid Metabolism in Chinese Simmental. Animals-Basel. 2020 Jun;10(6):923  WB ;  Bovine.  
研究领域 肿瘤  细胞生物  免疫学  神经生物学  信号转导  干细胞  结合蛋白  
抗体来源 Rabbit
克隆类型 Polyclonal
克 隆 号
交叉反应 Mouse,Rat (predicted: Human,Rabbit,Sheep)
产品应用 WB=1:500-2000,IHC-P=1:100-500,IHC-F=1:100-500,IF=1:100-500
not yet tested in other applications.
optimal dilutions/concentrations should be determined by the end user.
理论分子量 42 kDa
检测分子量
细胞定位 细胞膜 
性    状 Liquid
浓    度 1mg/ml
免 疫 原 KLH conjugated synthetic peptide derived from sheep DLK1: 301-381/383 <Cytoplasmic>
亚    型 IgG
纯化方法 affinity purified by Protein A
缓 冲 液 0.01M TBS (pH7.4) with 1% BSA, 0.02% Proclin300 and 50% Glycerol.
保存条件 Shipped at 4℃. Store at -20℃ for one year. Avoid repeated freeze/thaw cycles.
注意事项 This product as supplied is intended for research use only, not for use in human, therapeutic or diagnostic applications.
PubMed PubMed
产品介绍 This gene encodes a transmembrane protein containing six epidermal growth factor repeats. The protein is involved in the differentiation of several cell types, including adipocytes; it is also thought to be a tumor suppressor. It is one of several imprinted genes located in a region of on chr 14q32. Certain mutations in this imprinted region can cause phenotypes similar to maternal and paternal uniparental disomy of chromosome 14 (UPD14). This gene is expressed from the paternal allele. A polymorphism within this gene has been associated with child and adolescent obesity. The mode of inheritance for this polymorphism is polar overdominance; this non-Mendelian inheritance pattern was first described in sheep with the callipyge phenotype, which is characterized by muscle hypertrophy and decreased fat mass. [provided by RefSeq, Mar 2010].

Function:
May have a role in neuroendocrine differentiation. Inhibits adipocyte differentiation.

Subunit:
Monomer.

Subcellular Location:
Membrane; Single-pass type I membrane protein.

Tissue Specificity:
Highly expressed in fetal liver, placenta, adult adrenal gland, brain, testis and ovary and, to a lesser degree, in adult kidney, muscle, thymus and heart.

Post-translational modifications:
N- and O-glycosylated.

Similarity:
Contains 6 EGF-like domains.

Database links:

Entrez Gene: 641301 sheep

Entrez Gene: 281117 Cow

Entrez Gene: 8788 Human

Entrez Gene: 13386 Mouse

Entrez Gene: 114587 Rat

Omim: 176290 Human

SwissProt: P80370 Human

SwissProt: Q09163 Mouse

Unigene: 533717 Human

Unigene: 157069 Mouse

Unigene: 14547 Rat



穿膜蛋白DLK1又称肝癌相关基因,是表皮生长因子(EGF)家族的成员之一,其结构特征为蛋白的细胞外区域拥有在结构及氨基酸序列上与表皮生长因子高度同源的重复结构.DLK1可以抑制脂肪前体细胞向脂肪细胞分化,在正常神经内分泌细胞及其肿瘤细胞中表达, DLK1在神经内分泌轴中起着调控细胞生长分化的作用,同时DLK1在胚胎肝、造血干细胞及早期肌肉组织中均有表达。
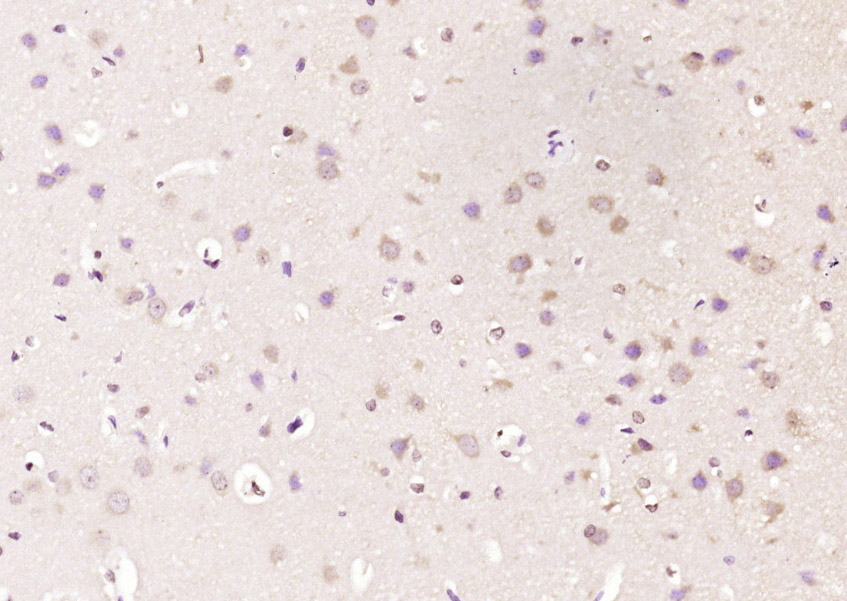
产品图片
Sample: Lane 1: Mouse Cerebrum tissue lysates Lane 2: Rat Cerebrum tissue lysates Primary: Anti-DLK1 (bs-4556R) at 1/1000 dilution Secondary: IRDye800CW Goat Anti-Rabbit IgG at 1/20000 dilution Predicted band size: 42 kDa Observed band size: 45 kDa
Paraformaldehyde-fixed, paraffin embedded (rat brain); Antigen retrieval by boiling in sodium citrate buffer (pH6.0) for 15min; Block endogenous peroxidase by 3% hydrogen peroxide for 20 minutes; Blocking buffer (normal goat serum) at 37°C for 30min; Antibody incubation with (DLK1) Polyclonal Antibody, Unconjugated (bs-4556R) at 1:200 overnight at 4°C, followed by operating according to SP Kit(Rabbit) (sp-0023) instructionsand DAB staining.
版权所有 2004-2026 www.bioss.com.cn 北京博奥森生物技术有限公司
通过国际质量管理体系ISO 9001:2015 GB/T 19001-2016    证书编号: 00124Q34771R2M/1100
通过国际医疗器械-质量管理体系ISO 13485:2016 GB/T 42061-2022     证书编号: CQC24QY20047R0M/1100
京ICP备05066980号-1         京公网安备110107000727号