扫码关注公众号           扫码咨询技术支持           扫码咨询技术服务
  
客服热线:400-901-9800  客服QQ:4009019800  技术答疑  技术支持  质量反馈  关于我们  联系我们
产品中心-北京博奥森生物技术有限公司
首页 > 产品中心 > 一抗 > 产品信息
TRIB3 Rabbit pAb (bs-7538R)  
订购热线:400-901-9800
订购邮箱:sales@bioss.com.cn
订购QQ:  400-901-9800
技术支持:techsupport@bioss.com.cn
50ul/1180.00元
100ul/1980.00元
200ul/2800.00元
大包装/询价

产品编号 bs-7538R
英文名称 TRIB3 Rabbit pAb
中文名称 神经细胞死亡诱导蛋白激酶抗体
别    名 C20orf97; Neuronal cell death inducible putative kinase; Neuronal cell death-inducible putative kinase; NIPK; p65 interacting inhibitor of NF-kappaB; p65-interacting inhibitor of NF-kappa-B; SINK; SKIP 3; SKIP3; TRB 3; TRB-3; TRB3; TRIB 3; Trib3; TRIB3_HUMAN; Tribbles homolog 3; Tribbles3.  
Specific References  (2)     |     bs-7538R has been referenced in 2 publications.
[IF=6.772] Ye Man-ping. et al. Mitochondrial stress induces hepatic stellate cell activation in response to the ATF4/TRIB3 pathway stimulation. J GASTROENTEROL. 2023 May;:1-14  IHC,WB ;  Rat.  
[IF=6.208] Yanan Hao. et al. Alginate Oligosaccharides Repair Liver Injury by Improving Anti-Inflammatory Capacity in a Busulfan-Induced Mouse Model. INT J MOL SCI. 2023 Jan;24(4):3097  IF ;  Mouse.  
研究领域 心血管  细胞生物  信号转导  细胞凋亡  细胞周期蛋白  糖尿病  细胞分化  
抗体来源 Rabbit
克隆类型 Polyclonal
克 隆 号
交叉反应 Human (predicted: Mouse,Rabbit,Pig,Cow,Chicken,Dog,Horse)
产品应用 IHC-P=1:100-500,IHC-F=1:100-500,IF=1:100-500,Flow-Cyt=1ug/test
not yet tested in other applications.
optimal dilutions/concentrations should be determined by the end user.
理论分子量 40 kDa
检测分子量
细胞定位 细胞核 
性    状 Liquid
浓    度 1mg/ml
免 疫 原 KLH conjugated synthetic peptide derived from human TRIB3: 201-300/358 
亚    型 IgG
纯化方法 affinity purified by Protein A
缓 冲 液 0.01M TBS (pH7.4) with 1% BSA, 0.02% Proclin300 and 50% Glycerol.
保存条件 Shipped at 4℃. Store at -20℃ for one year. Avoid repeated freeze/thaw cycles.
注意事项 This product as supplied is intended for research use only, not for use in human, therapeutic or diagnostic applications.
PubMed PubMed
产品介绍 The protein encoded by this gene is a putative protein kinase that is induced by the transcription factor NF-kappaB. The encoded protein is a negative regulator of NF-kappaB and can also sensitize cells to TNF- and TRAIL-induced apoptosis. In addition, this protein can negatively regulate the cell survival serine-threonine kinase AKT1. Differential promoter usage and alternate splicing result in multiple transcript variants. [provided by RefSeq, Jul 2014]

Function:
Disrupts insulin signaling by binding directly to Akt kinases and blocking their activation. May bind directly to and mask the 'Thr-308' phosphorylation site in AKT1. Binds to ATF4 and inhibits its transcriptional activation activity. Interacts with the NF-kappa-B transactivator p65 RELA and inhibits its phosphorylation and thus its transcriptional activation activity. Interacts with MAPK kinases and regulates activation of MAP kinases. May play a role in programmed neuronal cell death but does not appear to affect non-neuronal cells. Does not display kinase activity.

Subunit:
Interacts with AKT1, AKT2, ATF4, MAP2K1 and MAP2K7.

Subcellular Location:
Nucleus.

Tissue Specificity:
Highest expression in liver, pancreas, peripheral blood leukocytes and bone marrow. Also highly expressed in a number of primary lung, colon and breast tumors. Expressed in spleen, thymus, and prostate and is undetectable in other examined tissues, including testis, ovary, small intestine, colon, leukocyte, heart, brain, placenta, lung, skeletal muscle, and kidney.

Similarity:
Belongs to the protein kinase superfamily. CAMK Ser/Thr protein kinase family. Tribbles subfamily.
Contains 1 protein kinase domain.

SWISS:
Q96RU7

Gene ID:
57761

Database links:

Entrez Gene: 57761 Human

Omim: 607898 Human

SwissProt: Q96RU7 Human

Unigene: 516826 Human

 



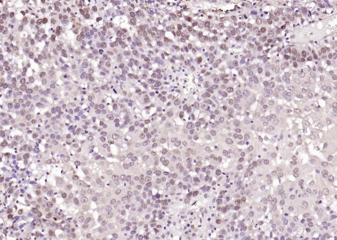
产品图片
Paraformaldehyde-fixed, paraffin embedded (human lung carcinoma); Antigen retrieval by boiling in sodium citrate buffer (pH6.0) for 15min; Block endogenous peroxidase by 3% hydrogen peroxide for 20 minutes; Blocking buffer (normal goat serum) at 37°C for 30min; Antibody incubation with (TRIB3) Polyclonal Antibody, Unconjugated (bs-7538R) at 1:200 overnight at 4°C, followed by operating according to SP Kit(Rabbit) (sp-0023) instructionsand DAB staining.
Blank control:A431. Primary Antibody (green line): Rabbit Anti-TRIB3 antibody (bs-7538R) Dilution: 1μg /10^6 cells; Isotype Control Antibody (orange line): Rabbit IgG . Secondary Antibody : Goat anti-rabbit IgG-AF647 Dilution: 1μg /test. Protocol The cells were fixed with 4% PFA (10min at room temperature)and then permeabilized with 90% ice-cold methanol for 20 min at-20℃. The cells were then incubated in 5%BSA to block non-specific protein-protein interactions for 30 min at at room temperature .Cells stained with Primary Antibody for 30 min at room temperature. The secondary antibody used for 40 min at room temperature. Acquisition of 20,000 events was performed.
版权所有 2004-2026 www.bioss.com.cn 北京博奥森生物技术有限公司
通过国际质量管理体系ISO 9001:2015 GB/T 19001-2016    证书编号: 00124Q34771R2M/1100
通过国际医疗器械-质量管理体系ISO 13485:2016 GB/T 42061-2022     证书编号: CQC24QY20047R0M/1100
京ICP备05066980号-1         京公网安备110107000727号